Cookie Consent byPrivacyPolicies.com1er cas clinique, vous faites quoi? - Eugenol

1er cas clinique, vous faites quoi?

Gonzo k0qhwz - Eugenol
matten

14/10/2009 à 13h24

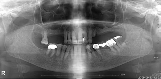
Pour ce cas, au maxillaire, la patiente a accepte un devis de 3500€ pour un complet sur barre avec 4 implants.

sur la deuxieme photo, j'ai notifie des longueurs approximatives pour les epaisseurs d'os disponibles.

Que pensez vous d'un all on 6 avec les 6 anterieurs ?


Ps: la patiente n'a pas forcement les moyens de faire un bridge sur 8 implants...


Ah oui aussi pendant qu'on y est il faudrait qu'on m'explique pourquoi les boutons pressions sont contre indiques au maxillaire alors que la solution de mini-impalnts de imtec (appartenant à 3M donc c'est pas des rigolos) les utilise (6implants au maxillaire, 4 a la mandibule)

Boi1 suvfto - Eugenol
Boi2 vdqzqt - Eugenol

alhoun

14/10/2009 à 13h33

tu m'étonne qu'elle accepte!!
à moins de 7500 euros, tu en es de ta poche!


Gonzo k0qhwz - Eugenol
matten

14/10/2009 à 13h37

non ca va t'inquiete pas on a pas les memes frais c'est tout : )


Rorschachwhite tx6rqr - Eugenol
Candide Candida

14/10/2009 à 13h38

Euh .... +1 Alhoun !

Tu as fait faire un devis labo + liste du matériel avant ?

CC.

Edit : ok alors .... désolé.


Gonzo k0qhwz - Eugenol
matten

14/10/2009 à 13h57

et niveau all on 6 vous en pensez quoi? (à 6000€ : ))


S2y2o1v7q53ws4r5wy6ou8czrpom - Eugenol
pxav

14/10/2009 à 14h38

matten écrivait:
----------------

> Et niveau all on 6 vous en pensez quoi? (à 6000€ :))

Ben ça fait 6 implants à 1000 €, ce qui est très correct.

Par contre tu offre les matériaux de comblements, tu ne comptes pas les vis de cicatrisations, ni la barre, ni la prothèse...
nombreux sont les dentistes qui tirent les prix vers le bas pensant que les frais ils sont "gérables".

J’en connais qui sont à 650€ l'implant, et remise 50% si plus de 2, tout va bien la voiture est sympa, la maison géniale, et puis un jour, une légère baisse d'activité, et les charges qui n'étaient pas si bien prévues que ça...... et l'angoisse...

Sans être débile, ni peureux, ni outrancier, un complet du haut sur 6 implants, avec barre se chiffre de 10 000€
à 15 000 voir plus si besoins de mat. et ou de techniques particulières.

Bien sur il est possible quand on apprend, de faire du prix coutant, mais ce n'est pas la norme.

Le patient de D57 va nous couter des roros à tous les deux, mais lui apprend et moi je me fais et fais plaisir.

un petit détails, enfin juste une petite question qui m'est venue à l'esprit en regardant tes panos, c'est le patient qui est demandeur, et bien sur tu lui a expliqué avec sagesse que dans l'implanto, il y a un risque d'echec?
donc tu as prévu un plan B?
parce que quelques fois, pour une raison X, les implants ne marchent pas et .........
--
xbk


Blason dql7mj - Eugenol
growler

14/10/2009 à 14h59

matten écrivait:
----------------
> non ca va t'inquiete pas on a pas les memes frais c'est tout : )


parle pas du prix alors.


mais puisqu'on en parle maintenant, avec des frais normaux de cabinet liberal je facture au minimum 8700 minimum pour un "tout sur six" et 7615 pour un complet sur barre.




Smile beach jgh0a1 - Eugenol
Céramik

14/10/2009 à 15h56

Le "tout sur 6" @ 8700 euro, c'est un tranvissé en résine, avec barre métal ??

