Tous les forums
premolarisation????
17/12/2009 à 00h05
Céramik écrivait:
-----------------
> Tu ferais quoi si c'était toi ?
On pose souvent cette question pour obtenir la réponse la plus sincère.
Honnêtement, en ce qui me concerne, je pense que je répondrais que je veux un implant, mais franchement je n'en sais rien : parce que je ne m'imagine absolument pas être un jour dans cet état. Et du coup, je ne peux vraiment pas me mettre à la place d'une personne à qui ça arrive.
Mais c'est vrai que je suis tombé dans un baril de fluor étant petit.
17/12/2009 à 12h25
Céramik écrivait:
-----------------
> >
> Tu ferais quoi si c'était toi ?
>
>
la question n'est pas celle la....
Tu ferais quoi si c'était toi et que financièrement tu POUVAIS PAS te permettre des implants
pour moi c'ets ca la vrai question...
sinon tout le monde dans ce cas la dirais : implants
17/12/2009 à 12h37
Papat51 écrivait:
-----------------
> Tu ferais quoi si c'était toi et que financièrement tu POUVAIS PAS te permettre
> des implants
>
des économies.
17/12/2009 à 14h06
Céramik écrivait: Tu ferais quoi si c'était toi ?
Si c'était moi le CD, je tenterais le bridge sur la racine distale si le reste le permet dans de bonnes conditions. J'ai un cas identique qui date de 91, que je surveille tjs. MA patiente a 83 ans. J'espère qu'elle l'emmènera au paradis.
Si c'était moi la patiente, je tenterais aussi. Je déteste me faire charcuter. j'ai déjà eu une proposition d'implant, j'ai préféré le bridge ( les dents de part et d'autre étaient déjà couronnées)
^ ... ^
Ô"""Ô
= o =... moi j'ai grandi contrairement à marc dans un chaudron de confiture :-()
17/12/2009 à 15h00
Papat51 écrivait:
-----------------
>
> Nan quand même... pas d'accord..
> bridge "métal" de ce type coute à peu pret 2*300 euros + inlay 150 euros = 750
> euros
>
> Mais en plus... on cote un Spr 30+Spr50...
>
> La conduite à tenir a mon avis ....
>
> Prévenir le patient que la racine est fragile, mettre un beau petit bridge
> provisoire... attendre 1-2 mois pour voir si ca tient le coup et si c'est le
> cas... un bridge sympa pas trop cher dans notre bon vieux nickel chrome des
> familles
>
> c'est la crise je vous rapelle !!!
tu sais faire un bridge provisoire porte a faux racine distale 37 simple appui sur 35?
>
>
17/12/2009 à 18h00
hallboy écrivait:
-----------------
> si la 5 est nickel, la question ne se pose pas.
>
c'est claire.
17/12/2009 à 22h06
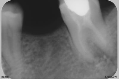
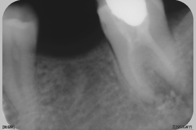
salut
pardon pour le retard
voila le cas
le patient est fluocalcique, en antagoniste im ya toutes les dents...
le patient est bien convaincu de la necessité de l'implant...mais je me dis, si je fais l'extraction illico, il faut voir l'ampleur de la resorption crestale qu'on peut avoir apres 5 ans...et penser à lui dire alors, ok tes economies pour l'implant ne suffiront que pour le rehaussement de la crete..
18/12/2009 à 11h36
Aymen écrivait:
---------------
> le patient est fluocalcique
C'est quoi un patient "fluocalcique" ?
Edit (merci Google) :
"En 1930, de Nevrezé, professeur d’orthodontie à l’École dentaire de Paris, décrit les types fluo-calcique, phospho-calcique et carbo-calcique qui déterminent la forme du corps, la forme des dents, la prédisposition aux malocclusions et le caractère de l’individu."
Oh...