Cookie Consent byPrivacyPolicies.comJ'ai été dépucelé deux fois cette semaine ! - Eugenol

J'ai été dépucelé deux fois cette semaine !

3f3boxni50k58rq7e9ce9ddqrxgk - Eugenol
dentiste57

26/04/2009 à 17h06

La première fois ne fût pas agréable, parce qu'il s'agit de mon premier implant perdu!


Le deuxième dépucelage concerne mon premier SINUS LIFT.

Quel stress, mais aussi quel pied !

Hormis le fait que mon insert mectron se soit cassé pendant l'intervention, tous le reste s'est plutôt bien passé.
c'est tout de même la deuxième fois que cet insert se casse.
J'ai terminé avec la boule diamantée.
J'avais un peu prémédiqué le patient pour l'intervention à coup de Valium car ultra stressé. Finalement, il était ravis.
mon assistante et moi avec.




Dsc 2841 vhiord - Eugenol
Dsc 2818 frnlpy - Eugenol
Dsc 2824 bahegq - Eugenol
Dsc 2839 epmsvj - Eugenol
Dsc 2857 kbtvxl - Eugenol
Dsc 2850 d9wmcb - Eugenol
Dsc 2853 shnqvf - Eugenol
018 i0y8az - Eugenol
001 ai51vp - Eugenol

belette

26/04/2009 à 17h19

Pas sûr que Christian P. apprécie le non-anonymat...


trimarc

26/04/2009 à 17h37

bravo pour ton cas très bien iconographié.
deux petites remarques pour le prochaine fois:
* le volet osseux est trop bas donc la corticale est épaisse et le décollement plus compliqué.
*je pense que tu aurais pu poser ton implant en même temps.

sinon, ce type de sinus (très localisé) est très compliqué donc bravo.


Marque a3 orange fyvhyq - Eugenol
Marc Apap

26/04/2009 à 18h43

A part pour la plaisir de mettre un implant et faire une petite chirurgie, peut on savoir quelle raison t'a poussé à ne par réexploiter les deux dents piliers de par et d'autre, finalement déjà porteuses de couronne et donc sans risque de mutilation, pour faire un bridge.
Quels arguments as tu donnés à ton patient pour cela ?


Grumpy cat ifik8s - Eugenol
radich_a_tord

26/04/2009 à 18h44

Bravo et merci pour la présentation

Simple curiosité, le matériaux utilisé serait pas du Graftek de TBR ?

Par rapport aux cas de sinus lift déjà vus, j'ai l'impression que la surface du volet osseux est assez petite (et un peu bas comme dit plus haut) : c'est fonction du volume à combler très localisé, ou tu as décollé en regard mais aussi en arrière du volet ?


 mg 0207 xwjxcl - Eugenol
Tillc

26/04/2009 à 19h29

+1 pour marc, surtraitement.
Tu touches a un os sain, un sinus sain au lieu de toucher a 2 dents déja couronnée.
J'espere pour toi qu'il n'y aura pas de complications sinon ca risque de chauffer pour tes fesses.


003 penrd2 - Eugenol
Cingulum

26/04/2009 à 20h26

+1 pour l'anonymat... surtout qu'il est quand meme trés connu dans la région lyonnaise dans le monde dentaire...
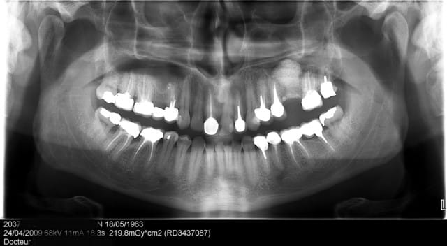
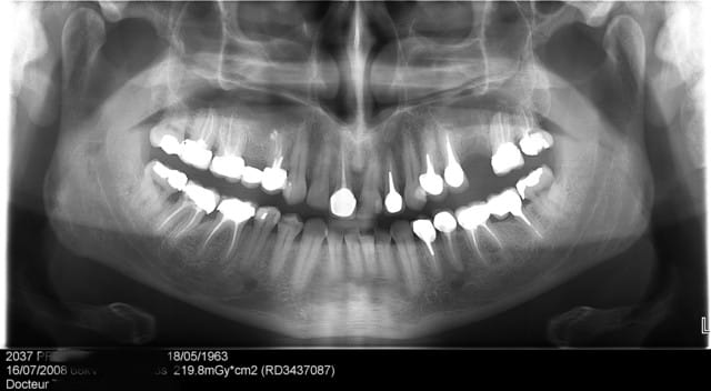
Tu avais combien en hauteur D'os avant ton sinus lift... ?


