Cookie Consent byPrivacyPolicies.comCa, ça va me plaire. - Eugenol

Ca, ça va me plaire.

3f3boxni50k58rq7e9ce9ddqrxgk - Eugenol
dentiste57

17/06/2009 à 15h43

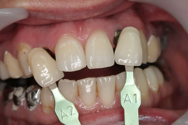
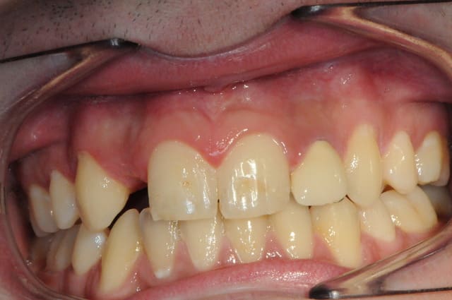
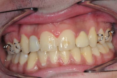
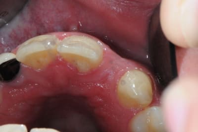
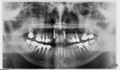
jeune homme,
18 ans,
agénésie de 12,
extraction de 52 depuis 2 ans et remplacement par un mainteneur d'espace, vient consulter pour un implant...

j'adore ce genre de cas, c'est un vrai défi esthétique où on a pas le droit à l'erreur.

je pense qu'une greffe osseuse serait peut être nécessaire pour la concavité. Toutefois, je devrais pouvoir m'en sortir en dilatant la crête osseuse vestibulaire pendant la pose de l'implant.

Dsc 3714 yy3w2j - Eugenol
Dsc 3715 lv6kac - Eugenol
Dsc 3716 brjkvw - Eugenol

Photo pluton1b h9n4ea - Eugenol
pluton

17/06/2009 à 16h31

à mon avis, tu dois avoir quand même pas mal d'os...
une expansion...oui, oui, oui...c'est en tout cas ce que je ferais (vive le conpression bone MIS)...tu vas rattraper pas mal la concavité...mais pour que ce soit plus joli...un ptit conjonctif enfouis ne fera pas de mal...;-)


Smile beach jgh0a1 - Eugenol
Céramik

17/06/2009 à 17h27


Beau cas d'expansion, + conjonctif ou Bio-oss en vestibulaire en même temps.

Pour ton patient, donne lui une bonne brosse à dents...
Tu peux aussi aider avec la 22, pas très jolie.

--
Céramik


S2y2o1v7q53ws4r5wy6ou8czrpom - Eugenol
pxav

17/06/2009 à 18h36

dentiste57 écrivait:
--------------------

>
> j'adore ce genre de cas, c'est un vrai défi esthétique où on a pas le droit à
> l'erreur.
>
> je pense qu'une greffe osseuse serait peut être nécessaire pour la concavité.
> Toutefois, je devrais pouvoir m'en sortir en dilatant la crête osseuse
> vestibulaire pendant la pose de l'implant.

salut D57
tres classique cas d'expansion,seul précaution sur la qualité de l'os mais prevoir une facture en bois vert
pas de greffe la dessus en tout cas
si tu veux le matos tu demandes
--
xbk


Photo pluton1b h9n4ea - Eugenol
pluton

17/06/2009 à 19h05

pour une fois pxav...on est pas forcément d'accord...
un petit conjonctif enfoui peut être un plus...mais çà dépend de ce qui va être récupéré par l'expansion....
si l'expansion seule donne un résultat satisfaisant...ok...mais sinon, prévoir lors de l'intervention...histoire de pas avoir à y revenir une seconde fois...


S2y2o1v7q53ws4r5wy6ou8czrpom - Eugenol
pxav

17/06/2009 à 21h08

pluton écrivait:
----------------
> pour une fois pxav...on est pas forcément d'accord...
c'est le coté sympa de nonol, mais honnetement expansion, à la limite avec ostéotomes curviligne de Tatum, ou même simplement en flapless avec meissinger (ou mis) et c'est sans probleme sauf et ça risque d'etre le cas si D1, dans ce cas fracture en bois vert et tu retrouve la forme sympa en vestibulaire

--
xbk


P1010130 jpci1f - Eugenol
MarcB6

17/06/2009 à 21h50

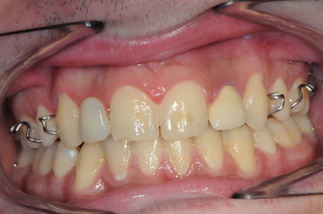
Salut D57,

Ton cas est intéressant mais hormis la concavité vestibulaire, à mon avis largement rattrapable avec une expansion,
2 autres pièges attirent mon attention, c'est typique des agénésies des latérales.

