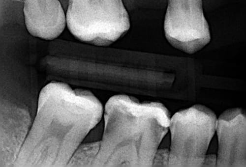
Cookie Consent byPrivacyPolicies.comempreinte inlay core + couronne - Eugenol

empreinte inlay core + couronne

Logo vuaztn - Eugenol
mac

30/06/2009 à 00h14

of course!


Grueavatar nptrc9 - Eugenol
Le Choixpeau magique

30/06/2009 à 00h22

Voilà tout de même une dent que la majorité des intervenants ont jugé à extraire.
Avouez que c'est étonnant...

30 19618 mid lkgqnw - Eugenol

Grueavatar nptrc9 - Eugenol
Le Choixpeau magique

30/06/2009 à 00h23

J'en connais pas mal qui feraient un (ou deux, ça cote plus) amalgames...


zazamouk

30/06/2009 à 00h51

La question est donc vaut il mieux extraction/implant ou un amalgame... ou alors la réponse est entre les deux :))


Smile beach jgh0a1 - Eugenol
Céramik

30/06/2009 à 03h27

Marc Apap écrivait:
-------------------
> D'après ce que tu nous montres depuis quelques semaines, tu fais essentiellement
> des onlays ou des coiffes sur dents saines, ou peu délabrées, en tous cas
> vivantes.
> Et quand la dent est très abimée, tu l'extrais et pose un implant.
> Pas étonnant, dans ces conditions, que tu ne fasses jamais d'inlay-core et que
> les reconstitutions directes, même sans tenon soient majoritaires.
> En France, 100% des gagnants au loto ont validé leur ticket.



Il n'en manque pas une... ;-)
Maintenant il sait plus que moi ce que je fais...
Je place des implants depuis 3 ans, cela me permet d'offrir une alternative au soins ''standards''...
il me semble que cela est un plus pour les gens...
J'ai fait beaucoup et je fais encore des endo+pivots+couronnes...sur des dents pas mal abimées,
mais pourquoi montrer des cas si basiques...

Si tu veux entrer dans un débat inter-continental, je ne vois pas l'intérêt...mais j'ai déjà demandé sur eugenol pourquoi tant d'endo en France...

Et pour ton jugement morale sur les onlays, on s'en passe un peu...si je hop et implant, tu hop et double endo+ double inlay-core pour ton bridge métal-porcelaine...ne pouvant pas concevoir faire des prothèses fixes sur dents vivantes...


--
Céramik


Image odged8 - Eugenol
ploc

30/06/2009 à 05h38

marc,
sais tu que des cabinets parisiens et provinciaux d'omnipraticiens presque mais pas tout à fait lambdas que tu connais ou connaissais ne font que des onlays indirects en compos ou ceram?
par conviction

curieusement aujourd'hui j'ai revu une patiente avec couronnes et onlays posés en 1996 en ceromer,du temps où cela m'avait séduite:ils st moches,usés en occlusal et mme en vest par la brosse à dents,plus un souçon de maquillage,teinte uniformement grisouille(comme quoi le ceromer = mme coefficient d'usure que la dent,c'était bidon),
cependant pas un descellement et pas une reprise de carie
ce n'est pas tjours le cas de compos à 13 ans de recul,les miens ou ceux des autres
interpelant?


listroille

01/07/2009 à 01h30

En fait, on joue d'une part , sur le coefficient de dilatation de l'alliage et d'autre part sur le mélange Eau distillé + liquide d'expansion.
Ex:
80%+20%= Expansion, 50 % + 50%= Neutre, 30%+70%= Rétractation.

Pour empêcher les fractures de racine il me semble que le labo doit savoir se type de chose. L'or blanc, quand à lui, amène une souplesse et une malléabilité qui dans le temps, me semble t-il ne peut être que bénéfice .


Dr - Eugenol
JeRis

01/07/2009 à 05h45

listroille écrivait:
--------------------
> et on diminue l'expansion du revêtement , pour une meilleur insertion.


... pour "l'or blanc", je suis d'accord. Et en plus, c'est nettement plus agréable à travailler.

Mais la question est: quand tu mets en revêtement une maquette d'IC en Duralay, qui elle est indéformable, comment peux tu la "serrer" pour qu'elle soit légèrement plus petite? Pour faire une pièce légèrement plus grande, par contre, on peut conprendre.

La deuxième question: quand tu mets ton cylindre au four, il se dilate. Que devient la partie creuse à l'intérieur qui correspond à la maquette de l'IC; elle devient plus grande ou plus petite?

Quant à jouer sur le coef de dilatation du métal ... là je ne vois pas du tout: au refroidissement il reprend sa taille initiale non?


Blason dql7mj - Eugenol
growler

01/07/2009 à 08h22

le métal en fusion prend la forme de la cavité, puis en revenant à l'état solide il se rétracte.

