Cookie Consent byPrivacyPolicies.comque me conseilleriez vous dans ce cas ci ? - Eugenol

que me conseilleriez vous dans ce cas ci ?

3f3boxni50k58rq7e9ce9ddqrxgk - Eugenol
dentiste57

11/05/2009 à 02h08

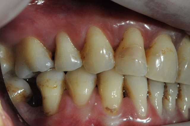
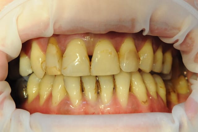
Jeune femme de 35 ans !
pas trop mal foutu au demeurant ( je sais, ça n'a rien à voir) et fumeuse de surcroit .
Ne découvre pas quand elle sourit.
Elle est venue consulter il y a 2 semaines en urgence pour mobilité et état infectieux sur 12.
La 12 est totalement perdue avec sa mobilité 3 sur l'échelle de Mhulmann, ce qui m'ennuie dans ce cas , c'est que le reste des dents, bien qu'étant fortement attaqué par la parodontite, ne soit que très faiblement mobile.

Là est donc mon dilemme; dois je tout extraire et planter à tout va (j'suis pas chaud) sachant qu'elle va perdre ses dents et le peu d'os qu'il lui reste si on temporise trop.

Ou bien, uniquement extraire et remplacer 12 par un implant qu'il sera ensuite plus difficile à intégrer avec les suivants.

Ou encore assurer le coté esthétique en retirant 12-11-21-22 et 2 implants au niveau de 12 et 22. puis gérer tranquillement le reste.
ce qui est sure, c'est que la 12 ne tiendra pas 3 mois de plus. Elle tient par l'opération du Saint Esprit et aussi par la contention que je lui ai faite.

A terme, dans tous les cas, tout va sauter!

Cas pour nonol cgcgye - Eugenol
Dsc 3003 oflxv3 - Eugenol
Dsc 3005 zoqdp9 - Eugenol

Dent masqu e petite f0pbaj - Eugenol
dudule

11/05/2009 à 02h52

Sans vraiment répondre à ta question et pour en soulever une autre... quel est l'avenir d'implants posés chez une patiente avec une paro agressive qui semble avoir un très bon contrôle de plaque ?
Il y a fort à parier qu'elle va rapidement développer une périimplantite toute aussi agressive, non ?


liné

11/05/2009 à 03h04

Bonsoir,
En ce qui me concerne pas d'implant unitaire dans ce contexte
plutôt bridge conventionnel 13 12 11. sachant que 13 et 11 sont porteuses de composites
Bon courage


S2y2o1v7q53ws4r5wy6ou8czrpom - Eugenol
pxav

11/05/2009 à 12h03

Salut D57
Tu fais comme d'hab. Tu pose les questions alors que tu sais déjà ou tu vas?
35 ans mignonne? Pas d'hésitations tu enlève le haut et elle pose le bas.......
Profites en tant quelle à encore ses dents....... quoi qu'il parait que le must c'est sans .......
Ben oui je suis poète et alors?
En dehors de ça rien ne permet dans cette bouche de considérer une dent en particulier.
Il est inconcevable de ne pas envisager la bouche dans son ensemble mis à part le besoin de faire de l’acte mais parler d’implants sur 12 vu l’état global ça le fait pas.
Si la patiente (psychologiquement ça ne va pas être simple) n’est pas d’accord pour un traitement global commençant par un arrêt du tabac qui te permettra de noter sa motivation, laisse tomber sinon cas très intéressant

--
xbk


liné

11/05/2009 à 15h45

Le problème n'est pas le placement d'un implant mais sa survie et le contexte parodontal n'est pas favorable quelque soit le type d'implant


sofy

11/05/2009 à 16h34

Moi
1) j'explique à la paTiente qu'elle risque de tout perdre
2) Que a paro ça marche meme si c'est du surcis sur 1 an , ou 2, ou 3, ou 4, ou 5 ou meme 10 ans.
3) Je lui traite sa paro avec hyper motivation (controle de plaque, surfaçage voir chir si necessaire)
4) Réglage de l'occusion (hyper important)
5) extration de la dent hyper mobile
6) Je coupe la racine de cette dent et la repositionne avec 2 atelles en U d'Abjean
7) Je propose une autre contention avec ces memes atelles en U sur les dents présentant tjrs une mobilité

Le patient dans ce cas est très reconnaissant
Le patient est en générale très heureux de repartir avec ses dents et de pouvoir prendre du recule pour faire la suite le jour ou il sera décidée. Ca evite la mutilation.
Et puis s'il soigne bien sa paro c'est bcp plus favorable pour l'implanto, les brigges complets....

