Tous les forums
premolarisation????
15/12/2009 à 22h58
salut tout le monde
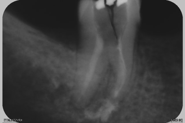
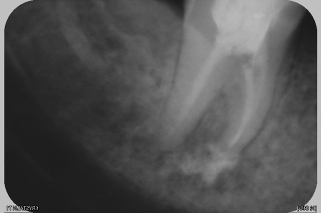
un patient vient consulter pour des douleurs sur une 37
la dent été traitée par un autre confrere ça fait plus que 10 ans, il y a eu une tentative de retraitement par un autre confrere il ya 4 mois
la dent est douleureuse, "des douleurs modérés" selon le patient qui evoque avoir entendu un bruit bizarre lors de la mastication et depuis lors les douleurs persistent, s'aggravent à la mastication.
vue la situation de la dent ( dent posterieure terminale, la 36 etant perdue) y'a t il possibilité de premolarisation pour aumoins garder une racine!????
merci
15/12/2009 à 23h05
ben ça dépend de ton plan de traitement, quel est le bénéfice pour ton patient à garder la racine dist?
15/12/2009 à 23h07
le patient n'a pas les moyens pour faire unimplant, une recine distal permet une restauration fixée de l'edentement, mieux que la prothese amovible, ainsi que garder un capital osseux pour un implant dans 5 ans.
15/12/2009 à 23h11
honnètement, tu penses qu'un reconstitution racine dist 7 6 abs, 5 va être durable? Perso je ne pense pas.
Et bridge 3 dents foutu Puis PPA je ne suis pas certaine qu'on n'atteigne pas vite fait le budget de 2 implants....
Qu'en dis-tu?
15/12/2009 à 23h18
alors?? qu'est ce que je dois proposer au patient qui declare carrement incapable de faire un implant dans au moins 5 ans??? exo??? et puis???
15/12/2009 à 23h27
Ecoute, tu es dentiste, tu connais la meilleure solution, non ??
La solution de la PPA en attendant est peut-être la moins pire sur le court terme. En attendant......
15/12/2009 à 23h29
je suis debutant et j'ai pas " le recul clinique " pour decider du pronostic de la premolarisation que dire alors d'un bridge sur une racine distale de la 37 et c'est pourquoi je demande avis à mes confreres les plus anciens et plus competents.
:-)
15/12/2009 à 23h59
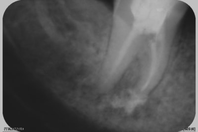
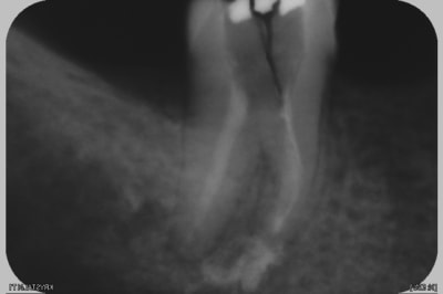
le rapport hauteur couronne/racine de 37 n'est pas terrible.
Si l'espace entre la racine distale de 37 et la prémolaire était réduit et que la racine de 37 plus longue, pourquoi pas ?
Mais dans ton cas ça me parrait compromis de faire un bridge.
16/12/2009 à 03h11
La molaire très moche, tu la vires.
Le patient ne peut faire un implant ? et puis ? Tu la vires quand même.
Suivant.
--
Céramik
16/12/2009 à 11h15
Salut,
Tu traites ton patient comme tu voudrais être traité !! Ne pouvant assumer la charge financière d'une solution implantaire, la solution fixe avec une racine distale 47 - 45 est une solution raisonnable. L'inconfort d'une PAP unilatérale pour un secteur postérieur court me semble tel que la prothèse finit vite sa vie dans un tiroir.
Nos confrères à l'ère des implants ont tendance à oublier qu'il existaient avant des solutions certes perfectibles mais tout à fait valables.
