Cookie Consent byPrivacyPolicies.comun cas pour PXAV. - Eugenol

un cas pour PXAV.

3f3boxni50k58rq7e9ce9ddqrxgk - Eugenol
dentiste57

14/05/2009 à 22h53

ça c'est le domaine de pxav.
qu'en penses tu ?

j'ai besoin de 4 implants au maxillaire pour faire tenir son complet.
dans la zone postérieur, pas de problème, mais devant, c'est une autre histoire.

Dsc 3316 hbetdi - Eugenol
Dsc 3310 bg0d0q - Eugenol
Dsc 3317 ugxt1t - Eugenol
Dsc 3312 slrudy - Eugenol
Dsc 3304 dg4e3f - Eugenol
Dsc 3315 exem5f - Eugenol
Dsc 3314 hn2zmz - Eugenol
Dsc 3311 rxfred - Eugenol
Dsc 3308 qd71np - Eugenol
Dsc 3307 tmk0ls - Eugenol
Dsc 3306 deifzw - Eugenol
Dsc 3305 oom1q1 - Eugenol
Dsc 3303 h2cphu - Eugenol
Dsc 3313 wfhlxn - Eugenol
Dsc 3309 bbzz6z - Eugenol

3f3boxni50k58rq7e9ce9ddqrxgk - Eugenol
dentiste57

14/05/2009 à 23h01

la suite

Dsc 3333 b37dqd - Eugenol
Dsc 3331 bnq5jt - Eugenol
Dsc 3321 mltebm - Eugenol
Dsc 3329 somjrt - Eugenol
Dsc 3328 wfcds9 - Eugenol
Dsc 3326 o6s4su - Eugenol
Dsc 3320 x7rgcw - Eugenol
Dsc 3319 ud1tb4 - Eugenol
Dsc 3330 srllzu - Eugenol
Dsc 3332 krv6uv - Eugenol
Dsc 3325 rjjj4j - Eugenol
Dsc 3323 fe13zr - Eugenol
Dsc 3322 y6oczg - Eugenol
Dsc 3327 g2exck - Eugenol
Dsc 3324 obsxsj - Eugenol

S2y2o1v7q53ws4r5wy6ou8czrpom - Eugenol
pxav

14/05/2009 à 23h23

Génial celui la je l’ai pas dans ma collection, je te l’échange tu veux bien un voir 2 kinderbueno stp !

Non sans décorner, superbe cas de début pour expansion, bone splitting et tout et tout.

Je suis à la maison et j’ai un écran 1à pouces donc sans possibilité de détailler mais je pense que c »est un très joli cas, tu veux le faire comment ?

Si tu décides expansion et divers je peux te prêter le matériel que tu n’aurais pas.

La suite quand je serais devant un écran plus grand


--
xbk


S2y2o1v7q53ws4r5wy6ou8czrpom - Eugenol
pxav

14/05/2009 à 23h35


c'est tellement sympa que j'y suis deja retourné.
la corticale a l'air tiptop, par contre en cas d'expansion il faut eventuellemnt augmenter le nombre d'implant à 6 pour compenser eventuellement le manque d'epaisseur 'avis personnel)
si tu as un pano ça permet de situer differement
--
xbk


Img 8465 fqhxid - Eugenol
noahaxeltiger-olivier

14/05/2009 à 23h56

Je suis sceptique sur la gestion de ce cas par bone splitting puisqu'il met parait très difficile d'obtenir un volume osseux peri-implantaire crestal suffisant et satisfaisant.
Moi je gererais ce cas plutot par une combinaison de greffe osseuse d'apposition (ramique bilaterale + mentonnier) et GBR.


Blason dql7mj - Eugenol
growler

15/05/2009 à 00h04

+1 Olive, ce serait à mon avis plus prédictible avec des greffes. Je doute qu'on puisse obtenir suffisamment d'os en vestibulaire et en palatin des implants en splittant une crête aussi fine.


S2y2o1v7q53ws4r5wy6ou8czrpom - Eugenol
pxav

15/05/2009 à 00h07

d'ou l'interet de montrer des cas comme ça, echanges d'idées, opinions differentes, donc reflexions et pourquoi pas progres
tu m'intimide un peu Olivier alors j'y vais doucemnt

--
xbk


Img 8465 fqhxid - Eugenol
noahaxeltiger-olivier

15/05/2009 à 01h03

pxav écrivait:
--------------
> tu m'intimide un peu Olivier alors j'y vais doucemnt

T'as aucune raison d'être intimidé ! Let's go, show us! ;-))


3f3boxni50k58rq7e9ce9ddqrxgk - Eugenol
dentiste57

15/05/2009 à 01h15

désolé, en ce moment je ne brille pas par ma présence sur les sujets que je poste.
je m'aperçois qu'il manque des coupes.
je les mettrai dés demain.
ravis que ça vous plaise.

