Cookie Consent byPrivacyPolicies.comJ'ai été dépucelé deux fois cette semaine ! - Eugenol

J'ai été dépucelé deux fois cette semaine !

3f3boxni50k58rq7e9ce9ddqrxgk - Eugenol
dentiste57

28/04/2009 à 21h32

même avec un complet parfaitement déchargé ?

bon ok, j'en prends bonnes notes.


trimarc

28/04/2009 à 21h40

dentiste57 écrivait:
--------------------
> j'avais bien déchargé le complet sup au niveau des vis de cica mais je ne sais
> pas pourquoi cet andouille a voulu remettre son vieux stellite.

ton patient n'est pas en tord, mais toi oui!!!!

amibien et olivier ont raison: tu dois enfouir tes implants.
car ton patient va tôt ou tard remettre son appareil dessus (et généralement , les patients le font très tôt)

le temps perdu à faire du 2 temps, tu le regagnes largement car tu n'auras pas perdu un seul implant.

tu verras la deuxième fois est toujours la meilleure (en amour je parle............)


3f3boxni50k58rq7e9ce9ddqrxgk - Eugenol
dentiste57

28/04/2009 à 22h28

j'ai bien compris le message.

j'le f'rai pu...


S2y2o1v7q53ws4r5wy6ou8czrpom - Eugenol
pxav

28/04/2009 à 22h44

et ton patient non plus........avec ou sans la passssion

--
xbk


Img 8465 fqhxid - Eugenol
noahaxeltiger-olivier

28/04/2009 à 23h33

trimarc écrivait:
-----------------
> le temps perdu à faire du 2 temps, tu le regagnes largement car tu
> n'auras pas perdu un seul implant.

Attention à ne pas me faire dire ce que je n'ai pas dit. Il n'y a rien de mauvais dans le 1 temps chirurgical. Ce qui a était montré dans les différentes études précitées est le fait que les implants placés en 1 temps chirurgical, qui ne sont pas mis en charge immédiatement et qui sont soumis aux mouvements d'une prothèse amovible présentent une perte osseuse marginale supérieure au groupe controle. Cela ne veut pas dire qu'ils sont perdus, cela veut dire qu'ils présentent une perte osseuse marginale supérieure au groupe controle.


Amibien

29/04/2009 à 00h00

Pas eu besoin des études pour comprendre ma douleur (:-))


Img 8465 fqhxid - Eugenol
noahaxeltiger-olivier

29/04/2009 à 00h14

Amibien écrivait:
-----------------
> Pas eu besoin des études pour comprendre ma douleur (:-))

C'est clair ... on apprend toujours de ces propres erreurs ... mais c'est quand même plus agréable de tirer des enseignements des erreurs des autres ;-)


Fouilla h6plsy - Eugenol
fouilla

29/04/2009 à 00h40

pour consoler dentiste 57 : perdu quatre implants serf evl au maxillaire pour les mêmes raisons mais nous avions convenu avec la patiente de l'absence de prothèse pendant une semaine ( elle n'aura attendu que 4 heures pour porter le complet déchargé bien comme il faut mais comme la tenu était moyenne et qui très coquette a mis un paquet de colle pour que ça tienne).

bilan : perte de deux implants immédiatement puis cratérisation progressive autour des deux restants qui ont supporté une barre pendant deux ans mais j'ai fini par les déposer en les dévissant mais ils tenaient bien par les qq millimètres restants (force continue appliquée et avec un peu de patience l'interface a finie par céder).

+1 avec noah j'aime mieux profiter d l'expérienc des autres et avoir depuis à ma disposition un vrai systême deux temps.

allez demain à menton au syfac.


Amibien

29/04/2009 à 07h54

Menton, trop beau ce coin !


Dsc 0022 zyz4bz - Eugenol
Fred

29/04/2009 à 16h04

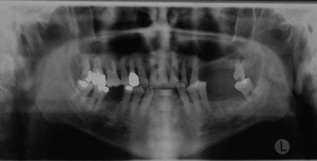
Pour revenir au sinus de dentiste 57, je n'ai pas encore fait mon premier, c'est pour bientôt !!
Joli boulot, la question que je me pose, c'est qu'il me semble voir sur la pano un pêche sur 25 et 27.
Est-ce que ça ne risque pas de foutre la greffe en l'air?

Sinon bravo à toi.


3f3boxni50k58rq7e9ce9ddqrxgk - Eugenol
dentiste57

29/04/2009 à 22h34

le SYFAC c'est trOmatisant.

http://www.easyimplant.com/fre_FR/actualites?module=actualites&action=detail&id_actu=42


S2y2o1v7q53ws4r5wy6ou8czrpom - Eugenol
pxav

30/04/2009 à 00h10



-- Fred :
»Pour revenir au sinus de dentiste 57, je n'ai pas encore fait mon premier, c'est pour bientôt !!
Joli boulot, la question que je me pose, c'est qu'il me semble voir sur la pano une pêche sur 25 et 27.
Est-ce que ça ne risque pas de foutre la greffe en l'air? »
Bien vu Fred ça m’interpelle aussi.
Mais comme le déclare Doc57 :
» J’attends d'être suffisamment formé avant de me lancer. Le tout est d'être près à gérer les problèmes. Ce n'est pas non plus parce qu'il peut y avoir des suites opératoires complexes qu'il ne faut rien faire. Avec un tel raisonnement, on en serait encore à l'âge de pierre. »
Si tu sais gérer les problèmes je te joins le pano de mon premier comblement de sinus (comblent mais pas soulevé) avec du TCP mélange à de la crête iliaque.
J’étais persuadé de faire avancer la science à l’époque, je ne savais pas encore ce qu’était le temps qui passe…….

xbk

Lardenois  4  sdim0818 z6trby - Eugenol
Lardenois  7  sdim0818 ln5vwd - Eugenol