Tous les forums
mes reflexions sur les Bk. ?, les fils ...
15 154
79
Phil Amant
28/10/2009 à 16h22
Bjc. écrivait:
--------------
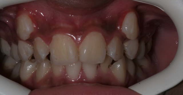
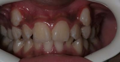
> c’est la fin des extractions de PM. Sup. (entre autre)
>
Sans rire ?
N'oublie pas qu'on est sur un forum public et que certains pourraient le croire !
Phil.