Cookie Consent byPrivacyPolicies.comoseriez vous couronner la dent? - Eugenol

oseriez vous couronner la dent?

jay78

27/05/2009 à 11h08

Bonjour,
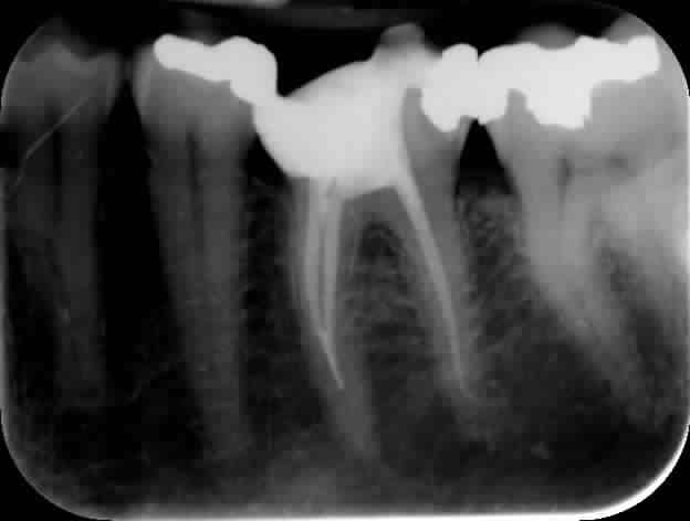
Je sens que je vais encore mal dormir pendant quelques nuits! Je viens de fracturer un protaper dans une 36. Le patient est informé (mais pas ravi!)
Est ce que vous faites une couronne dans ces cas là ou est ce que vous jugez que c'est trop risqué.
L'endo a été faite sous digue.
Merci pour vos conseils.

Fracture kaeyte - Eugenol

Squash u44zd8 - Eugenol
steph

27/05/2009 à 11h34

Si tu as mis toutes les chances de ton côté (digue, irrigation abondante), tu couronnes la dent.
Quelle autre alternative?
Laisser la dent en l'état, l'extraire?
J'en vois pas l'intérêt.
Mais fais ton IC rapidement pour la rendre étanche.


S2y2o1v7q53ws4r5wy6ou8czrpom - Eugenol
pxav

27/05/2009 à 11h42


même avis si il y a soucis après tu aura d'autres solutions à proposer,resection ou divers
--
xbk


S2y2o1v7q53ws4r5wy6ou8czrpom - Eugenol
pxav

27/05/2009 à 11h45

jay78 écrivait:
---------------

> fracturer un protaper dans une 36. Le patient est informé (mais pas ravi!)
>
J’ai oublié de te féliciter de ta franchise vis à vis du patient, obligatoire mais pas toujours respectée
--
xbk


Wolford hm5yx3 - Eugenol
Doc lyonnaise

27/05/2009 à 12h43

y avait quoi comme pathologie à la base?
(tu peux pas améliorer la qualité de ta radio?)


jay78

27/05/2009 à 13h30

Le patient avait des signes de pulpite irréversible.
Je suis désolé mais je ne sais pas comment améliorer la qualité de l'image. Je ne sais pas quel format de compression je peux utiliser sur eugénol. Le BMP proposé par mudem ne passe pas.
J'ai pensé faire une RC bien hermétique et poser une couronne provisoire par dessus pour voir si de nouveaux symptômes apparaissent. Mais je me dis que c'est une solution de froussard et que surtout ça n'apportera rien; c'est reculer pour mieux sauter. Seulement voilà, je ne suis pas rassuré!
Je suis dégouté par Protaper car il n'y avait aucun signe de déformation de l'instrument avant utilisation, j'emploie du Glyde et j'irrigue entre chaque passage!


Wolford hm5yx3 - Eugenol
Doc lyonnaise

27/05/2009 à 14h02

jay78 écrivait:
---------------

> Je suis dégouté par Protaper car il n'y avait aucun signe de déformation de
> l'instrument avant utilisation, j'emploie du Glyde et j'irrigue entre chaque
> passage!


la faute au Protaper?
la faute à l'utilisateur...
y parait que les femmes en cassent beaucoup moins ;-)


olivier

27/05/2009 à 14h42

non tu l'envoies chez un specialiste endo ...qui reprend les 3 canaux (et même un 4éme.....ah le microscope!!!) pour le prix d'une fixture titane MIS,BIOTECH, ou TEKKA.