à l'expansion du cylindre, la cavité interne prend elle aussi du volume. Donc si on veut une pièce coulée très légèrement moins volumineuse que la maquette en résine il faut que le coef de dilatation du cylindre soit plus petit que le coef de rétraction du métal.

à mon avis (tiré non pas de la littérature mais de ma réflexion et donc fort critiquable :))


Dr - Eugenol
JeRis

01/07/2009 à 08h50

growler écrivait:
-----------------
> le métal en fusion prend la forme de la cavité, puis en revenant à l'état solide il se rétracte.

... ok, ça colle.



> à l'expansion du cylindre, la cavité interne prend elle aussi du volume.

... on pourrait aussi penser que la masse du revêtement se dilate dans toutes les direction: vers l'extérieur, mais aissi vers la cavité interne qui deviendrait alors plus petite.
?


Blason dql7mj - Eugenol
growler

01/07/2009 à 10h00

je prends l'exemple d'un anneau en métal de 2 mm de section et de 2 cm de diametre interne: on le chauffe, il se dilate et le diamètre interne augmente

circonference externe: 2,2 cm x pi= 6.91152 cm

circonference interne: 2 cm x pi = 6.2832 cm

dilatation lineaire de 0à200 °C:

externe 6.91152 x 200 x 0.000012= 0.01658 cm soit une nouvelle circonference de 6.9281 cm

interne 6.2832 x 200 x 0.000012= 0.01508 cm soit une nouvelle circonference de 6.29828 cm soit un diametre interne de 2.0048 cm


on voit que le diametre interne augmente

à mon avis c'est transposable à une sphère et donc la cavité interne se dilate.


S2y2o1v7q53ws4r5wy6ou8czrpom - Eugenol
pxav

01/07/2009 à 10h04


on n'apprend plus la prothese en ecole dentaire?
le coefficient d'expansion (qui peut jouer dans le sens + ou-) des differents materiaux est un probleme pas toujours simple à résoudre.
une resine calcinable n'a pas un volume figé, les materiaux d'empreintes, le platre de coulé, la cire, la resine, le revetement le métal ont des coef d'expansions, qui s'aditionnent ou se neutralisent, c'est tout le boulot du prot, mais aussi du dentiste (produit d'empreinte)

--
xbk


Dr - Eugenol
JeRis

01/07/2009 à 10h23

growler écrivait:
-----------------


... ça tient la route. Merci.
Mais c'est le cas d'un anneau; il se dilate plus sur la circonférence qu'en épaisseur.
Est-ce que ça peut être transposé à une grosse masse entourant une petite cavité?





"pxav aujourd'hui à 08:04
on n'apprend plus la prothese en ecole dentaire?"



Je n'en sais rien; je suis sorti en 82. Et c'était une Fac.
Et je rappelle que le cours de matériaux étaient fait par ce c*nnard de D*ocq ... j'ai donc des circonstances atténuantes, Votre Honneur.


S2y2o1v7q53ws4r5wy6ou8czrpom - Eugenol
pxav

01/07/2009 à 12h22

JeRis écrivait:
---------------
> growler écrivait:
> -----------------
>
>
> ... ça tient la route. Merci.
> Mais c'est le cas d'un anneau; il se dilate plus sur la circonférence qu'en
> épaisseur.
> Est-ce que ça peut être transposé à une grosse masse entourant une petite
> cavité?
>
>
>
>
>
> "pxav aujourd'hui à 08:04
> on n'apprend plus la prothese en ecole dentaire?"
>
>
>
> Je n'en sais rien; je suis sorti en 82. Et c'était une Fac.
> Et je rappelle que le cours de matériaux étaient fait par ce c*nnard de D*ocq
> ... j'ai donc des circonstances atténuantes, Votre Honneur.
nous ont faisait la prothese, du prothesiste j'ai même eu la chance de "couler" à la fronde à main (comme celle de David) c'etait passionnant (pour moi), merci à Mr Borel

--
xbk


Image19 iebot6 - Eugenol
athos

01/07/2009 à 12h31

ouaip!! ego te absolvo:)
listroille va etre précieux sur ce coup là alors

t'as raison pxav même si ça semble échapper, les variations de volumes, expansion, retraction, existent bien et le protho va compenser, et quand il le fait ce n'est pas forcément simple.

Donc, pour revenir à la question de cartman (t'as vu le bordel que t'as mis cartman!!), le risque sur une seule empreinte est bien là et commence des le traitement de l'empreinte, puis se poursuit a toutes les étapes.
Car dans ces variations de volumes il va y avoir deux antag: la périphérie et la cavité.

alors même en partant du principe qu'un excellent dentiste donne une excellente empreinte d'une excellente préparation a un excellent prothesiste, il y a un risque .

