Cookie Consent byPrivacyPolicies.comvos avis sur cette 13 - Eugenol

vos avis sur cette 13

Kon nx3ojp - Eugenol
Kon

10/08/2009 à 22h29

Salut

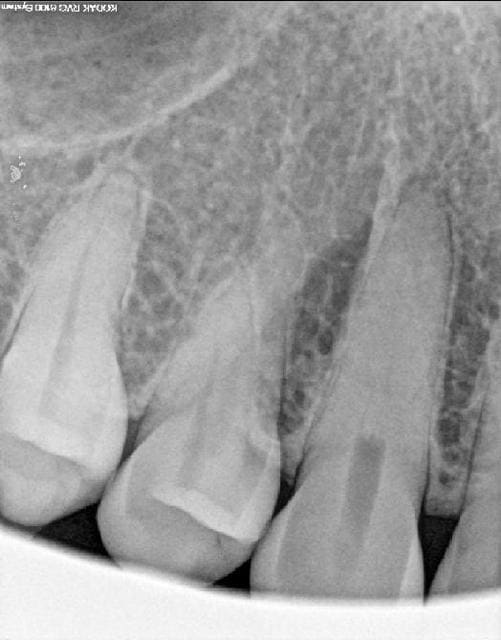
Patiente de 30 ans, hygiène parfaite se plaint de douleurs intermittentes au niveau incisivo-canin supérieur droit depuis quelque jours. La douleur monte puis se calme.
Percussion et palpation vestibulaire douloureuse sur 13.
Couronne de la 13 indemne de restaurations ou caries.
Test au froid négatif (la douleur débute dès le retrait de la boulette réfrigérée)
Tes de morsure négatif.
Sondage normal. Gencive belle, légère récession gingivale.
Radio ci jointe.
Elle a eu un accident de voiture y a 2 semaines mais sans choc au visage ou sur les dents selon elle.

Qu'en pensez-vous?

Merci :)

13 xmo01y - Eugenol

aquarium

10/08/2009 à 22h36

Ben elle est complètement calcifiée, ta 13!
Dégénérescence calcique, ça me paraît cohérent avec les symptomes...


Kon nx3ojp - Eugenol
Kon

10/08/2009 à 22h39

Tu ferais quoi? Et qu'est ce que tu ferais pas ?


Img 9301 q0yyqn - Eugenol
Art-dent

10/08/2009 à 23h17

Euhhh, il n'y a pas une fracture au tier moyen?
Sinon c'est quoi le tableau clinique d'une "dégénérescence calcique"?

--


Marque a3 orange fyvhyq - Eugenol
Marc Apap

10/08/2009 à 23h54

aquarium écrivait:
------------------
> Ben elle est complètement calcifiée, ta 13!
> Dégénérescence calcique, ça me paraît cohérent avec les symptomes...

en deux semaines, oui bien sûr. Avec une chambre pulpaire comak en plus.


Kon nx3ojp - Eugenol
Kon

11/08/2009 à 00h42

tu pense a quoi marc ? et ta conduite à tenir ?

L'image apicale me dit qu'il faut traiter la racine.
Le test de morsure négatif me fait écarter la fracture.


Marque a3 orange fyvhyq - Eugenol
Marc Apap

11/08/2009 à 01h56

Honnêtement, je ne pense à rien. Les signes cliniques sont assez restreints, il vaut mieux attendre car 15 jours c'est très peu pour tirer une conclusion définitive. Et je prendrais d'autres radios sous d'autres incidence, y compris celle de la 23 pour comparer.


Dr.Ahmed

11/08/2009 à 11h51

Salut!!

D'aprés mon avis, la 13 nécessite un traitement endodontique..

MERCI


Kon nx3ojp - Eugenol
Kon

11/08/2009 à 14h52

Marc: la patiente a mal, tu fait quoi pour la soulager?
Le "souffrez quelques semaines ça m'aidera à y voir plus clair?" je trouve pas ça top... Meme si la douleur n'est pas extremement forte elle existe et c'est le motif de la consultation.

pour ceux qui veulent faire le traitement endo, vous y allez comme ca ? vous vous sentez serein pour atteindre l'apex a travers ce mur de dentine ?

merci pour vos reponses


Cuisinier2 vnbbxx - Eugenol
jeff2

11/08/2009 à 15h01

Je soupconne cette dent d'avoir deux canaux, de plus, meriterait une 3D, pour justement infirmer la fracture.


Wolford hm5yx3 - Eugenol
Doc lyonnaise

11/08/2009 à 15h17

Kon écrivait:
-------------
> pour ceux qui veulent faire le traitement endo, vous y allez comme ca ?


ou je m'en sens capable ou j'adresse a un endo exclusif...


19066 1223810679128 1344811835 30546764 2261510 n medium ozxaxj - Eugenol
vitalic

11/08/2009 à 15h48

Perso moi j'y vais j'me lance, je tente. Faut bien se lancer dès fois c'est comme ca qu'on progresse et si tu trouves pas, t'adresses chez un exclu.
Si c'était ma famille, j'adresse direct, hé hé faut pas déconner non plus.


Img 9301 q0yyqn - Eugenol
Art-dent

11/08/2009 à 16h29

jeff2 écrivait:
---------------
> Je soupconne cette dent d'avoir deux canaux, de plus, meriterait une 3D, pour
> justement infirmer la fracture.

Ahhh, merci, même réflexion +1
moi je demanderai un 3D et pas que pour la fracture, également pour les 2 canaux
--


sudoku

11/08/2009 à 19h19

Est ce qu'il y des compo sur les 12-11 ?
Dans le cas d'absence des obturations voisines, il faut fair l'endo, et selon la radio je pensse qu'on peut aller assez loin dans le canal surtout que la canine est encore vivante selon les teste clinique.
Mais je commencerai l'endo sans anesthesie au debut pour confirmer la vitalité de la dent.
Bonne chance.