Cookie Consent byPrivacyPolicies.comça a pris du temps , mais ça le valait bien. - Eugenol

ça a pris du temps , mais ça le valait bien.

Amibien

22/12/2009 à 17h40

Bjc. écrivait:
--------------
> Quand on parle d’opérateur dépendant, on ne perle pas d’un acte humain, mais
> d’une décision humaine au Nose Navigation System





Cela ne s'apparente pas du tout à ce que tu décris ici...


isaïe

22/12/2009 à 18h39

Hallboy,
Où risque de se situer l'opérateur-dépendance ?
Dans le diagnostic ? je ne pense pas.
Dans l'étiologie ? Non plus, l'origine centrale est reconnue par tous ou à peu près.
Dans le choix du traitement palliatif ? Non plus, les gouttières de protection font l'unanimité.
Dans le choix du traitement de la cause primaire ? Là, la probabilité augmente : suivant les qualifications et formations des thérapeutes (opérateur-dépendance en plein), on va se diriger vers des thérapies comportementales, de l'hypnose, des dispositifs intra-buccaux de relaxation musculaire, des injections de toxine botulique, des inhibiteurs pré-synaptiques, des anti-dépresseurs, de l'acupuncture, et j'en passe certainement ...
Pour lesquelles de ces techniques disposons-nous de données statistiques à un an comme tu le demandes ? Pas facile à trouver.
Il manque aussi des paramètres de contrôle : pas simple de différencier un bruxisme actif d'un bruxisme arrêté, à part l'impression du patient ou des cohabitants.
Le niveau de ton exigence est justifié, mais hélas, aucun des traitements qui se voudraient étiologiques du bruxisme ne remplit ton cahier de charges à ce jour. Et si en plus le praticien prend en compte les effets collatéraux de différentes approches, on se retrouve avec de la complexité augmentée dans le choix du traitement.
Alors, comme il faut bien faire quelque chose, je ne poserais pas la question en ces termes-là : des chiffres, sinon je ne fais rien. Mais j'opterais plutôt pour un examen de la balance risque-bénéfice de l'une ou l'autre proposition.



200106 10150128247663588 709988587 6466236 5598391 n d7mksb - Eugenol
hallboy

22/12/2009 à 19h43

isaïe écrivait:
---------------
> Hallboy,
> Où risque de se situer l'opérateur-dépendance ?

le Pb tient ds l'impossibilité d'etablir un protocole avec un arbre decisonnel valide.

.

pour le reste, je trouve ton boulot tres interessant. Il est simplement extremement deplacé que qui que ce soit le presente comme une verité beton , comme si il y avait justement ces stats , du recul et des comparatifs.


Les mm qui il y a 2 ans ne voulaient pas entendre parler de facteurs psy tout en proclamant detenir LA solution, le mettent en avant toujurs en proclamant detenir LA solution et toujuers avec recul zero, et en mettant cela a toutes les sauces.

ça n'exclue pas le fait qu'on puisse reflechir , avancer, essayer; ce qui est trs different de " je ne l'ai jamais fait , personne ne l'a jamais fait, mais c'est comme ça que ça marche bande d'incultes ." ce sont justes des rodomontades qui nuisent bien plus qu'elles n'aident.

l'operateur dependance n'est pas ds le choix hypnose contre JIG mais ds " je fais la mm chose avec des resultats discordants ( je n'ai pas dit differents )"


3f3boxni50k58rq7e9ce9ddqrxgk - Eugenol
dentiste57

23/12/2009 à 00h25

intéressant dialogue de sourds entre détenteurs et découvreurs de vérité!

pour ma part, quoiqu'en dise Amibien, relever une dv n'est pas une hérésie, mais une correction postural de la position mandibulaire.
cette dv est ramenée (du moins, je l'espère) à la valeur qui lui correspondait autrefois.
pas besoin de beaucoup d'explications pour comprendre que les causes de cette perte de DV soient multi-factoriels. dans l'abondance de ces facteurs, il y a ceux qui sont tout en haut de l'échelle et ceux qui sont en bas. je déteste quand on a tendance à mettre systématiquement en avant les facteurs moindres (mais pas forcément non importants) et leur accorder trop de crédit.
dans les corrections de bruxisme, il me semble important de trouver ou est LE premier contact qui va en induire d'autres. c'est une chaine d'évènements. le facteur psy n'est qu'un facteur agravant, c'est tout.
avant tout, la raison est TOUJOURS mécanique.(dent égressée, couronne non conforme, amalgames mal sculptés, dent extraite et non remplacée, déplacement dentaire, etc...)

