Cookie Consent byPrivacyPolicies.comOptions de Tx - Eugenol
Smile beach jgh0a1 - Eugenol
Céramik

18/09/2009 à 22h39

Doc lyonnaise écrivait:
-----------------------
> Céramik écrivait:
> -----------------
> Bon, je suis enfin d'accord avec toi ma belle...
> Si tu es sage...la suite...
>
> allez Céramik, j'ai été sage...sers l'apéro 8-)


L'apéro est servi,
Tu dois travailler plus...tu n'as pas répondu...


--
Céramik


Grueavatar nptrc9 - Eugenol
Le Choixpeau magique

19/09/2009 à 01h16

Céramik, je ne comprend pas ce que tu as fait.
Quand tu remontes la dv, tu provoques une rotation postérieure de la mandibule et aggrave la classe II.
Si tu forces la patiente à propulser pour arriver à ce résultat, ça ne parait pas très physiologique pour les articulations, si ?
Dernière possibilité, il semblerait que tu ais aplati la courbe de spee en égressant les couronnes des molaires maxillaires, la rotation antérieure du plan d'occlusion résultante devrait aggraver le surplomb....
N'as-tu d'ailleurs pas remonté ta dv un peu trop, il me semble que tu as une insuffisance de recouvrement.


Smile beach jgh0a1 - Eugenol
Céramik

19/09/2009 à 04h38

Le Choixpeau magique écrivait:
------------------------------
> Céramik, je ne comprend pas ce que tu as fait.
> Quand tu remontes la dv, tu provoques une rotation postérieure de la mandibule
> et aggrave la classe II.
> Si tu forces la patiente à propulser pour arriver à ce résultat, ça ne parait
> pas très physiologique pour les articulations, si ?
> Dernière possibilité, il semblerait que tu ais aplati la courbe de spee en
> égressant les couronnes des molaires maxillaires, la rotation antérieure du plan
> d'occlusion résultante devrait aggraver le surplomb....
> N'as-tu d'ailleurs pas remonté ta dv un peu trop, il me semble que tu as une
> insuffisance de recouvrement.


Voilà de bonnes questions.

Si tu ouvres simplement sur une penture (articulateur), la Cl-2 sera effectivement accentuée. Mais au risque de briser des paradigms, l'articulation n'ouvre pas comme une penture, et il est possible d'ouvrir plus en postérieur qu'en antérieur.
La DV est un peu trop haute ? peut-être.
Mais la DV est l'axe de référence le moins important.
Les axes AP (antéro-postérieur, horizontal ET vertical),
le roulis (hauteur postérieur droite ET gauche), sont plus importants.

Il n'y a pas bcp de surplomb antérieur, car je ne veux pas créer de contact antérieur à cette étape et que je viens de placer des provisoires suite à l'ostéoplastie du segment 13 à 23. La longueur finale des antérieures supérieures sera réevaluée et le surplomb ajusté plus tard, selon la ligne du sourire et la fonction.

La patiente fonctionne très bien actuellement avec ses restaurations de transitions, les ATM vont bien, le profil est nettement mieux, le gummy smile est de bcp dimunié, la tension musculaire est moindre.

Les contacts postérieurs (OC) sont simultanés, égaux et bien centrés.

Les restaurations de transitions sont fixes mais réversibles, c.a.d. que les dents ne sont pas encore taillées. Je peux encore modifié tous les paramêtres.

Une fois le sytème musculaire et articulaire placé (4 à 8 semaines), je prévois placer 28 unités de "Céramik".

A suivre.

--
Céramik


Marque a3 orange fyvhyq - Eugenol
Marc Apap

19/09/2009 à 08h48

Y sont fadas au Canada !


Wolford hm5yx3 - Eugenol
Doc lyonnaise

19/09/2009 à 11h08

soit....et comment t'as mis en articu? et comment t'as définit tes axes, ta DV et tes roulis? (ça veut dire quoi roulis? :-)))
M.P pour choipeaux, t'as vu, le canadien, il ose dire que "The one and only" Letexier il fait de l'arbitraire, pfffffffffff


Smile beach jgh0a1 - Eugenol
Céramik

19/09/2009 à 16h14

Marc Apap écrivait:
-------------------
> Y sont fadas au Canada !

Façon de dire que tu n'y comprends rien...

C'est pas grave, de toute façon faire une re-hab c'est pas ton truc (comme les implants et l'esthétique), je te laisse volontier faire tes amalgames tranquillement...


--
Céramik


Marque a3 orange fyvhyq - Eugenol
Marc Apap

19/09/2009 à 16h21

Non non, Céramik, tu n'y es pas du tout.
Je trouve qu'il faut etre fada pour accepter de se faire mettre 28 éléments céramique et fada pour trouver normal d'avoir à les proposer, surtout quand on voit de quoi tu pars.



