Cookie Consent byPrivacyPolicies.comKékonfé ? - Eugenol

Kékonfé ?

19066 1223810679128 1344811835 30546764 2261510 n medium ozxaxj - Eugenol
vitalic

08/09/2009 à 19h18

la patiente a 27 ans, elle aperdu ces 4 incisives mandibulaires il ya plusieurs années dans un accident.
La crête osseuse est ultra résorbée et très fine.
Il y a 2 ans , une greffe était prévue chez un confrère mais l'intevention se serait mal déroulée (selon la patiente) elle aurait flippée sa race en pleine chir et a tout laissé tomber (j'en sais pas plus)
Elle vient me voir (si si) et me demande si je peux lui poser des implants sans greffe.
mon idée c'est que c'est possible, et vous vous le feriez? et quelle prothèse?

Mod le oypnhf - Eugenol
Img10 ch8xza - Eugenol
Img11 tj0jj8 - Eugenol
Img13 roafkk - Eugenol
Img10 yiavza - Eugenol
Img0 pdjc2v - Eugenol

Photo pluton1b h9n4ea - Eugenol
pluton

08/09/2009 à 20h06

çà a l'air possible...

moi, je commencerais par régulariser la crête...pour avoir des hauteurs plus homogèmes puis 2 implants en 32 et 42
armature transvissée et bridge télescopique avec fausse gencive céramisée...ou bridge transvissé total si les émergences des puits de vissage sont en lingual...


19066 1223810679128 1344811835 30546764 2261510 n medium ozxaxj - Eugenol
vitalic

08/09/2009 à 20h17

merci de ta réponse....je pense faire ça en fait.


Rorschachwhite tx6rqr - Eugenol
Candide Candida

08/09/2009 à 21h19


Salut,

Comme c'est peut-être une patiente disons "spéciale", avant de me lancer dans quelquechose de délicat esthétiquement, je lui ferais un wax-up en "dur" résine et dent de PPA à l'image de ce qu'elle aura en bouche (prothèse sur pilotis ou PPA transvissée) afin de bien lui montrer le type de résultat obtenus avec ces prothèses là.

Je dis ça je dis rien ..

Dans le même esprit y-a-t-il des utilisateurs de gencives amovibles pour des cas similaires (defect vertical énorme) ?

CC.


Blason dql7mj - Eugenol
growler

08/09/2009 à 21h34

+1
faut bien qu'elle sache le type de résultat prothétique.


çà va faire des implants de 10-11.5 mm avec une partie prothétique de 22-23 mm de haut! pourquoi pas alors 3 implants (32-42 et un médian pour soutenir toute cette structure qui va reconstituer à la fois dents mais aussi partie de crête résorbée)

faudrait voir aussi les rapports antéro-postérieurs des incisives


3f3boxni50k58rq7e9ce9ddqrxgk - Eugenol
dentiste57

08/09/2009 à 21h41

+2

et comme je suis quelqu'un de prudent je chercherai à en savoir beaucoup plus sur ce qui s'est passé pendant l'intervention précédente. contact l'ancien intervenant.
les fous ça courent les rues!


Casque beotien a3jo39 - Eugenol
beotien

08/09/2009 à 23h05

,


Dr - Eugenol
JeRis

08/09/2009 à 23h22

beotien écrivait:
-----------------
> tu en as déjà eu toi qui se barraient en pleine intervention?


... mon assistante ... s'il était l'heure d'aller bouffer! :)


Casque beotien a3jo39 - Eugenol
beotien

08/09/2009 à 23h34

,


South park   craig te7bfk - Eugenol
CRAIG

08/09/2009 à 23h45

beotien écrivait:
-----------------
> +3
> s'il s'agit d'un accident quid des assurances
> moi aussi je contacte le précédant intervenant
> tu en as déjà eu toi qui se barraient en pleine intervention?

Et c'est le style à sortir du cabinet à 18h59 et 19H00 bye bye?
T'es un narik bis?


Dr - Eugenol
JeRis

08/09/2009 à 23h48

CRAIG écrivait:
---------------
> T'es un narik bis?


... en plus pire! ... mais moi c'était à la sécu.


South park   craig te7bfk - Eugenol
CRAIG

08/09/2009 à 23h52

JeRis écrivait:
---------------

> ... en plus pire! ... mais moi c'était à la sécu.

Excuses acceptées alors...


Img 8465 fqhxid - Eugenol
noahaxeltiger-olivier

09/09/2009 à 00h05

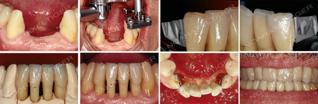
Etonnant que personne ne réagisse mais il y a d'autres moyens prothétiques pour restaurer ce genre de défaut. Les implants ne sont pas une solution à tous les problèmes.
Si la patiente dans ton cas refuse la greffe alors pour moi ce n'est pas un bon candidat pour l'implanto. 27 ans, crête extra fine, ....

Je te poste un cas de bridge collé antérieur 32-42 qui peut être parfaitement intégré dans le contexte gingival si ton prothésiste s'en donne l'effort.

Etsbro p8v2s6 - Eugenol

Dr - Eugenol
JeRis

09/09/2009 à 00h14

... superbe travail sur la céram!!!

Peux-tu prendre l'habitude de poster des photos plus grandes stp ... ça en vaut vraiment la peine.