déterminer une nouvelle DV qui corresponde le plus possible à celle qui existait autrefois et qui ménage les réflex musculo-nerveux doit être notre Saint Graal..
à ce propos, la passivité musculaire est un excellent moyen de vérifier si l'on s'approche ou non du but.


200106 10150128247663588 709988587 6466236 5598391 n d7mksb - Eugenol
hallboy

23/12/2009 à 00h41

;)

Si il y a une chose qui est sure, c'est que la cause n'est pas TOUJOURS mecanique. Et j'ai été formé gnathologiste pur sucre, il y a 30 ans.


3f3boxni50k58rq7e9ce9ddqrxgk - Eugenol
dentiste57

23/12/2009 à 05h30

je parle bien de la toute première étape qui initialise le bruxisme.
souligner "toujours" en majuscules était je l'avoue un peu provocateur. mon expérience clinique est certainement moins aussi complète que la tienne. je te laisse développer. un exemple peut être ?


isaïe

23/12/2009 à 06h53

"avant tout, la raison est TOUJOURS mécanique"
Peut-être, mais il n'y a presque plus personne qui y croit et il y a longtemps que plus rien n'est publié dans ce sens.
Et si c'était vraiment le cas, il va falloir le démontrer.
L'origine centrale est effrayante ?


S2y2o1v7q53ws4r5wy6ou8czrpom - Eugenol
pxav

23/12/2009 à 09h28

finalement, tu as passé beaucoup de temps sur ce cas, et:
la forme des céramiques : de la merde
la correction de la Dv: idem
tes théories de manipulateur : idem
la 16 qui dépasse : idem
tes photos: vraiment pas loin d'être idem.
ta passion de ton métier, de la merde dans ce monde de SCIENTIFIQUES

Les solutions:

1) tu change de boulot et tu t'occupe de tes gosses, steph assurera le revenu familial (déjà elle sera contente).

2) tu continu mais comme "grouillot" pour les bons (je t'autorise à porter mes valises (mallettes) quand je descend de la Lambo).

3) avant de faire un boulot (on ne peut pas parler de travail), tu demandes gentiment, l'autorisation de le faire, les consignes et la marche à suivre, et surtout tu ne présente plus rien, sur nonol, (tout comme les grands) juste des posts avec des généralités, du style "aujourd'hui j'ai bien dormi, mes placements sont mauvais j'ai perdu 0.001% en deux heures, etc,etc..

4) une corde, ou les médicaments...

dernières question: ton patient il est content?
sa famille le trouve mieux?
si il faut re-intervenir dans 5 ou 10 ans il va aller chez l'avocat?

Continu a croire en toi D57 et régale nous de tes cas.

je me demande si j'ai bien dormi, peut être que ça va être pris pour de l'agressivité?

corrige cette 16 quand même....
--
xbk


200106 10150128247663588 709988587 6466236 5598391 n d7mksb - Eugenol
hallboy

23/12/2009 à 09h51

les reveils sont durs apparement ;)

c'est un tres beua cas , bien mené et qui respire un enthousiasme et une qualité de travail dont j'aimerai pouvoir me flatter.
Et pour en revenir a l'apparté que j'ai eu au cours du fil , j'aurais procedé de la mm faon que toi : augmenter la DV, faire sauter les verrous etcetc ( la modif de la pbm en prov est une tres bonne façon de proceder que je stocke ds un coin ). la voie oclusale n'est simplement pas , a mon avis , le seul element declencheur du bruxisme vu qu'elle ne produit rien chez bien des gens a l'occlusion catastrophique. Cela n'exclue pas de traiter l'occlusion comme tu l'as fait , ni d'avoir qq craintes sur la perenité du travail non du fait de tes competences, mais en fonction du cas particulier que peut etre chaque patient.


