Cookie Consent byPrivacyPolicies.comS.I.A.O avec EASYIMPLANT - Eugenol
Smile beach jgh0a1 - Eugenol
Céramik

01/11/2009 à 20h18

kaol écrivait:
--------------
> et puis 2 implants + locators c'est hors sujet, me semble t'il ?

Pourquoi ? C'est une option...
Je le ferais pas, mais, c'est comme le all-on-4, c'est une option que je ne fais pas.

--
Céramik


alhoun

01/11/2009 à 21h09

mac écrivait:

> la littérature montre ...


un vrai puits de science, ce petit!


Logo vuaztn - Eugenol
mac

01/11/2009 à 21h12

alhoun écrivait:
----------------
> mac écrivait:
>
> > la littérature montre ...
>
>
> un vrai puits de science, ce petit!


j'ai été à bonne école ;)


Img 8465 fqhxid - Eugenol
noahaxeltiger-olivier

01/11/2009 à 21h54

Voila une thèse PhD soutenue en 2008 par Alf Eliasson, thèse intéressante soulevant une réflexion sur le nombre d'implant et le timing de la mise en charge.


Marsu n7qyqe - Eugenol
kaol

02/11/2009 à 23h45

Céramik écrivait:
-----------------
> kaol écrivait:
> --------------
> > et puis 2 implants + locators c'est hors sujet, me semble t'il ?
>
> Pourquoi ? C'est une option...
> Je le ferais pas, mais, c'est comme le all-on-4, c'est une option que je ne fais
> pas.
>
> --
> Céramik

Céramik, en effet c'est une option mais qui est hors sujet puisqu'il parle de prothèse fixé...

mais bon, en effet 8 implants, je pense que c'est trop, c'est faire payer plus pour rien.
Il demande notre avis, et bien voilà, il l'a.


Utilisateur banni

21/11/2009 à 23h27

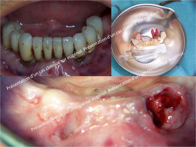
suite, clinique et comparaison avec la S.I.A.O.

Image4 iesq2g - Eugenol
Image1 msh911 - Eugenol
Image2 zwhwic - Eugenol

S2y2o1v7q53ws4r5wy6ou8czrpom - Eugenol
pxav

21/11/2009 à 23h43

posit écrivait:
---------------
> suite, clinique et comparaison avec la S.I.A.O.
pitié posit , pas toi!

--
xbk

Fil68 acjxdc - Eugenol

Utilisateur banni

22/11/2009 à 00h01

se sont les photos du praticien.


S2y2o1v7q53ws4r5wy6ou8czrpom - Eugenol
pxav

22/11/2009 à 06h50

:-))
--
xbk


christelle c

22/11/2009 à 09h02

Kaol, c'est pour un bridge transvissé ? et non pas une prothese totale transvissée sur pilotis, voila pourquoi il y a 8 implants!
N'est ce pas Posit?
En tout cas les images sont supers et parlantes, merci


Utilisateur banni

29/11/2009 à 12h37

christelle c écrivait:
----------------------
> Kaol, c'est pour un bridge transvissé ? et non pas une prothese totale
> transvissée sur pilotis, voila pourquoi il y a 8 implants!
> N'est ce pas Posit?
> En tout cas les images sont supers et parlantes, merci

merci christelle c, le patient désirait une prothèse fixe céramique et le praticien a opté pour du transvissé.
posit


Marsu n7qyqe - Eugenol
kaol

29/11/2009 à 17h30

christelle c, c'était évident que le bridge complet soit initialemnt prévu avec fausse gencive, vu la perte osseuse initiale. (sauf si greffe prevue, mais apparement ça n'a pas été le cas)

Pour ce qui est du tranvissé, pour moi c'est un bridge avec fausse gencive qui est directement vissé sur les implants ou vissé sur des piliers transvissés. Par contre saches que certains utilisent des piliers vissé et scellent le bridge complet par dessus.


Scan10030 ukikhq - Eugenol
vava

04/12/2009 à 20h17

kaol écrivait:
--------------

> contre saches que certains utilisent des piliers vissé et scellent le bridge
> complet par dessus.

98% des piliers sont vissé ???


Marsu n7qyqe - Eugenol
kaol

05/12/2009 à 14h49

?


12