Cookie Consent byPrivacyPolicies.comPatiente mecontente, infection sous bridge - Eugenol

Patiente mecontente, infection sous bridge

Gonzo k0qhwz - Eugenol
matten

03/11/2009 à 17h44

Bonjour,

Voici le ptit cas du jour.

Mme B, au profil très chiant: ecolo, fan d'esoterisme et ultra bavarde.

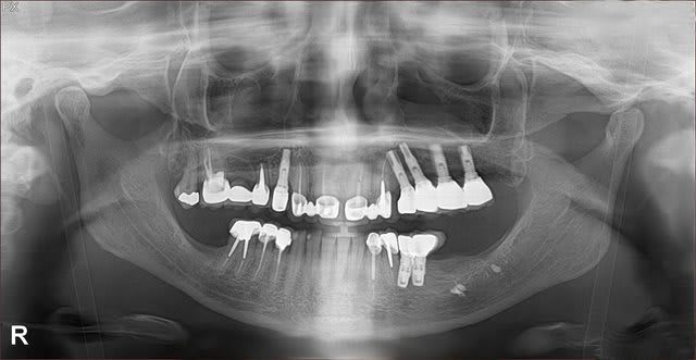
Je lui ai refait un bridge 15-17 en 2006 (un de mes premiers cas en cabinet privé) car la ceramique sur le precedent s'etait fracturee.

Tout se passe, puis 3 ans plus tard, elle me retrouve dans mon nouveau cabinet avec une peche sous 14.
A l'examen clinique, l'inlay core s'est décollé de la racine car il y a mobilite du bridge avec des petites bulles qui sortent de sous la limite cervicale.

Je programme une reprise d'endo avec recollage dans la seance.
Ca va mieux 2 mois, puis ca revient... forcement.

La racine de 15 était deja tres tres petite et trop mobile pour assurer une perennite correcte de la prothese lors du jour de la refection du bridge en 2006, mais j'etais jeune praticien et le dentiste titulaire m'avait dit avec sa grosse voix " MAIS NOoooooooonn aucun probleme!"


L'experience m'aura appris que ca ne marche pas de faire de compromis.

PS: 17 n'avait a l'origine qu'une endo nulle. Je l'ai reprise sous digue evidemment. Le canal MV est reste introuvable mais la dent n'ayant jamais eu de symptomatologie j'ai laissé comme ca a l'epoque.


Aujourd'hui la patiente est revenue avec une amie aide soignante en réclamant son dossier et ses radios, car elle a ete vue par un dentiste a l'hopital qui lui a dit que c'etait tres grave et qu'il fallait extraire (je suis d'accord : )). La patiente psychote en se disant qu'elle va chopper une septicemie et qu'elle va clamser, le dentiste lui ayant fait peur en lui parlant de recherche approfondie de foyer infectieux.

Elle reclame le remboursement total de la prothese. Je lui ai dit que j'aimerais deja contacter ma RCP ainsi que son "nouveau dentiste" (bonne chance a lui et bon debarras).
Etant donné que je veux plus avoir affaire a elle ca m'arrange.

Mais vu que j'etais associe minoritaire en selarl a l'epoque, j'imagine que mon ancien titulaire doit aussi rembourser une partie? (ou pas?)

merci

Bertr 1 i8v4jk - Eugenol
Dc3 zw8nyp - Eugenol

Gonzo k0qhwz - Eugenol
matten

03/11/2009 à 17h47

Oups desole pour le nom !!!


Roger federer 300x217 eqdnuv - Eugenol
Patatrasse

03/11/2009 à 17h49

attention on voit le nom de la patiente ! Fais gaffe.
A mon avis ,tu as eu une bonne réaction , RCP et Conseil de l'Ordre à venir pour la fameuse "conciliation", après tu verras bien ,de toute façon tu es couvert pour ce genre de mésaventure.
Le remboursement se fera par ton assurance,s'il est nécessaire, et sera pris en charge intégralement par ton RCP ,je ne pense pas que ton titulaire de l'époque ait quelque chose à voir avec ton cas.

--
FSDL What Else?


Gbazylo1 fvg1vg - Eugenol
Aron

03/11/2009 à 17h55

Salut

Concernant l'assurance, ça dépend de ton statut de l'époque: collaborateur libéral associé minoritaire au sein d'une SELARL? Ta RCP.

Salarié de cette SELARL? La RCP du gérant majoritaire (= ton patron de l'époque). Je viens d'être l'objet du même genre de litige.

Effectivement le profil fait penser à une neuneu dangereuse, attention à être ultra-pro la prochaine fois, pas de traitement acrobatique!