:)


trimarc

15/05/2009 à 01h25

noahaxeltiger-olivier écrivait:
-------------------------------
> Je suis sceptique sur la gestion de ce cas par bone splitning puisqu'il met
> parait très difficile d'obtenir un volume osseux peri-implantaire crestal
> suffisant et satisfaisant.

+1 avec toi olivier,

> Moi je gererais ce cas plutot par une combinaison de greffe osseuse d'apposition
> (ramique bilaterale + mentonnier) et GBR.

-1 avec toi olivier,
le patient a un complet qu'il veut faire stabiliser par des implants.
perso, je pense que la stabilisation d'un complet par des implants au niveau maxillaire n'est pas fiable (50% de perte à 10 ans).
si tu veux partir sur des greffes, alors pourquoi ne pas faire un double sinus, 8 implants en postérieur et tu gères le soutien de la lèvre tranquillement avec un bridge et une fausse gencive.


3f3boxni50k58rq7e9ce9ddqrxgk - Eugenol
dentiste57

15/05/2009 à 01h26

growler écrivait:
-----------------
> +1 Olive, ce serait à mon avis plus prédictible avec des greffes. Je doute
> qu'on puisse obtenir suffisamment d'os en vestibulaire et en palatin des
> implants en splittant une crête aussi fine.

c'est une très bonne question que tu soulèves là. quel est l'épaisseur osseuse nécessaire en vestibulaire et en palatin?
y a t'il un consensus ?


Cuisinier2 vnbbxx - Eugenol
jeff2

15/05/2009 à 01h32

je pense comme toi trimarc, un double soulevé de sinus,
et sans doute une greffe antérieure par prelevement mentonnier
On devrait mettre 6 implants correct, mais pas d'expansion dans ce cas
je précise, je ne pose aucun implant dans mon excercice, mais j'ai la chance d'avoir une correspondante hors paire


Img 8465 fqhxid - Eugenol
noahaxeltiger-olivier

15/05/2009 à 01h40

trimarc écrivait:
-----------------
> -1 avec toi olivier,
> le patient a un complet qu'il veut faire stabiliser par des implants.
> perso, je pense que la stabilisation d'un complet par des implants au niveau
> maxillaire n'est pas fiable (50% de perte à 10 ans).

Est ce ton appréciation personnelle ? Parce que si on se relate à la littrature scientifique le taux de survie à 10 ans pour un overdenture au maxillaire est de plus de 85%.
Je te laisse voir une étude toute récente à ce sujet :
http://www.ncbi.nlm.nih.gov/pubmed/19418867?ordinalpos=1&itool=EntrezSystem2.PEntrez.Pubmed.Pubmed_ResultsPanel.Pubmed_DefaultReportPanel.Pubmed_RVDocSum

> tu gères le soutien de la lèvre tranquillement avecun bridge et
> une fausse gencive.

Désolé de te contredire mais tu obtiendras un meilleur soutient de lèvre avec un overdenture, y a pas photo.

Amicalement
Olivier


Smile beach jgh0a1 - Eugenol
Céramik

15/05/2009 à 03h48



Je me base sur les travaux et publications du Dr Misch.
Haut sur 4 implants = non merci, sauf si tu veut des emerdes.

Selon la forme de l'arcade, la densité osseuse, les forces de mastications , la position des implants, le support de la lèvre, tu dois choisir d'abord le type de prothèse, les objectifs et ensuite le nombre d'implants requis, et les besoin en masse osseuse.

Prévoir la prothèse, évaluer l'os, créer l'os manquant, poser les implants requis et ensuite arriver au résultat.

Si tu places des implants dans la situation actuelle et ensuite tu tentes de trouver une solution prothétique...tu va avoir de jolis problèmes.

Un haut, le minimum c'est 5 implants, une barre, et un over-denture. Position canines, molaires et un vers le centre.

Mieux encore, 7 implants (molaire, prémolaire, canine et vers le centre.

Pour l'expension, hônnetement, j'aimerais en savoir plus pour peut-être en faire plus, mais si tu n'as pas 2 mm d'os buccal ET lingual, tu augmentes tes risques. Les sinus lifts fonctionnemt très bien, faut pas s'en priver dans la plan de traitement global.


Bon, Growler et Olivier peuvent me corriger si besoin ...

;-)

--
Céramik


S2y2o1v7q53ws4r5wy6ou8czrpom - Eugenol
pxav

15/05/2009 à 09h44

Bonjour à tous

Vous avez des avis intéressants mais nous avons un peu tous le même défaut : nous privilégions notre chapelle.

