Cookie Consent byPrivacyPolicies.comcertains jours, j'aimerais bien que dudule ou canin soit à - Eugenol

certains jours, j'aimerais bien que dudule ou canin soit à côté...

Mnémosyne

15/08/2009 à 19h45

J'ai vu mon prof (un quarantenaire PU-PH qui cumulait les deux casquettes de dentiste et stomato)faire la même chose, et me dire: "bof, ça arrive souvent, 'toutes manières, la tubérosité, ça sert à rien! Ha-ha!).


Dent masqu e petite f0pbaj - Eugenol
dudule

16/08/2009 à 18h10

Pas vraiment une fracture de tubérosité... juste un petit bout !!
Moi j'ai déjà vu (m'ai pas fait heureusement) une fracture complète de la tubérosité avec mobilisation jusqu'à la 7 !!
Ca c'était bcp plus joli :+))


belette

27/08/2009 à 22h27

Bonsoir,
J'ai e n c o r e besoin de vous...

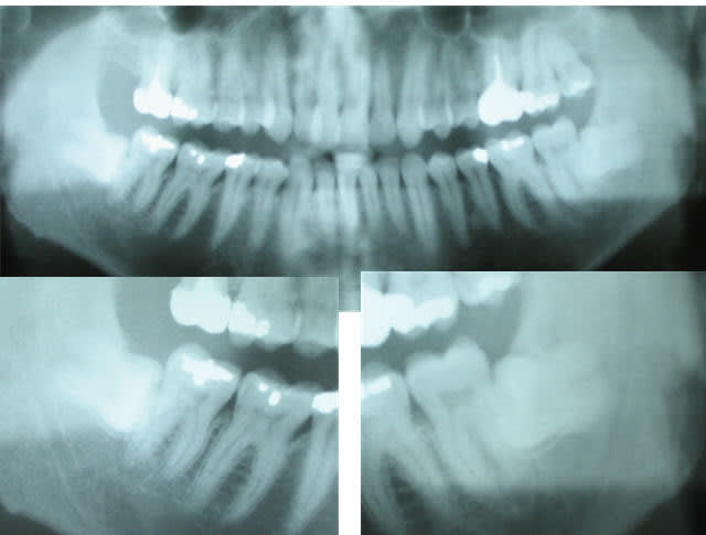
Ce patient, 35 ans , hémophile, porteur de prothèses des genoux doit se faire opérer dans un mois pour en changer une. Il vient avec une OPG et une lettre du service orthopédique:
"tout foyer infectieux dentaire doit être traité avant l'intervention chirurgicale. (recommandations médicales).
Veuillez nous adresser par écrit votre avis spécialisé."

A part une petite gingivite qui nécessite des soins appropriés et un petit enseignement; (1°:ah? le détartrage c'est pas que sur les incisives ??? 2°: je ne brosse pas trop les gencives, j'ai peur du saignement ...), RAS à l'examen.

Par contre, pour les 38 et 48, je lui conseille quoi ?



^ ... ^
Ô"""Ô
= o = . . . merci de votre aide.

38  48 hzdafg - Eugenol

Photo pluton1b h9n4ea - Eugenol
pluton

28/08/2009 à 01h14

38 et 48...incluses...aucun symptôme clinique???
alors laisses les...


Canin

28/08/2009 à 02h55

y'a pas une carie mésiale sur la 16 ??

T'as bien sondé en distal des 7 du bas car à priori la barrière muqueuse doit être fine.

c'est difficile de proposer une indication prophylactique.

si y'a jamais eu de symptômes sur ces deux 8 je laisse tranquille jusqu'au jour où ça merde.

on ne peut pas toujours tout prévoir.

le contexte médicale fait qu'il faut préparer le patient, il y a aussi un certain risque, si y'a complication on pourrait éventuellement te le reproccher.

par ailleurs, ce csont des patients qui ont bien souvent un long passé médical.

dans ton compte-rendu précise bien qu'il y a deux dents incluses asymptomatiques sur le plan clinique et radiologique au moment de la consultation et précise que ces dents nécessitent une surveillance.

il sera toujours temps de les enlever.

En plus je sais pas quand la chir est programmée mais le temps de les extraire si tu le fais faire sous locale en 2 fois ça va prendre 2 mois avec le recul nécessaire.

--
Canin


belette

28/08/2009 à 14h32

Merci, vous confirmez ce qui lui avait été dit lors des précédentes interventions.(Il m'a dit qu'il avait l'impression que les stomato consultés n'osaient pas les enlever...). J'irai donc dans le même sens.(elles ne se sont jamais manifestées).

Je ferai aussi des rétro alvéolaires sur 16 ET 28 -

Reste à éviter de faire trop saigner lors du détartrage (il m'a dit qu'il aurait le médicament nécessaire au cas où...)


^ ... ^
Ô"""Ô
= o =... Finalement, c'est presque comme si vous étiez à coté ;-))


Canin

28/08/2009 à 16h26

pour le détartrage, attention si il y a une mauvaise hygiène ça va pisser, crois moi je connais.

la prophylaxie doit être faire d'emblée et pas à la demande pour éviter les surprises.

