Cookie Consent byPrivacyPolicies.compropositions de traitements - Eugenol

propositions de traitements

3f3boxni50k58rq7e9ce9ddqrxgk - Eugenol
dentiste57

31/08/2009 à 16h12

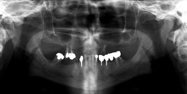
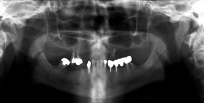
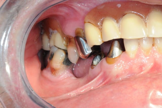
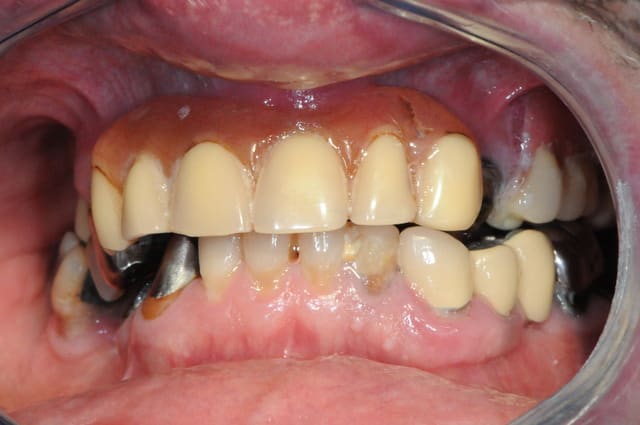
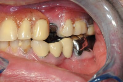
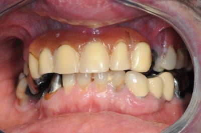
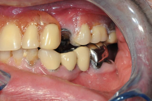
je ne voudrais pas "louper " ce cas, alors quelles idées de traitements auriez vous à me soumettre ?

pas de pb de santé
portefeuille pas extensible...

Dsc 4695 bvm9i3 - Eugenol
Dsc 4697 su6mtb - Eugenol
Dsc 4698 g5eors - Eugenol
Sans titre 1 bbn3cq - Eugenol

G-P

31/08/2009 à 16h56

.


3f3boxni50k58rq7e9ce9ddqrxgk - Eugenol
dentiste57

31/08/2009 à 17h36

quand je disais "portefeuille pas extensible", je voulais dire qu'il n'était pas question de proposer un traitement avec 14 implants...




3f3boxni50k58rq7e9ce9ddqrxgk - Eugenol
dentiste57

31/08/2009 à 17h36

8 devraient suffire ,non?


Photo pluton1b h9n4ea - Eugenol
pluton

31/08/2009 à 19h00

8 en haut tu veux dire...avec 2 sinus lift...et un grand bridge transvissé de 16 à 26 par exemple???


S2y2o1v7q53ws4r5wy6ou8czrpom - Eugenol
pxav

31/08/2009 à 20h51

dentiste57 écrivait:
--------------------
> 8 devraient suffire ,non?

pour le haut, mais si tu ne fais rien en bas, ça va pas le faire.
joli cas comme souvent chez toi.
vacances ce soir, alors la flemme de reflechir +.
--
xbk


3f3boxni50k58rq7e9ce9ddqrxgk - Eugenol
dentiste57

31/08/2009 à 22h23

ben non !
c'est là où ça se complique.

quand je dis 8, c'est huit pour le haut et le bas.

bien sure il faut tout revoir, l'occlusion, la DV, la courbe occlusale, la ligne du sourire...

j'ai bien expliqué au patient que je ne savais pas faire juste un peu de bricolage à droite et à gauche... il a parfaitement compris où je voulais en venir, il est donc motivé.

pour moi ce sera donc :

extraction: 14-15-23-44 et 36 (ou amputation, mais à quoi bon ?)
reprendre la courbe occlusal avec des céram sur 43-46-33-34

bridge sur implant sur 44 -46 et 35-36 (ou 35-37?)

complet haut amovible sur deux barres (donc 4 implants en haut) ou sur 4 locators (y en a qui ont déjà fait ?)

vos avis sur les points d'interrogation sont les bienvenus.


Android jyzura - Eugenol
Tavéca

31/08/2009 à 22h49

Pour ma part je préfère la solution locator que barre, avantages :
- plus facile
- plus rapide
- moins chère
- plus d'espace en palatin pour ton occlusion toujours embêtante avec une barre
- plus facile à nettoyer
- + moderne !
- pas d'usure des cavaliers et rep + facile


bref le seul inconvénient que je vois mais je ne m'y connais pas assez concerne la repartion des forces sur les 4 implants qui est peut être moins homogène que sur une barre...
Mais comme je ne le crois pas je fais avec les locators.