Car tant qu'il y a un soucis paro comme celui là, les implants je n'y crois pas!


P1010130 jpci1f - Eugenol
MarcB6

11/05/2009 à 16h42

Salut D57,

tu as raison de décrire la patiente comme étant bien foutue... ça compte, surtout si tu dois envisager une solution globale, bon courage pour lui annoncer.

Si tu lui dit CASH qu'il faut tout enlever, il y' a fort à parier qu'elle te quitte pour aller prendre un autre avis.

Mon idée, c'est que malgré tout ce qui a été dit, tu ne peux pas décemment et psychologiquement proposer à une patiente de 35 ans de tout extraire.
Tu lui enlève les chances d'une éventuelle stabilisation de son état, et oui ça peut arriver.

Il ya des des cas ou malgré ce type d'atteinte les patients conservent leurs dents encore très longtemps.
En plus elle a une bonne hygiène, ce qui est très positif.

je dis toujours qu'il y' a la théorie et la pratique, càd la réalité clinique.

Parfois la survenue d'un problème de ce type leur fait prendre conscience qu'ils doivent changer leur habitudes.

A ta place je traiterai avec un implant la 12 et je motiverai la patiente pour réduire ou arrêter de fumer.
fais quand même attention, le biotype parondotal est assez fin.
de toute façon un implant sur une 12, tu pourra toujours le réutiliser.
J'ai déjà traité des patients de cette façon, ça se passe assez bien.

Vois un peu également le contexte familial et professionnel de la patiente, c'est souvent des patients hyper stressés... demande lui de lever le pied si elle peut.

Ces parodontites sont multi factorielles il faut plusieurs éléments réunis et en même temps pour qu'elles soient aussi agressives.

je ferai de la maintenance paro et je préviendrai la patiente que si elle continue de fumer..., elle risquait de perdre ces dents.

Souvent on obtient une stabilisation de l'état global

De cette façon tu aura eu un peu d'empathie face à une jeune patiente "pas mal" qui vient te voir alors qu'elle va perdre son sourire avec la perte de sa 12, c'est déjà beaucoup pour 35 ans.

Alors au diable la théorie et un peu de compréhension,
on est pas obligé de ne faire que des travaux qu'on pourrai garantir à vie aux patients, le tout c'est de les prévenir, ils le comprennent très bien.
Quand un patient a un cancer, on lui donne quand même un traitement, on lui dit pas de se tirer une balle dans la tête tout de suite même s'il est condamné.

Ne faisons pas aux autres ce qui ne se pratique dans aucune discipline médicale.

Cordialement
--
marcB6


Dr Mamour

11/05/2009 à 17h19

pxav écrivait:
--------------
> Salut D57
> Tu fais comme d'hab. Tu pose les questions alors que tu sais déjà ou tu vas?

ce ne serait pas par hasard l'hôpital qui se moque de l'infirmerie ?
comme d'autres l'ont déjà remarqués avant moi dans le poste "que faire" où Humator disait;
bonjour pierre xavier,
"vu les cas que tu as posté précédemment, je me demande pourquoi tu demande "que faire?", mais bon..."

ou encore, Noahaxeltiger-olivier;
"Sinon pour répondre à ta question, tout pareil d'humator. Aussi étonné que tu demandes aux vues de tes derniers posts !"



--
Dr Mamour
le seul qui vous aime.


gianni

11/05/2009 à 20h35

Ce qui m' inquiète dans la perpective de prothèses fixes, ce sont les secteurs 3 et 4 ... Meme si tu extrais 36 37 46 47, en fixe on a un nombre de solutions assez proche de zéro...


S2y2o1v7q53ws4r5wy6ou8czrpom - Eugenol
pxav

11/05/2009 à 20h41

la charité s'il vous plait!
je suis désolé mais je suis fier comme un bartabac et j'aimes bien allumer la mêche de D57 je sais que lui comprends.
et puis demander l'avis des autres ce n'est peut etre pas indispensable mais quand tu en trouve un qui est de ton avis ça fait pas de mal.


--
xbk


3f3boxni50k58rq7e9ce9ddqrxgk - Eugenol
dentiste57

12/05/2009 à 14h55

sofy écrivait:
--------------
> Moi
> 1) j'explique à la paTiente qu'elle risque de tout perdre

elle le sait déjà et elle s'est résignée à devoir tout extraire.
encore une fois je ne suis pas très chaud.

