Cookie Consent byPrivacyPolicies.comTraitement implantaire de A à Z - Eugenol

Traitement implantaire de A à Z

Photo pluton1b h9n4ea - Eugenol
pluton

24/11/2009 à 17h41

Independentiste écrivait:
-------------------------

> Implant central unitaire , à mon humble avis , ça ne me semble pas être un cas
> pour débutant .
> Me tromperais-je?

non, c'est toujours un chalenge esthétique...
maintenant...faut bien commencer par quelque chose...et à bien y regarder...un implant secteur prémolaire/molaire, y a le sinus ou le NDI, donc pas forcément pour un débutant,...2 implants pour stabilisation de prothèse complète avec bouton pression?....carambar encore raté car faut aussi gérer l'espace prothétique et c'est parfois plus coton qu'on le croit...

j'ai la solution.....ne pas être un débutant...;-))


Img 8465 fqhxid - Eugenol
noahaxeltiger-olivier

24/11/2009 à 18h17

Independentiste écrivait:
-------------------------
> Implant central unitaire , à mon humble avis , ça ne me semble pas
> être un cas pour débutant.
> Me tromperais-je?

Effectivement. Mais le but de ce post c'est plus de montrer le déroulement du traitement avec des trucs cliniques ou au niveau du laboratoire.
Maintenant c'est vrai que ceux qui se lancent en implanto (j'aime pas le mot "débutant") doivent aussi être curieux. Il y a des choses avec l'expérience que l'on fait par automatisme sans plus se poser des questions. Donc si il y a un truc qui choque, qui intrigue ou que ne semble pas très clair, il faut demander le pourquoi.

Allez, ceux qui implantent, suivez l'exemple de growler et faites nous partager vos trucs.

Amicalement
Olivier.


Img 8465 fqhxid - Eugenol
noahaxeltiger-olivier

25/11/2009 à 01h16

jeamba écrivait:
----------------
> Olivier, je suis frustré car j'ai été séduit par ton implant provisoire qui
> rendrait service dans pas mal de cas de passage d'une implantation partielle à
> une implantation complète tout en permettant au patient de garder et une
> fonction masticatoire et esthétique, mais je n'ai pas eu d'explications le
> concernant, ce n'est pas urgent prend le temps de me répondre.
> Merci.


désolé jeamba de n'avoir pu te répondre plus tôt. Les implants provisoires que j'utilise sont de chez Nobel. Tu as là le lien avec toutes les infos dont tu peux avoir besoin pour leur utilisation : http://www1.nobelbiocare.com/Images/IPI_Manual_9602_GB_C4_tcm57-13024.pdf
Ces implants sont utiles dans certains cas et simple d'utilisation. Le seul hic pouvant limiter leur utilisation : leur longueur de 14mm

Amicalement
Olivier


Fresh watermelon 640x562 udulqz - Eugenol
gulguch

25/11/2009 à 01h20

pxav écrivait:
--------------

> je reviens sur ton incision en W, question : est il possible de la faire en M,
> (W inversé), différence de résultat?
>

Ce w ça ressemble au split finger de Misch. Bonne technique.
A+


S2y2o1v7q53ws4r5wy6ou8czrpom - Eugenol
pxav

25/11/2009 à 07h05

noahaxeltiger-olivier écrivait:
-------------------------------
> Allez, ceux qui implantent, suivez l'exemple de growler et faites nous partager
> vos trucs.
> Amicalement
> Olivier.

j'y pense, mais j'ai vraiment trop de taf en ce moment, vous aurez ça dans vos chaussons après noël

pour ne pas risquer de faire de l'ombre, je crois que je présenterais deux façon de faire:

une académique avec Wax up et tout et tout, et une à la Luky Luke, bonjour, ouvrez, c'est planté!

parce qu'une mise en bouche, rapide quelques fois c'est suffisant....

:-))
--
xb,


Photo pluton1b h9n4ea - Eugenol
pluton

25/11/2009 à 08h24

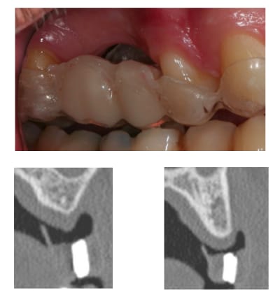
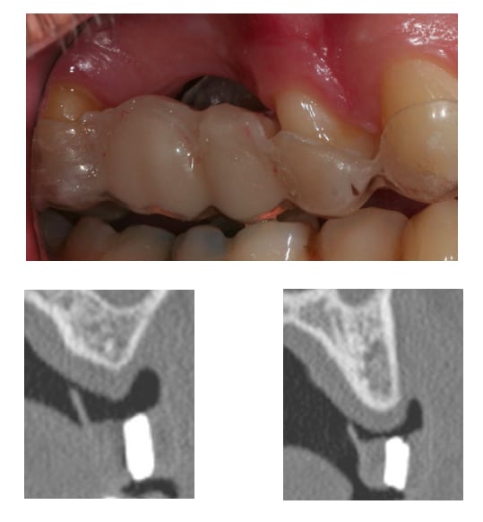
+1...je vais essayer de vous montrer quelque cas...certainement hautement criticables pour les spécialistes...mais, je pense, assez représentatifs de ce que fait, ou peut faire, un omnipraticien qui fait un peu d'implanto...


