Cookie Consent byPrivacyPolicies.comsubstitut osseux - Eugenol

substitut osseux

croc1765

12/06/2009 à 18h45

Bonjour quelqu'un parmis vous aurait les références d'une seringue de comblement osseux ce dernier ne necessitant pas la mise en place d'une membrane je l'ai deja vu recu sur une pub d'un labo mais n'arrive plus a mettre la main dessus.
merci d'avance


Photo pluton1b h9n4ea - Eugenol
pluton

12/06/2009 à 18h58

voilà...

http://www.vitalos.com/

suis moi même assez intéressé par ce matériau... c'est pxav je crois qui l'utilise pour ses expansions...çà a l'air de bien marcher...
mon doute...les fenestrations vestibulaires et/ou spires exposées....marche bien ou non????

pxav?????donnes nous ton retour d'expérience....merci...


3002 1 yx79qg - Eugenol
ORIOLI

12/06/2009 à 19h03

OSTEO BIOL de Pred? Avec toutes les réserves sur les techniques n'utilisant pas de stabilisation des greffons.....


Manolito wom2of - Eugenol
manolito

12/06/2009 à 19h22

A mon avis n'importe quel biomat du moment que tu stabilises bien ton lambeau avec de bonnes sutures.


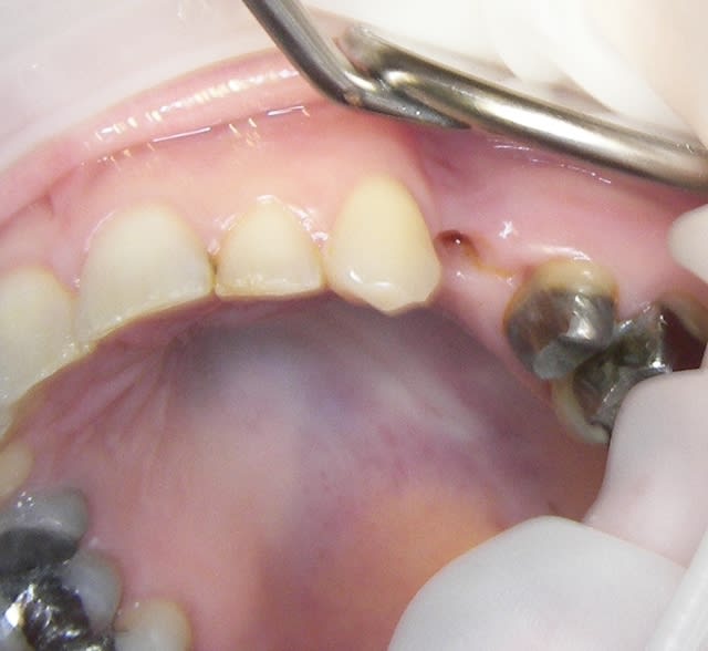
S2y2o1v7q53ws4r5wy6ou8czrpom - Eugenol
pxav

12/06/2009 à 19h41

pluton écrivait:
----------------
> voilà...
>
> http://www.vitalos.com/
>
> suis moi même assez intéressé par ce matériau... c'est pxav je crois qui
> l'utilise pour ses expansions...çà a l'air de bien marcher...
> mon doute...les fenestrations vestibulaires et/ou spires exposées....marche bien
> ou non????
>
> pxav?????donnes nous ton retour d'expérience....merci...

un exemple ce matin
j'en ai un autre cette AM mais probleme de carte sim
j'adore ce produit seul imperatif bien respecter le mode d'emploi
--
xbk

100 3771 nmswzc - Eugenol
100 3774 aqsylv - Eugenol
100 3780 co8wtg - Eugenol

Photo pluton1b h9n4ea - Eugenol
pluton

12/06/2009 à 20h53

chouette....;-)

et pour les spires d'implant exposées, ou les hiatus en cas d'extraction/implantation immédiate??? (bon pour les hiatus, j'ai déjà le bio-oss ou l'os autogène de forage...mais si c'est très large...faut une membrane...sinon çà marche pas très bien...et là le coût s'envole...)


Blason dql7mj - Eugenol
growler

12/06/2009 à 21h09

en fait pour le hiatus, rien mettre çà marche aussi.

Mais si le bio-oss n'augmente pas la formation de nouvel os, sa présence semble juste aider à la préservation de la dimension de l'alvéole.

@+


Casque beotien a3jo39 - Eugenol
beotien

12/06/2009 à 22h31

,


Avatar ow44t3 - Eugenol
Chicot

13/06/2009 à 16h53

beotien écrivait:
-----------------

> lundi j'essaie dans un sinus je vous dirais

J'ai fait une revue de littérature l'an dernier dans le cadre du DU d'implanto de Garancière:
ce qui donne le moins bon résultat: os autogène car se résorbe trop vite
bon résultat avec Bio-oss et phosphate tricalcique car se résorbe moins vite.
Tout semble marcher tant que ça maintient un espace. Autant prendre le moins cher... ou le mieux documenté (en cas de litige c'est un plus)

pour la fenêtre latérale un beau pangen fait l'affaire ( !!! ) idem en cas de perf
Mais le consensus (financé par ???) préconise une membrane résorbable ...

