Cookie Consent byPrivacyPolicies.comet si c'était votre patient - Eugenol

et si c'était votre patient

Ikimine xg3119 - Eugenol
ikimine

05/09/2009 à 02h39

patiente 46 ans en bonne santé venue consulter pour une réhabilitation totale quel plan de trt suggeriez-vous;
moi ce qui m'inquiéte le plus c'est la supraclusion,
et vous ?
MERCI.
PS:je m'excuse dela qualité des photos ,je travaille avec les moyens du bord.

Dsc00513 lmtmre - Eugenol
Dsc00521 uh2geu - Eugenol
Dsc00515 eekwws - Eugenol

Smile beach jgh0a1 - Eugenol
Céramik

05/09/2009 à 03h56



Ré-hab global avec modification de la DV.
Tu changes la Cl-2+over-bite en Cl-1 avec occlusion normal.
Implants + couronnes partout.
Pas simple, mais possible.
Fait toi aider d'un CD qui fait cela régulièrement
(pas sur Nonol, tu dois avoir quelqu'un dans ta région)


--
Céramik


crroc

05/09/2009 à 10h00

La première question à se poser est de savoir pourquoi cette configuration dentaire s'est installée, ne pas y répondre et reconstruire en l'état est un échec cuisant annoncé...

Le Cercle de Recherche sur la Relation Dento-Cochléaire travaille dans ce sens, du moins le croit-il, il est là prêt à répondre aux questions.

Nos amitiés.


Uncmury6m4drs8ssni8vwnyrlbqu - Eugenol
curdents

05/09/2009 à 10h30

Céramik écrivait:
-----------------
>
>
> Ré-hab global avec modification de la DV.
> Tu changes la Cl-2+over-bite en Cl-1 avec occlusion normal.
> Implants + couronnes partout.
> Pas simple, mais possible.

je suis de ton avis mais en l'amenant progressivement à la nouvelle DVO.


Marque a3 orange fyvhyq - Eugenol
Marc Apap

05/09/2009 à 11h03

En général, la première chose que je fais, ce sont des moulages, et un enregistrement avec arc facial, puis mise sur articulateur pour savoir jusqu'à quel point il est possible de modifier la DV.
Impossible de déterminer précisément la marche à suivre autrement.


Logo vuaztn - Eugenol
mac

05/09/2009 à 13h02

Marc Apap écrivait:
-------------------
> En général, la première chose que je fais,


en général tu fais juste 2 couronnes donc pas besoin de modifier la DV.


S2y2o1v7q53ws4r5wy6ou8czrpom - Eugenol
pxav

05/09/2009 à 13h50

Céramik écrivait:
-----------------
>
>
> Ré-hab global avec modification de la DV.
> Tu changes la Cl-2+over-bite en Cl-1 avec occlusion normal.
> Implants + couronnes .
> Pas simple, mais possible. et à faire
mais d'abord etude sur modele en collaboration avec ton prothesite, il faut etre sur que tout le monde parle le même language, y compris le patient.

ce sont des cas dans les plus hards mais aussi les plus passionnants.

--
xbk


Smile beach jgh0a1 - Eugenol
Céramik

05/09/2009 à 16h22

crroc écrivait:
---------------
> La première question à se poser est de savoir pourquoi cette configuration
> dentaire s'est installée, ne pas y répondre et reconstruire en l'état est un
> échec cuisant annoncé...
>

100% avec toi.
Ma réponse était très générale, car ce cas demandes bcp d'info.

Raison des édentations, analyse radio (retro et Ceph et Scan 3D pour les tomos, il n'y a rien de mieux)
Posture cervicale (aussi visible sur le 3D), déglution, voies respiratoires, ATM, état dentaire et parodontal.

Si on veut encore plus..., modèles, montage, analyse musculaire. Santée médicale.
Bref c'est possible, mais pas simple.
Comme dit pxav, c'est cas bien fait sont très intéressant, mais attention, si tu ne controles pas bien les facteurs, c'est le désastre ...




--
Céramik


Casque beotien a3jo39 - Eugenol
beotien

05/09/2009 à 17h02

,


55 s2ba7n - Eugenol
Sid

05/09/2009 à 21h16

mac écrivait:
-------------
> Marc Apap écrivait:
> -------------------
> > En général, la première chose que je fais,
>
>
> en général tu fais juste 2 couronnes donc pas besoin de modifier la DV.



:-)))


Img 8465 fqhxid - Eugenol
noahaxeltiger-olivier

06/09/2009 à 00h06

J'ai traité il ya de cela quelque temps un cas de réhabilitation globale sur terrain paro. Comme toi ikimine j'ai du faire face à un effondrement de DV, ce qui m'a amené à combiner paro, implanto, prothétique conventionnelle et occluso.
Compliqué mais très intéressant. Surtout quand en cours de ttt il y a eu une petite complication ....