En tous cas merci pour la presentation de ce cas


S2y2o1v7q53ws4r5wy6ou8czrpom - Eugenol
pxav

23/12/2009 à 11h13

hallboy écrivait:
-----------------
> les reveils sont durs apparement ;)
>
> c'est un tres beua cas , bien mené et qui respire un enthousiasme et une qualité
> de travail dont j'aimerai pouvoir me flatter.
> Et pour en revenir a l'apparté que j'ai eu au cours du fil , j'aurais procedé de
> la mm faon que toi : augmenter la DV, faire sauter les verrous etcetc ( la
> modif de la pbm en prov est une tres bonne façon de proceder que je stocke ds un
> coin ). la voie oclusale n'est simplement pas , a mon avis , le seul element
> declencheur du bruxisme vu qu'elle ne produit rien chez bien des gens a
> l'occlusion catastrophique. Cela n'exclue pas de traiter l'occlusion comme tu
> l'as fait , ni d'avoir qq craintes sur la perenité du travail non du fait de tes
> competences, mais en fonction du cas particulier que peut etre chaque patient.
>
> +1
mais ne prends pas la groose tête, chsui là pour ça!
> En tous cas merci pour la presentation de ce cas


--
xbk


Ylfwcw979cz1jnx9gfqeaxndiuzk - Eugenol
Algi

23/12/2009 à 14h25

Trouver la cause premiere, coiffe, amalgame.... que du iatrogéne donc selon toi.

Alors comment expliquer les bruxomanes sur dents naturelles, les bruxomanes à 18 mois et j'en passe?

Un exemple tiens: patiente vue ce matin, elle vient pour une douleur 18 sans raison apparente (radio, sondage, examen rien de rien).

Je verifie la symetrie de ses bras bouche ouverte, je lui demande alors de serrer les dents: bras + court à droite, signant une suroc à droite.

Dans la foulée je teste diverses lignes musculaires selon le dernier protocole mis en place avec daniel, verrouillage sur des choses en rapport avec son pere qui est gravement malade et va vraisemblablement deceder bientot. Selon notre protocole je tape alors sur les dents qui correspondent aux lignes bloquées, je neutralise l'effet musculaire de l'evocation mentale et je reverifie les bras en pim: symetriques.

Conclusion de cette seance en ce qui me concerne: il y avait effet musculaire d'une evocation mentale ("emotion" donc,que je définis personnellement comme "souvenir ou image mentale s'accompagnant d'effets physiques").
La tension musculaire asymetrique modifiait les contacts dento dentaire et provoquait une suroc à droite. Par mes maneouvres j'ai permis à la patiente de ne plus être en torsion avec cette evocation mentale et supprimé la suroc sans meulage ni modification de la dv.


Concernant ce que tu dis sur remonter une dv tu as juste, le seul probleme est que si cette dv convenait le patient n'aurait pas bruxé pour la reduire et donc il faut, avant de lui redonner cette dv, eliminer la cause premiere sinon il recommencera à user et cassera tout.... en tout cas il risque.

Bonnes fêtes à tous et à toutes.

--
"On a toujours le choix! Mais entre quoi et quoi?
Vas-y boulégue et l'avenir te le dira!"


200106 10150128247663588 709988587 6466236 5598391 n d7mksb - Eugenol
hallboy

23/12/2009 à 14h42


>
> que si cette dv convenait le patient n'aurait pas bruxé pour la reduire




:))

là Alain, va falloir choisir: on bruxe parce qu'une Dv ne convient pas? ou pour d'autres raisons?

Et par ailleurs ton raisonement implique que les 2 DV ( orignelle prébruxiste / D57 reconstituée )sont les mm.

Moi j'en sais fichtre rien ;)


Pour ce qui est des exemples:
" Il y aura des cris et des grincements de dents !"

La bible a été ecrite bien avant Costen;)


1 p3qrc4 - Eugenol
Bjc.

23/12/2009 à 15h30

""le seul problème est que si cette dv convenait le patient n'aurait pas bruxé""

on peut aussi penser que si le patient bruxe, c’est à cause de la perte de D.V.

Voici un bon exemple d’interprétation opérateur-dépendant

P.S. : si on décide d’augmenter la D.V., je ne vois pas l’intérêt de faire un meulage avant
désolé, je raisonne en N.M.

