Cookie Consent byPrivacyPolicies.compas sorti du sable... - Eugenol
belette

06/12/2009 à 16h50


Trop tard, le sable était mouvant....

^ ... ^
Ô"""Ô
= o =


Image odged8 - Eugenol
ploc

06/12/2009 à 17h27

Sid écrivait:
>
> Honnêtement, tu as gardé beaucoup de familles avec la marche à suivre indiquée?

honnetement oui,bien que la question ne me soit pas adressée
ce cas est ds mon cab,patient pas aisé qui se fait soigner ailleurs mais fait un effort financier pr ses enfants
ts les RV ont été respectés
tous les controles st assurés depuis
pr ceux qui ne peuvent pas regler leurs soins,j'ai créé il y a un an une vac à l'hosto ds le service de pediatrie(4/5 enfants pr la matinée )
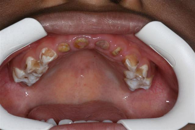
pas de photos sur les cas à l'hosto le jeudi matin(pas le temps et pas facile) mais TOUS les gamins sans exception entre 2 et 14 ans ont ce mme profil carieux)
et les parents assurent leurs RV jusqu'au bout:à l'ouverture de la vac,pas mal d'absenteisme puis au vu des resultats(plus de douleurs,d'abcès,de gamins qui rechignent à s'alimenter et de pleurs la nuit qui reveillent les parents),ils reviennent,cela se dit ds les familles ,et la vac est bookée jusqu'en fevrier malheureusement

un projet temps plein est en cours,freiné par les administratifs qui "craignent que le service ne fasse concurrence aux liberaux"...MDR!!!!!
ça vs tente les cas comme ça?
il me vient une idée d'ailleurs pr faire pression sur l'ARS et l'administration hospitalière:si je lance une petition de liberaux de france et navarre qui attestent être ravis si une structure de ce type s'ouvrait près de chez eux,vous signez?

l'important c'est expliquer,faire en un minimum de temps(par quadrant,les parents doivent voir une amelioration rapide sinon ils se decouragent) et avoir des resultats durables (d'un RV à l'autre si un pansement se tire,c'est la berezina de la confiance,dc eviter les cavits qui se delitent)

Img 0967  medium  nsgy8m - Eugenol
Img 1088  r solution de l  cran  che2lv - Eugenol

S8ysxdzhdqgw00w4q6m07a5d47q2 - Eugenol
gai-luron

06/12/2009 à 17h45

Si j'en ai gardé?
Même si j'en avais gardée qu'une, j'aurais au moins fait mon boulot.


S8ysxdzhdqgw00w4q6m07a5d47q2 - Eugenol
gai-luron

06/12/2009 à 17h49

Sid écrivait:
-------------

> Comprends de ton côté que cette situation unique dans le milieu médical finisse
> par obséder les dentistes,


si ça les obsède au point qu'ils ne pensent plus que par ça, faut changer de boulot et en faire un dans lequel il n'y aura pas toutes ces contraintes.



et qu'ils se demandent eux aussi combien vont leur
> coûter leurs bons sentiments,



il ne s'agit pas de bons sentiments, mais de soins.



dans un contexte général où ils passent pour des
> enculés de première à longueur de reportages et d'articles populaires...


d'accord avec toi là-dessus. Mais faut pas que ça empêche de faire le boulot.
Eugénol est un site public. Lu potentiellement par tout le monde. Tu vois ce que je veux dire... toi aussi, par ce genre de remarque, tu décridibilises un peu la profession.


55 s2ba7n - Eugenol
Sid

06/12/2009 à 18h45

gai-luron écrivait:
-------------------
>
> Eugénol est un site public. Lu potentiellement par tout le monde. Tu vois ce que
> je veux dire...



Ca ce n'est pas moi qui décide.
Nous avons aussi cette particularité, notre forum est lu par nos patients.


55 s2ba7n - Eugenol
Sid

06/12/2009 à 18h47

ploc écrivait:
--------------
>patient pas aisé qui se fait soigner ailleurs mais fait un
> effort financier pr ses enfants
>


Tu peux t'arrêter ici, puisque le cas clinique présenté par athos comportait le paramètre "CMU".


Grueavatar nptrc9 - Eugenol
Le Choixpeau magique

06/12/2009 à 18h59

Ploc, sur le cas que tu montres, tu as fais les pulpecs sur les incisives et juste fermé comme ça ? Le gamin a une pap en plus ?