Grueavatar nptrc9 - Eugenol
Le Choixpeau magique

19/09/2009 à 16h23

Ceramik, j'ai pas compris ton histoire d'ouverture plus importante en postérieur, comment as-tu fait concrètement pour corriger ton surplomb (overjet ?).
Aurais-tu des photos ou une explication de tes restaurations provisoires sans taille ? Sont-ce des onlays en résine ?


Smile beach jgh0a1 - Eugenol
Céramik

19/09/2009 à 16h32

Marc Apap écrivait:
-------------------
> Non non, Céramik, tu n'y es pas du tout.
> Je trouve qu'il faut etre fada pour accepter de se faire mettre 28 éléments
> céramique et fada pour trouver normal d'avoir à les proposer, surtout quand on
> voit de quoi tu pars.
>
>

Bon regardons la situation :
un vieux pont brisé , perte d'une dent, des CCM de 20 ans avec joints partout, des montagnes d'amagames brisés,des caries un peu partout, une perte de DV général avec attrition et des problèmes de fonction. Des endo non couronnées. Ah oui, la dame rêve d'avoir un jour de belles dents (mais ça c'est pas important).

Proposer autre chose relève de l'ignorance ou du manque de vision global. Ne pas le faire, OK, mais ne pas diriger ou pire critiquer ceux qui peuvent le faire...je reste poli.

--
Céramik


Casque beotien a3jo39 - Eugenol
beotien

19/09/2009 à 16h36

,


Marque a3 orange fyvhyq - Eugenol
Marc Apap

19/09/2009 à 16h37

Désolé, décrit comme ça, je peux comprendre. Mais ce n'est pas ce qui apparait sur les moulages, donc tu peux également comprendre ma réaction.
Je ne critique pas du tout tes capacités techniques, ce n'est pas le problème.
Par ailleurs, je m'interroge quand meme sur la pertinence de couvrir les incisives inférieures, qui sont le plus souvent indemnes (mais je pense que c'est pour relever la DV n'est-ce pas ?).


55 s2ba7n - Eugenol
Sid

19/09/2009 à 17h17

Céramik écrivait:
-----------------
>
>
> Proposer autre chose relève de l'ignorance ou du manque de vision global.


Et c'est beaucoup plus peinard...

Ne pas
> le faire, OK, mais ne pas diriger ou pire critiquer ceux qui peuvent le
> faire...je reste poli.
>

Classique.


1 p3qrc4 - Eugenol
Bjc.

19/09/2009 à 17h41

Tu as commencer par une palpation musculaire, masséters, temporaux, ptérigoïdiens etc… tu as propulsé, mis des cales de surélévation en bouche, testé en kinésiologie, enregistré les positions de confort trouvées, et monté en articulateur pour réaliser les provisoires en set-up
???

@+ Bjc.



Smile beach jgh0a1 - Eugenol
Céramik

19/09/2009 à 18h32

Bjc. écrivait:
--------------
> Tu as commencer par une palpation musculaire, masséters, temporaux,
> ptérigoïdiens etc… tu as propulsé, mis des cales de surélévation en bouche,
> testé en kinésiologie, enregistré les positions de confort trouvées, et monté en
> articulateur pour réaliser les provisoires en set-up
> ???
>
> @+ Bjc.
>
>


C'est presque cela. ;-)
Très bien, je ne suis pas si seul...
D'ailleur, cette façon de faire existe depuis pas mal de temps, juste pas à la mode, car pour des cas plus complexe.

Les ant inf sont en mal position, usées et pas très jolies.
Je place des facette sans tailler l'incisif, car j'ouvre la DV. Même chose sur les molaires Q4, que des onlays, pas de taille agressive. Pour les autres Quadrant, et bien, il y a 2 implants, des vieilles CCM et des amalgames de 10 kilos, allors, forcement tailles. Mais pas d'endo en vue, vive le collage.

J'ai des cas simillaires de 5 ans, tous sans problème (pas d'endo, pas de dysfonction ATM, pas de recidive de bruxisme, pas de perte de DV, pas de casse de céram).
il y plus de casse dans les cas où on ne gère pas l'ensemble de l'occlusion.


Bon week-end à tous, je sors de la ville 2 jours.

--
Céramik


Wolford hm5yx3 - Eugenol
Doc lyonnaise

19/09/2009 à 20h05

Céramik écrivait:
-----------------
> Bon week-end à tous, je sors de la ville 2 jours.


pfffff


Bul

19/09/2009 à 22h28

si les orthos se mettent à faire de l'occlusion maintenant ...


Smile beach jgh0a1 - Eugenol
Céramik

21/09/2009 à 17h43

Bul écrivait:
-------------
> si les orthos se mettent à faire de l'occlusion maintenant ...
>


C'est quand ils n'en font pas que les récidives s'installent...

Preuve qu'ils n'en font pas assez: les contentions à vie, qui sont la même chose que des récidives cachées.

si le tx est bon, le système est en équilibre, donc pas besoin de contention....