1: Absence d'alignement des collets, à gérer impérativement en cours de chirurgie, sinon dent trop courte et inesthétique.

2: espace MD trop étroit à vue d'oeil, attention au type d'implant.
Si le col implantaire est trop large (sup à 3 mm de diam ) tu aura une compression gingivale et disparition des papilles.

Cordialement
--
marcB6


P1010130 jpci1f - Eugenol
MarcB6

17/06/2009 à 21h59

Au fait,

il faudra penser à lui enlever les restes de composite.

C'est terrible cette manie des ortho, ils ne s'appliquent jamais pour enlever les restes de colle à la fin des traitements.

--
marcB6


3f3boxni50k58rq7e9ce9ddqrxgk - Eugenol
dentiste57

17/06/2009 à 22h24

MarcB6 écrivait:
----------------
> Au fait,
>
> il faudra penser à lui enlever les restes de composite.
>
> C'est terrible cette manie des ortho, ils ne s'appliquent jamais pour enlever
> les restes de colle à la fin des traitements.
>
c'est bien vrai ça !
je dirais même plus, on est content quand ils ne retirent pas les restes de colles avec une fraise à gros grain type bague noir.

pour le choix du diamètre, j'attends les résultats du scan.
je vous tiens au courant.


Avatar ow44t3 - Eugenol
Chicot

17/06/2009 à 22h42

C'est drôle, j'ai eu un cas comme ça l'an dernier, bilatéral et une 44 avec.

A la palpation je pensais avoir bcp d'os en 12-22, sur les photos on voyait de belle crête avec une légère concavité, je partais pour faire ça en MCI !!! . En 44 c'était plutôt le contraire

Au scan j'avais deux lames corticales en 12 22 et presque pas de spongieux entre.
Je n'ai pas tenté l'expansion. J'ai fait 2 greffes ramique (+ bio oss et membrane) et à 5 mois posé 2 implants 3,5*13

en 44 par contre j'ai fait une expansion à tel point que la paroi vestibulaire c'est détaché, j'ai pas pu mettre l'implant mais 2 minivis d'ostéosynthèse et du bio oss entre pour que ça cicatrise en place et pour pouvoir poser l'implant à 5 mois (en même tps que 12-22)


attend le scan avant de dire cocorico !!!

--
;O)


Photo pluton1b h9n4ea - Eugenol
pluton

18/06/2009 à 01h38

moi, je suis en cours pour une double agénésie de latérale, tout en expansion avec les MIS...la prothèse est pour la fin du mois...(je viens de faire les empreintes...mon prothésiste me demande un peu de délais...je lui envoie que des "gros cas" en ce moment...)
si çà vous dit, je fais une compile photos , radio et scan...dès que j'aurai posé...;-)


S2y2o1v7q53ws4r5wy6ou8czrpom - Eugenol
pxav

18/06/2009 à 08h25

pluton écrivait:
----------------
> moi, je suis en cours pour une double agénésie de latérale, tout en expansion
> avec les MIS...l

> si çà vous dit, je fais une compile photos , radio et scan...dès que j'aurai
> posé...;-)

très bonne idée, des photos!des photos!
--
xbk


Photo pluton1b h9n4ea - Eugenol
pluton

18/06/2009 à 09h23

par contre...désolé...je n'ai pas de photos de la chirurgie...

faudrait que je forme une de mes AD pour çà (enfin que je lui apprenne à se servir de l'appareil)...çà me trotte dans la tête depuis un moment...vais essayer de mettre en pratique pour ma prochaine chir...

je vois qu'il y a des impatients...en attendant les photos finales...je peux vous mettre les photos du scan, des moulages pré-op (pour le wax up et en faire mon guide)...on pourra discuter de ma technique (certainement perfectible) des résultats espérés et ceux réellement acquis à la pose des prothèses d'usage...


Photo pluton1b h9n4ea - Eugenol
pluton

18/06/2009 à 18h00

bon , je suis en train de compiler un max de photos du cas pour pouvoir poster çà ce soir...
bien entendu, je suis ouvert à toute "critique" sur ce cas...à partir du moment ou celle-ci est "constructive" le but étant de faire partager l'expérience...pas de juger...et pour permettre à tout le monde de progresser...

je ne suis qu'un modeste petit "planteur" de province, qui essaye de faire de son mieux pour ses patients...pas une "pointure"...aussi les conseils avisés de plus expérimentés que moi sont les bienvenus afin de corriger mes erreurs...

afin de dresser un tableau du cas...une petite présentation:
jeune femme de 35 ans, double agénésie des latérales sup, porte depuis la fin de l'adolescence un petit stellite de 2 dents...et n'en veux plus...
pas de problèmes de santé
budget assez serré...ne veux pas "d'interventions lourdes" (greffes)...et petit détail...un impératif de date...car elle se marie début juillet...
accepte un certain compromis esthétique (pour la concavité vestibulaire) car le sourire n'est pas gingival...d'où intervention avec expansion osseuse...