Test pour cartman: quand tu vas avoir fait ça (car tu vas le faire bien sur), au moment d'essayer le fxmg et la chappe, vérifie que la chappe se positionne exactement au même endroit (enfoncement) avec le fxmg et sans. Si c'est le cas (m'étonnerait) t'as gagné, sinon...bin sinon ça ira peut-être.

Généralement la chappe s'enfonce un chouia plus, c'est logique, et les descellements en bloc s'expliquent

--
athos


55 s2ba7n - Eugenol
Sid

01/07/2009 à 13h47

pxav écrivait:
--------------

> nous ont faisait la prothese,

T'as sauté des classes non?


S2y2o1v7q53ws4r5wy6ou8czrpom - Eugenol
pxav

01/07/2009 à 14h28

Sid écrivait:
-------------
> pxav écrivait:
> --------------
>
> > nous ont faisait la prothese,
>
> T'as sauté des classes non?
>
en dentaire j'ai peut etre "sauté" mais pas des classes!
j'aime bien la partie prothese (fabrication) je trouve sabo...
exemple esayage brut de coulé, rectif, preparation armature
le fait de "tout" voir m'aide à réaliser des "trucs" bizarres

--
xbk

100 4217 eh2r7z - Eugenol
100 4223 m7wrcp - Eugenol
100 4235 qfuar3 - Eugenol
100 4237 pvzciu - Eugenol

Smile beach jgh0a1 - Eugenol
Céramik

01/07/2009 à 17h40

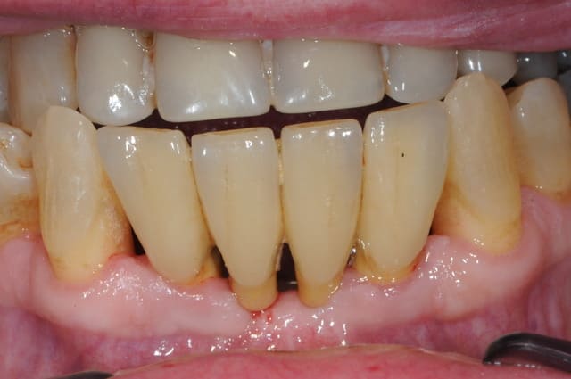
Pxav, faut changer de fil...
C'est IC + couronne (assez peu intéressant...)

Là, ton truc sur implants, c'est bien de voir quelques choses de différents !
T'aurais pas du placer les implants si lingual !
;-))

C'est drôle, j'ai fais un truc du genre hier (plus simple)


--
Céramik

 mg 9179  large  phbcyt - Eugenol
 mg 9180  large  uacd2u - Eugenol

3f3boxni50k58rq7e9ce9ddqrxgk - Eugenol
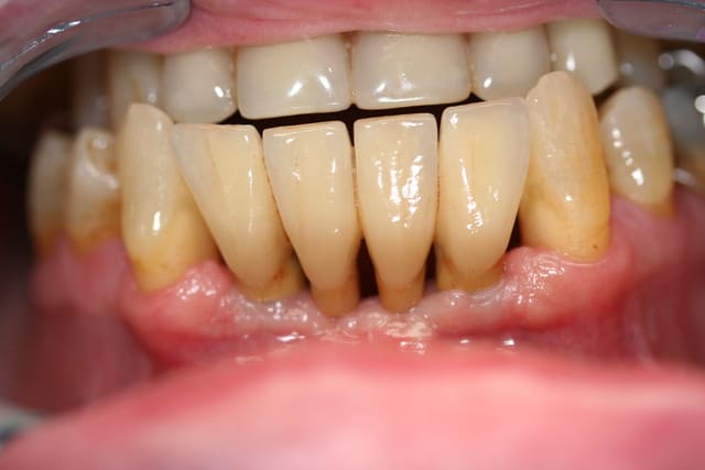
dentiste57

01/07/2009 à 22h45

hi hi

j'en ai un du même genre...


faut quand même que je lui dise de brosser un peu plus.

Img 0515 ltfsuo - Eugenol
Img 0511 srf9uo - Eugenol
Mai2009 sbefgo - Eugenol
Aout 2007 piznk6 - Eugenol

Smile beach jgh0a1 - Eugenol
Céramik

01/07/2009 à 23h51

dentiste57 écrivait:
--------------------
> hi hi
>
> j'en ai un du même genre...
>
>
> faut quand même que je lui dise de brosser un peu plus.


Bravo pour le prothésiste, il a bien imiter la paro...

''C'est que quand je brosse docyeur, mes gencives saignent, alos ça doit pas être très bon la brosse...''

Brosser un peu plus que pas brosser serait déjà mieux...


--
Céramik