Cookie Consent byPrivacyPolicies.comj'obeis ou pas? - Eugenol

j'obeis ou pas?

Casque beotien a3jo39 - Eugenol
beotien

03/10/2009 à 15h25

patiente envoyée pour ex° de 26 par un neurologue
souffre depuis 18mois, le bridge à 2ans

1 je dépose et je tente de la soigner
2 j'enlève et je plante

la patiente veut 2 car depuis 18mois a vu ORL OPHTALMO passée irm et scanner diagnostique rien sur le trijumeau!

De1 aizezb - Eugenol
De11 acrbub - Eugenol

Marque a3 orange fyvhyq - Eugenol
Marc Apap

03/10/2009 à 16h05

Déjà, les couronnes me paraissent bien débordantes
Deuxièmement, je ne vois pas de traitement canalaire sur ces dents. Peut etre souffrent elles de pulpite chronique
Peut etre qu'on résoudra les problèmes en posant des implants à la place.
Mais peut etre que ce sera la meme histoire que celle du fou qui dit aux puces de sauter et qui, une fois leur avoir arraché les pattes, déclare qu'elles sont sourdes parce qu'elle ne répondent plus à ses ordres.
En d'autres termes : si on ne résout pas chaque problème séparément, on peut aboutir à des conclusions erronées, quand bien meme le problème global sera résolu.
Reste que le cout du traitement n'est pas le meme dans les deux cas.


Rorschachwhite tx6rqr - Eugenol
Candide Candida

03/10/2009 à 17h13


Quel est le diagnostic du neurologue ?

Parce que "douleur" n'est pas un diagnostic, "extraction" n'est pas un diagnostic, et "bridge depuis deux ans non plus".

Perso, je "n'obéis" jamais à ce type de courrier, si je n'adhère pas à 100% au diag/prono/plan de tt du praticien qui me l'envoit.

(je suis d'autant plus à l'aise que je ne doute pas un instant qu'il ou que la patiente trouvera XK confrères pour faire l'exo sans se poser de questions)

On peut aussi perforer les couronnes en occlusal et faire test thermiques ou au fraisage pour valider une éventuelle nécrose, si c'est le cas il n'est pas trés compliqué d'élargir la cavité d'accès pour enchaîner sur le traitement canalaire, le plus difficile est surement de contourner l'avis du "spécialiste" qui sonne comme définitif aux oreilles du patient (alors que notre formation paramédicale bien connue ne pèse pas lourd dans ces cas là) et qui donnait au patient l'espoir de ne plus souffrir.

Il est toujours temps d'extraire 1 semaine après la bio si la douleur persiste : 1 semaine <> 18 mois ^^

CC.


3f3boxni50k58rq7e9ce9ddqrxgk - Eugenol
dentiste57

03/10/2009 à 17h15

+1 avec Marc

à ta place je reverrai le TR de la prémolaire.


Casque beotien a3jo39 - Eugenol
beotien

03/10/2009 à 18h05

je suis ok avec toi candide candida
sauf un point je vais commencer par déposer le bridge
car il peut y avoir une surocclusion depuis le début et je devit les deux (sans digue)

je ne me prononce jamais sur les diag des confreres spé ou pas
mais je fais ce que je décide si pas ok tant pis

j'y suis allé gentiment car elle a le meme de l'autre coté sans douleurs, et 4000 roros pour 2ans faut pas envenimer le débat


S2y2o1v7q53ws4r5wy6ou8czrpom - Eugenol
pxav

03/10/2009 à 18h14

dentiste57 écrivait:
--------------------
> +1 avec Marc
>
> à ta place je reverrai le TR de la prémolaire.
et +1
et je commencerais par traiter les deux avant de songer à les extraires.

--
xbk


Casque beotien a3jo39 - Eugenol
beotien

03/10/2009 à 18h47

pxav écrivait:
--------------

> et je commencerais par traiter les deux avant de songer à les extraires.
>
ben he oh eh c'est qu'est ce que j'ai dit!


Marque a3 orange fyvhyq - Eugenol
Marc Apap

03/10/2009 à 19h14

Et ne te gêne pas pour éliminer le surplomb méchamment débordant de l'obturation coronaire en distal de 47


Blondie

03/10/2009 à 19h25

La douleur est elle vraiment d'origine dentaire? Localisée uniquement sur la 26?
Une AL soulage t-elle la patiente temporairement?
Ou peut etre le neuro veut s'en débarasser...


Casque beotien a3jo39 - Eugenol
beotien

03/10/2009 à 20h45

Blondie écrivait:
-----------------
> La douleur est elle vraiment d'origine dentaire? Localisée uniquement sur la 26?

une surocclusion a moyen terme peut provoquer ce type de douleur

> Une AL soulage t-elle la patiente temporairement?

je suppose qu'une retro tuberositaire la soulagerait mais....
que veux tu qu'une locale m'apporte au niveau diag sur 1H30


> Ou peut etre le neuro veut s'en débarasser...

