Cookie Consent byPrivacyPolicies.comchirurgie mucogingivale periimplantaire ... - Eugenol

chirurgie mucogingivale periimplantaire ...

Blason dql7mj - Eugenol
growler

21/09/2009 à 23h57

j'en connais un qui va encore réclamer des photos plus grandes :))


super mac!


Img 8465 fqhxid - Eugenol
noahaxeltiger-olivier

22/09/2009 à 00h10

You rock, mac ! T'es un vrai chef ! Superbe.

Amicalement / Olivier


Logo vuaztn - Eugenol
mac

22/09/2009 à 00h20

merci les gars.

maintenant faut voir le résultat.


S2y2o1v7q53ws4r5wy6ou8czrpom - Eugenol
pxav

22/09/2009 à 00h33

joli!

Pffffff!
il va falloir que je me lance.
--
xbk


003 penrd2 - Eugenol
Cingulum

22/09/2009 à 01h53


il y a une de ces ambiances ici :)
un vrai forum dans le forum ...


--
Dr Cingulum
-----Ancien interné----
----Attaché à l'apex----


Avatar ow44t3 - Eugenol
Chicot

22/09/2009 à 15h01

growler écrivait:
-----------------
> j'en connais un qui va encore réclamer des photos plus grandes :))
>
>
> super mac!



c'est vrai que même sur mon écran 24 pouces dur dur de voir quelque chose......


en pj une photo d'exposition de greffe 'visible' même par les vieux..... lol

--
;O)

Exposition  sutjux - Eugenol

Blason dql7mj - Eugenol
growler

22/09/2009 à 15h41

pas cool comme situation! la greffe est foutue.

l'exposition a eu lieu au bout de combien de temps? il n'y avait pas de membrane? as-tu des photos du trajet d'incision et des sutures?


Avatar ow44t3 - Eugenol
Chicot

23/09/2009 à 15h57

J'ai juste pris la photo pour un pote dans le cadre du DU l'an dernier. Je me souviens:
photo 1 semaine post op
chir réalisé par G. Khoury
patient non fumeur
et rien ne semblait alarmer l'équipe quand au devenir de la greffe car technique de reconstruction 3D avec os cortical ramique servant de boite. Il va y avoir nécrose superficiel mais la greffe sera sauf..... J'ai pas suivi ce cas mais j'ai comme un doute.....

--
;O)


Jazzmaster

03/10/2009 à 13h10

Salut à tous!

J'ai posé il y a 10 jours un implant en place de 21 avec ROG (Bio-oss + membrane Bio-gide), j'ai profité du fait que la 31/41 était absente pour récupérer de l'os à ce niveau aussi.

A 10 jours j'ai 3 zones de nécrose, en bas en vestibulaire et lingual d'un 1mm environ, aspect ulcéré similaire à un aphte.
En palatin de la 21 sur 3mm. (Je posterai des photos à mon retour au cabinet)
Comme c'est la première fois que cela m'arrive j'essaye de comprendre pourquoi.
En bas les nécroses correspondent au point d'injection de l'anesthésie mais je ne comprends pas comment sur un site où je n'ai mis qu'une demi carpule et où je n'ai pas fait de lambeau on peut obtenir ce genre de lésion.
En haut j'ai plusieurs possibilités:
Le temps d'intervention relativement long -lambeau ouvert pendant 1h15- (résidu de pâte dentaire difficile à enlever, le patient a fait un malaise vagal puis a demandé a aller aux toilettes, bref la totale...)
Un point ischémique à ce niveau?
Un rappel d'anesthésie à 1h00 d'intervention?
L'utilisation de bonding pour recoller sa 21 en extension qui a peut être ulcérer la surface?

Sur le plan radiologique je ne vois pas d'atteinte du greffon osseux mais est ce que je dois m'attendre à un échec de l'implant ou la nécrose de l'épithélium a rarement de conséquence sur les plans profonds?

Que faire localement pour améliorer les douleurs du patient?

Merci de vos conseils.


Photo pluton1b h9n4ea - Eugenol
pluton

03/10/2009 à 13h24

quelle marque l'anesthésique????
j'ai eu de gros problèmes avec une certaine marque (pourtant réputée...) avec ce type de complication...


Jazzmaster

03/10/2009 à 13h40

pluton écrivait:
----------------
> quelle marque l'anesthésique????
> j'ai eu de gros problèmes avec une certaine marque (pourtant réputée...) avec ce
> type de complication...

Primacaine Pierre Rolland 1/1000000 d'adré.


Photo pluton1b h9n4ea - Eugenol
pluton

03/10/2009 à 19h10

non, c'est pas avec cette marque que j'ai eu des problèmes...mais avec l'ubistésine (adrénaline sous forme différente du tartrate...à mon avis trop de vasoconstriction...)


Amibien

03/10/2009 à 22h11

pluton écrivait:
----------------
> non, c'est pas avec cette marque que j'ai eu des problèmes...mais avec
> l'ubistésine (adrénaline sous forme différente du tartrate...à mon avis trop de
> vasoconstriction...)





