Cookie Consent byPrivacyPolicies.compuisque qu'on parle de Cl.II. - Eugenol

puisque qu'on parle de Cl.II.

1 p3qrc4 - Eugenol
Bjc.

24/06/2009 à 20h46

salut,

s’ils sont agressifs, cela ne me dérange pas, cela m’amuse et me rajeunis.

par exemple Phil Amant :
"Bul avait raison, modo, bjc ne répond pas aux questions."

:-)))

@+ Bjc.


1 p3qrc4 - Eugenol
Bjc.

24/06/2009 à 23h13

rien que pour embêter Phil Amant, j'ai envie de répondre en MP. a Bul

:-))


Modérateur

24/06/2009 à 23h42

Tu es en train d'en embêter un autre là.......


1 p3qrc4 - Eugenol
Bjc.

24/06/2009 à 23h58

t'inquietes modo, c'était juste une boutade
tu penses bien que je vais pas résister au plaisir de me faire contester!

@+ Bjc.


Image odged8 - Eugenol
ploc

25/06/2009 à 03h09

Bjc. écrivait:
--------------
> un cas terminé que m'a sorti mon assistante

l'angle mesial de 21 est moche:renvoies le(la) chez son omni
levez le nez de vos BK les odf!>


1 p3qrc4 - Eugenol
Bjc.

25/06/2009 à 04h18

"levez le nez de vos BK les odf!"

+1 pour mon jardin


1 p3qrc4 - Eugenol
Bjc.

25/06/2009 à 13h15

salut,

nous traitons les Cl.II. par relance de la croissance Md. qui implique déverrouillage et remodelage des arcades
les grands verrous charnière sont les 6 et les 3 (Ricketts, Le Gall,…)
le remodelage a pour but de restituer la forme d’arcade physiologique du patient
nous travaillons actuellement en friction faible avec des Bk. inter-actifs et des arcs à mémoire de forme

nous posons d’abord un Q.H. (pour le déverrouillage Post.) avec des bras de Talmant pour commencer le déverrouillage canin, puis nous passons au M.B. selon la technique de Voudouris qui consiste à ne pas prendre immédiatement les 6 dans l’arc, car en technique inter-active, on a moins d’expansion Post. puisqu’on a plus de contrôle de torque. une fois l’expansion sous contrôle réalisée au niveau PM., on alignera les 6 et si besoin est les 7, en les incluants dans l’arc
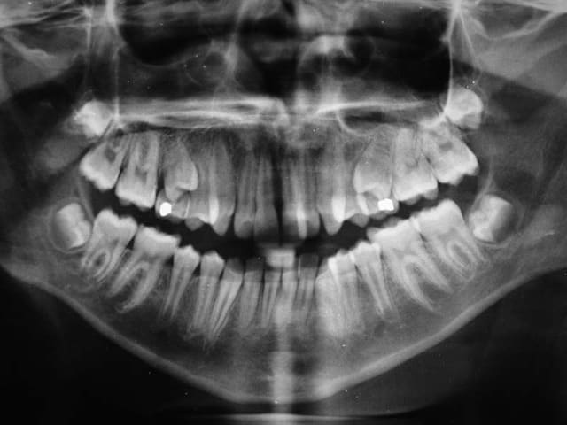
pour éviter une proversion Sup., j’ai poussé la technique de Voudouris à l’extrême en ne mettant un arc que de 13 à 23. (le remodelage est beaucoup facile et rapide que l’Inf.)
on voit bien sur la photo de l’arcade Sup. que le remodelage au niveau PM. est à terminer, malgré une réponse des 3/5°, ce qui va être entrepris à la prochaine séance en plaçant l’arc de 16 à 26. dans le cas présenté, le jeune patient est passé en Cl.I. sans élastiques de Cl.II..
entre 10 et 12 ans j’ai besoin de très peu d’élastique de Cl.II., beaucoup plus entre 14 et 16 ans.

Inconvénients : plus de séances de collage et plus de changements d’arcs
Avantages : TTT. plus rapide et plus confortable

@+ Bjc.



1 p3qrc4 - Eugenol
Bjc.

25/06/2009 à 13h57

complément Rx. demandés

@+ Bjc.