S2y2o1v7q53ws4r5wy6ou8czrpom - Eugenol
pxav

18/06/2009 à 18h10

pluton écrivait:
----------------
>
> je ne suis qu'un modeste petit "planteur" de province, qui essaye de faire de
> son mieux pour ses patients...

un grand "implantologue" doit, pour moi, faire plus de 1m90
et un petit moins de 1m50!

ils ne sont pas nombreux ni dans un cas ni dans l'autre.

alors te bile pas ..


--
xbk


Photo pluton1b h9n4ea - Eugenol
pluton

18/06/2009 à 21h12

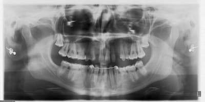
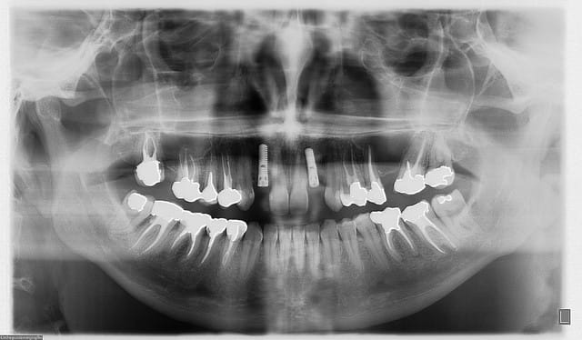
bon, première salve...
photos du scanner...et avec la planche radio pour bien estimer le volume disponible
d'entrée de jeu, on peut se dire que çà va être plus coton pour la 22 que pour la 12 car on à moins d'épaisseur et la corticale est plus dense...

Img 2645 gcfhrm - Eugenol
Img 2642 h3keuz - Eugenol
Img 2643 wmo15t - Eugenol
Img 2644 qpfxzv - Eugenol
Img 2641 lsphqk - Eugenol

Photo pluton1b h9n4ea - Eugenol
pluton

18/06/2009 à 21h22

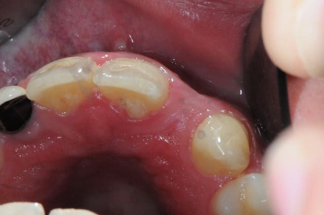
suite...
photo du modèle d'étude destiné à la réalisation du guide chir...(désolé pour les traces de cire et les 2 centrales cassées...mais les photos permettent de voir les concavités vestibulaires...)

Img 2648 cm9ze1 - Eugenol
Img 2647 y4doy9 - Eugenol
Img 2646 fwyjis - Eugenol

Photo pluton1b h9n4ea - Eugenol
pluton

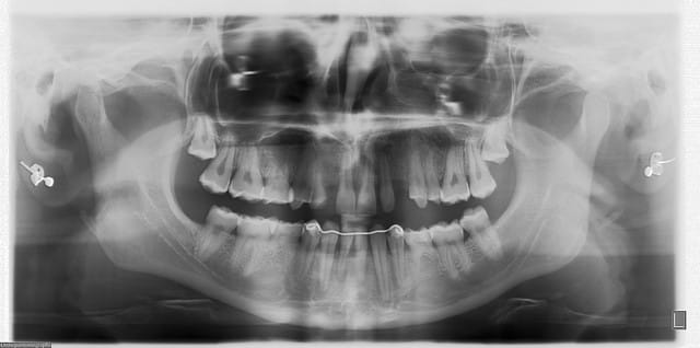
18/06/2009 à 21h42

suite bis...

