Cookie Consent byPrivacyPolicies.comun autre cas comme je les aime... - Eugenol

un autre cas comme je les aime...

3f3boxni50k58rq7e9ce9ddqrxgk - Eugenol
dentiste57

08/09/2009 à 15h27

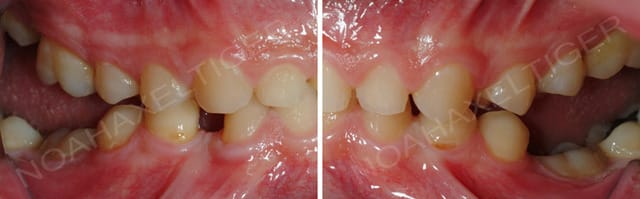
homme, 33 ans, super motivé pour une réhabilitation complète.


comme vous pouvez le constater sur le modèle en plâtre et à la différence de l'opt de départ; 18/48 et 28 ont été extraites.

j'attends vos propositions de traitements...

Dsc 4707 jaqnsp - Eugenol
Dsc 4710 pc6jyp - Eugenol
Dsc 4711 pav8ym - Eugenol
Opt h2mbop - Eugenol

Scan10030 ukikhq - Eugenol
vava

08/09/2009 à 15h31

dentiste57 écrivait:
--------------------

>
> j'attends vos propositions de traitement...
>
et je vous indiquerai les tarif avec la décennale


Marque a3 orange fyvhyq - Eugenol
Marc Apap

08/09/2009 à 15h33

Comme quoi, ça ne sert à rien de connaitre l'orthographe ou la grammaire pour etre un bon dentiste.


Scan10030 ukikhq - Eugenol
vava

08/09/2009 à 15h43

Marc Apap écrivait:
-------------------
> Comme quoi, ça ne sert à rien de connaitre l'orthographe ou la grammaire pour
> etre un bon dentiste.

avec une calculette on fais pas de faute d'ortografe ou de grandmèré


3f3boxni50k58rq7e9ce9ddqrxgk - Eugenol
dentiste57

08/09/2009 à 16h40

marrant votre truc, ma femme me dit toujours que j'ai jamais lu le Bled.

sinon, à part ça ?


Fouilla h6plsy - Eugenol
fouilla

08/09/2009 à 17h11

droit à l'ODF ou pas ???


Marque a3 orange fyvhyq - Eugenol
Marc Apap

08/09/2009 à 17h39

dentiste57 écrivait:
--------------------
> marrant votre truc, ma femme me dit toujours que j'ai jamais lu le Bled.

C'est parce que tu es un homme de la ville !


3f3boxni50k58rq7e9ce9ddqrxgk - Eugenol
dentiste57

08/09/2009 à 18h39

pourquoi pas , mais je ne suis pas convaincu qu'une ingression (si c'est ce à quoi tu penses) sur 16 et17 soit encore possible.
la limite osseuse dans ces zones vient déjà en compétition avec la courbe occusale idéale. non ?


3f3boxni50k58rq7e9ce9ddqrxgk - Eugenol
dentiste57

08/09/2009 à 19h27

voila déjà pour 46 et 47

3d1 qknyer - Eugenol
3d zxmuzu - Eugenol

Maroc 02 l0ohhm - Eugenol
FAT09

08/09/2009 à 19h48

dentiste57 écrivait:
--------------------
> homme, 33 ans, super motivé pour une réhabilitation complète.
>
>
> comme vous pouvez le constater sur le modèle en plâtre et à la différence de
> l'opt de départ; 18/48 et 28 ont été extraites.
>
> j'attends vos propositions de traitements...
>

Bon, les deux secteurs 2 et 3, c'est gérable
le secteur 4: implants, prothèse amovible ce que tu veux
secteur 1: je ne vois qu'une solution l'ostéotomie de
Schuchart par un maxillo (ça te permettra de
récuperer le plan d'occ que tu veux)
Bon courage!!!


3f3boxni50k58rq7e9ce9ddqrxgk - Eugenol
dentiste57

08/09/2009 à 21h36

FAT09 écrivait:
---------------

> secteur 1: je ne vois qu'une solution l'ostéotomie de Schuchart par un maxillo

merci de citer Schuchart mais cette technique est surtout réservé aux ostéotomies sagittales des branches montantes.