Je trouve que tu prends ça bien. Comme je l'ai dit, j'ai été inquiété une fois, et il y a quelques nuits où j'ai eu du mal à m'endormir, même si je savais que la conscience était de mon côté (et l'expertise vient d'avoir lieu et le confirme)...

Je propose une nouvelle matière pour la formation initiale: le dépistage des cons (tolérants s'abstenir).

Tiens nous au jus. Bye ;)


3f3boxni50k58rq7e9ce9ddqrxgk - Eugenol
dentiste57

03/11/2009 à 17h58

c'est désagréable ce genre de mésaventure. le pire c'est toujours les confrères qui font mieux que les autres.


Gonzo k0qhwz - Eugenol
matten

03/11/2009 à 18h19

Non j'etais collab deguisé en fait.
1 part que je n'ai jamais vraiment achete, jamais de dividendes touchees (meme si ca devait etre qques euros)...

Mais bon je sais que ce dentiste avec qui je bossais est un fou dangereux avec de la famille dans la mafia donc je vais en rester la avec elle et lui.

Au pire ca se monte a 2000€ de prothese c pas la mer a boire


Gbazylo1 fvg1vg - Eugenol
Aron

03/11/2009 à 18h44

Super ton ancien titulaire! Et pourquoi tu n'aurais pas appliqué des honoraires "jamais vraiment rétrocédés"? En l'ayant assuré du contraire avec une grosse voix?

C'est quand même dingue ces petites magouilles qui en plus ne servent à rien, ça coûte quoi un acte sous seing privé, et 15€ de dividendes? Pfffff lamentable.
(Je ne m'habituerai décidément jamais à l'aspect petit-magouilleur-fraudeur-du-dimanche de beaucoup de mes confrères)
Heureusement que ceux qui viennent sur Eugénol s'auto-trient...

Bon bref, c'est donc ta RCP qui joue, enjoy ;)))


S2y2o1v7q53ws4r5wy6ou8czrpom - Eugenol
pxav

03/11/2009 à 18h46

matten écrivait:
----------------
> Non j'etais collab deguisé en fait.
ça c'est pas bien!

> Au pire ca se monte a 2000€ de prothese c pas la mer a boire
ça c'est un tres bonne réaction!

te fais pas trop de soucis la RC pro rembourse et c'est tout.

--
xbk


Gbazylo1 fvg1vg - Eugenol
Aron

03/11/2009 à 18h48

A quand le carnet noir des mecs chez qui il faut pas aller bosser...
...et son pendant le cahier rouge des mecs qu'il faut pas engager?

J'en connais dans les deux catégories... un paquet!


Gonzo k0qhwz - Eugenol
matten

03/11/2009 à 18h55

oui mais si c'est pour me retrouver avec une prime d'assurance tres elevee a regler, vaut peut etre mieux que je paie moi meme...

Je vais me renseigner avec la medicale de france.


belette

03/11/2009 à 19h57

Y aurait-il un système de bonus - malus pour les RCP ?

^ ... ^
Ô"""Ô
= o = ... J'aurais dit que non ...


Gonzo k0qhwz - Eugenol
matten

03/11/2009 à 20h13

ben je pense que oui c'est comme tout!


Grueavatar nptrc9 - Eugenol
Le Choixpeau magique

03/11/2009 à 22h10

Pas de bonus-malus, par contre quand ils ne veulent plus de toi ils te virent.


Smile beach jgh0a1 - Eugenol
Céramik

04/11/2009 à 04h51


Pour le bridge, elle continue sa collection d'implants...

Fait gaffe, la 13 et la 12 sont moches aussi.

Bonne chance
--
Céramik


Mosquitogif zt3c7k - Eugenol
mosquito

04/11/2009 à 09h07

matten écrivait:
----------------
> oui mais si c'est pour me retrouver avec une prime d'assurance tres elevee a
> regler, vaut peut etre mieux que je paie moi meme...
>
> Je vais me renseigner avec la medicale de france.
-------------

si tu payes c'est que tu considères avoir fait une erreur,contacte ta RCP ils sont là pour cela.
De plus tu peux payer et qu'elle demande plus après.L'avantage de l'assurance c'est qu'une fois signé par elle une transaction amiable n'est plus révisable par la justice.(jugement récent )ton asssurance préfère surement une conciliation que d'engager des frais d'avocat, d'expertise,...
bon courage


Image001 e0kg9q - Eugenol
clemsdent

04/11/2009 à 09h28

matten,
a-t-elle fait des détartrages-entretien regulier depuis?
as-tu les radios de l'epoque avec etat non ou moins inflammatoire du peri apex?

laisse venir et bon courage.


azerty

04/11/2009 à 10h32

TU NE PAYES PAS!


