Cookie Consent byPrivacyPolicies.comCa, ça va me plaire. - Eugenol

Ca, ça va me plaire.

Casque beotien a3jo39 - Eugenol
beotien

20/06/2009 à 20h54

,


S2y2o1v7q53ws4r5wy6ou8czrpom - Eugenol
pxav

20/06/2009 à 21h42

pluton écrivait:
----------------
> pas du tout...bourgogne...
>
> tiens voilà un cas comme j'en vois assez régulièrement...10 agénésies....
et nous ne sommes pas loin Nievre c'est aussi en Bourgogne
mais j'ai peu d'agenesie
le creusot?

--
xbk


S2y2o1v7q53ws4r5wy6ou8czrpom - Eugenol
pxav

20/06/2009 à 21h44

beotien écrivait:
-----------------

>
> Photo prise avec mon portable désolé

il est bien ton portable

mef à la 12 os pas toujours sympa avec les dentistes....
bon courage

--
xbk


3f3boxni50k58rq7e9ce9ddqrxgk - Eugenol
dentiste57

20/06/2009 à 21h45

ça sent le croutage de tronche sur un bord d'escalier non ?


Casque beotien a3jo39 - Eugenol
beotien

21/06/2009 à 11h32

,


Casque beotien a3jo39 - Eugenol
beotien

26/06/2009 à 19h08

,


S2y2o1v7q53ws4r5wy6ou8czrpom - Eugenol
pxav

26/06/2009 à 19h31

beotien écrivait:
-----------------
> bof, je viens de recevoir le scan
> çà va sans doute pas être si cool que çà
Pas cool du tout!
Greffe? Parce que l'expansion ça le ferra pas
--
xbk


Casque beotien a3jo39 - Eugenol
beotien

26/06/2009 à 22h37

,


Avatar ow44t3 - Eugenol
Chicot

27/06/2009 à 16h20


+ 1 pour la greffe

--
;O)


S2y2o1v7q53ws4r5wy6ou8czrpom - Eugenol
pxav

27/06/2009 à 17h57

Chicot écrivait:
----------------
>
> + 1 pour la greffe
>
> --
> ;O)
idem et pourtant ce n'est pas mon "truc"


--
xbk


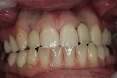
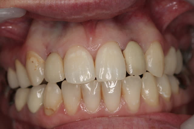
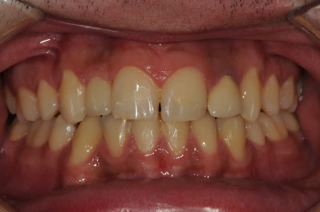
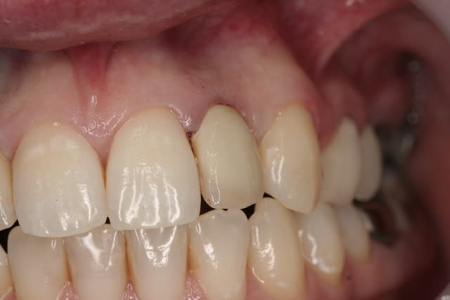
Photo pluton1b h9n4ea - Eugenol
pluton

30/06/2009 à 12h57

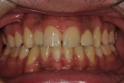
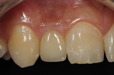
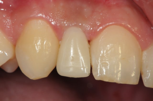
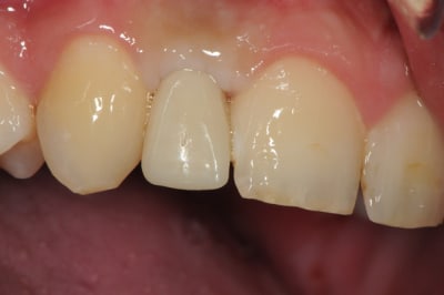
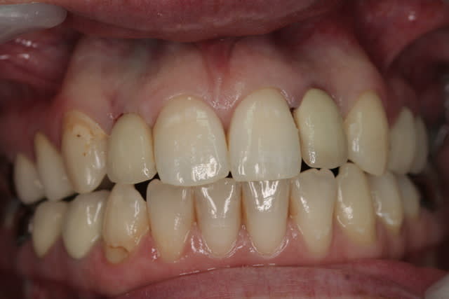
photos finish!!!
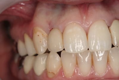
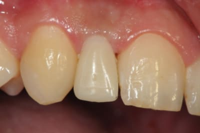
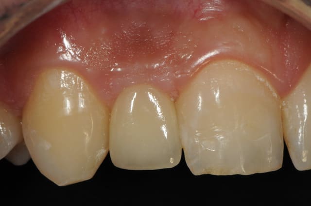
à noter...avec le flash...difficile de rendre le "naturel" de ces restaurations(teintes très claires)...après petite gingivoplastie pour harmoniser la hauteur des collets...(surtout pour 12...)

