Tous les forums
quand les sagesses ne sont pas sages
9 445
30
pxav
11/06/2009 à 15h15
j'attends le resultat de l'irm
et ensuite ....
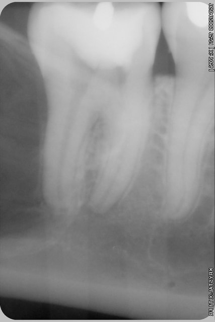
l'os est fin quand même, non?
--
xbk
12
Tous les forums
11/06/2009 à 15h15
j'attends le resultat de l'irm
et ensuite ....
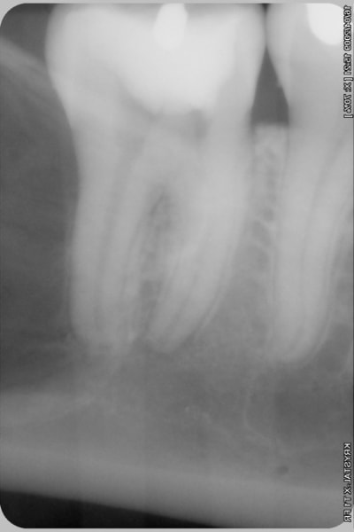
l'os est fin quand même, non?
--
xbk