@+ Bjc.


Ylfwcw979cz1jnx9gfqeaxndiuzk - Eugenol
Algi

23/12/2009 à 16h53

1/ tensions, spasmes, blocages appelez les comme vous voulez mais il y a une activité musculaire intense qui amène au bruxisme. Ici je me base sur ces bruxismes non iatrogénes qui commencent trés tôt et pas sur des bruxismes eventuellement de compensation pour eliminer une suroc iatrogéne.

Tant qu'on y est, ces fameux bruxismes de compensation si ils sont décrits ne reposent malheureusement sur rien de scientifique, au mieux sont-ils admis mais en aucun cas autrement acceptables que theoriquement ou sur les dires de untel ou untel.
C'est vrai qu'il est facile de dire qu'une dent gène et que donc la patient grince pour l'user, je l'ai moi même longtemps pensé et sans doute est-ce juste dans certains cas. Mais alors pourquoi, au bout de x mois ou années, lorsque la fauteuse de trouble ou son antagoniste sont enfin usées le pauvre type ne cesse-t-il pas de bruxer, au fait?

2/ le bruxisme installé le patient bouffe ses dents et diminue sa dv peu à peu.

Ici pareil, il y a un truc qui cloche: la nature a prevu que lorsque les dents s'usent une egression de compensation se met en place. Pourquoi là y'en a pas? Et si y'en a une alors est-ce utile de remonter les dents sinon pour les rendre plus jolies?

D'où la question: si y'a pas egression c'est que quelque chose bloque... le spasme maseterin me parait un excellent candidat au role "d'empecheur d'égresser"

Autre chose encore: les supraclusions..... quid de ces gens dont, dés la 4, on a une marche d'escalier au niveau mandibulaire???? Quelle raison sinon une raison musculaire?

ps: je vois venir les petits malins qui diront que c'est la langue.... et la langue c'est pas des muscles????

3/ Le Dr Tartempion, dentiste de son état, decide de remonter cette dv pour redonner des volumes dentaires corrects.

4/ Le Dr Tartempion a de la chance et le machin tiendra quelques années même si le patient continue à bruxer. Comme il aura alors à degommer des ceramiques ou des coiffes coulées ça prendra peut être du temps pour user les couronnes, le risque est alors aussi au niveau paro ou fracture racines, si les dents sont trop dures pour être usées c'est autre chose qui lâchera.

5/ Ce que j'en pense: si on allonge les dents on augmente l'effet de levier et donc on augmente le risque de casse, il est imperatif de faire lâcher les contractions des masseters sinon on court à la catastrophe.

Au pis aller on fera des gouttieres de protection nocturnes voire à port constant hors des repas.

Si on veut pas des gouttieres..... on peut tenter la mise sous myorelaxants, les infiltrations des pterygoidiens ou du ganglion de gasser, la sophrologie, l'hypnose..... tout ça c'est pas mieux et si certains y arrivent c'est loin d'être la majorité qui s'en sort.

Pour les feignants y'a la nti machin chouette, y'a aussi le head balance et pourquoi pas faire un voyage à Lourdes ou alors mixer le tout.

En plus rigolo on peut emigrer à amsterdam ou à la jamaique et essayer la ganja pour limiter son stress (cf la tronche de doc gyneco dans certaines emissions y'a quelques années en arriere, l'avait plutot l'air détendu du mobile pour paraphraser une pub connue à laquelle il participa).

Sinon.... ben sinon, il semblerait qu'avec ce que le crroc propose comme protocoles et manoeuvres on arrive à faire lâcher ces tensions et donc on arrive à faire cesser le bruxisme sans avoir à passer par tout ça.

Bjc: meulages...... si passer un pop on sur une face vestibulaire de 35 pour adoucir un contact c'est atrocement mutiler une dent de façon irreversible alors oui je suis un salopard et je m'incline bien bas, tu as raison.