Possible mais elle n'a pas l'air psy.



Blondie

03/10/2009 à 20h54

beotien écrivait:
-----------------

> je suppose qu'une retro tuberositaire la soulagerait mais....
> que veux tu qu'une locale m'apporte au niveau diag sur 1H30

Bah, pour un diagnostic differentiel avec une douleur d'origine plus centrale. Confirmer la douleur alvéolo-dentaire vraie, (mais je te parle pas d'une loco-régionale tubérositaire), les douleurs à la percu persistent-elle avec l'AL.


> Possible mais elle n'a pas l'air psy.

J'ai ne pas dit ca.


Casque beotien a3jo39 - Eugenol
beotien

03/10/2009 à 21h11

blondie
toi a ma place hier, hier en premiere intention tu faisais une al a cette patiente?
moi pas, mais bon ok on fait

dis moi comment tu geres le resultat


Marque a3 orange fyvhyq - Eugenol
Marc Apap

03/10/2009 à 21h28

L'anesthésie sert de test diagnostique. Si la douleur disparaît après une anesthésie locale, c'est que son origine est locale. Cela peut être rassurant, même si ça ne nous dit pas si c'est lié à
une surocclusion
une inflammation parodontale
une inflammation pulpaire sur une ou les deux dents (faire une anesthésie sur la 24 d'abord et ensuite la 26. Dans le cas contraire, l'anesthésie de la 26 a un effet sur la 24 également)
une nécrose pulpaire avec infection sur une ou deux dents


Blondie

03/10/2009 à 21h50

Béotien > Le résultat dépendra du diagnostic une fois ce dernier posé. On parlais jusque la de la démarche diagnostique (que Marc Apap a d'ailleurs bien mieux résumé).
Ceci dit j'admet que c'est une situation délicate surtout pour un permier rendez vous. On est sur un forum la, c'est facile, au cabinet j'aurais été certainement bien désemparé devant le courrier du neuro. Je le reconnais volontier.


55 s2ba7n - Eugenol
Sid

03/10/2009 à 22h29

Marc Apap écrivait:
-------------------

> Reste que le cout du traitement n'est pas le meme dans les deux cas.


A part ça qui t'a échappé ;-) (tu ne peux pas t'en empêcher!!!) j'adhère à ce que tu as écrit.


55 s2ba7n - Eugenol
Sid

03/10/2009 à 22h36

beotien écrivait:
-----------------
> patiente envoyée pour ex° de 26 par un neurologue


Le neurologue a vraiment défini le traitement dentaire de cette façon?


55 s2ba7n - Eugenol
Sid

03/10/2009 à 22h40

beotien écrivait:
-----------------
>
> souffre depuis 18mois, le bridge à 2ans
> ....
> depuis 18mois a vu ORL OPHTALMO passée irm et scanner
> diagnostique rien sur le trijumeau!


Et elle n'a pas revu son dentiste avant tout ces spécialistes qui attendent dix-huit mois pour avoir une idée qui aurait dû être celle de départ?


Casque beotien a3jo39 - Eugenol
beotien

03/10/2009 à 22h57

Blondie écrivait:
-----------------
> Béotien > Le résultat dépendra du diagnostic une fois ce dernier posé. On
> parlais jusque la de la démarche diagnostique (que Marc Apap a d'ailleurs bien
> mieux résumé).
> Ceci dit j'admet que c'est une situation délicate surtout pour un permier rendez
> vous. On est sur un forum la, c'est facile, au cabinet j'aurais été certainement
> bien désemparé devant le courrier du neuro. Je le reconnais volontier.

le Courrier du neuro!!!! il donne son opinion mais dès que je vais y toucher cette dent va devenir mon problème
Sur le coup Marc Apap a raison sous al je suis certain que la douleur va disparaitre, car la patiente va focaliser sur cette dent, mais
1 je ne serais guere plus avancé
2 10/10, la patiente va au tribunal, contre le confrere, car elle n'en "démorderas plus", depuis 18mois elle souffre à cause du bridge

Ce n'est pas ce que je veux, et cela n'enlevera pas la douleur,
pourtant mutiler 2 dents vivantes 24 et 26 pour faire un bridge!!!!!!!!!!!!!!!!!!

Donc j'ai programmé seance d'1 heure pour dépose brigde
je vais devit 26, et la 24 par sécurité je n'ai rien contre les c sur dents vivantes
pose de 2 C resines en legeres sous occ, pas de bridge dans ce cas


Smile beach jgh0a1 - Eugenol
Céramik

03/10/2009 à 23h29

Voilà le risque de faire un bridge vs implant sur deux dents qui au départ n'étaient peut-être pas si mal...
L'os entre 24 et 26 semble très bien en plus.

Bon, on a pas l'image des dents avant le bridge, mais c'est un point à retenir pour vos prochain plan de tx.

Pourquoi dévitaliser les 2 ?
Après 18 mois, tu peux bien dévit. la 26 et voir...

