Cookie Consent byPrivacyPolicies.comchirurgie mucogingivale periimplantaire ... - Eugenol

chirurgie mucogingivale periimplantaire ...

Smile beach jgh0a1 - Eugenol
Céramik

06/06/2011 à 04h42

noahaxeltiger-olivier écrivait:
-------------------------------
> Merci Céramik pour ces informations. Mais ce n'est qu'une recette de cuisine.
> Quelle est la preuve scientifique de tout cela ??
> Il y a-t-il une étude montrant que la décontamination à l'eau oxygénée est mieux
> qu'à la Chx ou avec le laser ???

J'ai trouvé ceci, ce n'est qu'un clinical case, mais c'est un début...

http://www.joionline.org/doi/abs/10.1563/AAID-JOI-D-10-00165?journalCode=orim

--
Céramik


Blason dql7mj - Eugenol
growler

07/06/2011 à 00h16

hello toutes et tous!

il reste 6 places disponibles pour le stage intensif théorique et pratique (TP sur mâchoires animales) qui aura lieu les 27 et 28 septembre à Mulhouse, stage dispensé par olivier Noahaxeltiger en personne. Le stage aura lieu dans une salle de 100 m² avec rétropojecteur, paperboard, je me charge des retransmissions vidéos.
les programmes de chaque journée sont visibles ici:

http://minilien.fr/a0knvt

chaque participant sera doté d'un polycopié reprenant toutes les photos en couleur du powerpoint des cours avec page de garde pour écrire. les TP sur mâchoires animales se feront en binôme après démonstrations par Olivier (et retransmises sur grand écran). Toutes les démonstrations seront reprises en intégralité sur un DVD remis à chaque participant quelques jours après le stage.
Que vous dire de plus? si vous venez de loin, il y un aéroport international à Bâle situé à 30 minutes de Mulhouse.


n'hésitez pas à me poser des questions si vous aviez quelques interrogations quant au déroulement de ces 2 jours.

@+


Blason dql7mj - Eugenol
growler

28/06/2011 à 00h55

me reste 4 places disponibles.

http://minilien.fr/a0knvt







Fouilla h6plsy - Eugenol
fouilla

02/09/2011 à 13h08

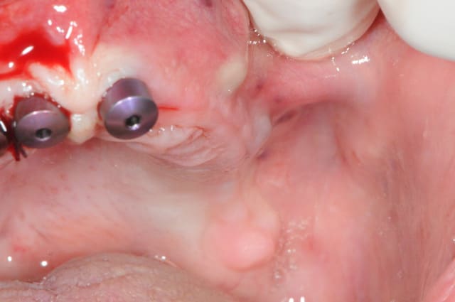
ce matin trois petits implants et mise en place des vis de cicat simultané
technique de palacci et à priori je suis assez content de moi

encore merci monsieur noah dont j'ai raté le nananiv ya pas longtemps BA tout de même olivier


--
.

Img 5669 umwmqv - Eugenol
Img 5663 ojygs4 - Eugenol

Photo pluton1b h9n4ea - Eugenol
pluton

02/09/2011 à 13h23

joli fouilla...;-)

t'aurais pu par contre virer le coup de crayon sur la canine...;-)


Smile beach jgh0a1 - Eugenol
Céramik

02/09/2011 à 14h38


Joli

Montre nous photo gencive au buccal dans 4 mois.
Je pense qu'une greffe de GA sera peut-être requise.



--
Céramik


3f3boxni50k58rq7e9ce9ddqrxgk - Eugenol
dentiste57

02/09/2011 à 15h21

merci pour ton cas présentant un une chir muco implantaire dite de Palaci.

en attendant la suite, je m'y colle aussi.
ici gencive attachée déplacée apicalement autour d'un pilier implantaire lors de la mise à jour.

pour info, les implants avaient été posés après extractions , j'avais mal jaugé la future résorption osseuse...

Dsc 4754 wqdxji - Eugenol
Dsc 4753 gkacbr - Eugenol
Dsc 4755 e8noik - Eugenol
Dsc 4756 blso07 - Eugenol
Dsc 5810 dxmbrq - Eugenol

Fouilla h6plsy - Eugenol
fouilla

02/09/2011 à 15h43

Céramik écrivait:
-----------------
>
> Joli
>
> Montre nous photo gencive au buccal dans 4 mois.

sans problèmes

> Je pense qu'une greffe de GA sera peut-être requise.

non je ne pense pas car boulevard de GA mais si cela avait été le cas j'aurai planifié un incision en demi épaisseur en palatin puis pleine épaisseur à partir de la crète .