--
Dr Cingulum
-----Ancien interné----
----Attaché à l'apex----


Gutt-A

26/04/2009 à 20h32

Marc Apap écrivait:
-------------------
réexploiter les deux dents piliers de par et d'autre,

Pas d'accord, les dents de part et d'autre sont, certes, couronnées, mais il ny'a pas lieu de les refaire. Et puis, le tenon dans la 24 à l'air costaud, risque de péter la racine. Donc pour un implant. Par contre je te trouve généreux dans le comblement :)


Wolford hm5yx3 - Eugenol
Doc lyonnaise

26/04/2009 à 20h42

+1 avec Marc Apap (eh oui, ça m'arrive :-)))))....je vois pas l'intérêt d'aller mettre un implant à ce niveau...


PopHip

26/04/2009 à 20h47

Gutt-A écrivait:
----------------
> Marc Apap écrivait:
> -------------------
> réexploiter les deux dents piliers de par et d'autre,
>
> Pas d'accord, les dents de part et d'autre sont, certes, couronnées, mais il
> ny'a pas lieu de les refaire.

La question n'est pas de les refaire, mais d'éviter une chirurgie non sans risque.


Gutt-A

26/04/2009 à 20h58

PopHip écrivait:
----------------
une chirurgie non sans risque.

Tout de suite les grands mots, dans ce cas là arrêtons tous les sinus lift, distractions osseuses, pose à 3mm du N alveo inf c'est trop risqué!!! et retournons à l'amovible.


zazamouk

26/04/2009 à 21h01

Gutt-A écrivait:
----------------
> PopHip écrivait:
> ----------------
> une chirurgie non sans risque.
>
> Tout de suite les grands mots, dans ce cas là arrêtons tous les sinus lift,
> distractions osseuses, pose à 3mm du N alveo inf c'est trop risqué!!! et
> retournons à l'amovible.

Attention, un crochet se plante bien vite dans une joue....


Wolford hm5yx3 - Eugenol
Doc lyonnaise

26/04/2009 à 21h06

et puis la 25 n'a pas une p'tite lésion apicale? c'était l'occasion de la refaire...non?


Amibien

26/04/2009 à 21h10

Tillc écrivait:
---------------
> +1 pour marc, surtraitement.
> Tu touches a un os sain, un sinus sain au lieu de toucher a 2 dents déja
> couronnée.
> J'espere pour toi qu'il n'y aura pas de complications sinon ca risque de
> chauffer pour tes fesses.




C'est n'importe quoi ce discours, il est bien plus logique de remplacer une racine perdue que d'imposer un surcroît de travail à deux dents dévitalisées. Il serait temps que vous vous mettiez à la page.

Si vous vous renseigniez un peu mieux avant de l'ouvrir aussi fort vous comprendriez qu'un sinus se laisse fourrer sans pratiquement jamais de problème. L'avenir d'autre part donnera raison avec cette logique de traitement eu égard à la relation dento-cochléaire et à son rôle régulateur.

Le seul truc que dentiste57 aurait dû faire ici c'est de poser un implant dans la foulée. Trois millimètres suffisent pour coincer un conique. Et en forant l'os on trouve un saignement qui est bien utile dans ces cas là.