Dscf1065 y4ccxi - Eugenol
Dscf1066 eueqbz - Eugenol
Dscf1067 jrekz0 - Eugenol

damdam

25/06/2009 à 15h33

Bjc. écrivait:
--------------
> salut,
>
> nous traitons les Cl.II. par relance de la croissance Md. qui implique
> déverrouillage et remodelage des arcades
> les grands verrous charnière sont les 6 et les 3 (Ricketts, Le Gall,…)
> le remodelage a pour but de restituer la forme d’arcade physiologique du patient
> nous travaillons actuellement en friction faible avec des Bk. inter-actifs et
> des arcs à mémoire de forme
>
> nous posons d’abord un Q.H. (pour le déverrouillage Post.) avec des bras de
> Talmant pour commencer le déverrouillage canin, puis nous passons au M.B. selon
> la technique de Voudouris qui consiste à ne pas prendre immédiatement les 6 dans
> l’arc, car en technique inter-active, on a moins d’expansion Post. puisqu’on a
> plus de contrôle de torque. une fois l’expansion sous contrôle réalisée au
> niveau PM., on alignera les 6 et si besoin est les 7, en les incluants dans
> l’arc
> pour éviter une proversion Sup., j’ai poussé la technique de Voudouris à
> l’extrême en ne mettant un arc que de 13 à 23. (le remodelage est beaucoup
> facile et rapide que l’Inf.)
> on voit bien sur la photo de l’arcade Sup. que le remodelage au niveau PM. est à
> terminer, malgré une réponse des 3/5°, ce qui va être entrepris à la prochaine
> séance en plaçant l’arc de 16 à 26. dans le cas présenté, le jeune patient est
> passé en Cl.I. sans élastiques de Cl.II..
> entre 10 et 12 ans j’ai besoin de très peu d’élastique de Cl.II., beaucoup plus
> entre 14 et 16 ans.
>
> Inconvénients : plus de séances de collage et plus de changements d’arcs
> Avantages : TTT. plus rapide et plus confortable
>
> @+ Bjc.
>
>
ok tres bien mais si dans ta classe II1 ton incisive sup est une dent phare c'est à dire qu'elle est parallèle à ton axe facial de ricketts et que selon fisch et epker ta lèvre sup est suffisament soutenue et charnue
en mettant un arc de 13 à 23 Niti tu va la bouger forcément
par action réaction

comment gères-tu alors cet effet néfaste qui risque d'induire une patho atm
pourquoi ne pas adjoindre un arc de base sur-jacent qui te permettrait de ne pas bouger cette dent phare et en dessous ton arc sectionnel en NiTi ferait le remodelage...

c'est pour cela que je parlais d'objectifs de traitement (esthétique, atm,occlusion)
je trouve cela trop souvent oublié par l'ortho

pourrait-on alors discuter de cela

dans ton cas il semble due l'incisive sup est plutot parallèele à l'axe facial et soutiendrait bien la lèvre sup
donc dans mes objectifs de traitement je noterais déjà
ne surtout pas bouger cette dent qui me servira de réf pour le remodelage
et aussi surtout pas d'ext s'il reste de la croiss car cela voudrait dire qu'on bouge cette incisive sup qui apparemment est la seule dent en bonne position


1 p3qrc4 - Eugenol
Bjc.

25/06/2009 à 16h45

salut,

"pourrait-on alors discuter de cela"
il faut te dire : j’utilise un système de Bk. modifiés qui me permet de faire des ligatures lâches ou des ligatures conventionnelles. j’ai fait des ligatures avec friction sur 11/21 qui m’ont servi d’ancrage et l’effet action réaction d’un 0.014 Ni.Ti. thermique m’a ouvert l’occlusion Ant. sans changer l’axe des Inc. Sup. car mes forces vont dans le sens d'un déverrouillage souhaité par le systeme neuromusculaire, et non pas dans le sens que j'ai décidé après étude céphalo ou autre
je ne contrôle pas par un arc de base (inconfortable), mais par une friction différentielle.

"c'est pour cela que je parlais d'objectifs de traitement (esthétique, atm,occlusion)"
je trouve cela trop souvent oublié par l'ortho"
pour être contre les extractions, tu peux me faire confiance, !!! cela fait trop de profils concaves 5 ans après
l’occlusion, on remet en Cl.I.
l’esthétique suit avec le profil mentonnier
l’ATM. reste en place avec le rattrapage de croissance (Meckel etc...)

je vais te trouver un cas terminé avec des Rx. avant et après

@+ Bjc.


1 p3qrc4 - Eugenol
Bjc.

25/06/2009 à 17h00

P.S.: j'ai oublié
j'ai aussi un contrôle par la pression du chef Sup. de l'orbiculaire car je suis en friction faible compatible avec le jeu des forces neuro-musculaires
c'est de la biomécanique tout en finesse

@+ Bjc.


1 p3qrc4 - Eugenol
Bjc.

