Cookie Consent byPrivacyPolicies.comquand les sagesses ne sont pas sages - Eugenol

quand les sagesses ne sont pas sages

S2y2o1v7q53ws4r5wy6ou8czrpom - Eugenol
pxav

31/05/2009 à 13h24


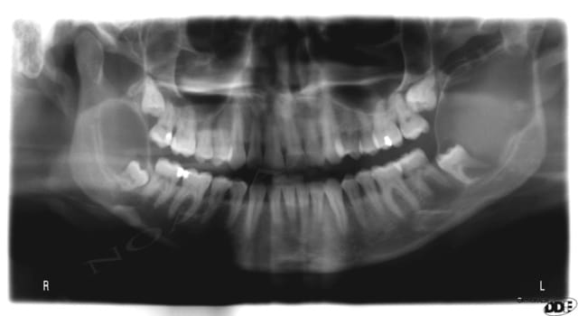
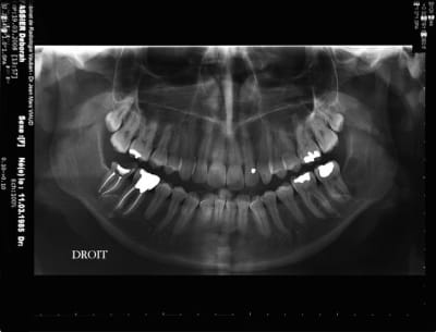
Extraction en 2004
La patiente ne revient pas après, pano demandé par un confrère en 2007 mais la patiente ne retourne pas le voir
Cadeau cette année elle vient pour faire finir 47
Pano demandé
Ensuite scan
Et pour finir IRM
J’ai commencé par traiter 47 et j'envisageais l'exérèse du kyste mais patiente jeune, jolie et je pense adresser à un stomato qui a plus d'expériences et de doigté
Qu’en penser vous
--
xbk

Sdim1092 as4rrc - Eugenol
Sdim1089 uhegbu - Eugenol
Sdim1090 nijlak - Eugenol

Casque beotien a3jo39 - Eugenol
beotien

31/05/2009 à 14h38

;


Wolford hm5yx3 - Eugenol
Doc lyonnaise

31/05/2009 à 14h40

c'est vrai que si elle est jeune et jolie, ça change tout...


Blue eye thumb medium dx1i0w - Eugenol
bill

31/05/2009 à 14h45

En plus on a le nom, manque plus que le telephone. ;-)
Faites gaffe à vos radios les gars...


S2y2o1v7q53ws4r5wy6ou8czrpom - Eugenol
pxav

31/05/2009 à 15h21

Doc lyonnaise écrivait:
-----------------------
> c'est vrai que si elle est jeune et jolie, ça change tout...

oui ça change tout car le risque c'est de leser le nerf et cela est encore plus important pour un ou une patient jeune car le préjudice sera plus long à supporter que si le sujet à 70 ans

désolé pour le nom erreur de ma part
pour le tel.
MP uniquement
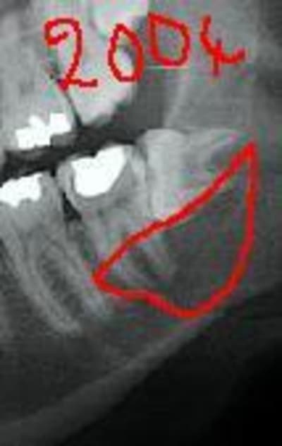
j'ai le scan mais pas ici la corticale linguale est reduite à sa plus simple expression et le kyste remonte sur le trajet du nerf et s'etend aussi en vestibulaire
--
xbk


Casque beotien a3jo39 - Eugenol
beotien

31/05/2009 à 16h53

;


Wolford hm5yx3 - Eugenol
Doc lyonnaise

31/05/2009 à 16h58

t'es sûr que la 47 est conservable?



S2y2o1v7q53ws4r5wy6ou8czrpom - Eugenol
pxav

31/05/2009 à 17h07

tu es sur que la 37 n'est pas en cause?
le problème c'est que je n'ai pas revu la patiente pendant 4 ans et que je ne sais pas l'etiologie exacte
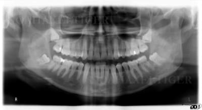
je "subis" mon premier problème de dent de sagesse, si j'avais eu à traiter lors du 2° pano ça ne me faisait pas de soucis, mais là!


t'es sûr que la 47 est conservable?
idem pas de suivi depuis 2005, donc je pense qu'elle est HS.


--
xbk


Casque beotien a3jo39 - Eugenol
beotien

31/05/2009 à 17h08

;


S2y2o1v7q53ws4r5wy6ou8czrpom - Eugenol
pxav

31/05/2009 à 20h23

beotien écrivait:
-----------------
> je viens de mieux regarder la pano de 2008
>
> tu connais la date précise de l'avulsion de la 38

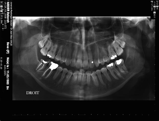
à priori 31/03/2006 pas si vieux que ça je croyais que c'etait 2004, donc évolution rapide
--
xbk


Canin

31/05/2009 à 20h57


Si je puis me permettre pxav, avec les cas d'implanto que tu as pu présenté une kystectomie comme ça devrait être relativement simple pour toi.

