Cookie Consent byPrivacyPolicies.comça a pris du temps , mais ça le valait bien. - Eugenol

ça a pris du temps , mais ça le valait bien.

3f3boxni50k58rq7e9ce9ddqrxgk - Eugenol
dentiste57

15/11/2009 à 01h38

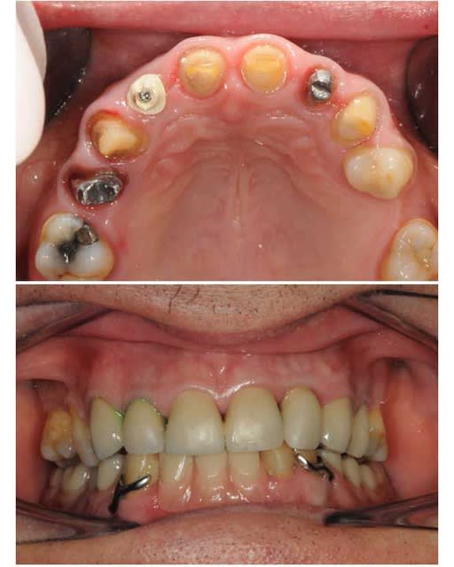
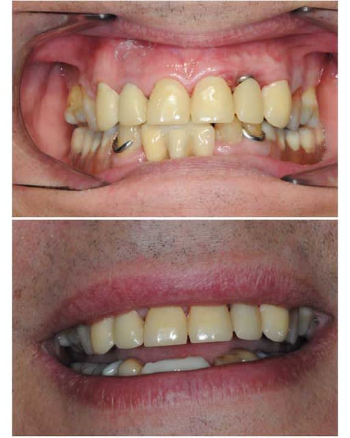
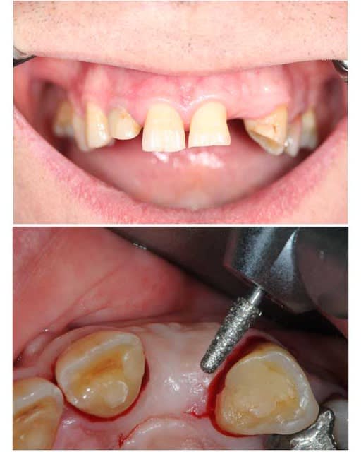
patient un peu simple mais gentil qui vient avec son épouse et veut que je lui remette une couronne là.

l'occlusion est CATASTROPHIQUE! bruxisme de folie et effondrement de la DV

voyez plutôt...


la suite demain....

Planche contact 001 copie khm8xb - Eugenol

3f3boxni50k58rq7e9ce9ddqrxgk - Eugenol
dentiste57

15/11/2009 à 11h21

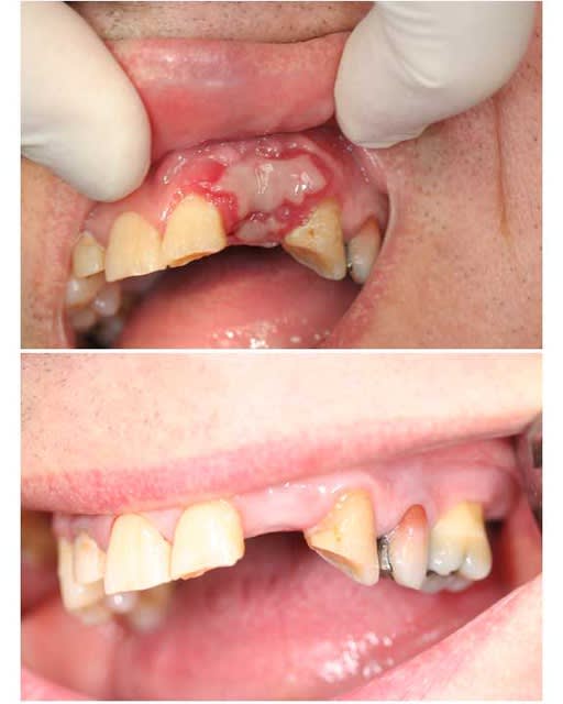
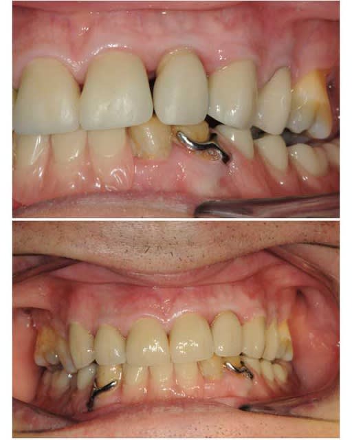
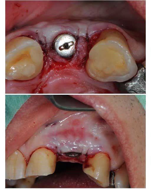
-extraction 12
-fermeture comme j'ai pu et mise en place membrane vicryl je crois
-phases de cicatrisation

j'aime pas trop le vicryl car je trouve que ça réagit toujours trop. et vous ?

