Cookie Consent byPrivacyPolicies.comprobleme lors de pose baby connect tbr, vos avis - Eugenol

probleme lors de pose baby connect tbr, vos avis

Img000009 ifibra - Eugenol
vaucheyjoel

15/10/2009 à 23h17

bonsoir a tous ( et a toutes...)
Ce matin j'ai posé 3 implants (35 36 37) dont deux implants baby tbr (largeur 5 sur 6 de longueur).35 et 37 n'ont posé aucun problème , malheureusement secteur 36 l'os est beaucoup moins dense et, bonne surprise lors de la pose de vis de couverture l'implant s'est mis a pivoter lui aussi.Impossible de mettre un implant plus large vu que je suis déja sur du 5 mm.
Qui d'entre vous a déja rencontré ce problème d'absence de stabilité primaire et a combien évaluez vous le risque d'échec. la radio de controle est nickel , pas de hiatus visible entre l'os alvéolaire et l'implant.
Merci par avance pour vos commentaires


Blason dql7mj - Eugenol
growler

15/10/2009 à 23h21

si tu n'as absolument pas de contraintes sur ton implant et donc aucun micro-mouvements il devrait s'ostéointegrer.


Img000009 ifibra - Eugenol
vaucheyjoel

15/10/2009 à 23h29

merci d'avoir répondu aussi vite;

c'est ce que je me dis aussi mais j'avais envie de l'entendre... lol
mon ulcere s'est réveillé du coup grr
bonne nuit


Casque beotien a3jo39 - Eugenol
beotien

15/10/2009 à 23h32

oui cela m'est deja arrivé
j'aime pas qd çà arrive
mais ca fonctionne qd meme si tu le laisse tranquile


Img 0812 mvp6i0 - Eugenol
jeamba

15/10/2009 à 23h42

Cà m'est arrivé il y a trois mois et en plus j'ai mis une vis de cicatrisation à la place d'une vis de couverture(à cause d'une erreur de livraison ). J'ai pris les empreintes hier tout était parfait.


Img000009 ifibra - Eugenol
vaucheyjoel

15/10/2009 à 23h53

quelle audace !!! et en plus ca marche. La nature est parfois notre alliée.
Tu viens d'inventer (avec quelques années de retard!!) le 1 temps chirurgical.
LOL et re LOL


Img 0812 mvp6i0 - Eugenol
jeamba

16/10/2009 à 00h11

En fait ce n'était pas de l'audace, c'était de la bêtise. Je n'ai pas vérifié la commande avant la pose car je travaille avec un implant et une société trés respectable et jamais j'aurais pensé que la représente pouvait se tromper dans la commande. Au moment de poser mon dernier implant il tournait dans le vide (et j'ai su pourquoi). J'ai donc décidé pour cet implant de le faire en deux temps et là j'ai découvert que la vis de couverture que j'ai commandée n'était pas pour le type d'implant que je posais, alors il ne me restait que le choix de poser une vis de cicatrisation et........Prier.
C'est vrai que la nature est indulgente.


Img000009 ifibra - Eugenol
vaucheyjoel

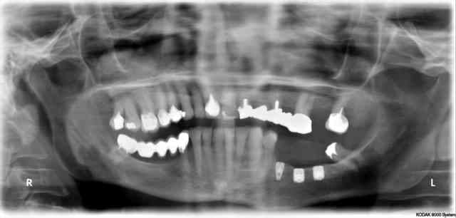
16/10/2009 à 15h41

voila la pano

Baby nlfkb5 - Eugenol

Smile beach jgh0a1 - Eugenol
Céramik

17/10/2009 à 05h22


Wow, bizare ta pano...le plan d'occlusion...
Ils sont bien petits tes implants...
5 X 6 ?




Pour l'autre, ton implant n'est pas livré avec une vis de couverture ? Change de marque !

--
Céramik


Photo pluton1b h9n4ea - Eugenol
pluton

17/10/2009 à 09h28

Céramik écrivait:
-----------------
>
> Wow, bizare ta pano...le plan d'occlusion...
> Ils sont bien petits tes implants...
> 5 X 6 ?


déformation de la pano...mauvais positionnement du patient (nuque pas assez "tendue")

çà va être chaud pour la prothèse....sacré rapport couronne/implant loin d'être favorable....


>
> Pour l'autre, ton implant n'est pas livré avec une vis de couverture ? Change de
> marque !
>
> --
> Céramik

ton implant n'est pas livré avec le transfert, le pilier droit, la vis de cicat et la vis de couverture??? change de marque....;-))
c'est déjà assez pénible d'avoir à gérer et le stock d'implants, et le stock d'analogues....;-))


Logo vuaztn - Eugenol
mac

17/10/2009 à 11h02

pluton écrivait:
----------------
sacré rapport couronne/implant loin d'être
> favorable....


c'est quoi un rapport couronne/implant favorable?