Dsc 2864 2 2 jjpeal - Eugenol
Dsc 2883 2 2 wehn2g - Eugenol
Doptd 2 fdsor7 - Eugenol
Dsc 2858 2 2 hp0xtd - Eugenol
Dsc 2897 2 r1aulb - Eugenol

Smile beach jgh0a1 - Eugenol
Céramik

01/09/2009 à 01h44

Tavéca écrivait:
----------------
> Pour ma part je préfère la solution locator que barre, avantages :
> - plus facile
> - plus rapide
> - moins chère
> - plus d'espace en palatin pour ton occlusion toujours embêtante avec une barre
> - plus facile à nettoyer
> - + moderne !
> - pas d'usure des cavaliers et rep + facile
>
>
> bref le seul inconvénient que je vois mais je ne m'y connais pas assez concerne
> la repartion des forces sur les 4 implants qui est peut être moins homogène que
> sur une barre...
> Mais comme je ne le crois pas je fais avec les locators.


Le All-on-four en haut avec des Locators n'est pas une bonne solutions. En bas, c'est mieux.
Certains cas peuvent fonctionner un temps, mais fort taux d'échecs implantaires.

Tous les cours que j'ai fais parlent d'éviter cette solution.(Misch, Pikos, etc)

L'os du maxillaire étant peu résistant, un désign sur 6, voir 8 implants est nettement mieux, avec barre ou fixe selon le nombre d'implants, la longueur, le diamêtre, la densité osseuse, l'occlusion, la forme du patient, l'arcade opposée, bref, il y a plusieurs facteurs.

Notre ami Olivier nous donnera les citations d'études...


Le cas montré date de quand ? Cas unique ?
La gencive ne semble pas très belle en haut...

--
Céramik


Marque a3 orange fyvhyq - Eugenol
Marc Apap

01/09/2009 à 10h11

Au maxillaire, quels sont les avantages des implants lorsque l'on fait une prothèse amovible complète ? Essentiellement la possibilité de ne pas avoir de palais en résine.
Je pense que l'on pourrait concentrer son attention sur la mandibule, pour laquelle les solutions amovibles sont souvent moins confortables.
Le patient ayant déjà une PAP en haut, avoir un complet bien fait ne changerait pas beaucoup ses sensations et resterait d'un cout raisonnable (quitte à poser des implants pas la suite).


Image19 iebot6 - Eugenol
athos

01/09/2009 à 11h36

même réaction, quelque chose m'échappe.


3f3boxni50k58rq7e9ce9ddqrxgk - Eugenol
dentiste57

01/09/2009 à 15h30

c'est effectivement une remarque judicieuse.
mais 4 implants devraient suffire pour réhabiliter le bas et éviter définitivement le partiel.

si le patient à le budget pour 4 implants en haut alors ok pour éliminer une partie du palais.


3f3boxni50k58rq7e9ce9ddqrxgk - Eugenol
dentiste57

01/09/2009 à 15h32

c'est effectivement une remarque judicieuse.
mais 4 implants devraient suffire pour réhabiliter le bas et éviter définitivement le partiel.

si le patient à le budget pour 4 implants en haut alors ok pour éliminer une partie du palais.

je ne vois pas ce qui vous choc en bas sinon qu'il faut peut être remplace
r aussi la 37 ?


Marque a3 orange fyvhyq - Eugenol
Marc Apap

01/09/2009 à 17h15

Rien ne me choque en ce qui concerne le traitement à la mandibule. Ce qui me choque toujours en revanche, c'est chez certains, le désir forcené de placer des implants quand ça n'apporte rien au patient.


Homer simpson wallpaper brain 1024 f4t8dv - Eugenol
Jpeg

01/09/2009 à 17h20

Moi de prime abord j'aurais dit complet haut (pour toutes les raisons qu'a évoquées Marc), et prothèse fixe sur 44 et implants 35 36(37?) 45 46.
Au plus simple au mieux. Et niveau budget ça doit pas être inaccessible.
Peut-être un peu de motivation HBD préalable ?...


Android jyzura - Eugenol
Tavéca

01/09/2009 à 17h30

Le All-on-four en haut avec des Locators n'est pas une bonne solutions. En bas,
> c'est mieux.
> Certains cas peuvent fonctionner un temps, mais fort taux d'échecs implantaires.

je suis bien sûr d'accord avec toi et la littérature le prouve, mais ici on se trouve avec deux maxillaires édentés et donc des forces masticatrices moins importantes sur les implants maxillaires.
Si tu me trouve une étude qui differencient les résultats en fonction de l'arcade antagoniste je suis preneur.
la littérature est aussi abondante sur les échecs avec les barres à cause de la maintenance très difficile.