Bing surfboards tm mark pcsd1h - Eugenol
jayetche

27/05/2009 à 14h52

Je suis de l'avis de Doc Lyonnaise (pas pour les meme raisons elle arrete pas de chauffer willy et stephane!!).
Le protaper n'est pas en cause, statistiquement c'est dans les canaux mesiaux des 46 et 36 qu'ont casse le plus car ils necessitent une preparation rigoureuse du tiers coronaire. Rassures toi tu n'es pas le premier ni le dernier a casser un instrument par contre tu as le courage et l'honneteté de l'avouer a ton patient et de le poster sur eugenol: bravo
Pour ma part, je suis très frileux et je prepare aux protaper manuel a partir du F1 et ne travaille en mecanique qu'une fois le catheterisme effectué à la longueur de travail. depuis beaucoup moins de casse.


olivier

27/05/2009 à 15h12

oui c'est tres courageux Pour en revenir à ton cas et plus serieusement le patient le sachant tu peux couronner en le prevenant des "risques" (bon tu parle pas de l'endocardite ;))) et le jour où.....ben tu te montre "sympathique" pour la solution de remplacement...Mais le plus important quel est le type de ton patient : cool, procedurier , etc...........


S2y2o1v7q53ws4r5wy6ou8czrpom - Eugenol
pxav

27/05/2009 à 18h48


dans tous les cas ce n'est pas une indication d'extract et implant
--
xbk


Wolford hm5yx3 - Eugenol
Doc lyonnaise

27/05/2009 à 19h29

pxav écrivait:
--------------
> dans tous les cas ce n'est pas une indication d'extract et implant


ça c'est ce que tu penses...
Céramik n'a encore pas dit son dernier mot ;-)

pour ma part: j'envoie chez un endo exclusif...
ou je fais la couronne...et Inchallah ;-)


S2y2o1v7q53ws4r5wy6ou8czrpom - Eugenol
pxav

27/05/2009 à 19h39

idem,je faits la couronne

--
xbk


Humator t9r5wy - Eugenol
humator

27/05/2009 à 23h20

bien sur, que je couronne!
puis surveillance, et en cas de pépin + tard, je serai généreux

--
N.Hum


Casque beotien a3jo39 - Eugenol
beotien

28/05/2009 à 00h14

;


Smile beach jgh0a1 - Eugenol
Céramik

28/05/2009 à 03h08

Doc lyonnaise écrivait:
-----------------------
>> Céramik n'a encore pas dit son dernier mot ;-)
>
> pour ma part: j'envoie chez un endo exclusif...
> ou je fais la couronne...et Inchallah ;-)


Ah Doc Lyonnaise pense à moi...
j'en suis fort aise...
J'aime bien les couronnes...
aller,je te donne le permission, couronne (sous digue !)et dors bien...
mais pense à prendre des cours d'implants...c'est très utile...

A+


--
Céramik


S2y2o1v7q53ws4r5wy6ou8czrpom - Eugenol
pxav

28/05/2009 à 09h31

Céramik écrivait:
-----------------

> mais pense à prendre des cours d'implants...c'est très utile...

> --
> Céramik

des cours d'implants oui mais pas d'implant courts!
j'aimes pas !

--
xbk


olivier

28/05/2009 à 11h49

Ouf c'est "rassurant " qu'il n y ait pas d'ayatollah du "puff apical" qui s'etrangle en lisant tous ces posts où tout le monde couronne....


Amibien

28/05/2009 à 12h19

le laser l'enlève en deux minutes...


olivier

28/05/2009 à 12h56

quoi la dent? :))))))


Wolford hm5yx3 - Eugenol
Doc lyonnaise

28/05/2009 à 13h25

olivier écrivait:
-----------------
> quoi la dent? :))))))

non, la cochlée...;-)


 mg 0207 xwjxcl - Eugenol
Tillc

06/06/2009 à 22h19

Coquelet tu dis ? ca me donne faim ca !


Anabel

28/06/2009 à 01h42

si il y a eu irrigation abondante, digue ca n'entrave quasiement en rien le pronostic de la dent donc on peut couronner


3 004 ciusmn - Eugenol
manubmx

28/06/2009 à 15h31

C'est lequel des instruments Protaper qui est cassé?


jay78

28/06/2009 à 21h15

Bonsoir,
J'ai cassé l'instrument rouge: je me croyais près de la victoire et patatra!
Avez vous entendu parler du système CMA qui est soit disant moins cassant?


12