Voila les photos et radios initiales :

Opg initial pocr0a - Eugenol
Initial ou2oph - Eugenol
Radio initiales dq0rlp - Eugenol

Avatar ow44t3 - Eugenol
Chicot

06/09/2009 à 00h11

Sid écrivait:
-------------
> mac écrivait:
> -------------
> > Marc Apap écrivait:
> > -------------------
> > > En général, la première chose que je fais,
> >
> >
> > en général tu fais juste 2 couronnes donc pas besoin de modifier la DV.
>
>
>
> :-)))

+1
--
;O)


Avatar ow44t3 - Eugenol
Chicot

06/09/2009 à 00h13

noahaxeltiger-olivier écrivait:
-------------------------------
> J'ai traité il ya de cela quelque temps un cas de réhabilitation globale sur
> terrain paro. Comme toi ikimine j'ai du faire face à un effondrement de DV, ce
> qui m'a amené à combiner paro, implanto, prothétique conventionnelle et occluso.
> Compliqué mais très intéressant. Surtout quand en cours de ttt il y a eu une
> petite complication ....
>
> Voila les photos et radios initiales :

et.... vite la suite


--
;O( J-3 avant l'oral du DU d'implanto


Img 8465 fqhxid - Eugenol
noahaxeltiger-olivier

06/09/2009 à 00h32

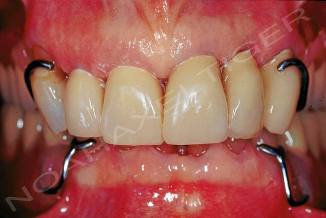
Dents jugées comme devant extraites : 16, 14, 12, 24, 27
Dents jugées comme ayant un pronostic incertain : 22, 23
Facteurs importants à prendre en compte pour le plan de traitement : hauteur osseuse sous sinusienne réduite, crête très fine à la mandibule.
Souhait de la patiente : rehabilitation fixe au maxillaire. A la mandibule, la patiente est déja porteuse d'une PPAC qu'elle accepte parfaitement. La patiente souhaite seulement une meilleure rétention mais ne veut pas se lancer dans des travaux d'augmentation osseuse importants.

Plan de traitement :
1-analyse occlusale globale. Waxup. Assainissement parodontal
2-extraction de 16, 14, 12, 24, 27. Préparation de 13,11,21,22,23 et mise en place d'un bridge provisoire + PP issus du waxup initial.
3-sinus lyft avec abord crestal et implantation de 16, 15, 14, 24, 25, 26. Implant en 44.
4-chirurgie mucogingivale au niveau du bloc incisivocanin supérieur
5-bridge implantoporté 16,15,14 - bridge conventionnel 13,11,21,23 - Bridge implantoporté 24,25,26
6-attachement boule 44 - attachement extracoronaire boule 34 - PPAC mandibulaire.


Img 8465 fqhxid - Eugenol
noahaxeltiger-olivier

06/09/2009 à 00h51

Etape 1 : après analyse occlusale et assainissement paro, extraction de 16, 14, 12, 24, 27, prep bloc incisivocanin sup, PP > et <

Etape 2 : après 2 mois, sinus lift par voie crestale et implantation de 16,15,14,24,25,26. Implantation de 44 à la mandibule

Et là 1er problème pdt la periode de temporisation et de cicatrisation implantaire : fracture radiculaire de 22.

Etape 3 : extraction de 22 et modification du bridge antérieur. Mise en charge des implants 16,15,14 et 24,25,26

Etape 3 yzyinv - Eugenol
Etape 1 d2u6xt - Eugenol
Etape 2 gdmlh3 - Eugenol

Img 8465 fqhxid - Eugenol
noahaxeltiger-olivier

06/09/2009 à 01h21

Etape 4 : chirugie mucogingivale après extraction de 22 pour améliorer la ligne de sourire et le profil d'émergence du futur pontic.

Et là 2eme problème lors de la dépose du bridge provisoire : l'inlay core suit le brdge provisoire et une ligne de fracture radiculaire est constaté au niveau de 23.

Etape 5 : extraction de 23 et mise en place immediate d'un implant en 23.Comblement de l'espace alvéolaire résiduel et comjonctif enfoui.

Etape 6 : prise d'empreinte après cicatrisation implantaire de 23 et mise en place d'un nouveau jeux de provisoire afin de tester et faire les dernier réglages occlusaux. Patiente satisfaite du renduu esthétique.