Photo pluton1b h9n4ea - Eugenol
pluton

17/10/2009 à 11h51

mac écrivait:
-------------

> c'est quoi un rapport couronne/implant favorable?

c'est quoi pour toi un rapport couronne racine favorable sur dent naturelle???
crois-tu que c'est vraiment différent avec des implants???

là on doit avoir un rapport d'environ 2(couronne)/1(implant)...sacré bras de levier...non???
l'occlusion mérite d'être tip top dans ce cas sinon....

en tout cas, je ne sais pas pour toi, mais je suis généralement plus tranquille quand j'ai un implant de bonne longueur dessous...mais bon là, sûr que c'était pas possible, sauf à reconstruire...


Blason dql7mj - Eugenol
growler

17/10/2009 à 15h16

oui c'est différent d'avec les dents naturelles. Cela a été prouvé par des études qui concluent que les règles admises pour les dents naturelles ne s'appliquent pas aux dents sur implants.
Renouard a aussi publié la dessus (des études de contraintes par la technique des éléments finis)

voici une publi:

http://www3.interscience.wiley.com/cgi-bin/fulltext/122522345/PDFSTART


Img000009 ifibra - Eugenol
vaucheyjoel

17/10/2009 à 16h02

rapport couronne racine est de 2
les implants sont 5 *6 et 4*8
il y a effectivement deformation de la pano


Logo vuaztn - Eugenol
mac

17/10/2009 à 17h48

pluton écrivait:
----------------


> c'est quoi pour toi un rapport couronne racine favorable sur dent naturelle???
> crois-tu que c'est vraiment différent avec des implants???
>
> là on doit avoir un rapport d'environ 2(couronne)/1(implant)...sacré bras de
> levier...non???
> l'occlusion mérite d'être tip top dans ce cas sinon....
>
> en tout cas, je ne sais pas pour toi, mais je suis généralement plus tranquille
> quand j'ai un implant de bonne longueur dessous...mais bon là, sûr que c'était
> pas possible, sauf à reconstruire...


bon growler t'as répondu sur le rapport couronne-implant.

c'est quoi un implant de bonne longueur ?

ça commence à devenir n'importe quoi ce site, tout le monde dit la sienne, sans aucune preuve si n'est son ressenti personnel ( et je parle pas des implants posés dans des bouches dégueulasses sans aucun critères ).

faut pas s'étonner qu'on soit pris pour des charlots si chaque fois qu'on vous pose une question votre seule réponse, c'est oui je pense que ça marche bien.


Photo pluton1b h9n4ea - Eugenol
pluton

17/10/2009 à 19h36

mac, sincèrement, je ne comprends pas ton agressivité envers moi...çà m'échappe...

je n'ai pas dit que çà ne marchait pas, les implants courts,...je ne parles pas au point de vue biologique, comme le dit growler, mais au niveau mécanique force est de constater qu'un bras de levier important est un risque...non? d'où ma remarque concernant l'occlusion...

tu me demandes pour moi qu'est-ce qu'un implant de bonne longueur...et bien j'essaie toujours de poser le plus long possible...pour essayer d'avoir un rapport couronne/implant le plus proche possible de 1 si le cas est défavorable voir inférieur à 1...

un de mes sages enseignant m'a dit un jour...que la quasi intégralité des implants ostéointégrés qu'il a posé de plus de 13mm étaient toujours en fonction...mais qu'il n'en était pas de même pour les autres...surtout s'ils font moins de 10mm...

et puis, s'il n'y avait vraiment aucune importance de longueur, pourquoi TOUS les systèmes implantaires proposent différentes longueurs??? parce qu'on se ferait tous beaucoup moins chier la vie en ne posant que des implants de 6 mm....


Logo vuaztn - Eugenol
mac

17/10/2009 à 20h32

pluton écrivait:
----------------
> mac, sincèrement, je ne comprends pas ton agressivité envers moi...çà
> m'échappe...

>
> je n'ai pas dit que çà ne marchait pas, les implants courts,...je ne parles pas
> au point de vue biologique, comme le dit growler, mais au niveau mécanique force
> est de constater qu'un bras de levier important est un risque...non? d'où ma
> remarque concernant l'occlusion...

NON
>

> tu me demandes pour moi qu'est-ce qu'un implant de bonne longueur...et bien
> j'essaie toujours de poser le plus long possible...pour essayer d'avoir un
> rapport couronne/implant le plus proche possible de 1 si le cas est défavorable
> voir inférieur à 1...
>

pourquoi?


> un de mes sages enseignant m'a dit un jour...que la quasi intégralité des
> implants ostéointégrés qu'il a posé de plus de 13mm étaient toujours en
> fonction...mais qu'il n'en était pas de même pour les autres...surtout s'ils
> font moins de 10mm...



voir post plus haut, on en revient à l'homme qui a vu l'homme qui a vu l'ours.
>


> et puis, s'il n'y avait vraiment aucune importance de longueur, pourquoi TOUS
> les systèmes implantaires proposent différentes longueurs??? parce qu'on se
> ferait tous beaucoup moins chier la vie en ne posant que des implants de 6
> mm....


pourquoi pas.