La 37 est impérativement à extraire dans ce cas, faut pas faire de la dentelle car à terme si le kyste récidive et grossit c'est l'intégrité de la mandibule qui est compromise.


A priori vu l'évolution sur les radios et l'âge de la patiente je pense qu'il s'agit d'un kératokyste en première intention.

éventullement un améloblastome.


Le traitement peut se faire sous ALR avec extraction de la 37 et une large ouverture pour bien cureter la membrane kystique jusqu'au fond, tu décolleras inderectement ton paquet vasculo-nerveux qui est lui dans les cas dans la zone la plus profonde généralement.

Puis lorque tu as bien décoller partout tu chopes ton kyste en entier et tu essayes de l'arracher car il y a forcément des adhérences avec ton paquet vasculo-nerveux mais bon après y'a séquelles ou pas mais quelque part on s'en fout.

Concernant le nerf, pas sûr pour lésion, de toutes les façons la patiente doit être informé en précisiant que le risque est très élevé mais que y'a pas le choix puisque le kyste peut causer des complications aussi.

L'AG dans ce cas donnerait un confort plus important à l'opérateur et au patient, mais il n'y a qu'un très faible de fracture en revanche. A toi de voir.

Ensuite s'il s'agit d'un kératokyste certains auteur recommandent de faire l'éxèrèse dela muqueuse au dessus de la cavité kystique et surtout faire un fraisage osseux dans la cavité en vérifiant l'intégrité des corticales linguales et vestibulaires.

Je sais plus mais je crois que j'avais un cas similaire sur le forum il y a quelques mois sinon je le cherche et le poste prochainement.

--
Canin


Casque beotien a3jo39 - Eugenol
beotien

31/05/2009 à 21h30

;


Canin

31/05/2009 à 22h35

je ne pense pas que la 37 soit dans le coup car l'image ne correspond pas du tout à une lésion périapicale.

il faudrait vérifier

J'ai déjà vu des cas où on veut s'acharner durant des mois à croire que l'origine est endo alors qu'il s'agit de tumeurs/kystes odontogènes.

ça peut être également un kyste dentigère laissé en place car il me semble que le kyste est déjà présent sur la première pano et elle est en rapport partiel avec le collet de 38 enclavée mais ça n'est pas caractéristique.

DOnc pour résumé:

1. kératokyste
2. kyste dentigère "oublié"
3. améloblastome unikystique

au pire si on craint pour le nerf, plusieurs auteurs ont tenté des techniques de décompression avec mise en place de drain et réevaluer à 6 mois la taille du kyste et procéder à une éxèrése dans un deuxième temps.

Mais dans ce cas comme la lésion est encore moyennement étendue je pense que la meilleure option est l'éxérèse plus curetage appuyé de l'os et extraction de la 37 dans la séance => 1 seule puis suivi à 3, 6 12 mois avec OTP.

On peut aussi proposer l'utilisation de la solution de Carnoy qui semble diminuer le taux de récidive mais je n'ai pas d'expérience et reste risquer pour le nerf si mal utilisé.


--
Canin


Canin

31/05/2009 à 22h42



--
Canin

Kystepaxv2 vexkox - Eugenol
Kystepaxv1 v2jehw - Eugenol

Img 8465 fqhxid - Eugenol
noahaxeltiger-olivier

01/06/2009 à 00h10

j'avais posté il y a de cela quelque temps un cas de kyste important mandibulaire bilatéral.
Compte tenu de l'ampleur des lésions et de la non possibilité d'effectuer une énucléation en première intention, une marsupialisation avait été effectuée. Une biopsie avait effectuée en même temps et kyste folliculaire géant avait été diagnostiqué. Après 1 an environ les kystes avaient réduit significativement et permis alors une énucléation gérable et sans complication.

Amicalement
Olivier

Opg initial fvtvt0 - Eugenol
Opg 1 an apr s marsupilinisation vt10bo - Eugenol

Dent masqu e petite f0pbaj - Eugenol
dudule

01/06/2009 à 00h40

Le risque de lésion du nerf est très faible car il est toujours refoulé par les kystes.
Il suffit de décoller tout autour comme tu le ferais pour un sinuslift et de finir à la gouge qui va permettre de finir de le décoller du nerf alvéolaire inf.
Le risque pour cette branche du V3, c'est d'être étiré lorsqu'elle n'a pas de laxité possible. Là tu ne risques pas grand chose car le nerf pourra avoir une certaine mobilité.
Cela se fait sous AG mais vu le peu de risque de fracture je le ferais même sous local.
Comme Canin je pense que la 47 doit être sacrifiée et l'anapath obligatoirement demandée.
Même diagnostic diff que Canin.
Vu ce que tu fais par ailleurs cela devrait être un jeu d'enfant... certes moins bien payé !