>
> Tous les cours que j'ai fais parlent d'éviter cette solution.(Misch, Pikos, etc)
>
> L'os du maxillaire étant peu résistant, un désign sur 6, voir 8 implants est
> nettement mieux, avec barre ou fixe selon le nombre d'implants, la longueur, le
> diamêtre, la densité osseuse, l'occlusion, la forme du patient, l'arcade

bien sur , mais le portefeuille du patient lui n'est pas extensible.

> opposée, bref, il y a plusieurs facteurs.
>
> Notre ami Olivier nous donnera les citations d'études...
>
>
> Le cas montré date de quand ? Cas unique ?
> La gencive ne semble pas très belle en haut...

cas avec seulement 2 ans de recule, oui cas unique car indication unique la aussi en fonction du cas clinique, des possibilités financières du patient.
La gencive n'est pas belle mais on l'est pas tous non plus ;-)
Sans blaguer c'est son état normal.

Les études sont évidements importantes , mais ne doivent pas faire oublier que l'ont peut réfléchir par nous même et que chaque cas est unique.
maintenant l'avenir me dira si j'ai eu tort ou pas.


Android jyzura - Eugenol
Tavéca

01/09/2009 à 17h35

Marc Apap écrivait:
-------------------
> Rien ne me choque en ce qui concerne le traitement à la mandibule. .

encore une fois chaque cas est unique, est laissons au patient son libre arbitre, il y en a qui le tolère d'autre pas, il faut juste être ouvert et tolérant.

Ce qui me
> choque toujours en revanche, c'est chez certains, le désir forcené de placer des
> implants quand ça n'apporte rien au patient

Et puis aussi ne pas tirer de conclusions trop hâtives.
encore une fois c'est l'intérêt du patient qui prédomine et quand c'est pas les tiens tu ne le connais pas.


Fouilla h6plsy - Eugenol
fouilla

01/09/2009 à 17h38

pour rejoindre d57 si d'aventure cela m'arrivait (PAT haut) je me ferai bien mettre 4 implants et une barre uniquement pour des notions de conforts car même avec une prothèse bien conçu les sensations du patient n'ont rien de commun vs barre + 4 futs

n'en déplaise à marc d57 pense bien à son patient et à ses désirs car encore une fois derrière toute thérapeutique la notion de souhait du patient doit être envisagée même si nous restons le maître d'oeuvre le patient n'est pas venu par hasard chez d57 : je m'explique tu veux une c3 tu vas chez citroen tu veux une xjk tu vas chez...

mais bien sur marc je n'ai pas dit que le patient décide du traitement simplement il nous appartient de lui expliquer les possibilités envisageables dont le traitement implantaire .

parfois on voit des patients avec des bouches improbables et on se dit (ou plutôt je) mais pourquoi n'a t'il eut aucune hésitation à faire enlever toutes les autres et pas celles ci

parfois parce que "ON" ne leur a jamais proposé autre chose tout simplement...

un de mes plus gros cas de prothèse implantaire m'est arrivé comme ça je l'ai d'ailleurs posté sur nonol mais il est vrai qu'ON aurait pu se contenter de faire 2 adjointes aussi.

http://www.eugenol.com/sujets/344829-que-lui-auriez-vous-fait

désolé thomas mais c'était trop fort pour ne pas le dire


Marque a3 orange fyvhyq - Eugenol
Marc Apap

01/09/2009 à 17h49

Le problème se résume ici à savoir si on fait un complet complet ou un complet qui tient avec 4 implants.
Le rapport bénéfice/cout me parait en faveur de la première, plutot que de la deuxième solution.
Quel est le protocole pour réaliser le deuxième type de prothèse ? Ne passe-t-on pas de toute façon par un complet conventionnel ?


Homer simpson wallpaper brain 1024 f4t8dv - Eugenol
Jpeg

01/09/2009 à 17h52

C'est sûr que c'est le patient qui décide, mais je me souviens d'un patient à qui on avait mis au maxillaire 4 implants + barre pour éviter le palais, et qui quelques années plus tard m'a avoué qu'il avait été déçu du résultat.
Il pensait que ça révolutionnerait sa vie, et en fait son complet sur barre tient bien, mais l'ancien aussi tenait bien.. Quant au palais évidé (évité?), il m'a dit s'être rendu compte qu'en définitive ça ne changeait pas grand-chose dans sa vie quotidienne...

Ce que je veux dire, c'est que même si c'est le patient qui décide, à partir du moment où il va mettre du temps, de l'argent, de la motivation dans un traitement, il va en attendre un résultat qui ne sera pas toujours aussi "vachement mieux" que ce qu'il avait avant. Et parfois, en tant que praticiens, on a tendance à surestimer le résultat final pour faire adhérer le patient au traitement. Je pense que c'est typiquement le cas sur des complets hauts stabilisés par implants.