Dans ce cas ci, après extractions de 16 et 17, une simple ostéotoplastie (mais conséquente quand même!) va suffire à récupérer une courbe occlusale convenable. on a ici la chance d'avoir une hauteur sinuso-dental importante.

avec cette méthode, on récupère beaucoup d'os et on a pas de problèmes pour suturer les berges entre elles du fait de l'ostéotomie.

Fabrice copie ns0zsq - Eugenol

Img 8465 fqhxid - Eugenol
noahaxeltiger-olivier

08/09/2009 à 23h45

Tiens, voilà ton opposé. Celui ci a été traité par chir orthognathique.

Pre chir xidnrt - Eugenol

3f3boxni50k58rq7e9ce9ddqrxgk - Eugenol
dentiste57

09/09/2009 à 00h07

dans ce cas ci c'est effectivement plus difficile.!

as tu un cas de patient traité qui soit similaire au mien?

j'en ai déjà traité d'autres comme ça mais à l'époque je ne faisais pas de photos. ce serait sympa de voir ce que cela donne.


3f3boxni50k58rq7e9ce9ddqrxgk - Eugenol
dentiste57

09/10/2009 à 21h24

ça y est! j'ai fini ce matin le cas que j'avais présenté.
intervention longue, mon assistante et ma collaboratrice sont épuisées...

je n'ai pas pu mettre d'implants en situation 14 et 15 à cause de la concavité énorme qu'il y avait.
donc reconstruction osseuse avec membrane titane et en dessous tous l'os que j'avais récupéré de l'ostéoplastie.
si ça marche pas, ce sera greffe d'apposition.
résultat dans 6 mois...

Planche contact 003 lzsprm - Eugenol
Sans titre 1 hou6yh - Eugenol
Dsc 4711 yszfti - Eugenol
Planche contact 001 zg3y0x - Eugenol
Planche contact 002 kbqqbn - Eugenol

3f3boxni50k58rq7e9ce9ddqrxgk - Eugenol
dentiste57

10/10/2009 à 01h25

j'aimerai bien savoir si beaucoup d'entre vous effectuez des ROG avec des membranes titane ou gore-tex renforcé titane.

vos préférences ?


BEOTIEN m'a écrit en MP;
"perso j'aurais gardé 16 en regardant la pano mais ce ne devait pas etre jouable sur la reconstruction?"

ben non, pas possible de conserver cette dent, car complètement trop basse par rapport au plan d'occlusion.
j'aurai préféré une ingression orthodontique , mais pas souhaité par le patient, donc extraction.
vos avis ....


Smile beach jgh0a1 - Eugenol
Céramik

10/10/2009 à 01h30


Beau travail Q1, exo, pose et reconstruction osseuse, super.

Tu as fait les autres en même temps (Q3 et Q4) ?
Tu as quoi comme longeur en Q4 ?
Pourquoi pas la 34 aussi ?.

Merci

--
Céramik


Blason dql7mj - Eugenol
growler

10/10/2009 à 06h06

impec D57,

pour l'ostéoplastie et la récup de l'os, avec quels instruments?

Pour poser tes easy masterS, tu as utilisé les butées?
En 46 pourquoi pas un easy?

Pour les membranes, je trouve que la gore renforcée titane épouse plus facilement les courbes qu'une titane.


@+





3f3boxni50k58rq7e9ce9ddqrxgk - Eugenol
dentiste57

10/10/2009 à 21h35


> pour l'ostéoplastie et la récup de l'os, avec quels instruments?
>
bone scraper de chez Dexter, rape à os hue- freidy (finalement plus efficace mais plus difficile de récupérer les copeaux)+ aspirateur à os des kit de chirurgie Hygien express (pas terrible entre nous, je préfère l'aspirateur anthogyr avec sa seringue)


> Pour poser tes easy masterS, tu as utilisé les butées?
non pas ici, et puis j'ai du mal à leur faire confiance, et toi ?

> En 46 pourquoi pas un easy?
un Ankylos A8 (diam 3.4mm) j'avais plus rien en stock d'assez petit.