--
;O)


Casque beotien a3jo39 - Eugenol
beotien

13/06/2009 à 17h01

,


croc1765

13/06/2009 à 20h55

pour spire exposée apres 6 mois de mise en nourrice vitalos est il valable?
pour spire exposée lors de la mise en place peut on mettre la vis de cica ou faut il la vis de couverture et réouvrir aprés ?


3f3boxni50k58rq7e9ce9ddqrxgk - Eugenol
dentiste57

13/06/2009 à 21h29

c'est tout de même mieux si tu fais du deux temps dans ce cas ci car il est préférable de garder la membrane à l'abri d'une contamination bactérienne.


croc1765

13/06/2009 à 21h59

oui mais l'interet visiblement de vitaloscement etait la dualite du produit pas de membrane ils préconisent meme pratiquement pas de lambeau


S2y2o1v7q53ws4r5wy6ou8czrpom - Eugenol
pxav

14/06/2009 à 00h35

croc1765 écrivait:
------------------
> pour spire exposée apres 6 mois de mise en nourrice vitalos est il valable?
> pour spire exposée lors de la mise en place peut on mettre la vis de cica ou
> faut il la vis de couverture et réouvrir aprés ?

le probleme c'est la decontamination des spires; sinon le vitalos en immediat est OK (il ne faut pas de mobilité de l'implant).
dans tous les cas c'est un bon produit mais pas une baguette magique!
il peut rester en contact avec la salive, mais attention il durcitmais pas solide au point de resister à la pression
--
xbk


Img 8465 fqhxid - Eugenol
noahaxeltiger-olivier

16/06/2009 à 01h52

En ce qui concerne le vitalos, tout comme les matériaux de comblement ciment ou putty (Easygraft, ...) je suis relativement rétissant : le but d'un matériaux de comblement n'est pas de remplacer l'os autogène mais de permettre à des cellules osteogéniques de trouver place (éviter une collapse tissulaire) et d'obtenir un support d'apposition (remodelage osseux). Cela n'est donc possible que si le matériaux de comblement est suffisant poreux pour permettre une colonisation dans toute son épaisseur par le caillot sanguin.
Or les matériaux de comblement cement ou putty semblent particulièrement compacts et d'après tes propos pxav il est important d'isoler le vitalos de tout contact sanguin lors de son application : un non-sens biologique à mon sens !!

Obtenir un comblement tissulaire radiologiquement convenable et un volume sous gingival satisfaisant n'a aucune valeur biologique à mes yeux. Malheureusement les cas de réouverture de sites dans un simple but de contrôle clinique sont en pratique difficilement applicables. Ne parlons pas des analyses histomorphologiques. Pour compenser cela il faut se référer à la littérature scientifique et en ce qui concerne les matériaux de comblement cement ou putty on semble en être qu'à des balbutiements. (je ne parle pas de case report ou case series qui n'ont aucune valeur en terme de relevance statistique)
Je n'ai rien contre, je veux juste des preuves scientifiques.

Amicalement / Olivier


S2y2o1v7q53ws4r5wy6ou8czrpom - Eugenol
pxav

16/06/2009 à 09h45

noahaxeltiger-olivier écrivait:
-------------------------------
d'après tes propos pxav il est important d'isoler le vitalos de tout
> contact sanguin lors de son application : un non-sens biologique à mon sens !!
>
> Obtenir un comblement tissulaire radiologiquement convenable et un volume sous
> gingival satisfaisant n'a aucune valeur biologique à mes yeux. Malheureusement
> les cas de réouverture de sites dans un simple but de contrôle clinique sont en
> pratique difficilement applicables. Ne parlons pas des analyses
> histomorphologiques.
> Je n'ai rien contre, je veux juste des preuves scientifiques.
>
> Amicalement / Olivier

Comme souvent je me suis mal exprimé il ne faut pas de sang entre le VitalOs et l'os lors de l'application, pas après.
Au contraire il est important que le matériau soit "nourrit"

En cas d'épaisseur importante il ne faut pas hésiter à le mélanger avec de l'autogène ou d'autres produits (synthétiques dans mon cas) qui favoriseront les échanges
Pour les contrôles radio tout à fait d'accord aves toi, mais quand je rouvre 4 mois après (pour implanter ou pour vis de cicat. c'est nickel.

--
xbk

Nouveau 1laur gjzk7a - Eugenol

Blason dql7mj - Eugenol
growler

16/06/2009 à 09h47

je suis aussi de ton avis olivier, j'ai du mal à imaginer comment une néomicrovascularisation et un envahissement cellulaire peut s'établir relativement rapidement dans ce type de matériau. Alors je suis allé voir sur leur site, ils disent que ce matériau et résorbable et poreux, mais je n'y ai trouvé qu'une liste d'études quasiment toutes du même auteur: http://www.vitalos.com/PAGES/publications.php

franchement je suis sceptique quand au devenir histologique de ces zones comblées.