Bravo à dentiste57


Marque a3 orange fyvhyq - Eugenol
Marc Apap

26/04/2009 à 21h11

On nage en plein délire : gutt-a, tu réalises l'énormité de ce que tu viens d'écrire ? casser la racine ? Tu sais comment on fait pour exploiter une dent porteuse d'une reconstitution à tenon, ou bien tu ne sais faire que de la chirurgie implantaire intrasinusale qui c'est une évidence, ne présente pas le moindre risque ni le moindre inconvénient ?
On ne fait un traitement que si les autres solutions ne sont pas acceptables ou plus délabrantes. Pour l'instant,et en l'absence d'argument valable de la part de l'intéressé, le bridge est l'indication qui s'impose.
Ici, il y en a qui semblent oublier que nous travaillons sur des êtres humains.


Amibien

26/04/2009 à 21h12

Gutt-A écrivait:
----------------
> Marc Apap écrivait:
> -------------------
> réexploiter les deux dents piliers de par et d'autre,
>
> Pas d'accord, les dents de part et d'autre sont, certes, couronnées, mais il
> ny'a pas lieu de les refaire. Et puis, le tenon dans la 24 à l'air costaud,
> risque de péter la racine. Donc pour un implant. Par contre je te trouve
> généreux dans le comblement :)




il n'a pas vu la pêche sur la 27


Marque a3 orange fyvhyq - Eugenol
Marc Apap

26/04/2009 à 21h15

Alors il aurait fallu commencer par ça.


PopHip

26/04/2009 à 22h05

Amibien écrivait:
-----------------

> C'est n'importe quoi ce discours, il est bien plus logique de remplacer une
> racine perdue que d'imposer un surcroît de travail à deux dents dévitalisées. Il
> serait temps que vous vous mettiez à la page.

Et bien moi je trouve ça nuisible. On pourrait discuter longtemps si les endos adjacentes étaient impeccables, ou encore s'il y avait assez d'os dès le départ, mais là je regrette: c'est de la "mutilation".


Manolito wom2of - Eugenol
manolito

26/04/2009 à 22h10

salut dentiste 57, je suis comme toi partisan de la pose d'un implant dans ce cas là, la 15 ne me semble plus assez solide pour supporter un bridge. J'ai juste une question : sur la pano il semble y avoir une hauteur osseuse favorable, n'aurait il pas été possible de mettre un implant court ( 8,5 ou 9 mm) avec un petit punch?


Amibien

26/04/2009 à 22h35

Marc Apap écrivait:
-------------------
Pour l'instant,et en l'absence d'argument valable de la part
de l'intéressé, le bridge est l'indication qui s'impose.
Ici, il y en a qui semblent oublier que nous travaillons sur des êtres humains.

Les arguments sont là, une zone d'appui maxillaire avec un implant en région première molaire aura plus de perennité qu'un bridge 5-7, le rôle régulateur tonique de la première molaire étant de surcroît restauré.

Votre réaction est compréhensible mais il faudrait faire un "update" sur ce coup-là.








Amibien

26/04/2009 à 22h43

Marc Apap écrivait:
-------------------
> Alors il aurait fallu commencer par ça.



Là je suis d'accord avec toi !

Personnellement lorsque je reçois un patient de ce type, je demande un dentascan avec les images natives et je les lis dans le simplantplanner 12.04, les coupes axiales me renseignent sur la réalité (presque) parodontale des dents dévitalisées et je prends alors une décision. Si l'os est valide soit il est possible de revoir les endos, soit ce n'est pas possible, auquel cas il faudra un jour extraire et puis implanter.

Dans le cas de dentiste57, je pense que la 27 est mal au niveau endodontique. Si la dent est perdue il pourra toujours implanter en 27 lors de la pose de l'implant 26.


Amibien

26/04/2009 à 22h47

PopHip écrivait:
----------------

> mais là je regrette: c'est de la "mutilation".





Mais bon Dieu, tu n'as donc jamais vu une greffe de près ? La fenêtre d'accès au sinus se reconstitue intégralement, le bio oss sera intégré à de l'os nouveau et progressivement résorbé, la valeur biomécanique de l'ensemble sera plus grande au final que celle de l'os de départ ! Et il sera réimplanté une racine artificielle en lieu et place d'une dent qui fait défaut et d'un os qui s'est fait la malle... Tu appelles ça une mutilation ?


