Cookie Consent byPrivacyPolicies.commes reflexions sur les Bk. ?, les fils ... - Eugenol

mes reflexions sur les Bk. ?, les fils ...

Big 6661 chien photos humour chiens chiots  ffzbnu - Eugenol
fred_33

21/10/2009 à 17h42

Peut-on dire que le principe de friction par blocage est valable pour tout type de brackets (conventionnel, autoligaturant passif, autoligaturant interactif)?

Si oui, peut-on dire que les brackets Damon ne présentent pas de frottement jusqu'au 0.019"x0.025" dans le cas de friction par blocage? (je suis toujours d'accord avec une angulation de 0°)


1 p3qrc4 - Eugenol
Bjc.

21/10/2009 à 18h23

ne pas mélanger la friction par ligature qui existera Tjs. et qui est ajouter aux autres frictions

avec la friction due à l’angulation de l’arc dans le Bk.

Donc :

""Peut-on dire que le principe de friction par blocage est valable pour tout type de brackets (conventionnel, autoligaturant passif, autoligaturant interactif)?""

Oui, si angulation de l’arc dans le Bk.

""Si oui, peut-on dire que les brackets Damon ne présentent pas de frottement jusqu'au 0.019"x0.025" dans le cas de friction par blocage? (je suis toujours d'accord avec une angulation de 0°)""

Dans ce cas théorique d’angulation 0° d’arc dans le Bk. Damon, puisqu’on a les 0.003 de jeu, c’est oui
dans le cas d'un arc 20*x28*, c'est non

@+ Bjc.


Grueavatar nptrc9 - Eugenol
Le Choixpeau magique

21/10/2009 à 18h52

Même avec un arc parallèle à la gorge du bracket, je ne vois pas comment on peut dire que la friction est nulle.
Deux plaques parallèles exercent incontestablement entre elles une frictions, c'est le principe qui fait tenir nos couronnes et nos stellites.


Big 6661 chien photos humour chiens chiots  ffzbnu - Eugenol
fred_33

21/10/2009 à 19h28

C'est à mon avis un excès de langage toléré tant la différence de friction est grande entre un bracket conventionnel et un autoligaturant.
Pour avoir une friction nulle, il faudrait que l'arc "gravite" dans la gorge. Or sans contact, pas de déplacement.




1 p3qrc4 - Eugenol
Bjc.

21/10/2009 à 21h12

c'est en effet un exces de langage qui exprime le rapport entre 0.2 gr. et 125.00 gr.
on (je)devrait dire friction négligeable

@+ Bjc.


Big 6661 chien photos humour chiens chiots  ffzbnu - Eugenol
fred_33

21/10/2009 à 21h54

Cette différence de friction permet donc de mettre plus facilement en action des forces faibles.



1 p3qrc4 - Eugenol
Bjc.

21/10/2009 à 21h55

friction négligeable, aussi par rapport à la force exercée sur la dent pour la déplacer, qui à pour réaction une friction

Schwartz nous dit qu’on ne doit pas dépasser 25 gr./cm2

voici un tableau tiré du livre de Le Gall et de ses études, on y voit des différences importantes de surfaces
comment choisir l’arc ?

@+ Bjc.

13 urdxqn - Eugenol

Big 6661 chien photos humour chiens chiots  ffzbnu - Eugenol
fred_33

21/10/2009 à 22h20

Travailler en sectionnel?


1 p3qrc4 - Eugenol
Bjc.

21/10/2009 à 22h46

""Cette différence de friction permet donc de mettre plus facilement en action des forces faibles.""

Là aussi c’est un abus de langage, on dit qu’on applique des forces faibles, mais en réalité ce sont juste les forces nécessaires. on n’as pas à rajouter les 125 gr. (environ)

ceci dans les mouvements de glisse (alignement-nivellement), ce n’est plus valable pour les Mv. de torque

@+ Bjc.


1 p3qrc4 - Eugenol
Bjc.

21/10/2009 à 23h43

Travailler en sectionnel?

OUI !

en haut on a pas besoin, on dispose du Q.H. ou du transpalatin
mais mettre sur un adulte un B.H. ou un Z.H. (en bas), c’est une autre affaire, aussi on travaille en sectionnel pour redresser 36/46 et suivantes
j’y viendrai plus tard

@+ Bjc.


1 p3qrc4 - Eugenol
Bjc.

22/10/2009 à 00h30

ces merveilleux petits arcs austénitiques ne supportent pas les ligatures conventionnelles dans les petites tailles
je remontre l’exemple d’encochage

@+ Bjc.

14 f2nrwp - Eugenol

1 p3qrc4 - Eugenol
Bjc.

22/10/2009 à 03h13

quels sont donc les pièges dans lesquels on peut tomber?

@+ Bjc.


1 p3qrc4 - Eugenol
Bjc.

22/10/2009 à 19h53

Le piège : (ou plutôt la difficulté)

on va commencer par le Max. Sup.
le 1° arc est le plus souvent un 0.014, parfois un 0.013, rarement un 0.012 (Paro)
le 0.014 austénitique délivre une force constante qui est en accord avec les principes de Schwartz pour les 1/2/4/5, mais cette force constante est faible pour les 3 et le 6
la plupart des conférencier présentent un système de dérotation expansion des 6 (Le Gall : la 6 est la canine post) car le 0.014 est trop faible pour agir sur les 6, quoique Bagden y arrive sans, mais c’est Bagden
la 3 aussi est difficile à mobiliser avec un 0.014, et de toute manière, les mouvements seront en retard sur ceux des autres dents

on risque donc une version Ant. indésirable si la musculature labiale est faible, version que l’on aura beaucoup de mal à rattraper par la suite

dans les cas ou la 1 est limite en angulation vestibulaire, je ne colle pas immédiatement de Bk. sur 1 et 2, je fais l’expansion Post, canine comprise et ensuite dans la place gagnée j’aligne les Ant.
je vais jusqu’au 20*x20* austenitique de 3 à 6 et quand je colle les 4 ant. je mets sous le 20*x20* ( non engagé dans la gorge des 4 Bk.Ant.) un arc 0.014 segmenté
quand les 4 Ant. sont presque alignée, je redescend au 16*x16* SE. pour tous les Bk.

