Cookie Consent byPrivacyPolicies.compuisque qu'on parle de Cl.II. - Eugenol

puisque qu'on parle de Cl.II.

EloD

16/07/2009 à 15h20

Nan, c’est juste pour nous amuser.
J’en trépigne d’impatience :- ?


1 p3qrc4 - Eugenol
Bjc.

16/07/2009 à 19h26

alors, les grosses têtes de l'O.D.F. EloD trépigne

va t il falloir que les petites tètes, comme moi, donnent l'explication ?

@+ Bjc.


Wolford hm5yx3 - Eugenol
Doc lyonnaise

16/07/2009 à 22h02

bon, j'arrive, j'arrive...ça craint là... je vais devoir vous expliquer 2, 3 choses les p'tits ;-))))
comme quoi y en a qui savent plus que les spécialistes à qui en ce moment même je confie mes propres dents, même que elle ose me rater, je la tue illico, pfffff
c'est parce qu'il à plu il y a quelques jours et que, heureusement, j' avais dans mon sac mon mini parapluie de poche que j'ai compris comment glissait un système à double arc....
les deux arc peuvent glisser l'un sur l'autre, les forces restent additionnées en postérieur, et elles restent dissociées en antérieur, comme ça la lèvre peut contrôler la force exercée par un demi arc, alors qu'elle ne serait pas assez puissante pour contrôler un seul arc plus gros...troooooop facile :-)))))
ça vous calme les gars? vous êtes sur le cul hein...
et c'est qui qui a gagné les macarons de sa race de Pierre Hermé? :-)))))))


19066 1223810679128 1344811835 30546764 2261510 n medium ozxaxj - Eugenol
vitalic

16/07/2009 à 22h20

ouè je crois que doc elle mérite les macarons là...ne serait-ce que pour le coup du parapluie....c'est qui qu'a promis?? c'est bjc ? ben tu les prend chez Hermé au moins hein? et t'en met au moins un au jasmin et un caramel beurre salé comme ça tout le monde sera content...
bon ben merci je retourne en eugénologie....tu viens doc??


Wolford hm5yx3 - Eugenol
Doc lyonnaise

16/07/2009 à 22h26

vitalic écrivait:
-----------------
tu viens doc??

où tu veux ;-))))


200106 10150128247663588 709988587 6466236 5598391 n d7mksb - Eugenol
hallboy

16/07/2009 à 23h58

Narik, tu te tais: on en est en rubrique pro.

Enfin je crois;)


19066 1223810679128 1344811835 30546764 2261510 n medium ozxaxj - Eugenol
vitalic

17/07/2009 à 00h07

hallboy écrivait:
-----------------
> Narik, tu te tais: on en est en rubrique pro.
>
> Enfin je crois;)

ben ouè on est chez les pros là...c'est bien pour ça qu'il se tait le Narik...hé hé

non sans blague merci hallboy...tu m'as évité un DTC magistral là...c'était carrément doc!!

pfff cette fois c'est sur...tisane et au lit


1 p3qrc4 - Eugenol
Bjc.

17/07/2009 à 01h01

De Dieu!!!!!!!!!!!!!!!
je suis bon pour une boite de macarons

c'est quel poids la plus grosse?

@+ Bjc.


damdam

17/07/2009 à 03h01

Bjc. écrivait:
--------------
> De Dieu!!!!!!!!!!!!!!!
> je suis bon pour une boite de macarons
>
> c'est quel poids la plus grosse?
>
> @+ Bjc.

dsl pour le retard, mais je croyais pouvoir trouver une autre solution,
mais là j'avoue etre bloqué
je demande ainsi des explications sur la technique employée par bjc poiur traiter ce cas...

j'ai un cas très similaires de jeune adulte en ce moment sur lequel je me casse la tete

je mettrai des photos demain promis

alors bjc peux-tu détailler??
j'avous etre bloqué avec la bioméca, alors quel chemin va m'ouvrir cette notion de physioméca??


1 p3qrc4 - Eugenol
Bjc.

17/07/2009 à 07h09

"j'avous etre bloqué avec la bioméca, alors quel chemin va m'ouvrir cette notion de physioméca??"

j'avoue avoir inventé ce terme de physioméca, ceci dit on peut aussi dire: microbioméca

c'est avec plaisir que nous regarderons ton cas, et que je vais détailler les intuitions de Doclyo

@+ Bjc.