> 2) Que a paro ça marche meme si c'est du surcis sur 1 an , ou 2, ou 3, ou 4, ou
> 5 ou meme 10 ans.

pas de problèmes, la paro j'y crois aussi pour avoir sauver des situations quasi désespérées. Mais que restera t'il au bout de 10 ans.
> 3) Je lui traite sa paro avec hyper motivation (controle de plaque, surfaçage
> voir chir si necessaire)
ok
> 4) Réglage de l'occusion (hyper important)
ok++
> 5) extration de la dent hyper mobile
super ok. De toute façon, si c'est pas moi qui le fait, la nature s'en chargera toute seule.
> 6) Je coupe la racine de cette dent et la repositionne avec 2 atelles en U
> d'Abjean
> 7) Je propose une autre contention avec ces mêmes atelles en U sur les dents
> présentant tjrs une mobilité

elles sont toutes mobiles. bien entendu le traitement de la paro passe obligatoirement par des contentions sur toutes les dents mobiles

le jeune âge de la patiente est évidemment un frein important pour tout extraire, j'essaye de me mettre à la place de celle ci...Elle est plus motivée que moi pour les extractions.
un bridge au niveau de la 12 est exclu à cause des mobilités des dents adjacentes.
pour le bas je pensais extraire la 37 avant qu'il n'y ait trop de destruction osseuse.

je dois bien avouer qu'ici j'ai un peu de mal à me décider.
c'est le sempiternel dilemme entre la paro et l'implanto.
quand faut il franchir la limite ?


S2y2o1v7q53ws4r5wy6ou8czrpom - Eugenol
pxav

12/05/2009 à 16h22

Le jeune âge de la patiente est évidemment un frein important pour tout extraire, j'essaye de me mettre à la place de celle ci...Elle est plus motivée que moi pour les extractions.
Un bridge au niveau de la 12 est exclu à cause des mobilités des dents adjacentes.
Pour le bas je pensais extraire la 37 avant qu'il n'y ait trop de destruction osseuse.
Je dois bien avouer qu'ici j'ai un peu de mal à me décider.
C’est le sempiternel dilemme entre la Paro et l'implanto.
Quand faut-il franchir la limite
Bonjour D57
Tu résume bien le problème, même avec un gros budget, et une grande motivation, la patiente n’est pas dans une situation simple.
Quelques fois nous ne sommes pas capables de résoudre certains cas et ça n’a rien de drôle. J’ai une sainte horreur de ça. Mince j’ai bac + X et je suis moins bon que la nature? Que ma femme me le dise c'est normal, il lui arrive de dire des bêtises, mais que je ne trouve pas la solution dans mon métier!
Je crois que pour cette patiente le moment n’est pas le bon. Si seulement elle n’avait plus ses dents tu arriverais à lui trouver un mieux, mais là.
Quand j’étais jeunot et doué, j’ai eu l’occasion de traiter un cas équivalent, voilà ce que je ferais si je savais encore :
1 Paro +++
Extr . 37 soins si possibles 46
Puis bridge/attelle de contention en or (aie) éventuellement en conservant 32/31/41/42 (transisses) suivant le pronostic.
Idem pour le max sup 17 ext (ou soins si possible) 12 ext 11 à voir pour 28/27/26 extrac de celle qui ne tien pas et idem bridge/attelle or si possible relativement « tendre » (genre 22 carats)
Je sais ce n’est pas d’actualité mais tu va rétablir une occlusion tip top avec un matériau qui s’adaptera à la « mobilité » et si le suivi Paro est bon la patiente ne retrouvera pas ses problème avant la crise de la cinquantaine.
Sur les 3 cas que j’ai traité comme ça en 81/82 (à l’époque l’or passait bien) un vie maintenant en implanto porté mais les deux autres croquent à belles dents
Par contre sur « acier » je n’ai pas eu de bons résultats à moyens termes
Bon courage


--
xbk


3f3boxni50k58rq7e9ce9ddqrxgk - Eugenol
dentiste57

12/05/2009 à 22h55

Merci pour le conseil sur la contention en or.

Je suis un peu déçu, peu de personnes s'intéressent à ce cas.
C'est parce que c'est trop difficile ?

::)


Audi tt 2007 jzsdts - Eugenol
sbire

12/05/2009 à 23h23

oui!


