Cookie Consent byPrivacyPolicies.comGreffe ? Expansion ? - Eugenol

Greffe ? Expansion ?

Smile beach jgh0a1 - Eugenol
Céramik

01/06/2009 à 00h38

Vos avis ?
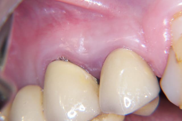
Je suis de l'école greffe...(menton, ramus)
Expansion possible ?
J'ai un scan 3D à la clinique...

Je pense virer les 35 et 45, et placer 2 implants par côté.
35 et 45 mobiles et sensibles (racines exposées)

--
Céramik

Projet implants jftzyu - Eugenol

S2y2o1v7q53ws4r5wy6ou8czrpom - Eugenol
pxav

01/06/2009 à 08h42

Céramik écrivait:
-----------------
> Vos avis ?
> Je suis de l'école greffe...(menton, ramus)
> Expansion possible ?
> J'ai un scan 3D à la clinique...

> --
> Céramik

Si tu pense trouver assez d'os pour faire les deux cotés pourquoi pas surtout si tu es sur de ne pas léser l'esthétique (menton) ni de provoquer aucun troubles secondaire.

Sinon, sauf si le scan est catastrophique, ceci me parait être un cas où sans faire de misères multiples l'expansion te permettra de poser 2/3 implants de chaque coté sans soucis
Combien de temps de vol, pour une démo?
--
xbk


Casque beotien a3jo39 - Eugenol
beotien

01/06/2009 à 10h45

;


Blason dql7mj - Eugenol
growler

01/06/2009 à 12h37

il y a aussi R.O.G comme possibilité, eventuellement (par exemple avec os de forage mélangé à du bio-oss et le tout recouvert par une membrane style goretex armée titane).

c'est très bien décrit dans le bouquihn de Tinti et Benfenati

http://www.eugenol.com/sujets/376542-sur-une-12?page=1#post_376629

@+


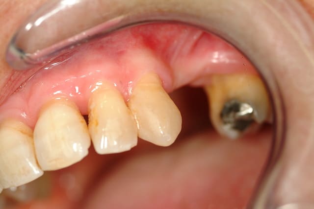
P1010130 jpci1f - Eugenol
MarcB6

01/06/2009 à 13h47

Céramik écrivait:
-----------------
> Vos avis ?
> Je suis de l'école greffe...(menton, ramus)
> Expansion possible ?
> J'ai un scan 3D à la clinique...
>
> Je pense virer les 35 et 45, et placer 2 implants par côté.
> 35 et 45 mobiles et sensibles (racines exposées)
>
> --
> Céramik

Bonjour Céramik,

Je suis de l'avis de Pxav, concernant l'expansion, il faut voir le scan et la hauteur d'os disponible.
Expansion tout à fait envisageable et pose d'implants coniques de 3,3 à 3,75 max de Diam.

A mon sens, Il y'a également la possibilité de poser des implants monobloc de 3 à 3,6 de diam beaucoup plus fins que des implants à hexagone interne de 3,3 de diam, mais attention aux axes.
je pense que dans ces cas, il ne faut pas écarter ce type d'option qui rend de très grands services aux patients et au praticien.

Pour des implants monoblocs, expansion minimum, puisque le forage se fait à 2 mm et 2,5 uniquement pour la corticale.


Depuis 4 à 5 ans je traite de façon plus simple ce type de cas, ils sont gérés très rapidement avec des implants une pièce.
Les taux de réussite et d'acceptation de traitement (beaucoup plus courts) sont aussi plus importants.
Quasiment aucune morbidité par rapport aux greffes osseuses.

Il serait bon de confirmer avec le Scan.

Pour info, voici quelques cas traités avec ces implants Monobloc.