Utilisateur banni

06/12/2009 à 19h55

ploc écrivait:
--------------

> pr ceux qui ne peuvent pas regler leurs soins,j'ai créé il y a un an une vac à
> l'hosto ds le service de pediatrie(4/5 enfants pr la matinée )

> mais TOUS les gamins sans exception entre 2 et 14 ans ont ce mme profil carieux)

> un projet temps plein est en cours,freiné par les administratifs qui "craignent
> que le service ne fasse concurrence aux liberaux"...MDR!!!!!
> ça vs tente les cas comme ça?

Démarche très intéressante. Moi je signerais pour un projet local de ce type.

Je ne vois pas où est la "concurrence" sur ce genre de cas dramatique, sauf peut-être à l'encontre de praticiens passionnés de pédo (que je ne suis plus, pourtant avec une thèse de pédo avec prix de thèse...) dont Athos fait peut-être partie.

D'ailleurs l'un d'entre nous m'a fait remarqué que mon premier post à son encontre était trop dur. Je l'ai relu et je suis d'accord. Toutes mes excuses si j'ai vexé les bonnes intentions d'Athos, qui, je l'espère me démentira dans quelques mois.

Enfin concernant la pression administrative, elle se rappelle à nous chaque jour. Peut-être un peu bcp en cette fin d'année...si bien qu'elle débarque finalement là où elle ne le devrait pas.

Et pour mes clés Ciwil...ben, toujours pas de bonnes nouvelles...


Image odged8 - Eugenol
ploc

06/12/2009 à 21h39

Sid écrivait:
>
> Tu peux t'arrêter ici, puisque le cas clinique présenté par athos comportait le> paramètre "CMU".

le mien aussi :c'etait le choix du père de rester au cab
et je crois à l'intelligence du portefeuille... mme si je joue parfois au bon samaritain en ajustant mes tarifs en fonction des patients(incorrect je sais!) ou en repoussant la pose du chèque,ils se doivent de faire un effort et s'impliquer
pr ceux qui préferent,et le choix leur est donné, il y a l'hosto avec les inconvenients inherents à cette prise en charge mais la mme praticienne et la mme AD
c'est tout ce que j'ai trouvé comme compromis entre ma conscience sociale et la survie de ma PME telle que je la veux
comme dit marcapap,la dentisterie est faite de compromis et de choix...:)

pr choip
non j'ai juste traité et gardé les racines pr garder l'espace
c'est
- un compromis de temps(il avait 4ans1/2)
-un compromis financier:ce n'était pas si important pr l'avenir de faire une PAP alors pourquoi la faire à part remplir le mien de portefeuille,d'autant que cela veut dire envoyer l'empreinte en metropole avec les couts de chronopost qui viennent encore augmenter le devis


allez athos c'est recadré technique ou à peu près, tout le monde supplie, on attend ta suite
déjà comment envisages tu d'organiser les seances?(je me repète mais la pano ns permettrait d'y reflechir aussi et de voir comment chacun gèrerait,toute consideration financière exclue)


Grueavatar nptrc9 - Eugenol
Le Choixpeau magique

07/12/2009 à 00h44

ploc écrivait:
--------------
> -un compromis financier:ce n'était pas si important pr l'avenir de faire une PAP
> alors pourquoi la faire

Pour éviter que le petit soit la risée de son école ?
Les enfants ne se font pas de cadeaux.


Fresh watermelon 640x562 udulqz - Eugenol
gulguch

11/12/2009 à 18h33

Alors Athos, qq elle devient cette petite?
G.


poilde

11/12/2009 à 18h57

Il est sans doute un peu irrité. J'ai du mal à croire au succès de son entreprise (pas d'extraction).
J'ai eu des cas semblables comme vous, je n'ai eu que peu de résultats, c'est surtout lié à un mauvais entourage familial etc...
Une chance, la gamine a sonné chez athos.


Image19 iebot6 - Eugenol
athos

25/02/2010 à 13h08

gulguch écrivait:
-----------------
> Alors Athos, qq elle devient cette petite?
> G.

bin mon vieux gul ça avance...mais garde ça pour toi, n'en cause à personne, je veux pas avoir de problèmes:)


steg

25/02/2010 à 13h40

il n'y a qu'une chose a dire FELICITATION heureusement qu'elle a rencontré un dentiste comme toi.


200106 10150128247663588 709988587 6466236 5598391 n d7mksb - Eugenol
hallboy

25/02/2010 à 14h16

Ben....


Remarque, je le savais dejà que j'avais pas le niveau.....



Chapeau bas Monsieur Athos... !!!

;)


Dr - Eugenol
JeRis

25/02/2010 à 14h40

... joli!!!

Mais boulot pas rentable ... tu vires.

