Cookie Consent byPrivacyPolicies.comImplant 13 inesthétique - Eugenol

Implant 13 inesthétique

P1010130 jpci1f - Eugenol
MarcB6

22/06/2009 à 21h18

Salut à tous,

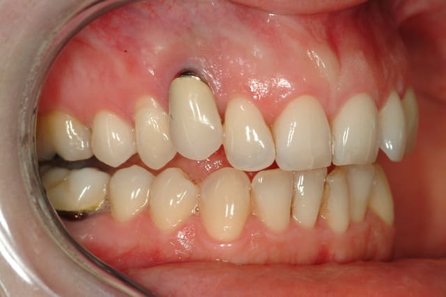
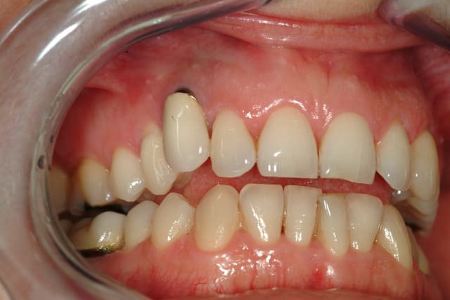
Patiente, 35 ans, d'un correspondant, reçue cet après midi.
Implant sur la 13 posé il y'à 15 ans.
La 13 était dans le palais, extraite qqs mois avant l'implantation.
problème esthétique depuis le départ...
Je n'ai pas encore prescrit de SCAN,
j'ai juste une pano, mais rien de spécial dessus, implant cylindrique, à vue d'oeil, diam 4, long 10 à 12 mm.
Problème délicat à gérer, qu'en pensez vous ?
Quelqu'un a-t-il déjà traité ce type de cas ?
j'ai déjà déposé des implants mais pas dans ce type de situation.

Merci d'avance

--
marcB6

Dscf0195 tivepx - Eugenol
Dscf0196 x91ww1 - Eugenol
Dscf0197 e1tsm0 - Eugenol
Dscf0198 ioamwn - Eugenol
Dscf0199 myvjwz - Eugenol
Dscf0201 h7n2eu - Eugenol

jeanphy

22/06/2009 à 21h32

à part reconstitution délicate et soigneuse avec fausse gencive , je ne vois pas.
Suis curieux de voir si certains ici oseraient étudier la dépose puis repose d'implant.


Blason dql7mj - Eugenol
growler

22/06/2009 à 23h28

un scan?


P1010130 jpci1f - Eugenol
MarcB6

22/06/2009 à 23h31

Je n'ai pas de Scan.
je l'ai vue cet AM, je n'ai pas encore fait de prescription.

--
marcB6


S2y2o1v7q53ws4r5wy6ou8czrpom - Eugenol
pxav

22/06/2009 à 23h43

hypermotivé, motivé, ou simplement géné?
il faudrait une radio au minimum, mais si tu es tres gonflé, si la motivation est hyper tu peux tenter la dépose, temporisation aprés comblement et repose dans un axe palatin
ça fait beaucoup de si!
--
xbk


P1010130 jpci1f - Eugenol
MarcB6

22/06/2009 à 23h57

Je suis d'accord avec toi PXAV, ça fait beaucoup de risques...
je lui ai dit tout ça à la patiente cet AM.
je pense que l'on peut poser un implant avec une angulation plus palatine.
le problème c'est le risque de déposer l'implant et de perdre de l'os en vestibulaire, le niveau de la gencive en vestibulaire m'inquiète aussi.
j'attends d'autres suggestions.
Merci

--
marcB6


Scan10030 ukikhq - Eugenol
vava

23/06/2009 à 00h45

et refaire la céramique?


S2y2o1v7q53ws4r5wy6ou8czrpom - Eugenol
pxav

23/06/2009 à 00h48

MarcB6 écrivait:
----------------

> je pense que l'on peut poser un implant avec une angulation plus palatine.
> le problème c'est le risque de déposer l'implant et de perdre de l'os en
> vestibulaire,
> marcB6
quand je dis plus palatin ce n'est pas angulation mais "feuille" palatine!
avec une expansion (tu sais faire) tu déporte la moitié de l'os palatin en vestibulaire....
effectivement pas simple mais faisable
ostéotome curviligne de tatum c'est l'idéal mais ça doit etre possible avec un plat.


--
xbk

Nouveau 1 uupcly - Eugenol
Nouveau 3 n526vf - Eugenol

Smile beach jgh0a1 - Eugenol
Céramik

23/06/2009 à 04h32

vava écrivait:
--------------
> et refaire la céramique?


et la #46 aussi...