Donc pour moi, ici, si le patient ne se plaint pas de la tenue de son partiel, c'est complet haut en 1ère intention.
implants si gros problème de tenue, ou demande expresse.


Homer simpson wallpaper brain 1024 f4t8dv - Eugenol
Jpeg

01/09/2009 à 17h57

fouilla écrivait:
-----------------
> pour rejoindre d57 si d'aventure cela m'arrivait (PAT haut) je me ferai bien
> mettre 4 implants et une barre uniquement pour des notions de conforts car même
> avec une prothèse bien conçu les sensations du patient n'ont rien de commun vs
> barre + 4 futs
>
> n'en déplaise à marc d57 pense bien à son patient et à ses désirs car encore une
> fois derrière toute thérapeutique la notion de souhait du patient doit être
> envisagée même si nous restons le maître d'oeuvre le patient n'est pas venu par
> hasard chez d57 : je m'explique tu veux une c3 tu vas chez citroen tu veux une
> xjk tu vas chez...
>
> mais bien sur marc je n'ai pas dit que le patient décide du traitement
> simplement il nous appartient de lui expliquer les possibilités envisageables
> dont le traitement implantaire .
>
> parfois on voit des patients avec des bouches improbables et on se dit (ou
> plutôt je) mais pourquoi n'a t'il eut aucune hésitation à faire enlever toutes
> les autres et pas celles ci
>
> parfois parce que "ON" ne leur a jamais proposé autre chose tout simplement...
>
> un de mes plus gros cas de prothèse implantaire m'est arrivé comme ça je l'ai
> d'ailleurs posté sur nonol mais il est vrai qu'ON aurait pu se contenter de
> faire 2 adjointes aussi.
>
> http://www.eugenol.com/sujets/344829-que-lui-auriez-vous-fait
>
> désolé thomas mais c'était trop fort pour ne pas le dire


Au contraire de ton cas, de toute façon, ici on n'évite pas le complet. Alors complet et après on voit, ou alors d'emblée les implants+ toujours un complet ?
Que veut le patient?


Android jyzura - Eugenol
Tavéca

01/09/2009 à 18h03

. Et parfois, en tant que praticiens,
> on a tendance à surestimer le résultat final pour faire adhérer le patient au
> traitement.

c'est malheureusement vrai, mais l'inverse aussi d'ailleurs, mais quand on se trompe pas , alors tout le monde est content et ca arrive aussi ...


3f3boxni50k58rq7e9ce9ddqrxgk - Eugenol
dentiste57

01/09/2009 à 19h00

Marc Apap écrivait:
-------------------
> Rien ne me choque en ce qui concerne le traitement à la mandibule. Ce qui me
> choque toujours en revanche, c'est chez certains, le désir forcené de placer des
> implants quand ça n'apporte rien au patient.

là, je ne suis pas de ton avis.
comme Fouilla, j'essaie de me mettre à la place du patient et voir si j'accepterai un palais. pour ma part, cette idée est intolérable; la gène occasionné par l'épaisseur, le défaut d'élocution, le reflex nauséeux, le sentiment de perte de goût pour les aliments...
de plus, afin d'éclairer vos lanternes, c'est le patient lui même qui m'a avoué que si il n'était pas venu plus tôt c'est parce qu'il savait que le complet haut allait être la seule réponse que l'on allait lui apporter. il ne supporte déjà pas beaucoup son partiel résine alors un complet...

pour les amateurs de ALL ON FOUR, il faut savoir que les résultats ne sont pas aussi favorables que cela et que c'est évidemment très dépendant de l'antagoniste. ici, c'est pas envisageable (enfin, me semble t'il).

la mutuelle du patient prévoit de lui accorder 600 roros par implants et 3 implants par ans! la prothèse standard (spr50) est très bien prise en charge.

l'idée du locator, c'est surtout pour diminuer le palais. ça j'en démord pas c'est vraiment un plus pour le patient.

ce qui m'étonne toujours c'est de voir arriver au cabinet ce genre de cas et de voir que ce patient soit si motivé.
je me demande souvent ce qui à conduit le patient à une telle prise de conscience.


Homer simpson wallpaper brain 1024 f4t8dv - Eugenol
Jpeg

01/09/2009 à 19h06


> je me demande souvent ce qui à conduit le patient à une telle prise de
> conscience.

L'amûûûûr !!!

ou pas...


Blason dql7mj - Eugenol
growler

01/09/2009 à 19h34

justement cet après-midi un patient est venu car il possède un complet sup. Ce qui le gène ce n'est pas la présence d'un palais ou une instabilité mais le fait que ce soit amovible.

proposition d'un all on 6 ou de sinus-litf bilatéral avec 8 implants et fixe.


12...