Chez moi, c'est 10,000 euro (transvissé ou sur barre)
Si en métal-porcelaine ou zirconu (et oui possible), c'est 50% de plus.
--
Céramik


Casque beotien a3jo39 - Eugenol
beotien

14/10/2009 à 16h31

pxav disait
J’en connais qui sont à 650€ l'implant, et remise 50% si plus de 2, tout va bien la voiture est sympa, la maison géniale, et puis un jour, une légère baisse d'activité, et les charges qui n'étaient pas si bien prévues que ça...... et l'angoisse...

je le connais tres bien ce type!!!!
mais c'est 650€ les 3 premiers et 500€ a partir du 4eme
il ne fait jamais les devis ce sont les assistantes qui s'en chargent, mais le all on 6 et encore moins on 4, suis sûr qu'il le fera pas.
l'assurance du cls est payée et les 7000 litres de fioul budgété
baisse d'activité il voudrait bien, et au pire il augmentera ses tarifs.
chaque cas et chaque contexte est particulier, et je ne pense pas que sur le forum vous le verrez dire qu'il a raison de pratiquer ainsi


S2y2o1v7q53ws4r5wy6ou8czrpom - Eugenol
pxav

14/10/2009 à 17h44

beotien écrivait:
-----------------
> pxav disait
> J’en connais qui sont à 650€ l'implant, et remise 50% si plus de 2, tout va bien
> la voiture est sympa, la maison géniale, et puis un jour, une légère baisse
> d'activité, et les charges qui n'étaient pas si bien prévues que ça...... et
> l'angoisse...
>
> je le connais tres bien ce type!!!!

tu as tout faux ce n'est pas toi , même si tu es dans les pas chers, je change ton benef contre le mien quand tu veux (et tu continu à payer tes impots....)
salut Beotien vieux parano...(-:))
--
xbk


gianni

14/10/2009 à 18h29

Oui ba tout ça ça répond pas à la question: que faire comme plan de traitement?
Pourquoi veux tu faire un complet en haut?
( c'est juste pour comprendre et non une critique!)


Gonzo k0qhwz - Eugenol
matten

14/10/2009 à 19h24

sur 3500€ du devis, la patiente en a pour 1000€ de sa poche et c le max pour elle


3f3boxni50k58rq7e9ce9ddqrxgk - Eugenol
dentiste57

14/10/2009 à 20h01

alhoun écrivait:
----------------
> tu m'étonne qu'elle accepte!!
> à moins de 7500 euros, tu en es de ta poche!

c'est un peu vrai ça, si tu fais faire une barre coulée par ton proto , il te la facturera environ 800 à 900€. (c'est déjà moins que les 1500 que demande nobel)
à cela il te faut ajouter tout le reste. tu devrai demander un devis à ton proto pour des gros cas comme ça car, même si tu fais ça pour te faire plaisir, il faut que tu saches que tu vas en avoir pour quelques heures de boulot au cabinet et rien que pour la prothèse!

bon courage sinon!
6 implants en haut, c'est quand même plus sure.
c'est un beau cas que tu nous montres là, vivement les photos.


3f3boxni50k58rq7e9ce9ddqrxgk - Eugenol
dentiste57

14/10/2009 à 20h14

matten écrivait:
----------------
> sur 3500€ du devis, la patiente en a pour 1000€ de sa poche et c le max pour
> elle

je comprends très bien ta démarche, elle est très honorable, mais tu dois vraiment reconsidérer ce tarif à la hausse, car même en ayant peu de frais tu vas à coup sure y être de ta poche. maintenant, c'est vrai qu'il y a un prix à payer pour apprendre, mais il doit pas être au dessus de celui de tes frais de prothèse et fourniture.
pour exemple, le premier complet sur barre et résine, je l'ai facturé 5000 et j'en avais pour 3400 de frais de prothèse et pièces divers plus beaucoup d'heures de travail (uniquement en prothèse), alors même si je travail lentement...

au fait, que poses tu comme implants ?


S2y2o1v7q53ws4r5wy6ou8czrpom - Eugenol
pxav

14/10/2009 à 20h32

dentiste57 écrivait:
--------------------
> matten écrivait:
> ----------------
> > sur 3500€ du devis, la patiente en a pour 1000€ de sa poche et c le max pour
> > elle
>
> je comprends très bien ta démarche, elle est très honorable, mais tu dois
> vraiment reconsidérer ce tarif à la hausse, car même en ayant peu de frais tu
> vas à coup sure y être de ta poche. maintenant, c'est vrai qu'il y a un prix à
> payer pour apprendre, mais il doit pas être au dessus de celui de tes frais de
> prothèse et fourniture.
> pour exemple, le premier complet sur barre et résine, je l'ai facturé 5000 et
> j'en avais pour 3400 de frais de prothèse et pièces divers plus beaucoup
> d'heures de travail (uniquement en prothèse), alors même si je travail
> lentement...
>
> au fait, que poses tu comme implants ?