S2y2o1v7q53ws4r5wy6ou8czrpom - Eugenol
pxav

01/06/2009 à 01h26

dudule écrivait:
----------------

> Même diagnostic diff que Canin.
> Vu ce que tu fais par ailleurs cela devrait être un jeu d'enfant... certes moins
> bien payé !

le problème n'est pas là.
lorsque je fait des implants j'intervient au bout de la chaine.
plus de dents, plus d'espoir, et et zorro est arrivé!
là je suis certain d'etre capable, mais pas certain d'etre le meilleur, donc je crois qu'il est important de donner toutes les chances à la patiente
je vous passerais les coupes scanner demain et vous modulerer votre avis, peut etre.
--
xbk


Smile beach jgh0a1 - Eugenol
Céramik

01/06/2009 à 03h48

Pourquoi vouloir le faire...
ref au chirurgien et AG.
Tu pourras la revoir pour les autres soins...
Si tu connais le chirurgien, demande d'assister, comme cela tu as zéro risque et tu vois la chirurgie...


--
Céramik


Casque beotien a3jo39 - Eugenol
beotien

01/06/2009 à 10h35

;



Dent masqu e petite f0pbaj - Eugenol
dudule

01/06/2009 à 13h40

Marsupialiser un kyste de cette taille ???
Pourquoi faire compliquer quand on peut faire simple... le risque de fracture est ---.
Faudrait vraiment être un bourrain, vu qu'il n'y a pas de dent dans cette zone à extraire... à part la 37 mais là il y a de l'os.
J'ai posté un cas pas très éloigné et plus compliqué il y a quelques temps... Je reste persuadé que c'est à la portée de n'importe quel chirurgien buccal car les kystes c'est ce qu'il y a de plus facile.
http://www.eugenol.com/sujets/382952-un-joli-kyste


S2y2o1v7q53ws4r5wy6ou8czrpom - Eugenol
pxav

01/06/2009 à 15h51

ben oui mais toi c'est classe!
tres joli travail, pas sur que je saches faire ça

--
xbk


Dent masqu e petite f0pbaj - Eugenol
dudule

01/06/2009 à 20h32

Tu restes bien évidemment le seul juge mais je suis bien persuadé du contraire vu ce que tu fais par ailleurs.


Img 8465 fqhxid - Eugenol
noahaxeltiger-olivier

01/06/2009 à 22h42

dudule écrivait:
----------------
> J'ai posté un cas pas très éloigné et plus compliqué il y a quelques temps... Je
> reste persuadé que c'est à la portée de n'importe quel chirurgien buccal car les
> kystes c'est ce qu'il y a de plus facile.
> http://www.eugenol.com/sujets/382952-un-joli-kyste


Très joli travail dudule.
C'est rarement l'extirpation kystique qui est difficile mais plutôt la gestion des eventuelles complications. Dans le cas que tu présentes, n'avais-tu pas peur du risque de fracture ?! Pourquoi ne pas avoir voulu marsupialiser ?


Dent masqu e petite f0pbaj - Eugenol
dudule

02/06/2009 à 00h59

Je n'ai pas marsupialisé parce que je n'y vois pas grand intérêt... mais ceci dit je reviens du congrès de la SFMBCB et j'avoue qu'une équipe faisait ça et que cela semblait pas mal marcher... C'est une technique remise au gout du jour car longtemps considérer comme obsolète... Donc pourquoi pas même si j'ai appris autrement.
Le risque de fracture est toujours présent bien évidemment mais cela n'est pas si courant et cela se gère avec des arcs dans ce cas là puisqu'il n'y a pas la possibilité de poser des plaques.
Mais franchement le risque est modéré si l'on y va tout doux... on est dentiste pas maxillo !! :+))


Img 8465 fqhxid - Eugenol
noahaxeltiger-olivier

02/06/2009 à 09h10

excuse moi dudule je me suis mal exprimé, je parlais bien sûr du risque de fracture en post op !
A la vue de ton scan les corticales de la branche montante semblent fines comme du papier.
L'un des intérêts de la marsupialisation avec énucléation subséquente est que de l'os de comblement se forme au fur et à mesure que la lésion kystique se "dégonfle". Certe on obtient aussi un comblement osseux lors d'une extirpation kystique réalisé en première intention mais la cavité kystique est alors large et importante et le risque de fracture semble alors plus important.

D'autre part il y a d'autre avantages à la marsupialisation :
- aide au diagnostic puisqu'une bioposie peut être réalisée ( ++ si on suspecte un améloblastome, cela permet aussi un soulagement de la pression intracystique)
- le clivage du kyste est facilité car sa paroi s’épaissit pendant la phase de décompression (Enislidis 2004).

Dans le cas que j'ai présenté je pense que cette technique étaient la mieux adaptée et la plus sure même si cela a pris 1 an ! : pas de fracture, pas de lésion et chirurgie largement facilitée.


12