Img 8465 fqhxid - Eugenol
noahaxeltiger-olivier

12/05/2009 à 23h44

Ton cas est très intéressant parce qu'il peut être abordé de plusieurs facons et toutes les alternatives sont envisageables à partir du moment où elles sont motivées et surtout expliquées sérieusement à la patiente.
On l'a tous compris cette patiente présente une parodontite aggressive généralisée et le pronostic de ses dents est mauvais dans tous les cas à long terme.
Quand j'aborde ce genre de patient, je commence par demander quelles sont les demandes et souhaits de la patiente : conservation à tout prix d'un maximum de dents ? esthétique en premier? fonction en premier? veux un traitement de long terme?

Après élimination des poches (par traitements paro adaptés à la pathologie de la patiente ... je ne rentre pas dans les détails),extractions des dents dont le pronostic est mauvais, il est parfaitement envisageable de conserver des dents mobiles à partir du moment où on les solidarise. Un bridge est à mon sens plus adapté et a un meilleur pronostic que des contentions. Les limites du bridge seront juxta ou supragingivales. Ta patiente devra en plus d'arrêter de fumer, suivre un programme de maintenance adapté et être consciente qu'esthétiquement le résultat ne sera jamais parfait (perte papillaire, longues dents, ...). Ce type de traitement présente de très bons résultats à long terme si le patient suit bien tout le programme du traitement parodontal et est souvent préconiser dans le cas de parodontite aggressive chez le sujet jeune.(travaux de Lundgren et de Wennström pour la Suède, de König pour la Suisse, de De Boever pour l'Allemagne)

Si ta patiente à des impératifs esthétiques importants, alors l'extraction totale maxillaire et mandibule est à envisager. Ta patiente doit dans tous les cas réduire au maximum tous les facteurs de risque (tabac) et suivre en plus du traitement implantaire un programme de maintenance rigide. Compte tenu du caractère très aggressif de la parodontite qu'a développé ta patiente à 35 ans, il est important de lui préciser que le risque de periimplante est grand, très certainement inévitable à long terme. Un choix judicieux d'une surface implantaire adaptée est alors à prendre en compte.
Je te renvoie sur les études de Mengel si tu veux avoir plus d'infos sur les traitements implantaires chez les sujet atteints de parodontite aggressive.
Je te renvoie sur les étude de Berglundh si tu veux avoir plus d'infos sur les surfaces implantaires et les periimplantites.

Bon courage.
Olivier.


Logo vuaztn - Eugenol
mac

13/05/2009 à 00h00

noahaxeltiger-olivier écrivait:
-------------------------------
Un choix judicieux d'une surface
> implantaire adapté est alors à prendre en compte.


c'est à dire olivier, quelle surface implantaire utiliserais tu?


Img 8465 fqhxid - Eugenol
noahaxeltiger-olivier

13/05/2009 à 00h10

Je te laisse lire le résumé d'un des articles en question :

http://www.ncbi.nlm.nih.gov/pubmed/18828815?ordinalpos=2&itool=EntrezSystem2.PEntrez.Pubmed.Pubmed_ResultsPanel.Pubmed_DefaultReportPanel.Pubmed_RVDocSum


Logo vuaztn - Eugenol
mac

13/05/2009 à 00h28

j'ai survolé l'article, peut-on assimiler le tioblast et l'osseospeed olivier?


Blason dql7mj - Eugenol
growler

13/05/2009 à 00h31

osseospeed c'est pas un sablé-mordancé?


Img 8465 fqhxid - Eugenol
noahaxeltiger-olivier

13/05/2009 à 01h00

1- Astra OsseoSpeed est la seconde génération de TiOblast modifié au fluor. (correspond au groupe B de l'article de Berglundh)

2- Straumann SLA est une surface sablée-mordancée. (correspond au groupe C de l'article de Berglundh)

Obs : Pour ceux qui se demandent ce qu'est la surface SLActive, c'est une surface SLA (surface sablée-mordancée) conditionnée sous atmosphère d'azote.


sofy

13/05/2009 à 02h08

dentiste57 écrivait:
--------------------
> sofy écrivait:
> -------------
> elles sont toutes mobiles. bien entendu le traitement de la paro passe
> obligatoirement par des contentions sur toutes les dents mobiles
>
> le jeune âge de la patiente est évidemment un frein important pour tout
> extraire, j'essaye de me mettre à la place de celle ci...Elle est plus motivée
> que moi pour les extractions.
> un bridge au niveau de la 12 est exclu à cause des mobilités des dents
> adjacentes.
> pour le bas je pensais extraire la 37 avant qu'il n'y ait trop de destruction
> osseuse.
>
> je dois bien avouer qu'ici j'ai un peu de mal à me décider.
> c'est le sempiternel dilemme entre la paro et l'implanto.
> quand faut il franchir la limite



> Ecoute
sincèrement commence par la paro, et vire les dents dont les mobilité sont franchement importantes
et franchement pour avoir un peu traiter ce genre de cas ca marche!
Quoi de mieux de garder ses dents le plus lgtps possible!
La contention peut etre provisoire en attendant une contention par un bridge si dans 6 mois 1 an sa paro se stabilise. L'esthetique sera alors amélioré.
Et pour le recul en ce qui me concerne j'en suis à 3 ans et tout va bien.
Oui c'est sur je revois très regulièrement ce genre de patient mais une chose est sur c'est qu'il n'oublie jamais leur rv de maintenance!