Pour la 13, c'est l'implant ou le pillier qui est visible ?
Type d'implant ?
Si c'est un hex externe, tu peux tailler un peu le buccal...
pillier métal avec céramique rose et couronne Zircone...
si c'est pas asserz beau, hop dépose, mais faire gaffe à
l'os et à la gencive...

Bonne chance
--
Céramik


Scan10030 ukikhq - Eugenol
vava

23/06/2009 à 08h29

Céramik et bientôt la 36,
Il me semble que c’est le liserai du pilier qui est visible, que l’ajustage la couronne soit perfectible et que l’on aperçoive légèrement l’implant.
L’espace entre 12 et 14 est trop faible pour aligner la 13 qui est trop courte sur bord incisif.
Avant de faire de gros travaux j’opterai pour ta solution avec un pilier sur mesure en zircone voir teinté en rose.

Pxav tu est le Michel-Ange de l’implantologie, en première pose très intéressant ta solution.


S2y2o1v7q53ws4r5wy6ou8czrpom - Eugenol
pxav

23/06/2009 à 09h03

vava écrivait:
--------------

> Pxav tu est le Michel-Ange de l’implantologie, en première pose très intéressant ta solution.

Ha mes chevilles.......... et ma tête........grosse de plus en plus grosse!

mince ça ne marche pas pour le reste.

merci pour la comparaison.

c'est éventuellement plus "facile" en reprise qu'en premiere pose (dans le cas présenté je n'avais plus d'os vestibulaire) car les crêtes sont "ressoudées" donc plus de materiel osseux, même si l'architecture n'est pas favorable.
--
xbk


P1010130 jpci1f - Eugenol
MarcB6

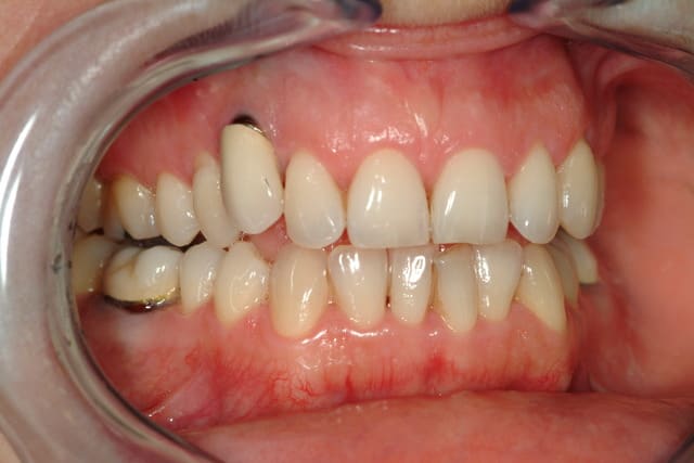
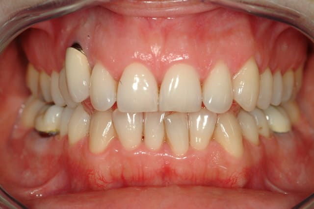
23/06/2009 à 19h24

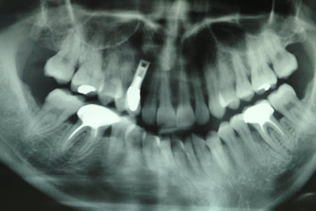
Voici les clichés de l'implant sur 13

--
marcB6

Dscf0216 f31jvn - Eugenol
Dscf0215 ryrv8j - Eugenol

Photo pluton1b h9n4ea - Eugenol
pluton

23/06/2009 à 19h37

çà ressemble à un des premiers screwvent (paragon...zimmer )


Casque beotien a3jo39 - Eugenol
beotien

23/06/2009 à 19h38

,


Photo pluton1b h9n4ea - Eugenol
pluton

23/06/2009 à 19h48

+1...d'autant que c'est pas dis que ce soit pas le col de l'implant qu'on voit....


S2y2o1v7q53ws4r5wy6ou8czrpom - Eugenol
pxav

23/06/2009 à 21h32

MarcB6 écrivait:
----------------
> Voici les clichés de l'implant sur 13
>
> --
> marcB6

le probleme de depose c'est l'apex de limplant tu risque ça:
--
xbk

Copie de duc je 01.07 - Eugenol

Smile beach jgh0a1 - Eugenol
Céramik

24/06/2009 à 04h51

pxav écrivait:
--------------
> MarcB6 écrivait:
> ----------------
> > Voici les clichés de l'implant sur 13
> >
> > --
> > marcB6
>
> le probleme de depose c'est l'apex de limplant tu risque ça:
> --
> xbk


La dépose a été fait comment ?

C'est pas un cas de fracture d'implant car trop petit pour le projet prothétique ?

Tu en places un au mésial du fragment, un autre au distal, et voilà...
;-)

--
Céramik