S2y2o1v7q53ws4r5wy6ou8czrpom - Eugenol
pxav

25/11/2009 à 09h05

pluton écrivait:
----------------
> +1...je vais essayer de vous montrer quelque cas...certainement hautement
> criticables pour les spécialistes...mais, je pense, assez représentatifs de ce
> que fait, ou peut faire, un omnipraticien qui fait un peu d'implanto...

+1
il n'y a pas que des "spécialistes" et la critique est constructive!
--
xbk


P1010130 jpci1f - Eugenol
MarcB6

25/11/2009 à 10h01

noahaxeltiger-olivier écrivait:
-------------------------------
> Allez, ceux qui implantent, suivez l'exemple de growler et faites nous partager
> vos trucs.
>
> Amicalement
> Olivier.

Salut Olivier,

Je voudrais bien présenter des cas et suivre l'exemple comme tu dis,
mais j'ai un souci car je n'ai pas de photos per opératoires et c'est bien dommage.

Seul avec une assistante ce n'est pas évident d'iconographier les cas en per op.

Du coup la présentation perd un peu de son intérêt non ?

Amicalement

--
marcB6


Casque beotien a3jo39 - Eugenol
beotien

25/11/2009 à 15h24

MarcB6 écrivait:
----------------
> Salut Olivier,
> Je voudrais bien présenter des cas et suivre l'exemple comme tu dis,
> mais j'ai un souci car je n'ai pas de photos per opératoires et c'est bien
> dommage.
> Seul avec une assistante ce n'est pas évident d'iconographier les cas en per op.
>
> Du coup la présentation perd un peu de son intérêt non ?


C'est aussi une autre façon d'organiser la séance de pose
il faut le prévoir,ou être systématique, en prenez vous a chaque fois?

Pour un cas comme lundi, je ne pense pas que cela ait un intérêt de prendre des photos,sans la blague de céramik je n'en faisais pas
donc c'est pas beau
sang sur les lèvres , bétadine le long du Dautray, etc...

une rx avant une pano après, et hop! fin de la séance
les 2 ptes incisions juste pour voir l'os vesti et positionner l'implant








Smile beach jgh0a1 - Eugenol
Céramik

25/11/2009 à 18h48

Pour les photos, j'en prend peut-être trop...
Je fais tjs une avant, une après, parfois aussi en chirurgie (2e AD).



--
Céramik


Logo vuaztn - Eugenol
mac

16/01/2010 à 17h20

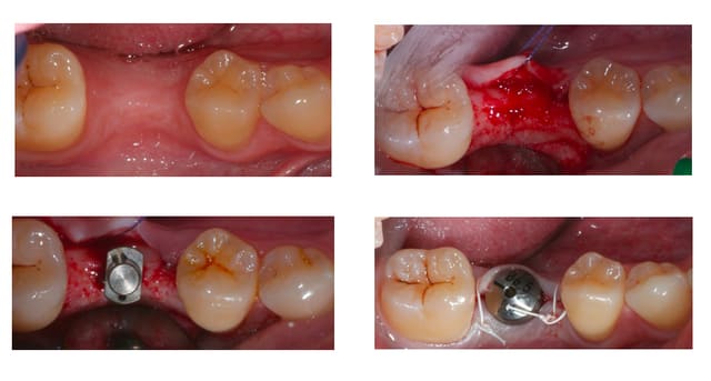
Bon je m'y colle, c'est pas le même niveau qu'olivier, mais ce sujet étant censé être pour les débutants je poste.

Patient 26 ans, à qui il manque 46, 25 et 26.

Pour l'instant je vous propose la partie préparation et mise en place de l'implant en 46, la suite peut être bientôt.

Dans l'ordre si le site veut bien, wax-up ( cirage pour céramik ;) ) , guide radio, et scan.

Photos pré-op, indicateur de direction en place et post-op.

Il s'agit d'un implant astra osseospeed de 5 mm de diamètre et 9 de long.

Prothèse prévue à 6 semaines.




Critiques bienvenues.

Photos de face ypkgkb - Eugenol
Chir adwfuz - Eugenol
Radiopost verili - Eugenol
Panopr op sgsdcj - Eugenol
Statutjulien bkmron - Eugenol
Prescan b7wk5o - Eugenol

Blason dql7mj - Eugenol
growler

16/01/2010 à 17h27

puisque tu veux de la critique, impec (juste que je l'aurais mis à peine, mais vraiment à peine moins infra-osseux)

en haut, comment vas-tu gérer les concavités de la crête? greffes?