Je sais que les exemples personnels ne peuvent servir de règle générale mais à chaque fois que j'ai eu recours à ce type de solution, le patient a conservé une fonction masticatrice fixe encore en place aujourd'hui. Plus de 15 ans de recul pour les plus anciens.
Il faut aussi que les conditions de réalisation soient optimales : bon traitement endo, pas de souci paro, racine massive, bridge court, pas un bruxomane carbocalcique...
Cordialement.
16/12/2009 à 12h28
+1 avec doc-driba.
Tu ne risques rien à faire ce bridge.
Si l'autre pilier est solide et pas trop loin, si la hauteur des couronnes est raisonnable,si tu fais faire des faces occlusales réduites. Et surtout préviens le patient que c'est relativement fragile.
En plus cette molaire est tout à fait 'prémolarisable'.
^ ... ^
Ô"""Ô
= o =
16/12/2009 à 12h58
pas d'accord vu l'espace et la taille de la racine...bon courage pour ton choix, car finalement on ets tous d'un avis différent...
16/12/2009 à 13h16
Avec une radio de la 5 en meme temps, on serait un peu plus à l'aise pour faire le diagnostic et proposer un plan de traitement alternatif à l'implant raisonnable.
Après tout, si on devait n'écouter que les "up to date dentists" qui s'expriment ici, il faudrait appeler notre forum autrement qu'eugenol, ce produit étant de très loin dépassé aujourd'hui. Bling-bling-dent point com peut-etre ?
16/12/2009 à 14h01
Je ne comprends pas Marc, un bridge 5-(6)-R7, ça te paraît une solution raisonnable et un ou deux implants une solution bling-bling ???
Il n'y a pas besoin d'être up2date pour dire que le bridge proposé est casse gueule et ne répond pas aux impératifs de base de la PF rappelés entre autres par Schillingburg.
Pour finir quand on parle de "pas les moyens" pour un implant, alors qu'on propose un traitement en prothèse fixée qui va coûter au bas mot 2000euros, ce qui permettrait déjà de payer une belle six, moi j'ai comme un doute...
Quand j'en entend certains dire "mon patient n'a pas les moyens", moi j'entends "je fais pas d'implants, de toute façon il n'a pas la tête à accepter".
16/12/2009 à 14h31
Choixpeau, je te l'ai déjà dit, relève la tete de tes bouquins et respire la vraie vie.
Maintenant, je voudrais avoir la radio pour me prononcer.
Je viens justement de voir un de mes patients adressé pour implant à Ph Khayat : il me propose soit un implant en place de 26 avec greffe sinusienne, soit bridge bien que les piliers ne soient pas tip top, (mais vu le contexte, ça peut faire l'affaire, je ne vais pas détailler c'est un peu compliqué).
J'ai une haute estime pour les frères Khayat, parce que ce ne sont pas des guignols qui ne voient les choses que sous un seul angle, comme certains sur ce forum.
16/12/2009 à 14h49
Marc Apap écrivait:
-------------------
>
> Je viens justement de voir un de mes patients adressé pour implant à Ph Khayat :
> il me propose soit un implant en place de 26 avec greffe sinusienne, soit bridge
> bien que les piliers ne soient pas tip top, (mais vu le contexte, ça peut faire
> l'affaire, je ne vais pas détailler c'est un peu compliqué).
>
et marco c'est quoi le rapport avec la choucroute?
non parce que si il faut raconter sa vie moi j'ai un patient qui a l'alternateur de sa voiture a changer.
16/12/2009 à 16h14
-------- "Pour finir quand on parle de "pas les moyens" pour un implant, alors qu'on propose un traitement en prothèse fixée qui va coûter au bas mot 2000euros, ce qui permettrait déjà de payer une belle six, moi j'ai comme un doute... "
Nan quand même... pas d'accord..
bridge "métal" de ce type coute à peu pret 2*300 euros + inlay 150 euros = 750 euros
Mais en plus... on cote un Spr 30+Spr50...