PopHip

26/04/2009 à 22h59

Amibien écrivait:
-----------------

> Mais bon Dieu, tu n'as donc jamais vu une greffe de près ? La fenêtre d'accès au
> sinus se reconstitue intégralement, le bio oss sera intégré à de l'os nouveau et
> progressivement résorbé, la valeur biomécanique de l'ensemble sera plus grande
> au final que celle de l'os de départ ! Et il sera réimplanté une racine
> artificielle en lieu et place d'une dent qui fait défaut et d'un os qui s'est
> fait la malle... Tu appelles ça une mutilation ?

Je ne conteste pas le succès de l'opération, mais le plan de traitement.


Img 8465 fqhxid - Eugenol
noahaxeltiger-olivier

26/04/2009 à 23h20

Beau travail dentiste 57. Je ne compte pas commenter l'indication du sinus-lift mais plutot la chirurgie en elle même.
Tu t'en es très bien sorti pour ton premier. Et tu as pu aussi voir que cela n'est rien de vraiment sorcier contrairement à ce que beaucoup semble dire !

J'ai cependant quelques remarques et certainement quelques conseils pour tes prochains sinus-lift :
- position de la fenêtre latérale : il est pratique de mesurer sur l'OPG ou le scanner la hauteur de crête et de reporter cette mesure in situ, cela t'éviteras de taper dans la corticale et d'avoir un accès décalé et plus génant. Dans le cas où la hauteur de crête est très fine 2-3 mm, il est dans tous les cas fortement conseillé de rester à un minimum de 5mm de cette dite crête et ce afin d'éviter un effondrement crestal difficile à régénerer.
- taille de la fenêtre latérale : elle est dans ton cas acceptable même si j'ai l'habitude d'ouvrir un peu plus ... accès et élévation en sont facilités.
- volet osseux : de par ta préparation à la fraise boule il t'était impossible de repositionner le volet osseux en fin de chirugie. La logique voudrait que tu repousses ce volet dans le sinus afin de créer un "pseudo plafond sinusien". A la vue de tes photos il semblerait que tu es tout de même enlevé ce volet. Est ce que je me trompe ? si oui oublies ma question, si non pourquoi ?
- fracture d'insert mectron : quel est la référence de l'insert qui s'est cassé. Sous quel programme s'est il cassé? J'utilise le mectron pratiquement tous les jours. J'ai en 4 ans d'utilisation cassé un seul insert et par ma faute puisque j'ai alors utilisé un programme inadapté à l'insert.
- implantation simultanée : comme amibien le décrit j'aurais également dans ton cas opté pour une mise en place implantaire dans la foulée puisqu'il n'y a aucun doute à la vue de ton OPG qu'une stabilité primaire aurait été obtenue sans problème avec un implant conique.
- membrane de recouvrement : comme je l'ai écrit dans une autre post, plusieurs review de qualité s'accordent à dire que la recouvrement de la fenêtre d'accés est en corrélation avec un taux de survie implantaire amélioré à long terme. Je n'ai donc rien à te reprocher à ce niveua là. Cependant, j'aurais dans ton cas deplacé mon incision de décharge en mésial de la 25 afin d'éviter d'avoir ma limite membranaire en dessous de mon trait d'incision. Cela évite des complications d'éventuelle exposition si un point lache.

Amicalement
Olivier


Img 8465 fqhxid - Eugenol
noahaxeltiger-olivier

26/04/2009 à 23h36

Amibien écrivait:
-----------------
> Mais bon Dieu, tu n'as donc jamais vu une greffe de près ? La fenêtre d'accès au
> sinus se reconstitue intégralement, le bio oss sera intégré à de l'os nouveau et
> progressivement résorbé, la valeur biomécanique de l'ensemble sera plus grande
> au final que celle de l'os de départ ! Et il sera réimplanté une racine
> artificielle en lieu et place d'une dent qui fait défaut et d'un os qui s'est
> fait la malle... Tu appelles ça une mutilation ?


Juste pour illustrer tes propos amibien. Photos en fin de sinus lift et 6 mois après.

Cictrisation de la fenetre laterale xwesmc - Eugenol