Ligne muccogingivale mw7v2s - Eugenol

Img 8465 fqhxid - Eugenol
noahaxeltiger-olivier

02/09/2011 à 20h04

fouilla écrivait:
-----------------
> ce matin trois petits implants et mise en place des vis de cicat simultané
> technique de palacci et à priori je suis assez content de moi

Beau travail Jean-Luc !!!

> encore merci monsieur noah dont j'ai raté le nananiv ya pas longtemps BA tout de
> même olivier

Merci a toi. On trinquera a Mulhouse ;-))
A plus
Olivier


3f3boxni50k58rq7e9ce9ddqrxgk - Eugenol
dentiste57

02/09/2011 à 20h08

je ne serai pas très loin de vous puisque je serai à Strasbourg ce jour là, dommage!


Img 8465 fqhxid - Eugenol
noahaxeltiger-olivier

02/09/2011 à 20h37

dentiste57 écrivait:
--------------------
> je ne serai pas très loin de vous puisque je serai à Strasbourg ce jour là,
> dommage!

Une autre fois, peut être.


flicflac

05/09/2011 à 19h48

merci pour les belles photo de chirurgie muco-gingivale technique Palacci, mais je pensais que les fausses papilles crées pour fermé l'espace entre les capuchons de guérison se serait fait à partir du lambeau Palatin comme j'ai appris avec le dr Salama.


3f3boxni50k58rq7e9ce9ddqrxgk - Eugenol
dentiste57

05/09/2011 à 20h05

pas forcément, tu vas chercher ta gencive là où tu peux.


flicflac

05/09/2011 à 20h35

Il n'est pas préférable pour les implants supérieurs de transférer la GA du palatin vers le buccal, site ou l'on veut augmenté la GA? Pour le bas le dr Salama, étant donné souvent la faible largeur de GA. De laissé au maximum cette GA au lingual et de greffé avec Greffe autogène libre au buccal, surtout site PM et M.


Smile beach jgh0a1 - Eugenol
Céramik

07/09/2011 à 03h38

fouilla écrivait:
-----------------
> non je ne pense pas car boulevard de GA mais si cela avait été le cas j'aurai
> planifié un incision en demi épaisseur en palatin puis pleine épaisseur à partir
> de la crète .
>
>

J'avais mal vue , tu as raison, c'est bon pour la GA.
bon boulot.

--
Céramik


Blason dql7mj - Eugenol
growler

16/09/2011 à 01h58

le stage de Mulhouse approche à grands pas.

le programme est chargé, aussi le cours commencera à 8H30 le mardi, pause de 30 minutes à 10H00, déjeuner 12H30. Reprise avec TP 14H00 jusquà l'heure de l'apéro ;-)) (dixit Noah)

Pour les TP, Stoma à encore une fois la gentillesse de nous prêter les instruments nécessaires (porte-aiguille, ciseaux, manches de bistouri pour micro-lames, fils de suture etc.., cependant si vous êtes fanatiques de votre propre matos vous pouvez très bien amener vos instruments.
N'oubliez pas vos lunettes loupes pour celles et ceux dont le poids des années oblige à en faire régulièrement usage.

le mardi soir, possibilité d'aller dîner tous ensemble (enfin pour ceux qui le souhaite) dans un restaurant du centre ville capable d'accueillir dans la convivialité un grand groupe.

l'association fourni des blouses jetables taille standard et des gants d'examen taille S, M et L (latex non poudrés)

si vous avez des questions, n'hésitez pas.

@+


3f3boxni50k58rq7e9ce9ddqrxgk - Eugenol
dentiste57

16/09/2011 à 02h09

c'est bien dommage que l'annonce soit si tardive.


Img 8465 fqhxid - Eugenol
noahaxeltiger-olivier

16/09/2011 à 08h45

dentiste57 écrivait:
--------------------
> c'est bien dommage que l'annonce soit si tardive.

Euh Thomas, Growler a annoncé la formation il y a 4 mois de cela (le 20 mai pour etre exact) : http://www.eugenol.com/sujets/385164-chirurgie-mucogingivale-periimplantaire?page=22#post_557194
Des rappels ont été fait au cours du fil en juin, juillet aout et septembre.

C'est toujours difficile d'accueillir tout le monde dès que l'on fait des TP, le nombre de place etant limité afin de rendre la formation interessante et pratique pour tout le monde ainsi que son encadrement possible.
La gestion des tissus mous en paro et implanto est un vrai challenge et je sais par experience, et en voyant les inscriptions aux formations realisées a Lyon, Ajaccio, Biarritz l'an dernier et celles de Mulhouse et Ajaccio cette année, que nous aurions aucun mal a renouveller ce genre de session dans un futur relativement proche.

