Cookie Consent byPrivacyPolicies.comOptions de Tx - Eugenol
Smile beach jgh0a1 - Eugenol
Céramik

10/09/2009 à 04h31


Entre 2 implants, je travaille sur ce cas.
Des idées ?


PS DocL, du sérieux...
--
Céramik

Options cjxcli - Eugenol
1 yobuq9 - Eugenol
2 eow7ha - Eugenol

Logo vuaztn - Eugenol
mac

10/09/2009 à 09h12

quelles sont les demandes de la patiente?


Marque a3 orange fyvhyq - Eugenol
Marc Apap

10/09/2009 à 10h28

La question est : jusqu'à quel degré de perfection aller ?
La chir peut harmoniser les collets. Je ne sais pas si l'ortho s'impose et si c'était le cas, ne peut on craindre la récidive, à moins de faire des bridges qui solidarisent les antérieures.
RX pour voir la taille des racines, les furcations molaires, et Wax up ensuite me paraissent incontournables.
PS : Mac, ta gueule.


200106 10150128247663588 709988587 6466236 5598391 n d7mksb - Eugenol
hallboy

10/09/2009 à 11h08

pareil; quelle est la demande? Et rien de tres joli a prevoir sans se guider sur la 21 ( voir un cil plus haut ? )pour allonger les dents et harmoniser les collets.


Logo vuaztn - Eugenol
mac

10/09/2009 à 11h16

Marc Apap écrivait:
-------------------

> PS : Mac, ta gueule.


pfffff


Wolford hm5yx3 - Eugenol
Doc lyonnaise

10/09/2009 à 13h18

Céramik écrivait:
-----------------

> PS DocL, du sérieux...


pffff


Smile beach jgh0a1 - Eugenol
Céramik

10/09/2009 à 15h21

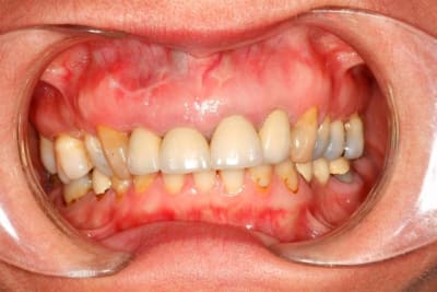
Suite :

Paro stable, furcation normale.

Patiente ne désire pas de chirurgie style Lefort (pour le gummy smile), ni d'ortho.

J'ai placé 2 implants (14 et 35)
Le bridge 34-X-36 était brisé et troué (pour une endo), et la patiente désirait des dents unitaire.

J'ai placé des provisoires de 13 à 23 suite à
l'élongation de 13 à 23 et apectomie 12.

A suivre

--
Céramik


Smile beach jgh0a1 - Eugenol
Céramik

16/09/2009 à 20h21

Suite du p'tit cas de ré-hab.

Cirage (wax-up en français ;-))

Gain en vertical et en AP (antéro-postérieur)
Disparition de la Cl-2 par callage postérieur et repositionnement mandibulaire.

Prochaine étape, placer cela en bouche (provisoires).

A suivre...(le cas est en cours, faut être patient)
--
Céramik

Options  2  epmjuf - Eugenol

Wolford hm5yx3 - Eugenol
Doc lyonnaise

16/09/2009 à 21h29

Céramik écrivait:
-----------------
Cirage (wax-up en français ;-))
héhéhé

j'ai une question, comment t'as définit ta RC? (relation centrée en français ;-))


Smile beach jgh0a1 - Eugenol
Céramik

16/09/2009 à 23h41

Salut DocL

Ce n'est pas une RC, car une RC implique une position postérieure et compresse les ATM.

Je n'utilise jamais la RC (pas plus que nos patient d'ailleur).

Dans ce cas, il y a perte de DV (dimension verticale) par usure dentaire postérieure et mal-occlusion.


--
Céramik


Wolford hm5yx3 - Eugenol
Doc lyonnaise

16/09/2009 à 23h58

Céramik écrivait:
-----------------
> Salut DocL
>
> Ce n'est pas une RC, car une RC implique une position postérieure et compresse
> les ATM.

çe n'est plus définit comme tel, mais là j'ai pas le temps de causer (y a Dr Mamour à la télé ;-))))) (Dr Sheperd en canadien ;-)


Smile beach jgh0a1 - Eugenol
Céramik

17/09/2009 à 00h07


Quelle est ta définition de la RC (il y en au moins 6 à 8) ?
De toute façon, c'est pas une RC...