Planche contact 004 copie u6sriv - Eugenol
Planche contact 002 copie tqtgfh - Eugenol
Planche contact 003 copie tnlvzw - Eugenol

3f3boxni50k58rq7e9ce9ddqrxgk - Eugenol
dentiste57

15/11/2009 à 12h36

coupe scanner de la zone d'extraction..

Sans titre 1 fkytjn - Eugenol

Wolford hm5yx3 - Eugenol
Doc lyonnaise

15/11/2009 à 13h02

je veux pas dire, mais tu parles tout seul là :-)


belette

15/11/2009 à 13h11


Chut! laisse le parler, y'en a qui écoute.

^ ... ^
Ô"""Ô
= o =... et on attend la suite


3f3boxni50k58rq7e9ce9ddqrxgk - Eugenol
dentiste57

15/11/2009 à 14h34

Doc lyonnaise écrivait:
-----------------------
> je veux pas dire, mais tu parles tout seul là :-)

c'est pas grave, je sais que certains écoutent..

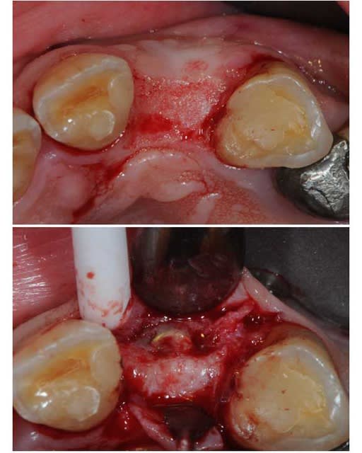
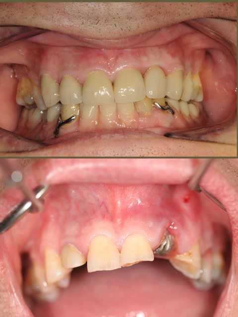
forage implantaire, puis dilatation osseuse jusqu'au diamètre final
j'ai gagné ici un peu de bombé osseux

Planche contact 005 copie qemycy - Eugenol
Planche contact 007 copie atluzg - Eugenol
Planche contact 006 copie poqgvc - Eugenol

S2y2o1v7q53ws4r5wy6ou8czrpom - Eugenol
pxav

15/11/2009 à 14h44

tu nous gonfle, il y a du ski à la télé!

--
xbk


3f3boxni50k58rq7e9ce9ddqrxgk - Eugenol
dentiste57

15/11/2009 à 15h37

m'en fous!
je sais pas m'arrêter.



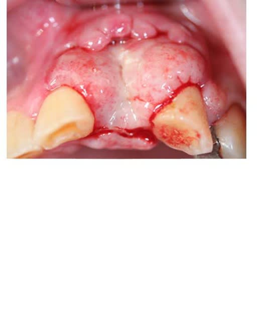
cicatrisation
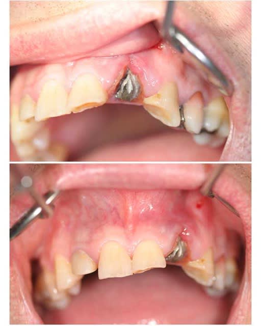
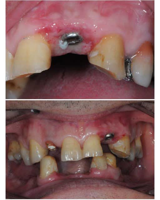
puis mis a jour de l'implant avec au départ, une d'ésépithélialisation de la gencive pour faire un lambeau d'épaisseur partiel puis méthode du rouleau afin de gagner en épaisseur


Planche contact 010 copie qstxt3 - Eugenol
Planche contact 009 copie m8hoym - Eugenol
Planche contact 011 copie qfomme - Eugenol
Planche contact 012 copie eb1sxh - Eugenol
Planche contact 013 copie u9fvwu - Eugenol

Avatar 46 aoi1yc - Eugenol
HononLulu

15/11/2009 à 16h06

Tu parlais d'une occlusion catastrophique, non ??
Comment l'as-tu gérée?


3f3boxni50k58rq7e9ce9ddqrxgk - Eugenol
dentiste57

15/11/2009 à 16h10

.et comment remonter une DV simplement avec un minimun de travail ?

le patient était porteur d'un stellite de plus de 15 ans bouffé jusqu'au trognon.

mise en place d'une résine type protemp 4 ou luxacore sur l'ensemble des dents du stellite puis équilibration après avoir fait des couronnes provisoires au maxillaire.


au fait, je continu ?