D’un coté les pros de la greffe de l’autre le partisan de l’expansion, et au centre celui qui ne fait pas mais qui connait quelqu’un qui sait.

Nous avons sans doutes tous raisons et tord, il n’y a pas de sciences ni de méthodes exactes.


En ce qui concerne l’expansion, je vais peut etre en faire hurler certains,
J’ai pratiquement les mêmes résultats que dans l’implanto classique, si j’ai 3 mm d’os en épaisseur.
Si je dispose de 2mm j’ai encore 85% de succès
À environ 1,5 mm je descends à 50% (c’est bas mais ça veut dire qu’un cas sur deux bénéficie d’implants alors que normalement ......)

Ces données n’ont pas de valeurs autres que pour moi donc n’en déduisez pas que c’est la règle !

C’est la mienne, c’est tout.

Mais quel pied quand tu place dans la feuille palatine un D4 qui fait 4x20mm et que ça supporte un bridge complet (pas tous seul)

Je suis complètement d’accord sur le nombre d’implants, 4 c’est léger, je fais un cas en ce moment et je suis sur une base 8 implants

De ce que j’ai vu du cas de D57 c’est me semble t il un magnifique cas d’expansion, ce qui ne veut pas dire rien d’autre

l’expansion n’est pas que latérale, soulevé une membrane c’est aussi de l’expansion (verticale)

Ne t’inquiète pas olivier intimidé mais pas bloqué
(j’admire la façon académique dont tu présente les cas)
--
xbk

Fajo  16.09 - Eugenol

S2y2o1v7q53ws4r5wy6ou8czrpom - Eugenol
pxav

15/05/2009 à 11h43

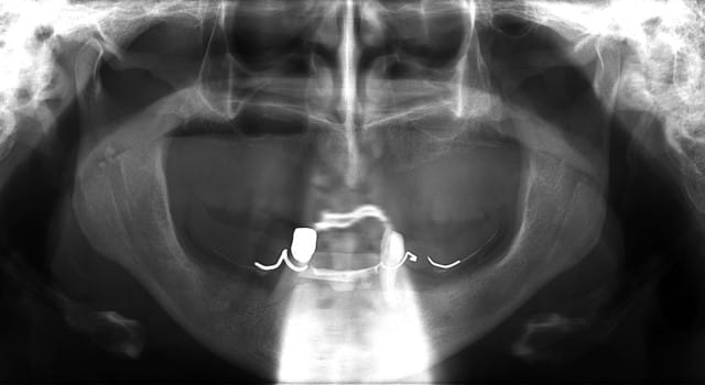
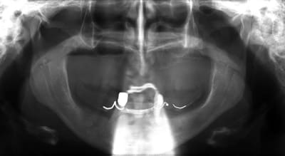
un pano stp D57.
merci


--
xbk


3f3boxni50k58rq7e9ce9ddqrxgk - Eugenol
dentiste57

15/05/2009 à 15h07

voili, voila...

avant de faire la tomosynthèse je comprenais pas pourquoi j'avais aussi peu de contraste.

le patient ne souhaite pas, ou ne peut pas se faire poser 6 implants en haut, donc...overdenture sur 4. (si possible)

4 mini implants de prévues en bas...

Cas pour xpav e1rypn - Eugenol

S2y2o1v7q53ws4r5wy6ou8czrpom - Eugenol
pxav

15/05/2009 à 16h47


merci
je maintient expansion, cas magnifique pour démo que ça fonctionne
Age du patient, analyse et photos si tu as je reflechis à un petit truc et je te propose, eventuellement, une solution pour la pérenité du cas.
--
xbk


Casque beotien a3jo39 - Eugenol
beotien

15/05/2009 à 17h15

;


S2y2o1v7q53ws4r5wy6ou8czrpom - Eugenol
pxav

15/05/2009 à 17h37

et bien un pano si tu veux
--
xbk


3f3boxni50k58rq7e9ce9ddqrxgk - Eugenol
dentiste57

15/05/2009 à 19h51

des photos ?

ok , en voilà...

ceux sont les photos du guide radio.
Mon prothésiste est un petit rigolo qui s'amuse à colorer les dents.
Ici le guide radio est préparé pour laisser passer l'embout de calage lors de la tomosynthèse de façon à ce que les deux appareils soient parfaitement stables.
les deux incisives centrales sont donc meulées.