Amicalement
--
marcB6

Dscf0201 raegmq - Eugenol
Dscf0987 gv2eui - Eugenol
Dscf0988 sdqicg - Eugenol
Dscf0200 bozwj1 - Eugenol
Dscf0203 gebqvu - Eugenol
Dscf0440 uwsidd - Eugenol
Dscf0991 e9q3x7 - Eugenol

S2y2o1v7q53ws4r5wy6ou8czrpom - Eugenol
pxav

01/06/2009 à 14h06

MarcB6 écrivait:
----------------

>
> Depuis 4 à 5 ans je traite de façon plus simple ce type de cas, ils sont gérés
> très rapidement avec des implants une pièce.
> Les taux de réussite et d'acceptation de traitement (beaucoup plus courts) sont
> aussi plus importants.
> Quasiment aucune morbidité par rapport aux greffes osseuses.
>
> Il serait bon de confirmer avec le Scan.
>
> Pour info, voici quelques cas traités avec ces implants Monobloc.
>
> Amicalement
> --
> marcB6


ça fait plaisir de trouver quelqu'un de mon avis!
expansion = simplicité et fiabilité
merci MarcB6
pour le cas 91 (la derniere photo une expansion à l'ostéotome curviligne de Tatum, aurait peut etre retablie un bombé vestibulaire + sympa
exemple sur 14
--
xbk

100 0656 ywwo1i - Eugenol

P1010130 jpci1f - Eugenol
MarcB6

01/06/2009 à 15h43

pxav écrivait:
--------------

> ça fait plaisir de trouver quelqu'un de mon avis!
> expansion = simplicité et fiabilité
> merci MarcB6
> pour le cas 91 (la derniere photo une expansion à l'ostéotome curviligne de
> Tatum, aurait peut etre retablie un bombé vestibulaire + sympa
> exemple sur 14
> --
> xbk

Tu as tout à fait raison PXAV, je fais ce type d'expansion pour rétablir le bombé sur les cas ou s'est visible.
mais ce n'est pas faisable avec les implants monoblocs, très peu d'expansion,
ceci explique cela...

sinon quand je fais expansion et implant standard, oui, je refait le galbe vestibulaire
Voici un cas ou ça a été fait

Amicalement

--
marcB6

034 31a tfokvu - Eugenol
035 33 cinyo3 - Eugenol
015 12a vqkne9 - Eugenol
015 12a kk2ayw - Eugenol
033 30a qovpkk - Eugenol
036 34 b6yft2 - Eugenol
014 11a pjpbh6 - Eugenol

S2y2o1v7q53ws4r5wy6ou8czrpom - Eugenol
pxav

01/06/2009 à 15h49

superbe!

--
xbk


dov

01/06/2009 à 16h57

quel plaisir! quel bonheur!

Dov


P1010130 jpci1f - Eugenol
MarcB6

01/06/2009 à 18h17

Merci Pxav, Merci Dov

Amicalement

--
marcB6


Casque beotien a3jo39 - Eugenol
beotien

01/06/2009 à 18h19

p:


totofina

01/06/2009 à 18h56


Pour éviter les désastres provoqués par les greffes, mieux vaut changer de méthode:

http://www.implant-online.com/espace_gp/implantologie-basale.htm

http://www.protheses-dentaires.com/

http://www.adf.asso.fr/cfm/site/thesaurus/detail_conference.cfm?rubrique_origine=47&conference=105/2003


P1010130 jpci1f - Eugenol
MarcB6

01/06/2009 à 19h47

Salut Béotien,

j'utilise plusieurs types d'instruments différents, je tacherai de faire quelques clichés du matériel utilisé.
Je sais qu'il y' a du matériel de chez stoma, dimax médical, des expanseurs en forme d'élévateurs de chez FV2000, les vis d'expansion de chez MIS ...,

Amicalement
--
marcB6


S2y2o1v7q53ws4r5wy6ou8czrpom - Eugenol
pxav

01/06/2009 à 19h59

totofina écrivait:
------------------
>
> Pour éviter les désastres provoqués par les greffes, mieux vaut changer de
> méthode:
>
> http://www.implant-online.com/espace_gp/implantologie-basale.htm
>
> http://www.protheses-dentaires.com/
>
> http://www.adf.asso.fr/cfm/site/thesaurus/detail_conference.cfm?rubrique_origine=47&conference=105/2003


je suis désolé mais je n'ai pas la main de scortecci
alors pour les disques j'en suis encore au vinyl!
j'essaye de simplifier pas de refaire le monde donc la basale ce n'est pas mon truc
ce qui ne veut pas dire que ça ne marche pas, simplement que je ne fais pas.
--
xbk