Planche contact 014 copie w00ocg - Eugenol
Planche contact 015 copie iugzet - Eugenol

belette

15/11/2009 à 16h33

Ben oui ! continue ...

^ ... ^
Ô"""Ô
= o =...S'il te plait.


3f3boxni50k58rq7e9ce9ddqrxgk - Eugenol
dentiste57

15/11/2009 à 17h08

belette écrivait:
-----------------
> Ben oui ! continue ...

merci pour tes encouragements.

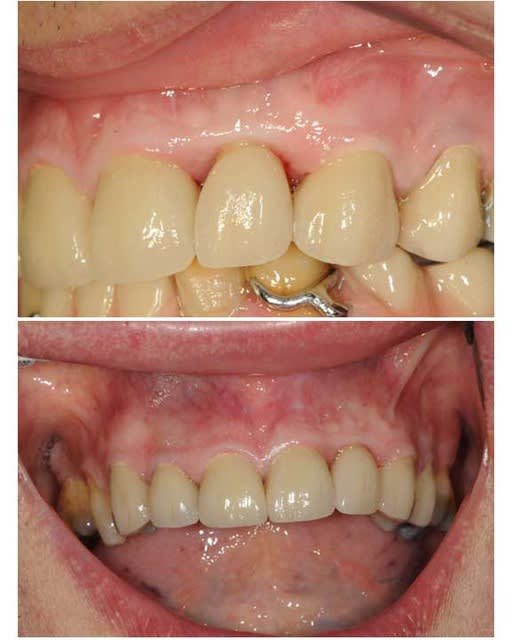
-prise d'empreinte
-changementr de la vis de cica par moignon provisoire adapté à la forme des incisives
- essayage biscuit et..
pose des couronnes avec colle provisoire

j'ai aimé finir ce cas car le patient était tellement content...
c'est ça ma plus belle récompense.

Avant apr s lwq1fz - Eugenol
Planche contact 016 copie lfl28d - Eugenol
Planche contact 017 copie gtnmpw - Eugenol
Planche contact 018 copie vhy7mc - Eugenol
Planche contact 019 copie ketwbz - Eugenol

nolive

15/11/2009 à 17h49

Félicitations ! ça fait toujours plaisir de voir du bon boulot. Tes photos sont excellentes en plus. Belle technique du rouleau... bien iconographiée...

En ce qui concerne les membranes vicryl. J'ai commencé avec ça car c'est bon marché mais j'ai eu une petite infection gingivale à chaque fois (sans conséquences sur le résultat final mais bon...). J'en ai encore une en stock , je ne sais même pas si je m'en servirai avant la date de péremption.
Je préfère de loin mettre le prix et avoir une membrane plus sûre (type bio-gide).

Un jour, une patiente m'a dit: "le bon marché coûte souvent finalement plus cher...". J'y repense régulièrement, je crois qu'elle a raison.

Salut et Merci


belette

15/11/2009 à 17h58

Ouais, très chouette !
^ ... ^
Ô"""Ô
= o = ... bravo et merci !


S2y2o1v7q53ws4r5wy6ou8czrpom - Eugenol
pxav

15/11/2009 à 18h01

dentiste57 écrivait:
--------------------

>
> j'ai aimé finir ce cas car le patient était tellement content...
> c'est ça ma plus belle récompense.

mon Dieu que c'est mignon, j'en ai les larmes aux yeux!

je suis content de connaitre des gens comme toi Thomas.

--
xbk


Manolito wom2of - Eugenol
manolito

15/11/2009 à 18h33

tout est beau, les implants, les tailles, les couronnes....bravo.


Blason dql7mj - Eugenol
growler

15/11/2009 à 19h22

et pas évident quand on voit la photo de départ.

bravo Thomas, c'est très bien géré. rigueur et sens clinique, il ira loin ce p'tit!

quel matériau as-tu placé sous la membrane pour la ROG?

La photo finish a été faite combien de temps après la pose de la couronne? Tu pourras, à l'occasion, nous montrer une photo après plusieurs mois pour voir comment s'étalent les papilles?

@+


jouk

15/11/2009 à 19h39

Tu n'as pas précisé justement la durée du traitement(titre de ton topic).Un cas comme celui ci peut etre selon moi aussi traité par un bridge.Pourquoi as tu choisi cette solution(implantation +bridge+chir muccoging)?