Un truc qui marche pas mal, vous mettez une carpule avec vaso et vous continuez au besoin avec du sans vaso qui va subir en quelque sorte le sort de l'anesthésique avec vaso. Vous me suivez ?


Logo vuaztn - Eugenol
mac

07/10/2009 à 13h35

à 15 jours...

Img 8258 hymhj4 - Eugenol
Img 8259 ssw5px - Eugenol

Blason dql7mj - Eugenol
growler

07/10/2009 à 20h02

bah cette fois il va falloir que tu gères l'abondance de tissu? :)


Logo vuaztn - Eugenol
mac

07/10/2009 à 20h31

tout ça de la faute à noah!


S2y2o1v7q53ws4r5wy6ou8czrpom - Eugenol
pxav

07/10/2009 à 21h44

c'est sympa de montrer ça à 15 jours, histoire de préparer ceux qui vont commencer

--
xbk

http://cabinetxavierbeck.moonfruit.fr/


Amibien

07/10/2009 à 22h50

Le plus dur à gérer ce sera l'occlusion... Ce type de rougeur associée à la bruxomanie ne me dit rien qui vaile.


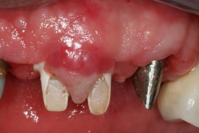
Img 8465 fqhxid - Eugenol
noahaxeltiger-olivier

10/11/2009 à 23h34

"et 2 beefsteak pour la dame", c'est un peu ce qui c'est passé cet aprem pour cette patiente qui m'a été adressé pour gérer une periimplantite à la mandibule. Et bien sûr, ceux qui ont planté, ne sont en rien préoccupé de l'absence de gencive attachée !! Pourquoi s'embêter, hein ? : t'ouvres, tu plantes et puis tu tractes comme un âne pour pouvoir fermer et puis si tu sutures le versant interne de la lèvre avec le plancher de la bouche ... ca marche pareil ... non?

Et donc mézigue aujourd'hui, avant de pouvoir assainir, a dû recréer un environnement gingival satisfaisant.

Y a en marre de rattraper les conneries des autres ! C'est pour ca que je poste ce cas. Ne faites pas comme ces "chirurgiens", mais pensez plutôt long terme. Si vous n'avez pas un environnement gingival satisfaisant d'emblée, gérer cela avant de passer à l'installation implantaire, c'est beaucoup plus facile à gérer par la suite. S'il vous plait !!

Donc pour en revenir à mon cas de cet aprem, en raison d'une absence complète de gencive attachée autour de ces 5 implants mandibulaires, et de par l'absence de vestibule, j'ai réaliser une double greffe gingivale libre de 15mm x 8mm chacune.

Je pense que malgré le surgicel au palais, la patiente devrait ne pas m'aimer beaucoup les prochains jours à venir !!

Amicalement
Olivier


S2y2o1v7q53ws4r5wy6ou8czrpom - Eugenol
pxav

10/11/2009 à 23h38


ça va Olivier?
ma femme aussi est de mauvais poil, mais elle je sais pourquoi.
:-))
xbk


Blason dql7mj - Eugenol
growler

11/11/2009 à 00h08

Olivier, tu prépares comment le site à greffer? (t'as pas une p'tite photo du site avant mise en place du greffon?)

tu dis que tu en a marres, mais je suis sûr que t'aimes çà!


Img 8465 fqhxid - Eugenol
noahaxeltiger-olivier

11/11/2009 à 00h51

growler écrivait:
-----------------
> Olivier, tu prépares comment le site à greffer? (t'as pas une p'tite photo du
> site avant mise en place du greffon?)

c'est de la demie épaisseur. Je n'ai pas de photos du site receveur avant mise en place du greffon dans le cas d cet aprem mais d'un autre cas (le principe est le même) où j'ai en plus pratiqué une implantoplastie :


Blason dql7mj - Eugenol
growler

11/11/2009 à 00h54

thanks Olivier!


Smile beach jgh0a1 - Eugenol
Céramik

11/11/2009 à 03h08

Wow, le palais...

Chez nous, on fait cela avec de l'Alloderm.
C'est facile, ça fait pas mal et ça marche super bien.

http://www.biohorizons.com/alloderm.aspx

--
Céramik


Logo vuaztn - Eugenol
mac

11/11/2009 à 09h12

noahaxeltiger-olivier écrivait:
-------------------------------
> growler écrivait:
> -----------------
> > Olivier, tu prépares comment le site à greffer? (t'as pas une p'tite photo du
> > site avant mise en place du greffon?)
>
> c'est de la demie épaisseur. Je n'ai pas de photos du site receveur avant mise
> en place du greffon dans le cas d cet aprem mais d'un autre cas (le principe est
> le même) où j'ai en plus pratiqué une implantoplastie :


super olivier, ils sont là depuis combien de temps ces implants?

c'est des astra ?


1...567...