Vraiment extraire la 12 et la repositionner sur l'arcade avec des atelle en U, c'est vraiment magique.
J'insiste encore qu'il s'agit d'une solution provisoire mais le patient est ravi, il n'y voit que du feu.

C'est du surcis mais ca peut durer lgtps, va c'est sur!



3f3boxni50k58rq7e9ce9ddqrxgk - Eugenol
dentiste57

13/05/2009 à 02h10

noahaxeltiger-olivier écrivait:

> Obs : Pour ceux qui se demandent ce qu'est la surface SLActive, c'est une
> surface SLA (surface sablée-mordancée) conditionnée sous atmosphère d'azote.

ce n'est pas tout à fait exacte, seul le rinçage après le sablage et mordançage est fait sous atmosphère N2. Ensuite, l'implant est conditionné dans une solution de Na Cl isotonique pour que l'implant garde ses propriétés hydrophiles. C'est certainement le meilleur état de surface au monde mais c'est aussi l'un des implants le plus cher...


sofy

13/05/2009 à 02h17

pxav écrivait:
--------------
> Je crois que pour cette patiente le moment n’est pas le bon. Si seulement elle
> n’avait plus ses dents tu arriverais à lui trouver un mieux, mais là.

> voilà ce que je ferais si je savais encore :
> 1 Paro +++
> Extr . 37 soins si possibles 46
> Puis bridge/attelle de contention en or (aie) éventuellement en conservant
> 32/31/41/42 (transisses) suivant le pronostic.
> Idem pour le max sup 17 ext (ou soins si possible) 12 ext 11 à voir pour
> 28/27/26 extrac de celle qui ne tien pas et idem bridge/attelle or si possible
> relativement « tendre » (genre 22 carats)
> Je sais ce n’est pas d’actualité mais tu va rétablir une occlusion tip top avec
> un matériau qui s’adaptera à la « mobilité » et si le suivi Paro est bon la

ce ttt me parait pas mal
vu son jeune age, il ne faut surtout pas qu'elle regrette l'edentement prématurée

Pense plutot à la paro paro, contention et occlusion

Ca marche tant mieux

Ca ne marche pas, tu t trouveras sur un terrain plus favorable pour passer à l'implanto

Encore une fois, que ferais-tu si cela te concernais????

TTT radical et irréversible? ou on tente de sauver...??

Bon courage

Sof


Logo vuaztn - Eugenol
mac

13/05/2009 à 08h57

noahaxeltiger-olivier écrivait:
-------------------------------
> 1- Astra OsseoSpeed est la seconde génération de TiOblast modifié au fluor.
> (correspond au groupe B de l'article de Berglundh)
>

je sais bien olivier, mais peut on transposer les résultats?


Blason dql7mj - Eugenol
growler

13/05/2009 à 12h11

dentiste57 écrivait:
--------------------
> noahaxeltiger-olivier écrivait:
>
> > Obs : Pour ceux qui se demandent ce qu'est la surface SLActive, c'est une
> > surface SLA (surface sablée-mordancée) conditionnée sous atmosphère d'azote.
>
> ce n'est pas tout à fait exacte, seul le rinçage après le sablage et mordançage
> est fait sous atmosphère N2. Ensuite, l'implant est conditionné dans une
> solution de Na Cl isotonique pour que l'implant garde ses propriétés
> hydrophiles. C'est certainement le meilleur état de surface au monde mais c'est
> aussi l'un des implants le plus cher...

quand Olivier parle de conditionnement, il s'agit bien de l'étape où l'implant est mis en place dans la capsule remplie de solution isotonique (enfin c'est ce que j'avais compris par le terme "conditionnement"). l'histoire de la solution isotonique était, à mon avis, sous-entendu car quel implanto ne sait pas que les implants SLA active baignent dans une solution saline? Nous avons tous eu au moins une fois la visite d'un représentant pour nous montrer ce conditionnement original.

en fait, du rinçage au conditionnement, tout est fait sous atmosphère d'azote.


12