Img 2658 zp6y1q - Eugenol
Img 2656 uds9dq - Eugenol
Img 2657 gvssvl - Eugenol
Img 2655 fabrqz - Eugenol

Casque beotien a3jo39 - Eugenol
beotien

02/07/2009 à 15h26

,


S2y2o1v7q53ws4r5wy6ou8czrpom - Eugenol
pxav

02/07/2009 à 20h01



bravo
on verra la suite au retour de vacances

--
xbk


Avatar ow44t3 - Eugenol
Chicot

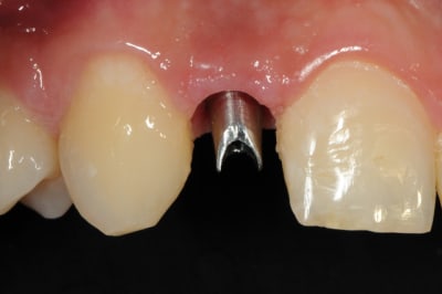
05/07/2009 à 13h17

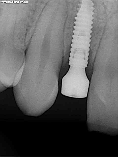
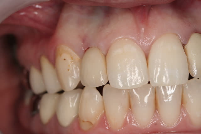
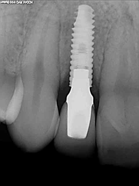
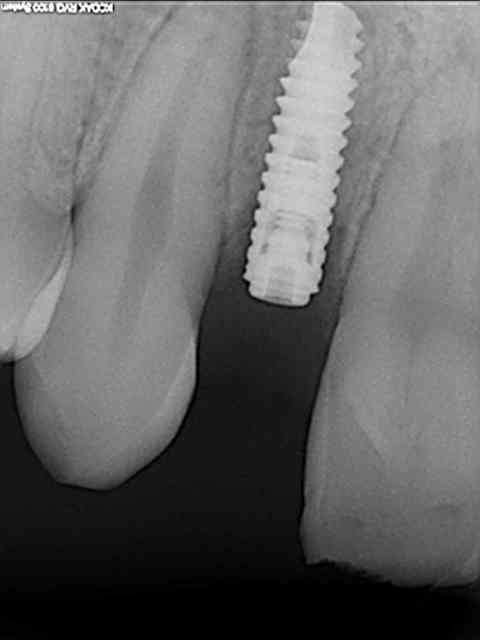
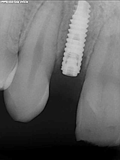
tes implants 12 et 13 n'ont pas le même niveau d'enfouissement, tu n'as pas peur d'une lyse osseuse de 13 pour venir au niveau du col de 12 ?

comment tu fais pour rester en stérile et prendre ton OPT ?

Quand je prend une RVG, je gaine le capteur et j'ai une charlotte plastic transparente sur le tube et c'est l'assistante non stérile qui appuie sur le "bouton"

--
;O)


S2y2o1v7q53ws4r5wy6ou8czrpom - Eugenol
pxav

05/07/2009 à 13h51

Chicot écrivait:
----------------

>
> Quand je prend une RVG, je gaine le capteur et j'ai une charlotte plastic
> transparente sur le tube et c'est l'assistante non stérile qui appuie sur le
> "bouton"
>
> --
> ;O)

oui ou sur film sterile qui est sur le bouton.
mais beotien il est en vacances je crois
--
xbk


3f3boxni50k58rq7e9ce9ddqrxgk - Eugenol
dentiste57

05/07/2009 à 13h56

oui, mais ça l'empêche pas de regarder nonol de temps en temps


3f3boxni50k58rq7e9ce9ddqrxgk - Eugenol
dentiste57

24/10/2009 à 01h49

je dois récupérer les photos du cas et je ne sais pas comment faire, quelqu'un pourrait il m'expliquer ?

me les envoyer sur mon mail ???