Ensuite pour repondre au "si on décide d’augmenter la D.V., je ne vois pas l’intérêt de faire un meulage avant
désolé, je raisonne en N.M."

a/ N.M. c'est quoi? Nul Mauvais?
b/ On commence par equilibrer en liberant les tensions musculaires, ensuite si necesesaire on realise des meulages, ensuite et seulement ensuite on reconstruira et eventuellement on remontera la dv si c'est necessaire.


Derniere chose en ce qui concerne les meulages: depuis plus d'un mois je n'en ai presque pas réalisé, une fois toutes les lignes musculaires testées et libérées il n'y a quasiment plus jamais lieux de realiser une equilibration.

Au fait, les lignes testées y'en a 16, 8 à gauche, 8 à droite, comme les dents curieusement.

Oilà je vais m'arreter là.

Pour ceux que l'aventure interresserait le crroc va bientot mettre en place un site, ouvert aux membres de l'association à jour de cotisation.
Sur ce site y'aura de quoi bosser et comprendre de quoi on cause, y'aura surtout des protocoles à réaliser dont les resultats seront à nous faire parvenir; comme ça seuls ceux qui reellement veulent essayer et sont prets à mettre la main à la pâte feront partie de l'assos.

Ces protocoles permettront de valider statistiquement ce qu'on raconte et seront eventuellement publiables afin que notre ami hallboy cesse ses jeremiades. A ce titre il peut, lui comme les autres, venir aux renseignements et demarrer dans son cabinet; il était et reste à mon avis le bienvenu.

--
"On a toujours le choix! Mais entre quoi et quoi?
Vas-y boulégue et l'avenir te le dira!"


Grueavatar nptrc9 - Eugenol
Le Choixpeau magique

23/12/2009 à 18h33

Vous êtes quand même carabinés, il y a une paire d'années vous nous expliquiez que l'occlusion était tout, vous travailliez du confetti et de la meulette, et qui osait être dubitatif se faisait renvoyer brutalement dans ses buts.
Aujourd'hui, vous nous expliquez que le bruxisme est d'origine centrale (ce que j'ai beaucoup moins de mal à accepter) et que l'occlusion est sans intérêt (je schématise peut être).
Isaie nous dit tout le temps que l'occluso n'est pas satisfaisante, qu'on ne sait rien soigner, etc... chose avec laquelle je suis également plutôt d'accord. Mais qu'est-ce qui nous dit aujourd'hui que vos théories (qui ne restent que des théories, convenez en avec nous), sont plus valables que les 50 000 autres théories et protocoles miraculeux imaginés par d'autres occlusos avant vous ?
Tant que vous n'adopterez pas la démarche scientifique d'expérimentation et de vérification, vous voguerez d'une théorie à une autre aux aléas de votre imagination.
Je sens que dans deux ans, on aura encore cette conversation à propos d'une nouvelle théorie qui aura une fois de plus tout remis en question.
Le bruxisme est probablement d'origine centrale, mais vous cherchez une recette magique (et simple) de guérison à un bogiboulga sur lequel nous n'avons quasiment aucune connaissance puisque ça reste un terrain quasi vierge à explorer. Et je ne suis pas sûr qu'on soit encore dans le champs de compétence du dentiste.


1 p3qrc4 - Eugenol
Bjc.

24/12/2009 à 00h35

""b/ On commence par equilibrer en liberant les tensions musculaires,""
comment? secret d’état, sauf pour ceux qui sont à jour de leurs cotisations, on attendra donc les publications !!!!

"" ensuite si necesesaire on realise des meulages,""
confettis ? N.N.S. nécessaire!

""ensuite et seulement ensuite on reconstruira et eventuellement on remontera la dv si c'est necessaire.""
éventuellement ? de combien ? au N.N.S. ?

bien vague tout ça


1 p3qrc4 - Eugenol
Bjc.

24/12/2009 à 00h41

""Ici pareil, il y a un truc qui cloche: la nature a prevu que lorsque les dents s'usent une egression de compensation se met en place. Pourquoi là y'en a pas?
D'où la question: si y'a pas egression c'est que quelque chose bloque...""

Encore un bon exemple d’interprétation opérateur-dépendant
et si l’égression passive était insuffisante pour compenser l’usure due au bruxisme ?

(la nature serait elle mal faite?)