A très bientôt pour ceux que j'aurai le plaisir de rencontrer a Mulhouse et Ajaccio dans une dizaine de jours. Si vous avez des cas cliniques dont vous voulez discuter n'hesitez pas une seconde et venez avec des photos cliniques. On aura tout le temps d'en discuter ensemble et de planifier ensemble la strategie therapeutique la plus adaptée.

Olivier


Grueavatar nptrc9 - Eugenol
Le Choixpeau magique

16/09/2011 à 10h37

A quand une formation dans le capitale, Olivier ?


3f3boxni50k58rq7e9ce9ddqrxgk - Eugenol
dentiste57

16/09/2011 à 11h11

noahaxeltiger-olivier écrivait:
-------------------------------
> dentiste57 écrivait:
> --------------------
> > c'est bien dommage que l'annonce soit si tardive.
>
> Euh Thomas, Growler a annoncé la formation il y a 4 mois de cela (le 20 mai pour
> etre exact) :
> http://www.eugenol.com/sujets/385164-chirurgie-mucogingivale-periimplantaire?page=22#post_557194
> Des rappels ont été fait au cours du fil en juin, juillet aout et septembre.
>

oui, c'est exacte, tu as raison. j'ai malheureusement manqué l'info car j'étais très peu actif sur eugénol à ces périodes là.
j'essaierai de ne pas manquer la prochaine, car c'est toujours un grand plaisir de rencontrer les autres nonoliens. envoies moi un mp pour la prochaine stp.


060108 005 nrfjgc - Eugenol
NaFr

28/09/2011 à 19h51

Deux journées formidables!! Nous avons découpé, élevé, déplacé, rotationné, punché, suturé.....sous les conseils pointus d'Olivier, que du bonheur!!

Mettre des visages sur des pseudos, et Growler a drainé large: des Chtis, des bas-rhinois, Belfortins, Rouennais, Toulousains, Parisiens, j'en oublie certainement.....et Mulhousiens....soirée dans l'antre du steack tartare Mulhousien hier (fallait bien recycler les têtes de porc)....on recommence quand??

Amitiés


Francis



growler écrivait:
-----------------
> le stage de Mulhouse approche à grands pas.
>
> le programme est chargé, aussi le cours commencera à 8H30 le mardi, pause de 30
> minutes à 10H00, déjeuner 12H30. Reprise avec TP 14H00 jusquà l'heure de l'apéro
> ;-)) (dixit Noah)
>
> Pour les TP, Stoma à encore une fois la gentillesse de nous prêter les
> instruments nécessaires (porte-aiguille, ciseaux, manches de bistouri pour
> micro-lames, fils de suture etc.., cependant si vous êtes fanatiques de votre
> propre matos vous pouvez très bien amener vos instruments.
> N'oubliez pas vos lunettes loupes pour celles et ceux dont le poids des années
> oblige à en faire régulièrement usage.
>
> le mardi soir, possibilité d'aller dîner tous ensemble (enfin pour ceux qui le
> souhaite) dans un restaurant du centre ville capable d'accueillir dans la
> convivialité un grand groupe.
>
> l'association fourni des blouses jetables taille standard et des gants d'examen
> taille S, M et L (latex non poudrés)
>
> si vous avez des questions, n'hésitez pas.
>
> @+
>


--
Francis N.


3f3boxni50k58rq7e9ce9ddqrxgk - Eugenol
dentiste57

28/09/2011 à 23h04

des photos !!


Dent masqu e petite f0pbaj - Eugenol
dudule

28/09/2011 à 23h37

Un grand merci aux 2 olivier pour ce TP bien instructif... Y'a plus qu'à s'y mettre !


arno

29/09/2011 à 11h33

C'était effectivement excellent, tant dans l'accueil que dans la qualité de la formation!!!!
Ce qu'il y a de bien avec Olivier, c'est qu'en regardant ses cas, on touche du doigt l'immensité de sa propre marge de progression...

Excellente ambiance aussi et le plaisir de mettre un visage sur des pseudos, comme Albert, Francis, jpeg, etc....
Par contre j'ai pas capté qui tu étais dudule!

Un très grand merci aux 2 Olivier et vivement les premiers cas pour mettre tout ça en application!


Dent masqu e petite f0pbaj - Eugenol
dudule

29/09/2011 à 15h17

arno écrivait:
--------------
> Par contre j'ai pas capté qui tu étais dudule!
>

C'est normal je suis une dent masquée...
J'étais le mec qui posait tout le temps plein de questions. C'est mon côté Polard ;+)


1...101112...