Mais c'est un autre débat pour un autre fil
Si tu veux, débute un fil en "ortho"


--
Céramik


Smile beach jgh0a1 - Eugenol
Céramik

10/10/2009 à 04h13

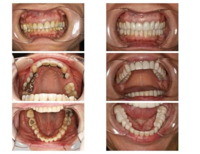
1 mois plus tard, la suite...
Photo de départ, pour vous aider.
Photo des tempos (haut et bas) avec la nouvelle occlusion, après 4 semaines en bouche.

Les 6 tempo sur les ant. sup. ont été placées après la chirurgie parodontale et la dépose des anciennes couronne il y a 4 mois.

Pas de commentaire sur l'esthétique des tempo du bas et post. haut : on voit les racines et les vieilles restauration au travers, normal, il n'y a pas eu de taille. Aussi des détails de formes à corriger avec les céramiques, à ce stade, aucune importance.


Commentaires de la patiente : que du positif (adaptation facile, fonction, aspect du visage + profil nettement mieux, musculature plus détendue).

Dans 1 mois, je taille et place le haut en céramique, en 2 rdv. Puis attente de 4 semaines pour re-vérifier l'occlusion en 3D avec le bas en "tempo", et taille et pose du bas, en 2 rdv.

Autres photos dans 2 mois environ ...



--
Céramik

Montage 2 - Eugenol

1 p3qrc4 - Eugenol
Bjc.

11/10/2009 à 06h20

salut,

O.K.
on sait que le 1° mouvement d’ouverture de la Md. est un mouvement d’abaissement simple
dans les cas de S.A.D.A.M. on sait aussi qu’il faut surélever en Post. pour permettre au ménisque de se repositionner, parfois surélever plus d'1 coté que de l'autre
jusqu’à présent on n’avait que des tests opérateur-dépendant
donc tu fais comment pour réaliser tes provisoires?

@+ Bjc.


Smile beach jgh0a1 - Eugenol
Céramik

11/10/2009 à 18h10


Tu veux la réponse technique (collage machin) ou bien paramêtre d'occlusion ? ;-)

J'utilise pour la DV un analyse en temps réel et en 3D des mouvements de la machoire et des EMG musculaires. Ceci après évaluation des ATM, ménisques, de l'esthétique, etc.

Je trouve la zone de repos, et détermine mon occlusion. Ensuite cirage (voir début du fil) et transfert en bouche (haut et bas). Période d'évaluation 4-8-12 semaines, selon la condition initiale et résultats ATM, musculaire.
En générale, les muscles se placent en 4 semaines, l'ATM et les craquements en 4-6 semaines. Ensuite j'attend, sans ajustement 4 semaines, et je taille, car les tempo sont placés sans taille.


--
Céramik


200106 10150128247663588 709988587 6466236 5598391 n d7mksb - Eugenol
hallboy

11/10/2009 à 18h29

quel type de desengrainement en lateralité et en pro?


Smile beach jgh0a1 - Eugenol
Céramik

11/10/2009 à 19h41

Salut halboy,
tu peux préciser ta question...
merci


--
Céramik


200106 10150128247663588 709988587 6466236 5598391 n d7mksb - Eugenol
hallboy

11/10/2009 à 19h49

protection canine? balancé? bi balancé?

guide incisif? pas guide incisif


Amibien

11/10/2009 à 20h04

Céramik écrivait:
-----------------

Disparition de la Cl-2 par calage postérieur et repositionnement mandibulaire.


Oui et la patiente va s'arrêter de grincer les dents dans la foulée...

Cette façon de voir les choses purement mécanique me fait sourire.

La première question qui se pointe dans mon esprit est de savoir comment la patiente s'est retrouvée dans cette situation ? J'ai la réponse et aussi la solution au problème mais vous ? Jusqu'ici je ne la trouve pas dans vos posts. (;-))


Smile beach jgh0a1 - Eugenol
Céramik

11/10/2009 à 20h50

Amibien écrivait:
-----------------
> Cette façon de voir les choses purement mécanique me fait sourire.

Je ne pense pas faire cela de façon mécanique, mais physiologique, nette différence.


> La première question qui se pointe dans mon esprit est de savoir comment la patiente s'est retrouvée dans cette situation ?

A 50 ans, avec un gummy smile, mal-occlusion type cl-2, usure occlusale,compensation, problèmes musculaires.
Éthiologie génétique, respiratoire, multi-factorielle ?
Et bien, tu nous éclaires avec tes idées ?


> J'ai la réponse et aussi la solution au problème mais vous ? Jusqu'ici je ne la trouve pas dans vos posts.
(;-))


Comme souvent, tu ne dis rien...de concret.
Je t'invite à partir un fil, avec un beau cas similaire, fait à ta façon. Donne nous des photos, ton évaluation, tes étapes de traitements, et le résultat.
Ainsi, on pourra échanger de façon constructive, et tu pourras enfin nous montrer quelque chose.


--
Céramik