Cookie Consent byPrivacyPolicies.comj'obeis ou pas? - Eugenol

j'obeis ou pas?

Casque beotien a3jo39 - Eugenol
beotien

20/10/2009 à 18h54

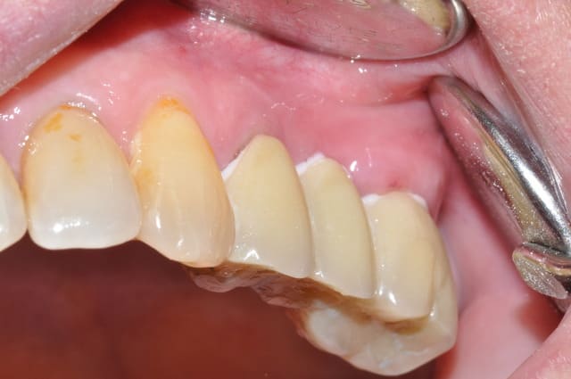
test sensibilité au froid les 2 sont vivantes
l'autre jour j'avais déposé sous AL
je rassure les puristes la photo a été faite pendant la prise du ciment temporaire

a l'interrogatoire elle sent son bridge coté droit qu'elle ne sentait pas avant
on verra l'évolution mais je pense que les douleurs vont s'estomper
que proposez vous pour reconstruire?

Photod5000 001 ojmwcs - Eugenol

Smile beach jgh0a1 - Eugenol
Céramik

20/10/2009 à 19h30

Tu veux savoir quoi ? Type de matériel ?
Tu places quoi dans ta bouche ?
Du CCM précieux? Du Zircone ? Du CCM basique ?

Si tu veux des options, et bien implant + 2 couronnes dans ma bouche. J'aime pas les bridges. Mais ceci n'engage que moi, ton patient peut vouloir un bridge VS implant...c'est son choix ultimement, mais peut importe les coûts, tu lui offres les 2 choix.



--
Céramik


12