Smile beach jgh0a1 - Eugenol
Céramik

24/12/2009 à 00h48

Bjc. écrivait:
--------------
> ""Ici pareil, il y a un truc qui cloche: la nature a prevu que lorsque les dents
> s'usent une egression de compensation se met en place. Pourquoi là y'en a pas?
> D'où la question: si y'a pas egression c'est que quelque chose bloque...""
>
> Encore un bon exemple d’interprétation opérateur-dépendant
> et si l’égression passive était insuffisante pour compenser l’usure due au
> bruxisme ?
>
> (la nature serait elle mal faite?)
>
>

L'égression passive/de compensation est un mythe...
tout comme l'ingression suite à l'augmentation de la DV...
un autre mythe...

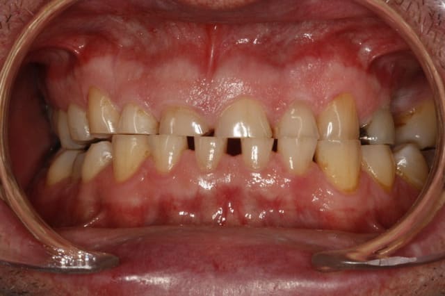
Elle est où l'egression ici ?

--
Céramik

 mg 1814  1024x768  ikeam2 - Eugenol

3f3boxni50k58rq7e9ce9ddqrxgk - Eugenol
dentiste57

24/12/2009 à 16h06

Algi écrivait:
--------------
> Trouver la cause premiere, coiffe, amalgame.... que du iatrogéne donc selon toi.
>
> Alors comment expliquer les bruxomanes sur dents naturelles, les bruxomanes à 18
> mois et j'en passe?
>

peut être parce qu'à 18 mois le nombre de dents lactéales n'est pas encore au complet. on en revient alors aux pb de malposition dentaire...


> Un exemple tiens: patiente vue ce matin, elle vient pour une douleur 18 sans
> raison apparente (radio, sondage, examen rien de rien).
>
> Je verifie la symetrie de ses bras bouche ouverte, je lui demande alors de
> serrer les dents: bras + court à droite, signant une suroc à droite.
>
> Dans la foulée je teste diverses lignes musculaires selon le dernier protocole
> mis en place avec daniel, verrouillage sur des choses en rapport avec son pere
> qui est gravement malade et va vraisemblablement deceder bientot. Selon notre
> protocole je tape alors sur les dents qui correspondent aux lignes bloquées, je
> neutralise l'effet musculaire de l'evocation mentale et je reverifie les bras en
> pim: symetriques.
>

je connais bien ce genre de tests, ils peuvent s'interpréter de toutes les façons possibles et imaginables. tu y crois et tes patients adhèrent tan mieux pour toi. pour ma part, je pense que certains contactes dentaires entrainent un déséquilibre et une compensation par la chaine musculaire, c'est bien une réalité mais les interprétations sont bien souvent erronés.


> Conclusion de cette seance en ce qui me concerne: il y avait effet musculaire
> d'une evocation mentale ("emotion" donc,que je définis personnellement comme
> "souvenir ou image mentale s'accompagnant d'effets physiques").
> La tension musculaire asymetrique modifiait les contacts dento dentaire et
> provoquait une suroc à droite. Par mes maneouvres j'ai permis à la patiente de
> ne plus être en torsion avec cette evocation mentale et supprimé la suroc sans
> meulage ni modification de la dv.
>


mouaip! c'est là que ça dérive...


> Concernant ce que tu dis sur remonter une dv tu as juste, le seul probleme est
> que si cette dv convenait le patient n'aurait pas bruxé pour la reduire et donc


on devrait mieux dire que le bruxime à entrainé l'usure des antagonistes et donc la perte de dv plutôt que de dire que c'est par ce que celle ci ne plaisait pas au patient que celui ci a cherché à la diminuer en bruxant non ?



> il faut, avant de lui redonner cette dv, eliminer la cause premiere sinon il
> recommencera à user et cassera tout.... en tout cas il risque.


justement, pour ce patient, vraisemblablement, c'est l'usure qui s'est produite sur son vielle appareil qui à mit les dents restantes dans la même situation qu'une dent égressée. on en revient encore à la mécanique.(je ne néglige pas l'origine centrale pour autant)