Si tu places en sous occlusion suite dépose et dévitalisation, tu risque problème ATM...aucun callage de ce côté.

D'ailleur, la douleur semble être myofacial et non endodontique. L'occlusion a été ajustée ? Si non, le faire, au pire, tu sais que le bridge est à reprendre. Tu peux même sectionner le bridge, ajusté l'occlusion et revoir.
Ensuite tu dévit. la dent problème, ou les 2.


Aussi, tu peux placer 2 couronnes tempo (avec ou sans dévit, selon ton Dx).
Plus tard, tu poses un implant, et 3 couronnes.

Laisse nous savoir la suite.

--
Céramik


Casque beotien a3jo39 - Eugenol
beotien

04/10/2009 à 01h06

Céramik écrivait:
-----------------
> Voilà le risque de faire un bridge vs implant sur deux dents qui au départ
> n'étaient peut-être pas si mal...
> L'os entre 24 et 26 semble très bien en plus.
> Bon, on a pas l'image des dents avant le bridge, mais c'est un point à retenir
> pour vos prochain plan de tx.


+1 avec toi


D'ailleur, la douleur semble être myofacial et non endodontique. L'occlusion a
> été ajustée ? Si non, le faire, au pire, tu sais que le bridge est à reprendre.

Laisse nous savoir la suite.
>
> Céramik

demain je chasse, mais lundi, je vais prendre le temps de modeliser le scan, pour controler les apex


Prod 1280 mscsgu - Eugenol
Jean59

05/10/2009 à 13h58

Je me permets une question peut-être un peu stupide, mais pourquoi a-t-elle consulté un neuro pour des douleurs s'exprimant au niveau dentaire ?
Connais-tu l'origine de sa démarche ?


Casque beotien a3jo39 - Eugenol
beotien

05/10/2009 à 20h44

Jean59 écrivait:
----------------
> Je me permets une question peut-être un peu stupide, mais pourquoi a-t-elle
> consulté un neuro pour des douleurs s'exprimant au niveau dentaire ?
> Connais-tu l'origine de sa démarche ?

à l'anamnèse elle me dit avoir mal depuis 18 mois que cela vient de sa dent,mais qu'elle a mal sur le coté
confrère revu plusieurs fois
envoyé chez orl puis ophtamalmo puis neurologue

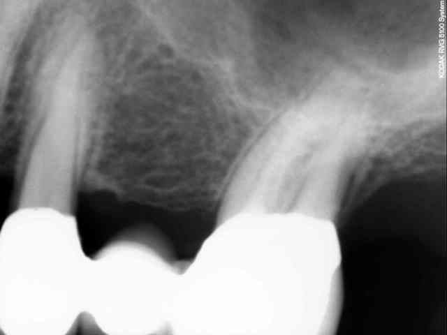
D24 rgausa - Eugenol
D 26 mhs0px - Eugenol

Blondie

08/10/2009 à 23h00

J'avoue ne pas trop comprendre ta démarche...
Tu as l'air de vouloir fermer les yeux sur l'origine de la douleur en devitalisant "par principe de sécurité" les 2 dents et à coté de cela tu modélises les apex... Par cet examen tu cherches à objectiver quoi exactement?
A mon sens, les deux clichés de ton précédent post n'apportent pas grand chose.

Sinon d'accord pour les implants vs bridge...


Casque beotien a3jo39 - Eugenol
beotien

09/10/2009 à 01h28

Blondie écrivait:
-----------------
> J'avoue ne pas trop comprendre ta démarche...
> Tu as l'air de vouloir fermer les yeux sur l'origine de la douleur en
> devitalisant "par principe de sécurité" les 2 dents et à coté de cela tu
> modélises les apex... Par cet examen tu cherches à objectiver quoi exactement?
> A mon sens, les deux clichés de ton précédent post n'apportent pas grand chose.
>
> Sinon d'accord pour les implants vs bridge...

je recois un scan , je regarde tout simplement si pbs au niveau des apex!Il n'y a rien de particulier
je vais déposer le bridge et mettre 2 provisoires en ss occlusion
je regardais aussi si les dents etaient saines avant le bridge
c'est qd même dommage de délabrer 2 dents pour faire un bridge

marc apap pour la question "cout" un bridge 3 éléments ccm à 2000€ sur dents saines comme ce cas ou 1 implant?

je vous tiens informer dès que je la revois


Casque beotien a3jo39 - Eugenol
beotien

16/10/2009 à 13h25

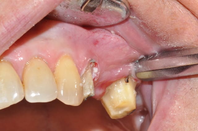
patiente revue ce matin
depose du bridge existant sous AL
et empreinte pour provisoire résine en sous occlusion

premiere réaction de la patiente bridge déposé
"çà ma change mes dents de devant, je mords plus pareil"

Photod5000 029 hffuoz - Eugenol
Photod5000 028 sdpsjk - Eugenol

12