Img 8465 fqhxid - Eugenol
noahaxeltiger-olivier

09/09/2009 à 00h18

sorry

Etsbro ceramique sab4mi - Eugenol

S8ysxdzhdqgw00w4q6m07a5d47q2 - Eugenol
gai-luron

09/09/2009 à 00h20

purée, quel boulot !!!!!

onlays de Kabnick?


Dr - Eugenol
JeRis

09/09/2009 à 00h22

... merci :)

J'ai eu un cas similaire au maxillaire, sur un bridge conventionnel, patient CMU ... et il se plaignait du passage de l'air lors de la phonation ...


Dr - Eugenol
JeRis

09/09/2009 à 00h24

gai-luron écrivait:
-------------------
> onlays de Kabnick?


... non, bridge collé d'après les photos.


Blason dql7mj - Eugenol
growler

09/09/2009 à 00h34

c'est quoi Olivier le dispositif de taille? un paralléliseur pour taille en bouche?

quel types de préparations doivent être réalisés pour que le collage résiste aux contraintes d'un tel bridge (des rainures et puits linguaux)?
magnifique réalisation du céramiste (et du praticien)


Img 8465 fqhxid - Eugenol
noahaxeltiger-olivier

09/09/2009 à 00h37

gai-luron écrivait:
-------------------
> onlays de Kabnick?

C'est un onlay de Noahaxeltiger !! ;-))
Sans rire, que ce soit onlay de MacBoyle, de Lackermance ou de Kabnick ... je ne maitrise pas trop leurs différences. Dans ce cas on peut parler d'onlay avec puits dentinaires.


3f3boxni50k58rq7e9ce9ddqrxgk - Eugenol
dentiste57

09/09/2009 à 01h37

dis nous en plus sur ton paralléliseur de taille, c'est tout con mais il fallait y penser.
qui commercialise ?


Homer simpson wallpaper brain 1024 f4t8dv - Eugenol
Jpeg

09/09/2009 à 10h46

bizarre cette patiente...
Est-ce qu'elle serait satisfaite d'avoir une prothèse avec des racines apparentes, à 27 ans?
Pour moi, histoire de pas avoir de problèmes ultérieurs, je lui dirais que hors greffe, pas possible d'avoir un résultat satisfaisant, que ce soit sur des implants ou sur un bridge.
Ca sent quand même pas super bon...


19066 1223810679128 1344811835 30546764 2261510 n medium ozxaxj - Eugenol
vitalic

09/09/2009 à 11h10

ouè ouè merci pour vos réponses. en effet ça sent la patiente zarbi à priori mais peut être pas tant que ça. en fait je l'ai déjà reçu 2 fois, la première consult ou elle me raconte son truc et me dit qu'elle se décide après un an (date de l'histoire de la greffe) à consulter un dentiste, et la deuxième consultation avec son scanner (prescrit à la première C). J'ai pas mal discuté avec elle, elle a l'air "normale" comme nana et il semble qu'il y ait eu un un vrai problème de communication avec le précédent chir. Bon je connait le lascar, très connu vers chez moi pour les implants et greffes, certainement un très bon chir par ailleurs. D'après cette patiente, elle a été très étonnée de se retrouver en condition stérile avec habillage, et tout et tout, alors qu'elle s'attendait à un rendez-vous "classique" chez son dentiste...bon bref elle a fait une crise et l'intervention a été annulée. Elle me dit qu'on lui avait pas parlé de prélèvement machin truc... Je pourrais tout à fait contacté le chir mais pour le moment ça me parait pas utile.
Je dois la revoir pour lui dire ce que je pense de la situation.
Merci de vos réponses.
je vous en dirai plus....


Cal pencil ry8wwk - Eugenol
valorel

09/09/2009 à 11h23

Mon p'tit vitalou, à moins que tu sois en brouille avec le confrère précédent, je pense que tu as tout intérêt à le contacter. Ce serait pas la première fois qu'un patient à priori bien sous tous rapports soit un zinzin qui se méconnait.

Je serais vraiment étonné que le précédent dentiste veuille lui faire une chir avec greffe sans lui en avoir parlé, sans parler des conditions stériles et tout. Surtout que je suppose que tout est facturé, donc présenté sur un devis?

Bref, je pense que tu n'as rien à perdre à le contacter, au contraire.

Noax, super boulot, vraiment!


S2y2o1v7q53ws4r5wy6ou8czrpom - Eugenol
pxav

09/09/2009 à 14h38

valorel écrivait:
-----------------
> Mon p'tit vitalou, à moins que tu sois en brouille avec le confrère précédent,
> je pense que tu as tout intérêt à le contacter. Ce serait pas la première fois
> qu'un patient à priori bien sous tous rapports soit un zinzin qui se méconnait.
>
> Je serais vraiment étonné que le précédent dentiste veuille lui faire une chir
> avec greffe sans lui en avoir parlé, sans parler des conditions stériles et
> tout. Surtout que je suppose que tout est facturé, donc présenté sur un devis?
>
> Bref, je pense que tu n'as rien à perdre à le contacter, au contraire.
>
> Noax, super boulot, vraiment!

+1 pour le contact avec le confrere
+1 pour Noax
et pour la patiente, à priori, et pourtant je ne suis pas frileux, la solution implanto ne me parait pas forcement la solution de choix.

--
xbk


12