Dsc 3273 ndqawn - Eugenol
Dsc 3274 gp6hoi - Eugenol
Dsc 3275 y92mdx - Eugenol
Dsc 3278 beuzgi - Eugenol
Dsc 3276 w91mum - Eugenol
Dsc 3281 mzef12 - Eugenol

Img 8465 fqhxid - Eugenol
noahaxeltiger-olivier

16/05/2009 à 01h24

dentiste57 écrivait:
--------------------
> c'est une très bonne question que tu soulèves là. quel est l'épaisseur osseuse
> nécessaire en vestibulaire et en palatin?
> y a t'il un consensus ?

Ce n'est pas vraiment un consensus mais plutot du bon sens. Si tu as une crête en profil de lame de couteau cela signifie que tu as une fusion des corticales vestibulaire et palatine et donc absence de spongieux, ce qui comme tu le sais n'est pas indiqué en implanto (cj os de marbre par exemple)
Il me semble que Palti ou encore Szmukler-Moncler recommandent un minimum de 2-3mm. Si c'est plus fin, greffe d'apposition et GBR.
Dans ton cas il te faudrait abaisser la crête de 3 bons mm pour arriver à cette épaisseur.


trimarc

16/05/2009 à 02h03

noahaxeltiger-olivier écrivait:
-------------------------------
> trimarc écrivait:
> -----------------
> > -1 avec toi olivier,
> > le patient a un complet qu'il veut faire stabiliser par des implants.
> > perso, je pense que la stabilisation d'un complet par des implants au niveau
> > maxillaire n'est pas fiable (50% de perte à 10 ans).
>
> Est ce ton appréciation personnelle ? Parce que si on se relate à la littrature
> scientifique le taux de survie à 10 ans pour un overdenture au maxillaire est de
> plus de 85%.

sur 6 implants: 4 implants au maxillaire est une solution sans intérêts. soit tu fais du fixe ou soit de l'amovible

On est capable de faire tenir un appareil complet maxillaire si le bas est fixe ou en overdenture. Donc je pense que l'overdenture maxillaire est un surtraitement (par rapport à un complet classique) ou un sous traitement (par rapport à une solution fixe)


> > tu gères le soutien de la lèvre tranquillement avecun bridge et
> > une fausse gencive.
>
> Désolé de te contredire mais tu obtiendras un meilleur soutient de lèvre avec un
> overdenture, y a pas photo.

tu peux gérer l'esthétisme avec ta fausse gencive sans aucun problème



S2y2o1v7q53ws4r5wy6ou8czrpom - Eugenol
pxav

16/05/2009 à 10h22

Un mot dont je n’étais pas sur :
L'esthétisme est un courant artistique et littéraire anglais du dernier quart du XIXe siècle, repris en France vers 1890-1900.
L'esthétisme désigne aussi la tendance à évaluer les valeurs humaines du seul point de vue esthétique, les valeurs du beau et de l'agrément étant alors considérées comme supérieures. Ce terme a le plus souvent un sens dépréciatif.

Olivier nous dit :

Ce n'est pas vraiment un consensus mais plutôt du bon sens. Si tu as une crête en profil de lame de couteau cela signifie que tu as une fusion des corticales vestibulaire et palatine et donc absence de spongieux, ce qui comme tu le sais n'est pas indiqué en implanto (cj os de marbre par exemple)
Il me semble que Palti ou encore Szmukler-Moncler recommandent un minimum de 2-3mm. Si c'est plus fin, greffe d'apposition et GBR.
Dans ton cas il te faudrait abaisser la crête de 3 bons mm pour arriver à cette épaisseur.

Le bon sens prés de chez vous !

Mais est il le même prés de chez moi!

D’accord sur les 2-3mm c’est la sécurité en dessous c’est plus hot.

Mais quid des greffes d’apposition ? 100% ? Non alors si tu additionne les risques il me semble que nous nous retrouvons à des niveaux équivalents, mis à part le nombre d’interventions.


--
xbk


S2y2o1v7q53ws4r5wy6ou8czrpom - Eugenol
pxav

16/05/2009 à 16h38

Une petite étude de ton cas D57

Sous réserves bien sur de voir l’animal en vrai

Les zones exploitables radiologiquement parlant:

Coupes implant
2,3 40100
4,96 35130 avec sinus lift mais difficile
5,25 35150
6,02 35130
6,78 35115 après réduction de hauteur de crête
7,26 35115 après réduction de hauteur de crête
8,51 35150
10,43 40115 ou 50115
11,10 40115

Ce qui nous fait 9 implants possible évidement avec un comblement de sinus on augmenterait encore les zones implantable mais ce n’est pas le but recherché, avec 8 (4+4) il doit être possible de faire une belle barre support de complet
Je n’ai pas eu le temps de te téléphoner, ça viendra
A +


--
xbk


12...