Etape 4 djfcrv - Eugenol
Etape 5 qli012 - Eugenol
Etape 6 q4mxgo - Eugenol

Homer simpson wallpaper brain 1024 f4t8dv - Eugenol
Jpeg

06/09/2009 à 01h38

Salut Olivier,
Quels sont tes critères de choix entre transvissé et scellé ?


Img 8465 fqhxid - Eugenol
noahaxeltiger-olivier

06/09/2009 à 01h41

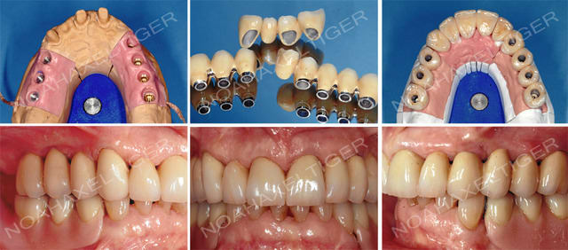
Etape 7 : une fois satisafit des réglages occlusaux et esthétiques, prise d'empreinte et pose des constructions prothétiques finales.

A plus.
Olivier

Etape 7 ce0k6k - Eugenol
Radio final bhd6mz - Eugenol

Img 8465 fqhxid - Eugenol
noahaxeltiger-olivier

06/09/2009 à 01h46

Jpeg écrivait:
--------------
> Salut Olivier,
> Quels sont tes critères de choix entre transvissé et scellé ?

Je préfère les constructions transvissées aux scellées. Je ne vois pas l'intérêt de sceller des constructions implantaires plurales. C'est plus compliqué, on ne contrôle pas la fuite éventuelle du matériaux de scellement, la dépose en cas de souci est quasi impossible.
Les cas de périimplantites qui me sont adressés me conforte dans ce choix.
Aprés il y a des cas particuliers ... mais de facon générale et pour les reconstructions implantaires plurales, pour moi, c'est le transvissé en premier choix.


Smile beach jgh0a1 - Eugenol
Céramik

06/09/2009 à 02h26

noahaxeltiger-olivier écrivait:
-------------------------------
> Etape 7 : une fois satisafit des réglages occlusaux et esthétiques, prise
> d'empreinte et pose des constructions prothétiques finales.
>
> A plus.
> Olivier


Joli
Dommage d'avoir de l'amovible en bas.
Il manque aussi quelques facettes en bas...
;-)

--
Céramik


Ikimine xg3119 - Eugenol
ikimine

06/09/2009 à 03h31

noahaxeltiger-olivier écrivait:
-------------------------------
> Etape 7 : une fois satisafit des réglages occlusaux et esthétiques, prise
> d'empreinte et pose des constructions prothétiques finales.
>
> A plus.
> Olivier
Bravo et joli travail,l'avantage que j'ai dans ce cas est que le parodonte est sain et le sourire est bas et je pense dans ces cas la transvissée est préferable
mais pour arriver a ton niveau j'ai du chemin a faire.
Merci a tous pour vos réponses .


Logo vuaztn - Eugenol
mac

06/09/2009 à 11h01

noahaxeltiger-olivier écrivait:
-------------------------------
sinus lift par voie crestale et implantation de
> 16,15,14,24,25,26.


donc même lorsqu'il y a plusieurs implants tu fais de l'abord crestal, ça fait combien de temps que tu utilises cette technique avec l'insert IM3?
y a t il des erreurs à ne pas commettre avec cette technique?
demain je commande un insert.



Img 8465 fqhxid - Eugenol
noahaxeltiger-olivier

06/09/2009 à 11h35

mac écrivait:
-------------
> donc même lorsqu'il y a plusieurs implants tu fais de l'abord crestal

L'élévation de la membrane sinusienne ne concerne pas l'ensemble des implants.

> ça fait combien de temps que tu utilises cette technique avec l'insert IM3?

Dans le cas présenté je pratiquais encore avec les ostéotome à frapper. J'ai commencé avec l'insert IM3 il y a de cela à peu près 1 an, 1 an et demi.

> y a t il des erreurs à ne pas commettre avec cette technique?

Perforer la membrane!! ;-)) Je rigole. Un élément primordial : laisser l'insert travailler. Ensuite, travailler par touche avec contrôle et appui. Contrôle de l'herméticité sinusienne par test MODÉRÉ de valsalva.

> demain je commande un insert.

Tu ne vas pas le regretter!!


A plus
Olivier.


Squash u44zd8 - Eugenol
steph

06/09/2009 à 14h16

J'aurais aimé savoir comment tu as harmonisé la ligne des collets?
Simple gingivectomie?


Img 8465 fqhxid - Eugenol
noahaxeltiger-olivier

06/09/2009 à 15h33

steph écrivait:
---------------
> J'aurais aimé savoir comment tu as harmonisé la ligne des collets?
> Simple gingivectomie?

élongation coronaire


12