Photo pluton1b h9n4ea - Eugenol
pluton

24/10/2009 à 12h12

t'as perdu les photos d'origine???


3f3boxni50k58rq7e9ce9ddqrxgk - Eugenol
dentiste57

25/10/2009 à 02h21

oui, bouuuuhhh

ouuuuiiin !!!


j'ai pommé toutes les photos du cas .


S2y2o1v7q53ws4r5wy6ou8czrpom - Eugenol
pxav

25/10/2009 à 09h29

dentiste57 écrivait:
--------------------
> oui, bouuuuhhh
>
> ouuuuiiin !!!
>
>
> j'ai pommé toutes les photos du cas .

là je rêve!
comment veux tu que quelqu'un possede tes photos?
un cas de présentation je suppose?
vraiment drole d'époque je crois que nous marchons sur la tête!

j'ai une photo de chir mais tu ne me feras pas croire que l'on peut mettre des implants là dedans!

--
xbk

Dsc 3745 q8qr4p - Eugenol
Copie de dsc 4044 xhqlfm - Eugenol

S8ysxdzhdqgw00w4q6m07a5d47q2 - Eugenol
gai-luron

25/10/2009 à 09h39

fais gaffe, le gamin va se casser la figure...


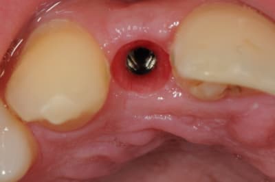
3f3boxni50k58rq7e9ce9ddqrxgk - Eugenol
dentiste57

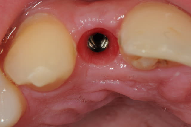
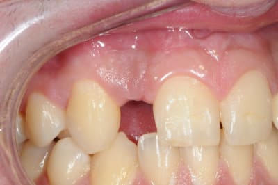
01/09/2010 à 16h18

je reviens sur ce cas que j'ai un peu délaissé...

il est terminé, j'ai juste oublié de mettre la suite.

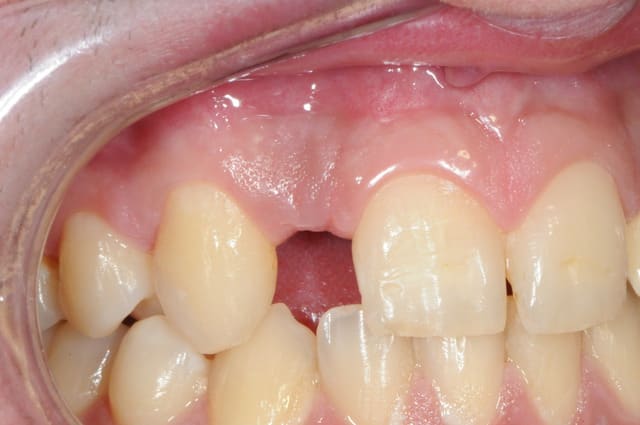
-cicatrisation
-mise en place vis de cica petit diamètre
-ensuite on augmente le diamètre en conservant et en gonflant les tissus gingivaux

Dsc 5181 biofzp - Eugenol
05 10 2009 qif2ab - Eugenol
Dsc 5174 ymu9kx - Eugenol
Dsc 5177 d6xuik - Eugenol
Dsc 5182 qpsppc - Eugenol
Dsc 5186 sxxbti - Eugenol
Dsc 5189 cmpveh - Eugenol
Dsc 5193 c5mpgs - Eugenol
Dsc 5196 ebsolx - Eugenol
R12 kfzljk - Eugenol