@+


Logo vuaztn - Eugenol
mac

16/01/2010 à 17h29

growler écrivait:
-----------------
> puisque tu veux de la critique, impec (juste que je l'aurais mis à peine, mais
> vraiment à peine moins infra-osseux)


c'est à cause du profil de la crête, en fait l'implant est juxta-osseux en vestibulaire, par contre moi je le trouve ( légèrement ) trop distal.

> en haut, comment vas-tu gérer les concavités de la crête? greffes?


il est prévu de faire une ROG.


Blason dql7mj - Eugenol
growler

16/01/2010 à 17h30

ROG avant implantation ou implantation avec ROG simultanée?


Logo vuaztn - Eugenol
mac

16/01/2010 à 17h33

growler écrivait:
-----------------
> ROG avant implantation ou implantation avec ROG simultanée?


simultanée avec Bio-Oss et os autogène.


Blason dql7mj - Eugenol
growler

16/01/2010 à 17h36

et membrane? si oui comment vas-tu la stabiliser?

(on dirait un interrogatoire de police :))


Img 0812 mvp6i0 - Eugenol
jeamba

16/01/2010 à 17h38

Quelle sorte de ROG est-elle prévue mac ?


Logo vuaztn - Eugenol
mac

16/01/2010 à 17h40

growler écrivait:
-----------------
> et membrane? si oui comment vas-tu la stabiliser?
>

oui membrane Bio-Gide en double épaisseur, avec rien.


Logo vuaztn - Eugenol
mac

16/01/2010 à 17h50

jeamba écrivait:
----------------
> Quelle sorte de ROG est-elle prévue mac ?


avec Bio-Oss, os autogène et Bio-Gide et pose d'implant simultanée, peut être les photos le mois prochain.

Rog zthe7z - Eugenol

S2y2o1v7q53ws4r5wy6ou8czrpom - Eugenol
pxav

16/01/2010 à 18h18

bonne iconographie et bon travail, même si légèrement distal.
les critiques (dans le sens positif bien sur):
félicite le proth beau wax up.
j'aurais fait une petite expansion en bas ( tu t'en doute) pour retrouver un bombé vestibulaire et
j'aurais mis un peu plus long (12?)
pour le haut je me laisserais aller à une distraction (c'est vraiment un beau cas pour commencer) plutôt qu'une rog, mais tu as fait ton choix.
merci de présenter tes cas.
--
xbk


Logo vuaztn - Eugenol
mac

16/01/2010 à 19h01

pxav écrivait:
--------------
> bonne iconographie et bon travail, même si légèrement distal.
> les critiques (dans le sens positif bien sur):
> félicite le proth beau wax up.
> j'aurais fait une petite expansion en bas ( tu t'en doute) pour retrouver un
> bombé vestibulaire et
> j'aurais mis un peu plus long (12?)


oui j'ai hésité avec un 11, mais je pense pas que ça change grand chose, et pour le bombé le préjudice esthétique est pas très important ;)


> pour le haut je me laisserais aller à une distraction (c'est vraiment un beau
> cas pour commencer) plutôt qu'une rog, mais tu as fait ton choix.
> merci de présenter tes cas.

de rien.


S2y2o1v7q53ws4r5wy6ou8czrpom - Eugenol
pxav

16/01/2010 à 19h19

mac écrivait:
-------------
> oui j'ai hésité avec un 11, mais je pense pas que ça change grand chose, et pour
> le bombé le préjudice esthétique est pas très important ;)

> non, juste le plaisir de faire...


--
xbk


Rorschachwhite tx6rqr - Eugenol
Candide Candida

16/01/2010 à 19h21

mac écrivait:
-------------

>
> Prothèse prévue à 6 semaines.
>

C'est un protocole "classique" chez Astra, je croyais que 6 semaines (en fonctionnel, pas en mise en esthétique) n'était préconisé que chez SLA Active ?

Quel torque pour la mise en place ?

Que penses tu de ce délai ?

CC.




Logo vuaztn - Eugenol
mac

16/01/2010 à 19h28

Candide Candida écrivait:
-------------------------
> mac écrivait:
> -------------
>
> >
> > Prothèse prévue à 6 semaines.
> >
>
> C'est un protocole "classique" chez Astra, je croyais que 6 semaines (en
> fonctionnel, pas en mise en esthétique) n'était préconisé que chez SLA Active ?
>

oui c'est un protocole standard chez astra, 6 semaines c'est pour le SLA chez strauman, pour l'active c'est entre 3 et 4 semaines.


> Quel torque pour la mise en place ?

40 N/cm


> Que penses tu de ce délai ?


ben rien de spécial, c'est le délai que j'utilise depuis la sortie de l'osseospeed chez astra sans problème particulier.


Rorschachwhite tx6rqr - Eugenol
Candide Candida

16/01/2010 à 19h42

Merci pour ces précisions.

Est-ce que tu modules le temps d'OI selon le torque de mise en place, la localisation ou d'autres paramètres, ou est-ce que c'est du 6 semaines point/barre ?

(3-4 semaines, eh bien j'étais loin du compte...)

CC.


1...456...