Le patient avec une mutuelle moyenne va avoir au moins 450 à 500 euros de remboursé ce qui lui met que 250 euros de sa poche
La solution implantaire est la meilleure on est tous d'accord mais c'est 2* 2000 = 4000 euros avec un spr 30 de remboursement bref 3800 euros pour la poche du gars sans compter que les implants c'est bien mais ca fait mal... c'est long ...etc...
ce qui fait une sacrée différence quand même faut pas déconner même si ca reste la meilleure solution si le gars est motivé et riche
La PPA ... je dis non parceque pour le coup c'est de l'argent gaspillé pour un bout de résine qui va trainer dans le tirroir 15 jours aprés
La conduite à tenir a mon avis ....
Prévenir le patient que la racine est fragile, mettre un beau petit bridge provisoire... attendre 1-2 mois pour voir si ca tient le coup et si c'est le cas... un bridge sympa pas trop cher dans notre bon vieux nickel chrome des familles
c'est la crise je vous rapelle !!!
16/12/2009 à 16h51
Pano ?
Occlusion ?
Les cas que j'ai vu ont terminés avec la perte de la pré-molaire (carie, endo, fracture), donc avec une dent pillier en moin. Bref 3 dents manquantes au total, même 5-10 ans plus tard, c'est pas la joie...avec moins d'os pour faire les implants, un patient plus âgé, etc (expansion ? ).
Un bridge Chrome machin, ça fait 20 ans qu'on ne fait plus cela chez nous, au moins en or, avec occlusion très réduite.
Mais bon, Marc va nous dire que dans le bon vieux temps, c'était plus simple...
--
Céramik
16/12/2009 à 17h20
Céramik écrivait: Les cas que j'ai vu ont terminés avec la perte de la pré-molaire ...
Normal ! Tu récupèrent ceux qui cassent; tous ceux qui tiennent ne viennent pas te voir !!
^ ... ^
Ô"""Ô
= o ----Il sera tjs temps de mettre des implants.
16/12/2009 à 17h25
CK, ta tactique est toujours la meme : considérer que tout ne peut etre que noir ou tout blanc (deuxième option pour toi), et si c'est pas tout blanc, c'est forcément noir donc nul. Comme s'il n'y avait pas de nuance.
Pas la peine de se prononcer en l'absence de tous les éléments d'information, de toute façon.
Pour Mac, je voulais seulement dire que certains implantologistes de renom ne poussent pas systématiquement aux implants et ont l'honneteté de comprendre qu'il puisse parfois y avoir des solutions alternatives, moins "jolies", moins juteuses pour le praticien, mais acceptables.
16/12/2009 à 17h50
Marc Apap écrivait:
-------------------
>>
> Pour Mac, je voulais seulement dire que certains implantologistes de renom ne
> poussent pas systématiquement aux implants et ont l'honneteté de comprendre
> qu'il puisse parfois y avoir des solutions alternatives, moins "jolies", moins
> juteuses pour le praticien, mais acceptables.
Tout a fait d'accord...
j'ai vu il y a pas longtemps une jeune femme sur qui le praticien voulait poser un implant apres avulsion de la 16 (avec certianement élévation sinusale)à cause d'une simple racine MV foirée...
j'ai fait une chtite amputation de la-dite racine et une CCM toute belle sur les deux belles racines restante...
Ca tient, c'est joli quand même et c'est pas cher le tout sans rammoner le sinus d'une jolie jeune femme de 30 ans
Donc les implants c'est bien ... , en abuser ca craint....
16/12/2009 à 23h29
belette écrivait:
-----------------
>
> Normal ! Tu récupèrent ceux qui cassent; tous ceux qui tiennent ne viennent pas
ou bien les cas qui fonctionnent, n'existent pas...
t'as pensé à cela ?
Bon, je ne suis pas le seul à dire cela.
Prend le temps de lire le bouquin de Misch sur le Tx planning, il y a tout plein de statistiques.
Tu ferais quoi si c'était toi ?
--
Céramik