Casque beotien a3jo39 - Eugenol
beotien

01/06/2009 à 20h51

;


P1010130 jpci1f - Eugenol
MarcB6

01/06/2009 à 20h58

Tout à fait d'accord avec Pxav sur l'implantologie basale,

je ne suis pas du tout adepte, d'autant que dans la région ou j'exerce je vois beaucoup de cas traité en basale et dont les résultats sont loin de tenir leurs promesses.
beaucoup d'implants fibro intégrés, problème bio mécanique, gestion des tissus mous très aléatoire...

Mais bon, pourquoi pas !!!

-
marcB6


Casque beotien a3jo39 - Eugenol
beotien

01/06/2009 à 21h06

d;


S2y2o1v7q53ws4r5wy6ou8czrpom - Eugenol
pxav

01/06/2009 à 21h30

MarcB6 écrivait:
----------------
> Tout à fait d'accord avec Pxav sur l'implantologie basale,
>

> Mais bon, pourquoi pas !!!

> marcB6

Par ce que l'inventeur du disk, est peut être un génie de l'Implanto (j'ai vu ses démos en 87 et à l'époque j'ai failli suivre) mais pour les autres la basale, c'est un peu comme les greffes, iliaque, tibia, crâne, il faut tout le temps que les "grands" donnent des noms à "leurs inventions"

Alors que je pense qu’un des avenirs de l’Implanto c’est de simplifier, et pourtant j’ai fais du cadre ramique de Tatum et du juxta osseux, mais les implants tubérositaires couchés je ne vois pas pourquoi (dans l’axe ça travaille mieux je pense)

Pxav pas partisan du all on four

Du all on 6,

de la basale,

des misères faites aux hanches, tibias, cranes (sauf cas d’accidents ou de maladies)



--
xbk


Avatar ow44t3 - Eugenol
Chicot

01/06/2009 à 22h08

pour moi expansion:

tranché fine (au piezzo c'est assez facile)
décharges osseuses mésiale et distale
prédécoupe apicale afin de pratiquer avec les condenseurs de MIS une fracture en bois vert de la corticale vestibulaire. Maintient en place éventuellement avec une longue microvis
mise en place d'implants de 3,75 ou 4 mm
comblement des hiatus au Bio-oss ou autre
stabilisation avec des microvis du pan vestiblaire par exemple une entre chaque implant
suture
à la mise en fonction, dépose des microvis.

--
;O)


Smile beach jgh0a1 - Eugenol
Céramik

02/06/2009 à 01h47

totofina écrivait:
------------------
>
> Pour éviter les désastres provoqués par les greffes, mieux vaut changer de
> méthode:
>

Je suis très dérangé par des remarques comme celle-ci.
Les désastres des greffes...non mais...

Les implants basales...encore pire...à part quelques ''case study'' il n'y a aucun concensus sur cette technique.
Les risques opératoires sont plus grands que pour des sinus lifts...

Si on revenait à mon cas clinique...mandibule et non maxillaire, avec crêtes très fines, corticales. (zut, le scan est resté au cabinet). Faire une expansion pour une 24, c'est quand même plus facile.


Il n'y a que PXAV qui a montré un cas à la mandibule.
Alors, tes outils ? tes trucs ?
Tes implants lisses...d'où ça vient...
Tes disponibilités pour venir en démo ?