>
> Pour les membranes, je trouve que la gore renforcée titane épouse plus
> facilement les courbes qu'une titane.
>
d'accord avec toi, mais en cas d'exposition c'est tellement galère par rapport aux membranes titanes.


tu postes à 4heure 06 !!
vin diou! t'es aussi insomniaque comme moi?




Blason dql7mj - Eugenol
growler

10/10/2009 à 21h57

tu peux faire confiance aux butées, elles sont dimensionnées de façon à ce qu'on puisse juste enfouir le biseau. Je m'en sers tout le temps çà m'évite de scruter les marques sur les forets.

Les bone scrapper sont des instruments bien pratiques et pour la récup je préfère aussi le systeme anthogyr.

En cas de besoin, pour faire des prélèvements osseux supplémentaires il existe des systèmes un peu du même principe que le K system mais moins onéreux (j'ai découvert çà à l'expo de l'EAO):

http://www.osseoustech.com/drill.html

et ce systeme dont le cylindre de récupération est transparent:

http://www.recursosmedicos.com/htm/eng/productos/gbr/bonesier.html


et oui, j'ai posté à 4 h du mat, réveillé à 3 H et impossible de refermer l'oeil.....çà m'arrive parfois et je ne me l'explique pas...suis pourtant pas stressé.

@+




3f3boxni50k58rq7e9ce9ddqrxgk - Eugenol
dentiste57

10/10/2009 à 21h59

ah oui! j'avais oublié! pour le forage des implants j'ai utilisé le K-SYSTEM avec un diamètre 3.2 et 4.2 on récupère vraiment beaucoup d'os comme ça.
j'utilise ce système dès que je doit faire un Summers avec des implants de dimension supérieur à 3.4mm


3f3boxni50k58rq7e9ce9ddqrxgk - Eugenol
dentiste57

10/10/2009 à 22h02

oups tu as répondu en même temps que moi.

si tu veux acheter le K-systeme, n'achètes que le kit numéro 1

le reste est quasi inutilisable.


3f3boxni50k58rq7e9ce9ddqrxgk - Eugenol
dentiste57

12/10/2009 à 01h04

Céramik écrivait:
-----------------

> Q= Quadrant

> Beau travail Q1, exo, pose et reconstruction osseuse, super.
>
> Tu as fait les autres en même temps (Q3 et Q4) ?

oui, c'est p'têt ben pour ça que j'étais un peu naze ce soir là , à moins que ce soit ce putain de h1n1 qui ma démonté ce week end.

> Tu as quoi comme longeur en Q4 ?

pas autant que je l'aurais souhaité, 46:ankylos A8 (donc longueur 8mm) et 47:Master S 4.2 L10.5


> Pourquoi pas la 34 aussi ?.

pour l'instant la 35 tient le coup, donc...


S2y2o1v7q53ws4r5wy6ou8czrpom - Eugenol
pxav

12/10/2009 à 09h31

dentiste57 écrivait:
--------------------

> oui, c'est p'têt ben pour ça que j'étais un peu naze ce soir là , à moins que ce
> soit ce putain de h1n1 qui ma démonté ce week end.
>
ou steph?


Très beau travail, j'aurai essayé une expansion, mais je crois que tu as eu raison de faire une Rog.

--
xbk


dcd

12/10/2009 à 13h06

En matiere d'orthograFFF:
SHUCHARDT.....
Methode decrite il y a une 40taine d'annéesl'OSPM trouve son indication en cas d'egression du sect Pm> vers un espace edenté antagoniste
Les élémentsessentiels de la bonne utilisation de l'ospm qq soit l'indication=
etude pre chir diagnostique rigoureuse
mobilisation chirurgicale prudente du fragment pour repecter le pedicule palatin
emploi d'une contention adapté et prolongé
En chir orthognatique pour fermer les beances ant parait tres limitée
+ souvent elle complète d'autres osteotomies et permet de corriger des anomalies ds le sens transversal et non vertical comme l'avait initialement decrit SchucharDt
bon vent


resycam

18/06/2019 à 15h38

Merci


--
www.resycam.com