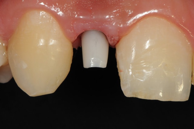
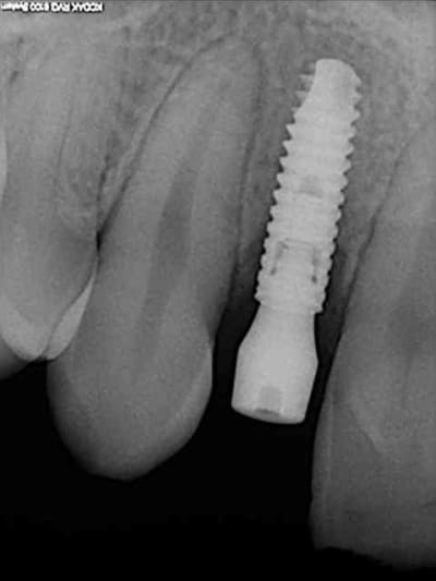
3f3boxni50k58rq7e9ce9ddqrxgk - Eugenol
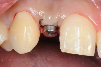
dentiste57

01/09/2010 à 16h28

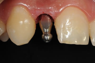
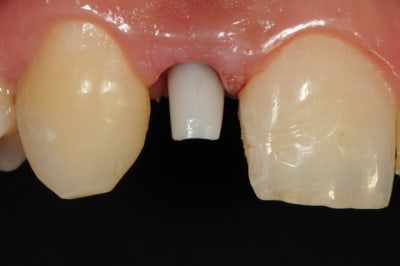
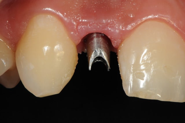
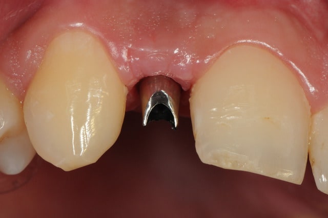
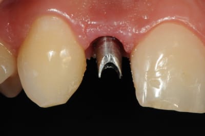
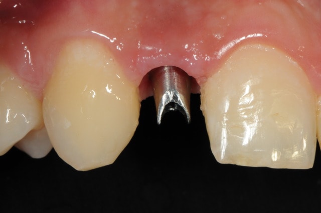
-cicatrisation de la première vis de cica,
-diamètre plus gros pour la vis de cica
- pilier pour la provisoire
- provisoire moule ION
- ajustage
- polissage soigneux


la suite tout à l'heure, ça sonne à la porte...

Dsc 5681 kjnwwu - Eugenol
Dsc 5682 ehrpic - Eugenol
Dsc 5685 qmarax - Eugenol
Dsc 5555 q88nfw - Eugenol
Dsc 5556 c6z9p2 - Eugenol
Dsc 5558 dykaxt - Eugenol
Dsc 5561 vv00ff - Eugenol
Dsc 5667 brueel - Eugenol
Dsc 5686 toe2fv - Eugenol
Dsc 5688 ff5tdp - Eugenol
Dsc 5691 z7rxgb - Eugenol
Dsc 5692 vnaw4w - Eugenol
Dsc 5923 om93b5 - Eugenol

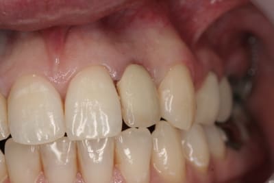
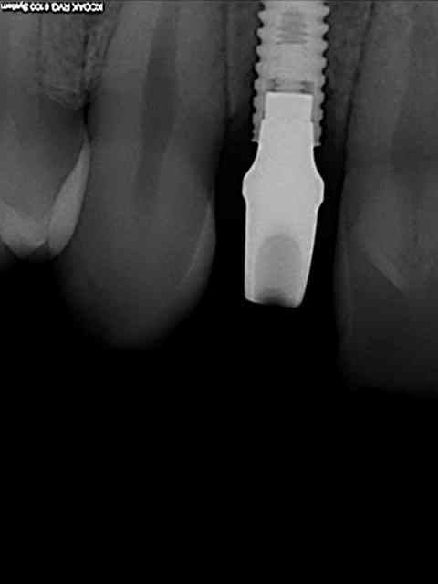
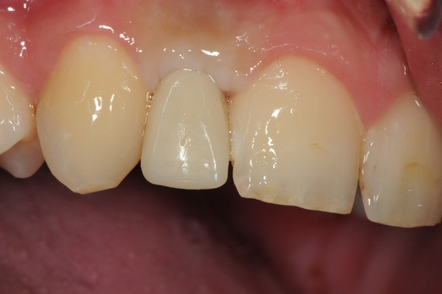
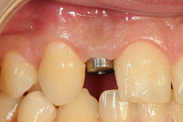
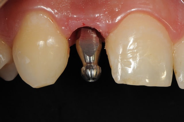
3f3boxni50k58rq7e9ce9ddqrxgk - Eugenol
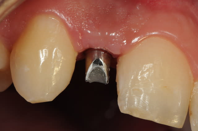
dentiste57