+1
je ne connais qu'un clown qui à 3500€, gagne sa vie (un tout petit peu...), mais il se debrouille pour trouver les implants, et le biomat,pour de la démo, et il a deux "chinois" à la cave qui lui font la prothese...

Rien qu'un Du d'implanto ça coute un bras, alors faut pas rever, ce n'est pas au CD de payer mais au patient.

au fait pourquoi un complet du haut?
--
xbk


2013 03 05 16.04 - Eugenol
styves

14/10/2009 à 20h59

bonsoir

quitte à faire des économies ,pourquoi pas une prothèse totale immédiate après extraction et une définitive après cicatrisation? à moins que la sustentation et la rétention ne soit insuffisante ?


3f3boxni50k58rq7e9ce9ddqrxgk - Eugenol
dentiste57

14/10/2009 à 21h18

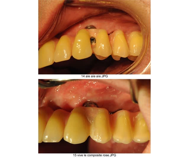
comme on apprends beaucoup de ses erreurs mais aussi un petit peu de celles des autres, je t'envoie justement les photos de mon premier all on 6 .
tu trouvera sans difficultés où j'ai merdé à l'époque.

Planche contact 004 owssb3 - Eugenol
Planche contact 005 amkylq - Eugenol
Planche contact 001 r8g1qu - Eugenol
Planche contact 002 wtveyg - Eugenol
Planche contact 006 tuk35j - Eugenol
Planche contact 003 gu7wna - Eugenol
Planche contact 007 a20acw - Eugenol

Ikimine xg3119 - Eugenol
ikimine

14/10/2009 à 22h36

et moi je vous dis si c'est vraiment votre premier cas "il y'a mieux pour commencer"


S2y2o1v7q53ws4r5wy6ou8czrpom - Eugenol
pxav

14/10/2009 à 22h39

ikimine écrivait:
-----------------
> et moi je vous dis si c'est vraiment votre premier cas "il y'a mieux pour
> commencer"

pourquoi, c'est le dentiste qui finance et de toutes façons le patient ne va pas les garder ses dents, enfin pas longtemps.
ok je sors!

--
xbk


romdenice

15/10/2009 à 01h11

complet su barre au maxillaire......50% d'échecs à 5 ans. A proscrire.


Smile beach jgh0a1 - Eugenol
Céramik

15/10/2009 à 01h19

romdenice écrivait:
-------------------
> complet su barre au maxillaire......50% d'échecs à 5 ans. A proscrire.


Type d'implant ?
Nombres ?
Type de barre, de complet ?
Tu as les références ?

Merci


--
Céramik


3f3boxni50k58rq7e9ce9ddqrxgk - Eugenol
dentiste57

15/10/2009 à 01h19

ça fait longtemps que je cherche des références bibliographique à ce sujet, pourrais tu nous en dire plus ?


Gonzo k0qhwz - Eugenol
matten

15/10/2009 à 01h31

Ca serait mon premier cas de bridge complet sur implants.

Et je sais pas il me plait ce cas:
patiente motivée et sympa, sourire pas du tout gingival, de l'os assez bien exploitable (un peu moins du cote de 25-26, mais je vais me débrouiller soit avec implants courts 6 ou 8mm, soit avec une Summers et poser des 10mm)

Niveau nombre d'implants , je vais plutôt tabler soit sur 8 ou 9 implants et remplacer de 16 à 26.

Existe t il un systeme de guide chirurgical réalisable apres planification des axes sur pc? pour un budget de 500€, sans acheter une solution de logiciel a plusieurs milliers d'euros ca existe?

Merci


3f3boxni50k58rq7e9ce9ddqrxgk - Eugenol
dentiste57

15/10/2009 à 01h35

contacte posit, je te donnerai ses coordonnées en MP


nolive

15/10/2009 à 09h03

Il existe aussi simplant one shot. La licence du logiciel est pour un seul cas. ça ne doit pas être très cher.


12