@+



Blason dql7mj - Eugenol
growler

21/06/2009 à 20h33

pour continuer sur ce sujet, jusqu'à présent j'utilise du bio-oss grosses granulométrie pour les sinus-lift. Je tenterais bien l'usage de bétaTCP en grosse granulométrie pour un prochain lift que je dois réaliser.

il existe des bétaTCP purs mais aussi des bétaTCP mélangés avec de l'hydroxyapatite (SBS 60/40 , bioactys de pred à 159€ les 5CC)

sachant que l'hydroxyapatite ne se résorbe pas, pensez-vous qu'il est préférable d'utiliser du bétaTCP pur ou un mélange?

les coûts de matériaux sont vraiment très différents. Avez-vous une idée du temps nécessaire à la substitution quasi complète du bétaTCP par de l'os néoformé?

@+




Casque beotien a3jo39 - Eugenol
beotien

21/06/2009 à 21h03

,


Blason dql7mj - Eugenol
growler

21/06/2009 à 22h26

j'ai utilisé une fois du MP3 (pred) avec un bon résultat (implants ostéointégrés avec une belle image radiologique d'os néoformé) 129 € la seringue de 1 cc donc déjà moins onéreux que le bio-os, le bioactys c'est 159 les 5 cc, on a aussi le sbs 60/40, l'apatos de pred (OHapatite+porcin), le kasios 0.5-1 mm (bétaTCP) à 250 € les 5 grammes chez easyimplant, le ceros (bétatcp) 07-1.4 mm à 340 € les 2.5 g


bref, je me demande si la quantité d'os néoformé n'est pas finalement similaire avec un produit moins onéreux comme le bioactys dont les 60% d'OHapatite synthétique ne vont finalement pas plus se résorber que ne le font les granules d'OHapatite d'origine bovine bio-oss.

l'autre question c'est: faut-il une partie du matériau qui soit non ou très peu résorbable pour maintenir le volume ou un matériau entièrment résorbable tel que le bétaTCP pur permet-il aussi bien le maintien du volume? (dans le cas de sinus-lift sans pose simultanée d'implants)

@+


tiens au fait, un beau p'tit papier sur le sinus lift: http://www.sop.asso.fr/ROS/articlepdf/2008/ROS_1/2056.pdf


S2y2o1v7q53ws4r5wy6ou8czrpom - Eugenol
pxav

22/06/2009 à 10h22

growler écrivait:
-----------------

> bref, je me demande si la quantité d'os néoformé n'est pas finalement similaire
> avec un produit moins onéreux

une etude faites par les japonais je crois (je n'ai pas les ref) montre que un sinus avec fenetre laterale, rabatue dans la cavité, pose d'implants simultané avec l'apex qui repose sur le volet osseux, sans materiaux de comblement ajouté donne les même resultats: l'os se reforme de lui même.
je pose une simple éponge souvent et pas de soucis.
On ne nous dit pas tout!

faire simple, ça ne permet pas de laisser un nom ni de faire vivre les fabricants mais des fois ça marche.

je ne regrettes pas l'epoque ou je faisait les comblements avec crete iliaque et TCP, même si c'etait efficace.


--
xbk

Ai ge 23.01 - Eugenol

gaftrog

22/06/2009 à 10h56

growler ecrivait :

j'ai utilisé une fois du MP3 (pred) avec un bon résultat (implants ostéointégrés avec une belle image radiologique d'os néoformé) 129 € la seringue de 1 cc donc déjà moins onéreux que le bio-os, le bioactys c'est 159 les 5 cc, on a aussi le sbs 60/40, l'apatos de pred (OHapatite+porcin), le kasios 0.5-1 mm (bétaTCP) à 250 € les 5 grammes chez easyimplant, le ceros (bétatcp) 07-1.4 mm à 340 € les 2.5 g


pouquoi on dit que bio oss est cher ? acheté la semaine derniere avec geistlich, bio oss grandes particules flacon 1.6 cc : 94 € !!


Blason dql7mj - Eugenol
growler

22/06/2009 à 13h42

oui pxav, avec pose implants simulanée, ces derniers jouent le rôle de mainteneur d'espace et une simple éponge suffirait (j'ai vu une présentation d'un Confrère Coréen assez démojnstrative), mais là ma question c'est pour les lifts sans pose d'implants, il semble que le bétaTCP seul ne suffit pas à maintenir suffisamment l'espace, il faut, selon les auteurs, 60 % d'HA pour 40% de bétaTCP pour maintenir l'espace.

toujours selon les auteurs, le biphasé HA-bétaTCP donnerait des résultats similaires au bio-oss, il semble nécessaire d'attendre au moins 6 mois voire 8.

@+


S2y2o1v7q53ws4r5wy6ou8czrpom - Eugenol
pxav

22/06/2009 à 14h34

l'exposé que j'avais vu donnait les mêmes resultats avec ou sans pose d'implants en bloquant la muqueuse avec une eponge pour garder l'espace.
ceci etant je mets du produit de comblement quand je ne fait que le sinus sans implant

--
xbk


Casque beotien a3jo39 - Eugenol
beotien

24/06/2009 à 16h02

,,,