Wolford hm5yx3 - Eugenol
Doc lyonnaise

17/07/2009 à 09h13

me faire parvenir par DHL: une boite de macarons de chez Pierre Hermé, alors, 2 chocolats noirs, 2 caramels au beurre salé, 2 jasmins (ça c'est pour Vitalic ;-)))), 2 menthes fraîches....encore 2 caramels au beurre salé :-))))))
rajouter à ceci 2 Ispahan, j'ai un Big invité ce w-end ;-)))))
c'est urgent stp :-)


19066 1223810679128 1344811835 30546764 2261510 n medium ozxaxj - Eugenol
vitalic

17/07/2009 à 11h27

Bjc. écrivait:
--------------
> "j'avous etre bloqué avec la bioméca, alors quel chemin va m'ouvrir cette notion
> de physioméca??"
>
> j'avoue avoir inventé ce terme de physioméca, ceci dit on peut aussi dire:
> microbioméca
>
> c'est avec plaisir que nous regarderons ton cas, et que je vais détailler les
> intuitions de Doclyo
>
> @+ Bjc.
>

Salut les gars...prêts pour une petite incruste eugénologienne dans la rubrique trop sérieuse de l'ortho...c'est parti....

ceux d'entre vous qui veulent des renseignements sur la
micro-physio-biolo-megalo-mecano-ortho-artisitico-odontologique et ses variantes atypiques peuvent contacter doc-lyoannaise en MP ou même sur son protable 06 09 9.....
à partir de Lundi.....
pas avant lundi hein!! ...le week end est réservé aux BIG/MACARONS

Pour ceux d'entre vous qui souhaitent intégrer le premier module sur la théorie du parapluie....contact doc-ly

pffffffffffffffffffffffffffffffffffffffffffffffffffffffffff


19066 1223810679128 1344811835 30546764 2261510 n medium ozxaxj - Eugenol
vitalic

17/07/2009 à 12h10

> > De Dieu!!!!!!!!!!!!!!!
> > je suis bon pour une boite de macarons
> >
> > c'est quel poids la plus grosse?
> >
> > @+ Bjc.
>

la plus grosse boite chez Hermé, y a 1000 macarons dedans, à 30 gramme pièce ca fait.....30 Kg.!!

bon le prix maintenant...6€ pièce...total: 6000€ pfff d'la rigolade pour un ortho! pas de remise, ca s fait pas chez les grands...je sais de quoi je parle!

le transport est offert...uniquement parceque doc elle habite pas loin!

merci...vraiement...fallait pas...mais t'as qu'une parole toi...c'est doc qui me l'a dit...elle m'a dit bjc il a qu'une parole, il a dit qu'il offrait la boite, il va le faire...sinon c'est la honte pour lui sur tout le nonol...


Wolford hm5yx3 - Eugenol
Doc lyonnaise

17/07/2009 à 12h22

vitalic écrivait:
-----------------

> merci...vraiement...fallait pas...mais t'as qu'une parole toi...c'est doc qui me
> l'a dit...elle m'a dit bjc il a qu'une parole, il a dit qu'il offrait la boite,
> il va le faire...sinon c'est la honte pour lui sur tout le nonol...


mouai, déjà qu'il me devait un resto, même pas qu'il s'est manifesté....pfff


1 p3qrc4 - Eugenol
Bjc.

17/07/2009 à 14h50

plus fort que Flemming: la théorie du parapluie

:-))))))))))

t'inquiètes pas damdam


1 p3qrc4 - Eugenol
Bjc.

17/07/2009 à 14h54

cher damdam

dans le cadre de tes photos, si tu pouvais mettre des photos de moulages en vue occlusale avec les distances inter-canines et les distances inter-6

@+ Bjc.


Wolford hm5yx3 - Eugenol
Doc lyonnaise

17/07/2009 à 15h18

Bjc, surtout fais comme si j'avais pas gagné hein, pffffffffff


1 p3qrc4 - Eugenol
Bjc.

17/07/2009 à 15h21

je ne peux pas faire ça à une Flemming, mon honneur est en jeu

@+ Bjc.