--
Céramik


Wolford hm5yx3 - Eugenol
Doc lyonnaise

17/09/2009 à 00h12

il n'avait aucun problème articulaire ton gars? (c'est la pause, j'ai 2 minutes ;-))))


Smile beach jgh0a1 - Eugenol
Céramik

17/09/2009 à 00h20


C'est une patiente...
Avavt ou après les provisoires ?
Avant: difficulté musculaire pour mastiquer, raideurs, limitation de mouvement, fatigue rapide.
Après, non, tout va bien.
Vite, va voir ton beau docteur..avec le doublage, il doit avoir une drôle de voix...

--
Céramik


Grueavatar nptrc9 - Eugenol
Le Choixpeau magique

17/09/2009 à 01h25

Je suppose que Ceramik a monté en OIM puis juste relevé la tige de l'articulateur de quelques crans, j'ai bon ?


Smile beach jgh0a1 - Eugenol
Céramik

17/09/2009 à 02h07


C'est quoi OIM ?

--
Céramik


Grueavatar nptrc9 - Eugenol
Le Choixpeau magique

17/09/2009 à 11h13

Occlusion d'intercuspidie maximale


Wolford hm5yx3 - Eugenol
Doc lyonnaise

17/09/2009 à 14h59


Bon revenons aux choses sérieuses...
la RC est représentée par une coaptation articulaire (la position la plus haute et la plus reculée est passée de mode) dans une position symétrique et une DV (dimension verticale en français ;-)) correcte...
tout ça permettant une détente neuro-musculo-articulaire...
et je ne vois pas comment sans passer par une gouttière, portée 4, 5 semaines, tu peux définir une position articulaire confortable à la dame...


Smile beach jgh0a1 - Eugenol
Céramik

17/09/2009 à 17h01

Le Choixpeau magique écrivait:
------------------------------
> Occlusion d'intercuspidie maximale


Alors, non, tu as faux...
Comment corriger physiologiquement un écart antéro-postérieur, une DV antérieur et postérieur, en relevant de façon subjective une tige sur un articulateur, qui malgré son nom, n'est qu'une penture.

Regarde bien le cirage/wax-up vue de côté.

--
Céramik


Smile beach jgh0a1 - Eugenol
Céramik

17/09/2009 à 17h06

Doc lyonnaise écrivait:
-----------------------

> Bon revenons aux choses sérieux...
> la RC est représentée par une coaptation articulaire (la position la plus haute
> et la plus reculée est passée de mode) dans une position symétrique et une DV
> (dimension verticale en français ;-)) correcte...
> tout ça permettant une détente neuro-musculo-articulaire...
> et je ne vois pas comment sans passer par une gouttière, portée 4, 5 semaines,
> tu peux définir une position articulaire confortable à la dame...


Alors, dit moi comment tu captes tous cela...
et comment tu vérifies que tu as la bonne position ?



--
Céramik


Wolford hm5yx3 - Eugenol
Doc lyonnaise

17/09/2009 à 22h14

Céramik écrivait:
-----------------
> Alors, dit moi comment tu captes tous cela...
> et comment tu vérifies que tu as la bonne position ?


alors,
on fait une gouttière à la dame, gouttière du haut because quand on en fait en bas il semblerait qu'on fait reculer la mandibule -----> pas bien...
voir et revoir la dame pour équilibrer et rééquilibrer la chose...(4, 5 semaines)
un jour, quand tout est ok, enregister la position pour une analyse occlusale....
puis faire des cires de diagnostique (en français ;-))...
t'as fait comment mon p'tit Céramik?



Smile beach jgh0a1 - Eugenol
Céramik

17/09/2009 à 22h32

Doc lyonnaise écrivait:
-----------------------
>>
> alors,
> on fait une gouttière à la dame, gouttière du haut because quand on en fait en
> bas il semblerait qu'on fait reculer la mandibule -----> pas bien...

Pas d'accord avec toi.
Et ta goutièrre, elle la porte 24 h/24h ?
Pour manger ou pas ?
Et tu ne m'a pas dit comment tu détermines la position, pour pouvoir fabriquer la dite goutièrre.

> voir et revoir la dame pour équilibrer et rééquilibrer la chose...(4, 5
> semaines)>
un jour, quand tout est ok, enregister la position pour une analyse occlusale....

C'est quand ? C'est quoi les critères ? Juste : ça va ma p'tite dame ?


> puis faire des cires de diagnostique (en français ;-))...
> t'as fait comment mon p'tit Céramik?