A+


--
Céramik


S2y2o1v7q53ws4r5wy6ou8czrpom - Eugenol
pxav

02/06/2009 à 09h47

Céramik écrivait:
-----------------
> totofina écrivait:
> ------------------
> >
> > Pour éviter les désastres provoqués par les greffes, mieux vaut changer de
> > méthode:
> >
>
> Je suis très dérangé par des remarques comme celle-ci.
> Les désastres des greffes...non mais...
>
moi aussi! les églises uniques c'est pas le bon plan
>
Faire une expansion, c'est quand même plus facile. pour une 24 pas necessairement,

ça dépends de la qualité de l'os

> Il n'y a que PXAV qui a montré un cas à la mandibule.
> Alors, tes outils ? tes trucs ?
> Tes implants lisses...d'où ça vient...
> ?

merci mon maitre!

outils je crois un peu comme MarcB6 :

> j'utilise plusieurs types d'instruments différents,
Je sais qu'il y' a du matériel de chez stoma, dimax médical, des expanseurs en forme d'élévateurs de chez FV2000, les vis d'expansion de chez MIS ...,
>
mis à parts les marques qui sont differentes et puis il y a les implants lisses!!!!!! ça c'est votre serviteur qui en a eu l'idée et c'est grace à la coopération du fabriquant (Anthogyr) que je peux en disposer !
des que je trouve le temps je vous fais des photos du matériel

> A+
> Tes disponibilités pour venir en démo ?
et toi la France tu connais?
sinon il y a peut etre des possibilitées, pourquoi pas!
>
> --
> Céramik


--
xbk


Img 8465 fqhxid - Eugenol
noahaxeltiger-olivier

02/06/2009 à 15h55

MarcB6 écrivait:
----------------
> sinon quand je fais expansion et implant standard, oui, je refait le galbe
> vestibulaire
> Voici un cas ou ça a été fait

très belle réalisation MarcB6 !
Associes tu un conjonctif enfoui pour la réalisation du galbe vestibulaire ou bien est elle obtenue seulement avec une expansion laterale osseuse ?


P1010130 jpci1f - Eugenol
MarcB6

02/06/2009 à 16h03

noahaxeltiger-olivier écrivait:
-------------------------------

> très belle réalisation MarcB6 !
> Associes tu un conjonctif enfoui pour la réalisation du galbe vestibulaire ou
> bien est elle obtenue seulement avec une expansion laterale osseuse ?

Bonjour Olivier,

Merci pour tes compliments,
Dans ce cas précis, il n'y a eu qu'une expansion latérale, pas de conjonctif.
Cela dit il n'y pas de contre indication à faire un conjonctif enfoui.

Amicalement

--
marcB6


Img 8465 fqhxid - Eugenol
noahaxeltiger-olivier

02/06/2009 à 16h41

Chicot écrivait:
----------------
> pour moi expansion:
>
> tranché fine (au piezzo c'est assez facile)
> décharges osseuses mésiale et distale
> prédécoupe apicale afin de pratiquer avec les condenseurs de MIS une fracture en
> bois vert de la corticale vestibulaire. Maintient en place éventuellement avec
> une longue microvis
> mise en place d'implants de 3,75 ou 4 mm
> comblement des hiatus au Bio-oss ou autre
> stabilisation avec des microvis du pan vestiblaire par exemple une entre chaque
> implant
> suture
> à la mise en fonction, dépose des microvis.
>
> --
> ;O)

+1 avec Chicot.
pour illustrer ces propos, voilà un cas clinique récemment réalisé.

Amicalement
Olivier

Ridge splitting mandibule jeld14 - Eugenol

Img 8465 fqhxid - Eugenol
noahaxeltiger-olivier

02/06/2009 à 16h55

totofina écrivait:
------------------
>
> Pour éviter les désastres provoqués par les greffes, mieux vaut changer de
> méthode:
>
> http://www.implant-online.comm/espace_gp/implantologie-basale.prout.htm

Super variées tes interventions sur Eugénol totofina !! lol
Tu fais des "copié-collé" chaque fois que tu postes ?

Tu apporterais plus de crédibilité à tes dires si tu nous montrais quelques uns de TES cas cliniques et non pas des liens sur des sites internet. Mais tu interviens peut être juste pour faire de la pub pour l'implantologie basale et ses formations. ?!?
;-D


12