Chez ces patients, un détartrage n'est pas un acte anodin.

tu peux le faire dans ton cabinet mais faut respecter un certain protocole

le protocole doit être décidé avec le médecin spécialiste en charge du patient.

le hémophiles savent très bien gérer leur perfusion eux-mêmes mais ne connaissent pas forcément les protocoles relatifs à la chirurgie dentaire.

il faut connaître le degré de sévérité de l'hémophilie mais dans tous les cas il faut faire 1'injection de tant d'unité du facteur manquant 30 à 60 minutes avant le geste puis il y a sans doute une injection à prévoir après. Si dans l'après midi tout est bon, on est pas obliger de poursuivre la prophylaxie hémorragique.

faut le faire le matin.

attention aussi à quelquefois le statut sérologique du patient.

Prévois également des gouttières de compression et prescrit des bains de bouche à l'exacyl. D'ailleurs en général les hémato prescrivent de l'exacyl en comprimés sur plusieurs jour à raison de 4g/j pour encadrer le geste.

Un conseil,rapproches toi de son médecin avant tout geste pour éviter les surprises.


Une fois que le protocole clairement établi tu seras plus tranquille pour les autres fois.

--
Canin


belette

28/08/2009 à 17h01

Je vais suivre à la lettre tes recommandations.

Merci infiniment.

^ ... ^
Ô"""Ô
= o = ...


55 s2ba7n - Eugenol
Sid

28/08/2009 à 17h08

Ses recommandations, c'est d'adresser à l'hosto non? ;-)


Canin

28/08/2009 à 17h26

Sid,

ce que tu dis est à moitié vrai car effectivement c'est la démarche que je pratiquais à l'époque à l'hosto.

cela dit, tous les patiens hémophiles n'ont ^pas le même niveau de gravité de la pathologie et tous ne peuvent être soigner en milieu hospitalier ne serait-ce que par des problèmes de planning, et aussi souvent des problèmes géographiques.

il y a un centre de l'hémophilie par région où les patients viennent faire leur suivi et bilan. Par contre certaines personnes habitent à 150 km du centre, donc si un praticien du coin veut bien prendre en charge ce patient moyennant une collaboration avec le centre de l'hémophilie c'est très positif et tout à fait possible pour la plupart des actes courant de la chirurgie dentaire.

les actes plus "lourds" : kystes, extractions multiples .. . seront effectivement réalisés en milieu hospitalier avec une surveillance plus rapprochée

--
Canin


belette

24/08/2011 à 14h24

Bonjour , j'ai un nouveau soucis chez une patiente de 41 ans qui a été traitée pour un cancer du cavum par irradiation d'avril à juillet 2008. La patiente fait face courageusement aux effets secondaires, a même repris un mi temps thérapeutique depuis quelques semaines et voilà qu'un nouveau problème surgit: un trismus sournois s'installe, au début indolore, juste génant parce que les "tomates cerises ne rentrent plus dans la bouche", mais depuis 2-3 jours douleurs insupportables dans l'ATM droite, l'oreille, la tempe...
L'orl lui dit que l'otite séreuse est inévitable, et lui donne des gouttes. Le radiothérapeute "prêche coupable" et lui demande de prendre des abaisse-langue et de forcer l'ouverture...Elle doit voir un osteo qui est encore en vacances. Son moral est atteint, elle pensait aller vers des jours meilleurs.
Les rayons ont-ils massacré les tendons? les articulations? les os?

Que peut-on faire pour l'aider?
^ ... ^
Ô"""Ô
= o =


Canin

24/08/2011 à 21h35

malheuresement ça fait partie des complications assez classiques de la radiothérapie en particulier sur les cancers du cavum.

les muscles se fibrosent.

après les exercices sont indispensables les abaisses langues sinon trouver un kiné qui fait de la rééduc maxillo-faciale mais y'en a pas beaucoup à ma connaissance. faut la faire quasiment à vie.

faut tout de même pas laisser passer une récidive ou une ostéoradionécrose, faire un otp au minimum.

évaluer aussi le facteur stress lié au boulot, c'est sûr que ça aide pas toujours.

--
Canin


Dent masqu e petite f0pbaj - Eugenol
dudule

26/08/2011 à 02h41

.


Dent masqu e petite f0pbaj - Eugenol
dudule

26/08/2011 à 02h41

Canin écrivait:
---------------
> malheuresement ça fait partie des complications assez classiques de la
> radiothérapie en particulier sur les cancers du cavum.
>
> les muscles se fibrosent.
>
> après les exercices sont indispensables les abaisses langues sinon trouver un
> kiné qui fait de la rééduc maxillo-faciale mais y'en a pas beaucoup à ma
> connaissance. faut la faire quasiment à vie.
>
> faut tout de même pas laisser passer une récidive ou une ostéoradionécrose,
> faire un otp au minimum.
>
> évaluer aussi le facteur stress lié au boulot, c'est sûr que ça aide pas
> toujours.
>
> --
> Canin

+1

elle peut effetivement utiliser des abaisses langue en bois en en mettant de plus en plus


belette

26/08/2011 à 16h10

Merci à vous, encore une fois.
En l'espace de 15 jours, elle a dû réduire le nombre d'abaisse-langue, 3 de moins, l'évolution semble s'accélérer.
^ ... ^
Ô"""Ô
= o =...Quel courage il faut pour affronter ces maladies...


12