25/06/2009 à 17h13

qu'est ce que vais faire la prochaine fois?

un arc Sup. qui prendra les 6 avec des ligatures à friction sur 13/12/11/21/22/23 pour l'ancrage, ce qui va m'eviter l'effet parasite de proversion de tout arc droit, et des ligatures laches sur 14/15/24/25 qui va finir le remodelage

ensuite j'engloberai les 6 Inf. dans un autre arc

inconvénient: j'utilise 3 arcs au lieu d'un et j'ai des séances de collage supplémentaires

@+ Bjc.


1 p3qrc4 - Eugenol
Bjc.

25/06/2009 à 17h15

bon, c'est pas tout ça, il faut que j'aille récupérer le chien de Mme chez le toiletteur

:-))



damdam

25/06/2009 à 23h08

Bjc. écrivait:
--------------
> salut,
>
> "pourrait-on alors discuter de cela"
> il faut te dire : j’utilise un système de Bk. modifiés qui me permet de faire
> des ligatures lâches ou des ligatures conventionnelles. j’ai fait des ligatures
> avec friction sur 11/21 qui m’ont servi d’ancrage et l’effet action réaction
> d’un 0.014 Ni.Ti. thermique m’a ouvert l’occlusion Ant. sans changer l’axe des
> Inc. Sup. car mes forces vont dans le sens d'un déverrouillage souhaité par le
> systeme neuromusculaire, et non pas dans le sens que j'ai décidé après étude
> céphalo ou autre
> je ne contrôle pas par un arc de base (inconfortable), mais par une friction
> différentielle.
>
> "c'est pour cela que je parlais d'objectifs de traitement (esthétique,
> atm,occlusion)"
> je trouve cela trop souvent oublié par l'ortho"
> pour être contre les extractions, tu peux me faire confiance, !!! cela fait trop
> de profils concaves 5 ans après
> l’occlusion, on remet en Cl.I.
> l’esthétique suit avec le profil mentonnier
> l’ATM. reste en place avec le rattrapage de croissance (Meckel etc...)
>
> je vais te trouver un cas terminé avec des Rx. avant et après
>
> @+ Bjc.
>

expliques moi plus concretement les effets mécaniques de tes ligatures différentielles
parce que j'ai du mal à comprendre comment tu stabilises ta dent dans l'espace avec une ligature serrées
j'avais cru comprendre que le "serrage" des ligatures permettait de stabiliser le braquet par rapport à ton arc mais pas la dent dans l'espace car le couple dent/braquet peut tjrs se déplacer et donc on incisive peut se déplacer

mais je pense ne pas avoir compris ton concept, çà m'intéresse
pourrais-je avoir un schéma stp?


PS: je fais de l'ortho depuis très peu de temps façon ricketts et pour arriver à mes fin j'utilise l'arc de base dans toute sa splendeur

ex d'une II2 avec un UA et des sectionnels d'alignement et stab


1 p3qrc4 - Eugenol
Bjc.

25/06/2009 à 23h44

salut,

effectivement, ton arc de base est une splendeur, je me demande si serais encore capable d’en faire autant !

il y a le concept et l’attirail mécanique

concept : actuellement, avec les Bk. auto-ligaturants et les arcs à force faible et constante, on n’est plus dans la biomécanique, mais dans la physiomécanique. on utilise, avec les arcs, les forces musculaires de la cavité orale

l’attirail mécanique se compose de Bk. auto-ligaturants à friction faible, mais si tu veux un blocage ou un ancrage, tu peux mettre une ligature, rien ne t’en empêche, si ce n’est que c’est dommage de mettre une ligature sur un Bk. de ce prix !

pour schémas et explication, j’ai fait un post, regarde avec le moteur de recherche de nonol
ligatures lâches

amicalement Bjc.



1 p3qrc4 - Eugenol
Bjc.

26/06/2009 à 13h01

"ok tres bien mais si dans ta classe II1 ton incisive sup est une dent phare c'est à dire qu'elle est parallèle à ton axe facial de ricketts et que selon fisch et epker ta lèvre sup est suffisament soutenue et charnue
en mettant un arc de 13 à 23 Niti tu va la bouger forcément
par action réaction"


salut,

avec des forces faibles, qui ne peuvent avoir d’effet que si la friction est presque nulle, action réaction est contrôlée dans le couloir physiologique de CHATEAU, au niveau Ant. par lèvre et langue, et l’effet action réaction est reportée sur les dents qui ne sont pas dans le couloir physiologique
la langue et la lèvre remplacent l'arc de base
j’en apporte ici la preuve clinique

@+ Bjc.


RépondreCiter
Bul

26/06/2009 à 16h25

que se serait il passé si tu avais mis un arc de 16 à 26?


1 p3qrc4 - Eugenol
Bjc.

26/06/2009 à 21h50

cher Bul,

t'interviens pas souvent, mais quand tu post c'est pas pour ne rien dire!!!