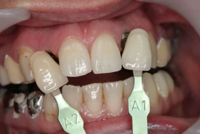
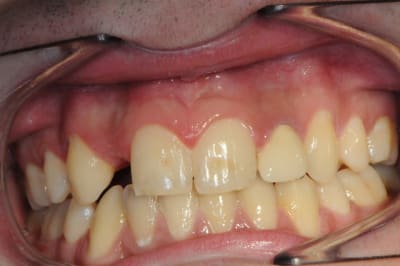
pose de l'implant pas simple en effet pour la 22...la corticale m'a en effet "guidé" beaucoup plus en palatin que ce que j'aurais voulu (cf pano...on à presque l'impression que je suis dans la 21...mais c'est une déformation "optique" les 2 implants ont en effet la même longueur...13mm)

photos de l'empreinte d'étude pour les autres couronnes...photos de la prise de teinte...
je sais qu'il y a une petite différence de hauteur de collet...mais les implants étant pas mal enfouis (les vis de cicat font 3mm) une petite gingivoplastie s'impose pour la 12...
le gain en expansion n'est pas faramineux...mais quand même...

suite des photos après la pose...cette fin de mois...
comme le disait dentiste57...la gestion de ces agénésies est un véritable défi esthétique...

Img 2651 frjqca - Eugenol
Img 2639 xvttp7 - Eugenol
Img 2640 m63aup - Eugenol
Img 2649 vwxjgh - Eugenol
Img 2650 qmu4f2 - Eugenol
13022009 ci39xn - Eugenol

S2y2o1v7q53ws4r5wy6ou8czrpom - Eugenol
pxav

18/06/2009 à 22h36

et bien pour un "provincial" c'est tres correct
ne pas oublier qu'il est difficil de "travailler" un os qui n'a jamais connu de racine.
t'es bon Pluton!

--
xbk


Photo pluton1b h9n4ea - Eugenol
pluton

19/06/2009 à 00h22

merci pour le compliment pxav....mais c'est pluton....je ne prétend pas au P majuscule...
maintenant, si tu as des astuces qui me permettrai de progresser...je suis preneur...ma région étant particulièrement "riche" en agénésies...

pour ma part...je dois dire que j'ai observé un phénomène assez particulier...j'utilise des vis de cicat courtes...pour contraindre la gencive à passer par dessus...tout simplement pour bien préserver mes papilles...au début de mon activité implantaire, j'utilisais vis longues de préférence, pour le côté "pratique", mais je n'avais pas de résultats fiables...c'est fortuitement que j'ai observé ce phénomène
mais je ne sais pas s'il existe d'études sur ce sujet...

dans le cas présent...pour les papilles, çà devrait le faire...et c'est tant mieux, car c'est beaucoup plus joli...et j'aurais pas aimé gâcher les photos du mariage...;-)


S8ysxdzhdqgw00w4q6m07a5d47q2 - Eugenol
gai-luron

19/06/2009 à 00h31

pluton écrivait:
----------------
>ma région étant particulièrement "riche" en agénésies...
>



c'est-à-dire?


Photo pluton1b h9n4ea - Eugenol
pluton

19/06/2009 à 01h37

c'est à dire que je passe rarement une semaine sans voir un gosse avec une ou plusieurs agénésies...

c'est lié au passé industriel...de ce bassin minier assez replié sur lui même...il fut un temps où il n'y avais que peu de "brassage" génétique...et ce d'autant plus que les "coutumes locales" toléraient facilement le "ménage à trois" (1 femme, 2 hommes...et oui, c'est plus facile de faire tourner une maison et d'élever les gosses avec 3 salaires qu'avec 2...)

avec l'ODF, on peut gérer sans trop de problèmes jusqu'à 4 agénésies...au delà....c'est du bricolage...d'où le développement de l'activité implantaire dans le cabinet...


3f3boxni50k58rq7e9ce9ddqrxgk - Eugenol
dentiste57

19/06/2009 à 06h30

c'est quoi ta région ?


S2y2o1v7q53ws4r5wy6ou8czrpom - Eugenol
pxav

19/06/2009 à 10h16

pluton écrivait:
----------------
> merci pour le compliment pxav....mais c'est pluton....je ne prétend pas au P
> majuscule...

Pluton (couramment Pluton est le premier objet transneptunien

> maintenant, si tu as des astuces qui me permettrai de progresser...je suis
> preneur...ma région étant particulièrement "riche" en agénésies...
>

je ne suis pas un "grand" pour la gencive je n'ai donc pas de trucs particulier (d'acord avec toi pour les vis courtes )
par contre sur le travail de l'os il peut m'arriver d'avoir des options qui simplifie le travail (sans etre le bon dieu pour autant)
pour ta région je pense que tu navigue du coté valencienne?

--
xbk


Photo pluton1b h9n4ea - Eugenol
pluton

19/06/2009 à 11h06

pas du tout...bourgogne...

tiens voilà un cas comme j'en vois assez régulièrement...10 agénésies....

Exemple ebeela - Eugenol