@+ Bjc.


1 p3qrc4 - Eugenol
Bjc.

23/10/2009 à 04h20

commentaires:

dans les cas d’encombrement, on a souvent une constriction Post avec une arcade allongée dans le sens Ant.-Post.
on peut se permettre de gagner de la place par version des dents Post., la difficulté est de ne pas exagérer cette version

durant l’expansion, la dent va verser autour de son centre de son centre de gravité, la couronne vers l’extérieur, l’apex un peu vers l’intérieur
il est très difficile de déplacer un apex (faire des mouvements de translation), mais on peut limiter le déplacement de l’apex ad linguam, ou mm ne pas le déplacer en utilisant des arcs carrés le plus tôt possible
c’est ce que font les Bk. inter-actifs. lorsqu’on arrive au 19*x25* avec les passifs, c’est un peu tard,

ce serait encore mieux si les Bk. pouvaient être inter-actifs à partir du 16*x16* avec seulement un jeu de 0.003*
il faudrait un Bk. inter-actif dont le ressort soit à cliquet, et ajustable en fonction de l’arc

je sais qu’il y a des études dans ce sens
les inter-actifs sont déjà un progrès par rapport aux passifs,

@+ Bjc.


Smile beach jgh0a1 - Eugenol
Céramik

23/10/2009 à 04h30

Bjc. écrivait:
--------------
>
>> durant l’expansion, la dent va verser autour de son centre de son centre de gravité,


-Madamme, c'est votre centre de gravité qui est moche
-C'est grave docteur ?
-Non, une bonne diète...


--
Céramik


1 p3qrc4 - Eugenol
Bjc.

23/10/2009 à 23h29

la friction apparait chez les inter-actifs au dessus du 16*x16*, ce qui explique leur plus faible aptitude à traiter les grands encombrements
l’avantage des Bk. inter-actif est surtout au niveau des finitions, on utilise beaucoup moins de Lig. Métalliques et élastiques

@+ Bjc.


1 p3qrc4 - Eugenol
Bjc.

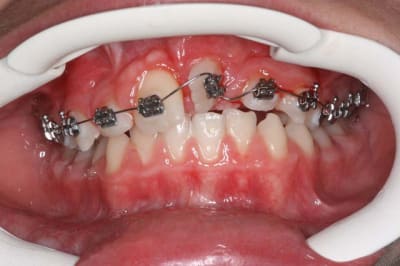
24/10/2009 à 17h00

les élastiques

à déconseiller en début de traitement à cause de leur friction
voici un exemple ou la glisse est nécessaire
j’ai utilisé des Bk. titane modifiés en friction faible pour avoir une glisse maximale

@+ Bjc.

15 mfbtmh - Eugenol
16 snhgu2 - Eugenol

Bul

25/10/2009 à 01h37

quelles sont les forces que tu as appliqué
action, réaction?


1 p3qrc4 - Eugenol
Bjc.

25/10/2009 à 15h22

voici, tiré d'un conf. de Ceballos, ce qui se passe avec des élastiques

@+ Bjc.

17 own0qj - Eugenol

Bul

25/10/2009 à 20h46

tu peux montrer le cas en entier
merci


1 p3qrc4 - Eugenol
Bjc.

26/10/2009 à 12h46

c'est un cas interessa&nt que je montrerai plus tard

@+ Bjc.


1 p3qrc4 - Eugenol
Bjc.

27/10/2009 à 15h09

Autant les élastique sont à déconseiller en début et en cours de ttt., autant ils sont très utiles en fin de ttt. quand on a plus besoin de glisse, seulement de finir les torques, principalement à la Md.
Selon les Bk., j’utile les anneaux de 3M. Uniteck A1, A2, A3

La Md., c’est là ou on calculait la D.D.M., car c’est là ou l’os est le plus difficilement déformable sans lésions osseuses, maintenant qu’on sait faire les ttt. par expansion, on parle plus de D.D.M., mais plutôt d’espace globale ou on prends en compte le haut et le bas

@+ Bjc.


Phil Amant

27/10/2009 à 18h55

Bjc. écrivait:
--------------
>, maintenant qu’on sait faire les
> ttt. par expansion..

Le fait de soliloquer l'égare et lui fait prendre ses désirs pour des réalités, tout ça n'a jamais été réellement prouvé !

Phil.


1 p3qrc4 - Eugenol
Bjc.

27/10/2009 à 21h51

Espace globale veut dire que l'on ne se cale plus seulement sur l’arcade Md.,
on n’est plus obligé de calquer la forme d’arcade Max. sur celle de la Md.
c’est la fin des extractions de PM. Sup. (entre autre)

@+ Bjc.


1 p3qrc4 - Eugenol
Bjc.

28/10/2009 à 12h25

salut,

Nos anciens avaient raison,
-le principe T.V.A. est tjs. valable,
-de mm. que la difficulté du travail sur la Md.

c’est pourquoi, cette évolution nécessite la connaissance des nouveaux matériaux apparus

dans les prochains fils, je vais essayer de montrer comment j’ai résolu les difficultés que sont le travail sur les 6 et les 3, car ensuite c’est simple, il suffit de placer les autre dents entre ces piliers

@+ Bjc.