Gonzo k0qhwz - Eugenol
matten

04/11/2009 à 10h34

clemsdent écrivait:
-------------------
> matten,
> a-t-elle fait des détartrages-entretien regulier depuis?
> as-tu les radios de l'epoque avec etat non ou moins inflammatoire du peri apex?
>
> laisse venir et bon courage.

Entretien regulier non vu que j'ai quitte le cabinet y'a 2 ans.
Les dossiers patients sont restés chez le titulaire, je n'ai donc pas les radios initiales.

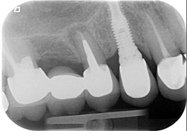
PS: remarquez la petite taille de la racine de 15 et son apex erodé. Une chir apicale d'apres vous? ou une resorption radiculaire d'origine inflammatoire?

Merci


zuka

04/11/2009 à 10h58

matten écrivait:
----------------

> PS: remarquez la petite taille de la racine de 15 et son apex erodé. Une chir
> apicale d'apres vous? ou une resorption radiculaire d'origine inflammatoire?
>
> Merci

C'est ce que j'allais te demander, pourquoi cette racine est elle si courte, ni a t'il pas déjà eu une résection apicale?

Pour ce qui est de la RCP, il me semble qu'ils n'interviennent qu'a partir du moment ou la patiente a fait une démarche auprès de l'ordre et qu'une procédure est en court.

Deux solutions s'offrent à toi,
1 tu payes, tu te débarrasses rapidement de la patiente, mais tu restes amer car le fait de rembourser sans discuter la conforte dans le fait que tu as commis une erreur.

2 tu la laisses entamer une procédure auprès de l'ordre, l'expertise montrera ta bonne fois, et la RCP s'occupera du reste.

Bon courage.


Marco3 qiimkr - Eugenol
Marcoledentisto

04/11/2009 à 11h26

Pas besoin de faire intervenir l'ordre dans ce genre de cas. Tu préviens ta RCP du risque de conflit et ils te donneront la marche à suivre pour monter le dossier. Tu préviens la patiente de s'adresser à la RCP pour traiter le problème.
C'est tout.


Image19 iebot6 - Eugenol
athos

04/11/2009 à 11h33


+1


zuka

04/11/2009 à 11h36

Marcoledentisto écrivait:
-------------------------
> Pas besoin de faire intervenir l'ordre dans ce genre de cas. Tu préviens ta RCP

j'ai contacté la medicale un jour pour ce genre de pb, et eu m'ont dit qu'ils n'intervenaient que lorsqu'une procédure était Entamé. (il faut bien que quelqu'un statue sur le fait qu'il faille rembourser la patiente ou non)

En ce qui me concerne, la patiente est venue raller une fois et je ne l'ai jamais revue.


caredent

04/11/2009 à 11h43

Cela ne relève-t-il pas de l'aléa thérapeutique ?
Je ne vois pas où le praticien a commis une faute ?
Si le chirurgien doit réintervenir sur une prothèse de hanche qui merdouille , tu es remboursé par sa RC pour la première intervention ?
Cela m'étonnerait beaucoup !!!


Marco3 qiimkr - Eugenol
Marcoledentisto

04/11/2009 à 11h57

zuka écrivait:
--------------
> Marcoledentisto écrivait:
> -------------------------
> > Pas besoin de faire intervenir l'ordre dans ce genre de cas. Tu préviens ta
> RCP
>
> j'ai contacté la medicale un jour pour ce genre de pb, et eu m'ont dit qu'ils
> n'intervenaient que lorsqu'une procédure était Entamé. (il faut bien que
> quelqu'un statue sur le fait qu'il faille rembourser la patiente ou non)

J'ai eu un cas foireux du même genre,avec une racine fracturée sous un bridge 9 ans après sa pose; la patiente ayant changé de région et ne pouvant pas rattrapper le coup, c'est la MACSF qui a pris les choses en main. J'ai monté le dossier avec radios de l'époque, et copie du dossier papier sur la partie concernant ce traitement; la MACSF a fait une proposition à la patiente. L'a-t-elle accepté? Jamais plus eu de nouvelles...


Grueavatar nptrc9 - Eugenol
Le Choixpeau magique

04/11/2009 à 12h11

zuka écrivait:
--------------
> j'ai contacté la medicale un jour pour ce genre de pb, et eu m'ont dit qu'ils
> n'intervenaient que lorsqu'une procédure était Entamé. (il faut bien que
> quelqu'un statue sur le fait qu'il faille rembourser la patiente ou non)

Au contraire, les prévenir avant toute autre chose.


12