01/09/2010 à 16h54

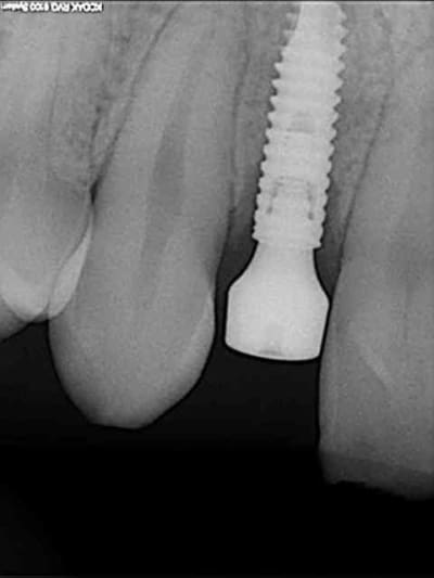
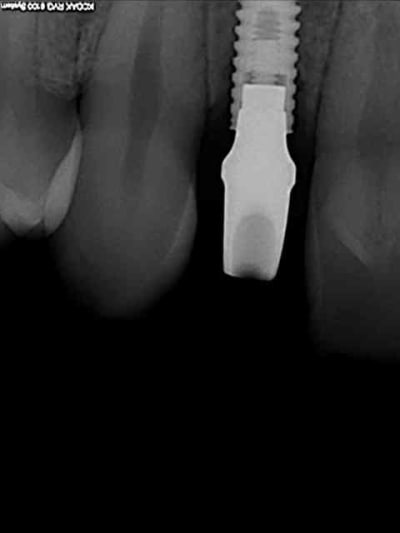
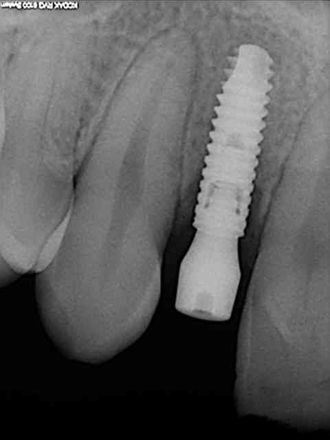
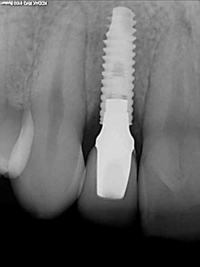
-1 ou 2 mois plus tard ( je sais plus)
- empreinte avec transfert pop in
- pilier zircone esthétique Axiom
- prothèse et pilier
- pilier zircone en place
- couronne en place (petite compression gingivale)


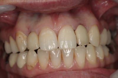
fin du traitement

pour la 22...

23 12 2009 cs5zdv - Eugenol
Dsc 6255 bdo2xc - Eugenol
Dsc 6256 nxo42x - Eugenol
Dsc 6257 czt0k8 - Eugenol
Dsc 6404 nhlxzj - Eugenol
Dsc 6408 lx3kne - Eugenol
Dsc 6411 hzkklv - Eugenol
Dsc 6475 ll6uvt - Eugenol
Dsc 6480 p0tdiy - Eugenol
Dsc 6484 nhu65z - Eugenol
Dsc 6569 mox1g8 - Eugenol
Dsc 6570 iriusn - Eugenol
R18 hlvebj - Eugenol
R23 mgmtmn - Eugenol

Avatar ow44t3 - Eugenol
Chicot

01/09/2010 à 18h16

Joli cas mais tu as fait comment ?

expansion + cj enfui ???

tu as perdu un peu d'os au col, ça serait du à l'expansion ????

y'a plus qu'à refaire la controlatérale !!!!


--
;O)