;)


belette

25/02/2010 à 14h53

Bah! Suffit d'avoir le sens de l'orientation...
^ ... ^
Ô"""Ô
= o =

Suivez le guide.. - Eugenol

Image odged8 - Eugenol
ploc

25/02/2010 à 19h52

super!

apparemment la 1ère phase a été bouclée en 2 mois?

peux tu ns donner les nombres de seances,les actes effectués au cours de celle ci ,en clair l'organisation des seances,nbre par semaines et longueur qu'elle a pu supporter à 13 ans pr arriver à ce resultat
si en dehors du resultat technique(parfait:) on peut aussi progresser en ergonomie,cela m'interesse

merci


Images 1 qtgoxf - Eugenol
ciwil

25/02/2010 à 20h11

je suis sûr que tu t'es payé avec la lueur de reconnaissance dans l'oeil de ton patient :)
beau travail technique.. et humain


levm

25/02/2010 à 20h12

athos écrivait:
---------------
> gulguch écrivait:
> -----------------
> > Alors Athos, qq elle devient cette petite?
> > G.
>
> bin mon vieux gul ça avance...mais garde ça pour toi, n'en cause à personne, je
> veux pas avoir de problèmes:)

Je suppose que tu n'as pas fait les devis de couronnes en même que les endos ....
Blague à part , tu soignes tous tes patients CMU de la meme maniere ou alors c'est le contexte "affectif" qui t'as donner l'envie de traiter ce cas .
Beaucoup de praticiens (dont moi) auraient adressés ce cas .


riad

25/02/2010 à 22h50

beau processus de cristallisation lenticulaire.


marcus

25/02/2010 à 23h09

hallboy écrivait:
-----------------
>
> je le savais dejà que j'avais pas le niveau.....

> Chapeau bas Monsieur Athos... !!!

+1 hallboy
+ 10 Athos !!!!!!!

(Sans rentrer dans les considérations financières ), j'étais de ceux qui étaient sûrs que la gamine viendrait une fois ou deux puis se lasserait.
Sur le plan technique , bravo ( bien que nous devrions tous faire de même)

Par contre , " Chapeau bas Monsieur Athos ! " , pour avoir réussi
à motiver ta patiente et à l'avoir persuadée , ainsi que son entourage , de terminer ses soins.

RESPECT MONSIEUR.....................

( comment as tu fait ? )


Image odged8 - Eugenol
ploc

26/02/2010 à 09h21

et aussi: comment as tu defini ton occlusion et tes calages posterieurs actuels ?


Image19 iebot6 - Eugenol
athos

26/02/2010 à 09h27

suis rouge pivoine:)

bin trop merci vous ètes des anges, mais je dois avouer que z'ètes aussi trop gentils.
En fait je n'ai rien fait qui sorte des normes de traitements classiques, voire basiques (imaginez un peu l'aspect que ça aurait eu dans des mains alhouniennes...)

Pour répondre un peu aux questions sympathoches:

-pas plus d'affect dans ce traitement que dans un autre, ni de différences techniques dues à la situation de la patiente (cmu, etc...), pas de mérite à ça j'en suis incapable

-dans la motivation et la conduite du traitement, le mérite revient surtout à la petite (ce qui paraissait chouette au dentiste aux premières séances n'étant pas forcément pour elle boulversant) la reconnaissance à terme sera largement partagée.

-pour l'organisation des séances, rien que de très classique comme on dit ici: séances longues, par secteur, sous anesthesie regionale, en groupant ce qui est groupable et en évitant de faire une co.....

En fait j'ai bien de la chance, je suis sur que la plupart d'entre nous aurait aimé hériter de la patiente....mais c'est moi qui l'ai eue!:):)


Image19 iebot6 - Eugenol
athos

26/02/2010 à 09h49

mes problèmes d'origine et à venir vont résulter de mes insuffisances, lire l'avenir ortho par exemple, bien que je ne pense pas qu'il y aura besoin de traitement, la situation de départ ne me permettait ni de savoir ni de déléguer (sans qu'on me rigole au nez).

pour caler en post je n'ai pas voulu modifier la situation pour ne pas contrarier l'évolution naturelle, alors ça a été pour l'instant:
-sur molaire ajout de cire sur modèle sans augmenter la hauteur ( j'ai comblé les manques), auto moulage en bouche
-sur premo reconstitution de l'anatomie telle qu'elle était encore visible.
verre iono molaire et compo premo, pour l'instant.

C'est sûr, ce n'est que "stabilisé", mais ce n'est pas terminé et l'avenir appartiendra à de meilleurs que moi si besoin, pour l'ortho (je pense que non) pour l'occluso (je ne crois pas non plus) pour les implants (mon Dieu je m'en mangerais les c.....!!).

Mais j'ai encore de quoi faire, prochaine étape le sourire (même prov), revoir l'articulé, faire les restes de caries, ensuite nul doute que la patiente pourra se présenter à d'autres prat qui adoreront sa motivation.