Blason dql7mj - Eugenol
growler

17/10/2009 à 20h59

c'est vrai qu'instinctivement on pense légitimement qu'il est préférable de poser des implants longs (en tout cas qui permettent de se rapprocher du rapport couronne/racine d'une dent naturelle). En fait, les études de Laurent Pierrisnard, Franck Renouard,Patrick Renault, Michel BarquinsS (analyse des contraintes par la technique des éléments finis) prouvent qu'il ne faut pas raisonner comme cela avec les implants.

http://www3.interscience.wiley.com/journal/118855479/abstract


@++


Logo vuaztn - Eugenol
mac

17/10/2009 à 21h07

growler écrivait:
-----------------
> c'est vrai qu'instinctivement


sauf que bosser à l'instinct c'est pas terrible....


Grueavatar nptrc9 - Eugenol
Le Choixpeau magique

17/10/2009 à 21h10

Qu'est-ce que ça donne à long terme ?


Logo vuaztn - Eugenol
mac

17/10/2009 à 21h14

Le Choixpeau magique écrivait:
------------------------------
> Qu'est-ce que ça donne à long terme ?


bosser à l'instinct ?

aucun problème.


Logo vuaztn - Eugenol
mac

17/10/2009 à 21h21

Le Choixpeau magique écrivait:
------------------------------
> Qu'est-ce que ça donne à long terme ?


pour être plus sérieux, on a déjà eu cette discussion ici, les taux de survie sont comparables entre les implants courts et longs avec des états de surface rugueux.


mais il faut prendre en compte un autre paramètre c'est le taux de succès d'un implant court versus implant long + greffe, sans parler de la morbidité.


Img000009 ifibra - Eugenol
vaucheyjoel

17/10/2009 à 21h23

en fait on a peu de recul sur ce type d'implant d'ou l'interert de ne les utiliser que chez des personnes très agées...
LOL


Michel4 ve7g1x - Eugenol
chabit

17/10/2009 à 23h17

Bosser à l'instinct ? on fait quoi d'après vous à longueur de journée? Nous sommes des bio bricoleurs avec plus ou moins d'expérience (perso ou par communication interposée), dans tous les cas jamais personne ne s'aventurera à donner des rapports précis et argumentés, la part de feeling (si j'ose dire) est tellement importante, que les mesures deviennent anecdotiques. Perso et je rejoins Pluton, plus l'ancrage est balèze plus on a de chance de gagner le pari. Evidement, on peut toujours ergoter sur la longueur de l'implant/ hauteur de de prothèse, nombre d'implants/ nombre de dents remplacées, le feeling est toujours le dernier arbitre. Je revendique mon statut de dentiste paysan qui si un seul point de soudure est suffisant en met trois, si une section de 4x4 suffirait( en faisant plein de calculs savants) mettra pour être sûr 6x8 et j'en passe. Rien n'est plus ..iant que de reconnaître qu'on a estimé un peu court. Le paysan que je suis, n'est jamais trop court, et si je dois rogner sur ma marge de sécurité, c'est niet, ou avec l'aval du patient (après tout il est dans le truc autant que moi). Sans agressivité, perso, ton cas je fais pas sans un apport osseux important (3 à 4mmm minimum), c'est le genre de cas que je classe d'emblée comme casse gueule à 2 ou 3 ans dans la meilleure des hypothèses. Je trouve déjà stressant d'assumer l'implanto quand tout est d'équerre, mais si en plus c'est limite comme ce cas là, je te laisse volontier les insomnies et les suites qui vont avec. Personne ne dia à un patient qui présente un echec patent, pourtant dans la littérature ....... Faut pas rêver, ton patient il te fait confiance, la littérature spécialisée, il en n'a rien à battre, ce qu'il veut c'est un truc qui tienne pour ce qu'il a payé, point, barre. Pour résumer plus tu as d'ancrage mieux tu es, et si il faut te compromettre, avec l'aval du patient, et avec tact et mesure.


Photo pluton1b h9n4ea - Eugenol
pluton

18/10/2009 à 19h43

mac écrivait:
-------------

> pour être plus sérieux, on a déjà eu cette discussion ici, les taux de survie
> sont comparables entre les implants courts et longs avec des états de surface
> rugueux.

tiens moi aussi je peux faire mon chieur et pinailler sur les termes....à partir de quelle taille tu considères un implant court???
un implant usiné est aussi "rugueux"...c'est jamais poli miroir...donc t'appelles quoi un implant rugueux???et quelle état de surface de référence??? juste sablé....et avec quel procédé???ou sablé/mordancé...pareil pour le protocole...
>
> mais il faut prendre en compte un autre paramètre c'est le taux de succès d'un
> implant court versus implant long + greffe, sans parler de la morbidité.

là sur ce terme, je suis assez d'accord avec toi...il est certainement préférable de rester "simple" dans ses protocoles chirurgicaux...seulement j'abonde à 1000% sur ce qu'a écrit chabit...il faut à la fois savoir rester simple mais aussi rationnel...