19066 1223810679128 1344811835 30546764 2261510 n medium ozxaxj - Eugenol
vitalic

17/07/2009 à 16h02

c'est qui ce flemming?? c'est pas dans Dallas ca?
dis bjc....tu serais pas en train de brouiller les pistes là?? fais péter les macarons qu'on en parle plus...pffff
et toi Doc...j'espère qu'elle est vraiment de toi cette théorie du parapluie....sinon gaffe...c toi qu'à la honte

ben vivement ce soir hein!!


EloD

17/07/2009 à 20h14

Trois boudins...1 ressort...et maintenant un mini parapluie !! Hé les gars, vous pouvez pas me donner la liste de tout le matos d'un coup ? Je fais un leasing et jretourne en fac....j'ai toute mon ortho à revoir.


1 p3qrc4 - Eugenol
Bjc.

17/07/2009 à 23h39

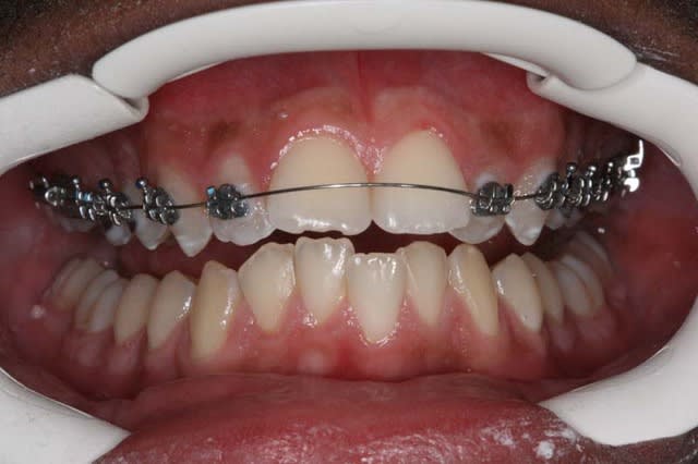
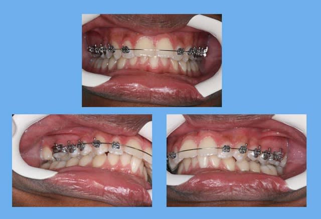
cher Bul

voici le travail de reformage (forces et friction faible) d'un arc 0.014 austénitique si on ne colle pas immédiatement les Bk. de 11 et 21

@+ Bjc.

Img 1 l3rr5m - Eugenol
Img 22 u1rvq1 - Eugenol
Img 2 xtsrh2 - Eugenol

Bul

18/07/2009 à 10h17

questions à bjc :
pourquoi ne pas mettre de double arc ?
pourquoi ne pas mettre un bioforce ?
c'est une Cl.II.?


Phil Amant

18/07/2009 à 11h23

"Puisqu'on parle de Cl.II"

Bjc. écrivait:
--------------
> cher Bul
>
> voici le travail de reformage (forces et friction faible) d'un arc 0.014
> austénitique si on ne colle pas immédiatement les Bk. de 11 et 21
>
> @+ Bjc.
>

C'est comme ça que tu corriges la Cl.II, t'es vraiment un rigolo bjc.

> Toujours la mm chose, des affirmations sans preuves, pas de traitement global
> pas de documents apres TTT.
..
> comme dit Algi :
> "On a toujours le choix! Mais entre quoi et quoi?
> Vas-y boulégue et l'avenir te le dira!"

Vas-y bjc, montre-nous la fin de ce cas, montre-nous la belle Cl.I que tu as obtenue ici avec ton reformage !

Phil


1 p3qrc4 - Eugenol
Bjc.

18/07/2009 à 15h25

Cher Phil Amant

Je te rappelle, très courtoisement, que nous sommes sur un forum de discussion et non pas de publications
pour cela, va voir dans la revue UNI-ODF, d’autres cas sont en attente de publication, dans d’autres revues, je ne manquerai pas de te tenir informé

@+ Bjc.


RépondreCiter
1 p3qrc4 - Eugenol
Bjc.

18/07/2009 à 15h53

cher Bul,

Cl.II. ?

c’est une Cl.II.2. la Cl.II.2. est plus caractérisée par la position des Inc. Sup. que par l’engrènement des 3 et des 6. mon petit patient a 15 ans, et si on ne fait rien il va progressivement passer en Cl.II. en Post.

@+ Bjc.


1...567...