Non, j'ai pas fais comme cela...


--
Céramik


Wolford hm5yx3 - Eugenol
Doc lyonnaise

17/09/2009 à 23h01

t'es de mauvaise humeur toi ;-)...ok je vais plus aimer Mamour, je vais souper avec toi :-P

alors, je t'explique ;-)
la dame elle arrive, on lui fait des modèles d'étude...
ou elle n'a pas de problèmes articulaires, on met en articu comme ça, on cautionne et la vie est belle...
ou ça merdouille là haut, alors là il lui faut une gouttière à la dame (ou un Jig ou un ché pas quoi....) enfin bref on fait faire un gouttière du haut...
la dame elle revient deuxième séance, on a la gouttière, on équilibre de notre mieux, le but: qu'il y ait des contacts antérieurs et qu'il n'y en est pas au niveau des 7...si on peut faire mieux, on fait mieux...donc on cherche des contacts de 13 à 23, au pire de 16 à 26...en excentré on meule tout ce qui gène...
la dame revient 2 jours après, on lui demande de nous indiquer la dent qui touche en premier le matin, au lever, après élimination de la gouttière...
on rééquilibre la gouttière...ceci tous les 2, 3 jours...puis tous les 8 jours...
un jour, (et c'est souvent 5 à 6 semaines plus tard) la mandibule ne bouge plus...à ce moment là y a plus besoin d'équilibrer...
8 jours après on fait l'analyse occlusale/ on fait un enregistrement à l'impression paste, on fait claquer sur la gouttière, on met en articu...(on vérifie si le premier point de contact est bien celui que la dame nous avez indiqué...)
8 jours après on refait pour vérifier...
voilà...c'est mis en articu, le prothé fait le modèle de diagnostique...
et pendant ce temps on va souper tranquillou toi et moi, en tête à tête :-P




Smile beach jgh0a1 - Eugenol
Céramik

18/09/2009 à 00h47

Doc lyonnaise écrivait:
-----------------------

> enfin bref on fait faire un gouttière du haut...

J'ai compris ma belle, mais tu le fais comment ton articulé primaire ? Et je ne suis pas d'accord pour le haut.


> la dame elle revient deuxième séance, on a la gouttière, on équilibre de notre
> mieux, le but: qu'il y ait des contacts antérieurs et qu'il n'y en est pas au
> niveau des 7...si on peut faire mieux, on fait mieux...donc on cherche des
> contacts de 13 à 23, au pire de 16 à 26...en excentré on meule tout ce qui
> gène...
> la dame revient 2 jours après, on lui demande de nous indiquer la dent qui
> touche en premier le matin, au lever, après élimination de la gouttière...
> on rééquilibre la gouttière...ceci tous les 2, 3 jours...puis tous les 8
> jours...
> un jour, (et c'est souvent 5 à 6 semaines plus tard) la mandibule ne bouge
> plus...à ce moment là y a plus besoin d'équilibrer...
> 8 jours après on fait l'analyse occlusale/ on fait un enregistrement à
> l'impression paste, on fait claquer sur la gouttière, on met en articu...(on
> vérifie si le premier point de contact est bien celui que la dame nous avez
> indiqué...)
> 8 jours après on refait pour vérifier...
> voilà...c'est mis en articu, le prothé fait le modèle de diagnostique...

c'est trop compliqué...et surtout très arbitraire.
Comment tu fais si elle a des problème de craquements ?
Tu n'as pas répondu...elle peut manger avec la gouttière ?

Le but , c'est une position optimale et physiologique.
J'ai ouvert plus en postérieur, qu'en antérieur, et plus d'un côté que de l'autre, et modifié la position antéro-postérieure. J'ai travaillé sur plusieurs axes (d'où l'inutilité de bouger la tige de l'articulateur).
Regarde bien le wax-up.
Tu arrives à cela avec ton truc en haut. Ah oui, ma patiente fonctionne avec 24h/24h, c'est fixe mais 100% réversible.


> et pendant ce temps on va souper tranquillou toi et moi, en tête à tête :-P

Bon, je suis enfin d'accord avec toi ma belle...
Si tu es sage...la suite...
--
Céramik


Wolford hm5yx3 - Eugenol
Doc lyonnaise

18/09/2009 à 22h17

Céramik écrivait:
-----------------
Bon, je suis enfin d'accord avec toi ma belle...
Si tu es sage...la suite...

allez Céramik, j'ai été sage...sers l'apéro 8-)