@+ Bjc.


damdam

26/06/2009 à 22h49

Bjc. écrivait:
--------------
> "ok tres bien mais si dans ta classe II1 ton incisive sup est une dent phare
> c'est à dire qu'elle est parallèle à ton axe facial de ricketts et que selon
> fisch et epker ta lèvre sup est suffisament soutenue et charnue
> en mettant un arc de 13 à 23 Niti tu va la bouger forcément
> par action réaction"
>
>
> salut,
>
> avec des forces faibles, qui ne peuvent avoir d’effet que si la friction est
> presque nulle, action réaction est contrôlée dans le couloir physiologique de
> CHATEAU, au niveau Ant. par lèvre et langue, et l’effet action réaction est
> reportée sur les dents qui ne sont pas dans le couloir physiologique
> la langue et la lèvre remplacent l'arc de base
> j’en apporte ici la preuve clinique

mais si on rééduque la langue elle ne sera plus là pour soutenir l'incisive centrale contre un mouvement eventuel parasite de recul dans ta mécanique

je dis çà sans avoir consulté tes schémas : pas eu le temp^s aujourd'hui, trop de prothèses à livrer avant les départ en vacances...

mais ce serait sympa que tu éclaircisse un peu ta mécanique
je commence avec la bioméca de ricketts, je ne demande qu'à évoluer


>
> @+ Bjc.
>


1 p3qrc4 - Eugenol
Bjc.

27/06/2009 à 15h04

salut,

Ricketts était un grand clinicien, sa bioméca est celle de Mulligan, (bateau à rame) complétée par Fontenelle (faucille), etc…

actuellement on est au XXI° siecle, avec d’autres matériaux que Elgiloy, ce qui a permis de traiter en physioméca, Burstone et surtout Voudouris sont les grand maîtres en la matière. ensuite tu pourras écouter des conférenciers cliniciens comme Bagden, Roncone, etc… qui utilisent les forces biologiques de sphère orale, et faire ton choix

c’est eux qui vous apprendront, pas moi, je ne peux que vous donner envie en vous montrant des cas …

@+ Bjc.


RépondreCiter
1 p3qrc4 - Eugenol
Bjc.

27/06/2009 à 16h35

salut,

si j’avais mis un arc de 16 à 26, il aurait fallu mettre un arc très peu puissant (0.014 thermique) pour éviter toute version, et le garder plus longtemps, environ 6 mois, en le changeant tous les 2 mois car ce sont des arcs peu résilients

si j’avais mis un arc 16*x16*, bonjours les dégats : proversion, overbite, etc…
(mm avec un arc de base en contrôle)

@+ Bjc.


Grueavatar nptrc9 - Eugenol
Le Choixpeau magique

27/06/2009 à 16h46

Je n'ai pas compris comment tu faisais pour avancer la mandibule.


Bul

27/06/2009 à 22h14

"si j’avais mis un arc 16*x16*, bonjours les dégats : proversion, overbite, etc…
(mm avec un arc de base en contrôle)"

pourquoi?


1 p3qrc4 - Eugenol
Bjc.

28/06/2009 à 13h39

cher C.M.

les Cl.II. sont souvent dues à un blocage de croissance

je ne fais pas avancer la mandibule, je libère la croissance.
la croissance est un peu comme un ressort qui grandit et se détends progressivement, si on bloque ce ressort, on le comprime, et lorsque qu’on déverrouille on libère la croissance qui normalement est de 1,5 mm. par an et peut devenir 3mm. ou plus.

c’est le rattrapage de croissance

c’est pourquoi, il ne faut pas au départ faire avancer la mandibule avec des bielles, des élastiques ou autres mécaniques, car on peut en mm temps déverrouiller et passer en hyper-correction c.a.d. en Cl.III.
c’est pourquoi on dit que les Cl.II.2. sont le berceau des Cl.III

@+ Bjc.


1 p3qrc4 - Eugenol
Bjc.

28/06/2009 à 14h14

"si j’avais mis un arc 16*x16*, bonjours les dégats : proversion, overbite, etc…
(mm avec un arc de base en contrôle)"

"pourquoi?"


en début de TTT. on travaille en alignement, nivellement, il faut des forces faibles pour permettre aux forces musculaires de la sphère orale de jouer un rôle.
si on met des forces trop importantes, le report de forces (action-réaction) a pour résultat une résultante antérieure avec version des incisives (Burstone, eh oui, encore lui), qui est trop puissante pour être neutralisée par l‘orbiculaire
or dans une Cl.II., ce n’est pas ce qu’on cherche (sauf une Cl.II.2, mais c'est un autre sujet)

@+ Bjc.


123...