3f3boxni50k58rq7e9ce9ddqrxgk - Eugenol
dentiste57

15/11/2009 à 19h47

growler écrivait:
-----------------

> La photo finish a été faite combien de temps après la pose de la couronne? Tu
> pourras, à l'occasion, nous montrer une photo après plusieurs mois pour voir
> comment s'étalent les papilles?
>
c'est prévu et c'est pour ça que les couronnes sont scellées en provisoire, je veux pouvoir retoucher si il le faut.


quel matériau as-tu placé sous la membrane pour la ROG?

je ne suis plus du tout sur, mais je crois que c'était du bio-os.

concernant le temps de traitement; deux ans finalement.
le patient a eut quelques problèmes de santé, ceci dit, c'était presque un avantage car les délais de cicatrisation étant plus longs entre ces grandes étapes, j'ai obtenu une cicatrisation tip-top.

jouk écrivait:
Un cas comme celui ci peut etre selon moi aussi traité par un bridge.Pourquoi as tu choisi cette solution(implantation +bridge+chir muccoging)?

c'est exacte, mais le patient avait une mutuel qui le couvrait à hauteur de 900€ par implant...
comment ne pas se priver d'une tel opportunité de rajouter un pilier supplémentaire à son arcade?
ici, j'ai modifié la DV, couronné (uniquement des unitaires), et implanté.
au final, cela ne lui aura pas coûté beaucoup plus cher qu'un bridge, et c'est plus solide.


jouk

15/11/2009 à 19h58

dentiste57 écrivait:
--------------------
> growler écrivait:
> -----------------
>
> > La photo finish a été faite combien de temps après la pose de la couronne? Tu
> > pourras, à l'occasion, nous montrer une photo après plusieurs mois pour voir
> > comment s'étalent les papilles?
> >
> c'est prévu et c'est pour ça que les couronnes sont scellées en provisoire, je
> veux pouvoir retoucher si il le faut.
>
>
> quel matériau as-tu placé sous la membrane pour la ROG?
>
> je ne suis plus du tout sur, mais je crois que c'était du bio-os.
>
> concernant le temps de traitement; deux ans finalement.
> le patient a eut quelques problèmes de santé, ceci dit, c'était presque un
> avantage car les délais de cicatrisation étant plus longs entre ces grandes
> étapes, j'ai obtenu une cicatrisation tip-top.
>
Scéllées en provisoire????? Avec quel ciment??? Et tu comptes les desceller dans combien de temps pour passer au définitif?Et si retouche il y a ,comment peux tu rectifier sur ta prothése definitif(sans tout refaire).?
Merci par avance pour tes réponses


belette

15/11/2009 à 21h02

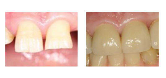
Jamais on ne voit des dents naturelles masculines qui ressemblent à ça.
Pourquoi les prothésistes n'accordent pas mieux leur morphologie au cas?

^ ... ^
Ô"""Ô
= o = ... c dommage...

Morpho xinrhw - Eugenol

Img 8465 fqhxid - Eugenol
noahaxeltiger-olivier

15/11/2009 à 21h28

Well done !!
Petite interrogation dentiste57 : je ne comprends pas trop la réalisation de ton rouleau. Il semblerait y avoir une incision crestale en trop ! Je me trompe ?


nolive

15/11/2009 à 22h22

noahaxeltiger-olivier écrivait:
-------------------------------
> Well done !!
> Petite interrogation dentiste57 : je ne comprends pas trop la réalisation de ton
> rouleau. Il semblerait y avoir une incision crestale en trop ! Je me trompe ?

Rarement à mon avis en ce qui concerne l'implanto et la muco-gingivale. L'oeil du maître a parlé.

En effet, on dirait que tu as fait une sorte de conjonctif enfoui inséré en vestibulaire avec prélèvement sur la crête. Aurais-tu fait l'incision crestale vestibulaire pour voir l'implant en vestibulaire avant de poursuivre ? ou y a-t-il une autre raison ?


3f3boxni50k58rq7e9ce9ddqrxgk - Eugenol
dentiste57

16/11/2009 à 00h43

je ne sais si ça pourra vous contenter mais voici un schéma de ce que j'ai fait ce jour là.

merci de me donner vos commentaires, je suis là pour apprendre et la chir mucco-gingivale garde encore beaucoup de secrets pour moi.

Dsc 5444 ld2rsi - Eugenol
Dsc 5446 lgjurv - Eugenol
Dsc 5445 hnq2bw - Eugenol

nolive

16/11/2009 à 00h45

OK j'ai rien dit...