Cookie Consent byPrivacyPolicies.comTraumatisme sur les incisives maxillaires suite à une chute - Eugenol

Traumatisme sur les incisives maxillaires suite à une chute

Clémence

30/12/2009 à 20h08

Bonjour à tous,

Je suis une jeune dentiste et c'est ma première fois sur le site Eugenol, je suis très intimidée... Mais j'ai besoin de vos lumières.

C'est un patient de 21 ans qui est tombé la tête la première à la suite d'une crise d'épilepsie, ironie de l'histoire il était dans la salle d'attente de l'hôpital qui venait de lui délivrer son bon de sortie... Fracture du nez!!

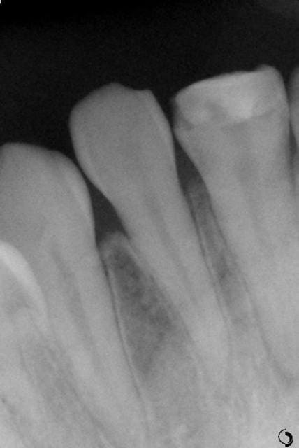
Il a été vu en urgence dans le service dentaire le lendemain de la chute:
- la pulpo de la 21 a été réalisée,
- dents mobiles,
- pas de contention,
- les incisives étaient en inocclusion.

Une semaine plus tard, il arrive à mon cabinet avec une lettre du service dentaire et voilà son état:
- 12, 11 et 21 sont très mobiles et avec des contacts en occlusion
- test au froid positif sur les 4 incisives

J'ai réalisé la bio de la 21 et je voulais avoir votre avis sur la contention, les dents sont très mobiles, et sur les radios j'ai l'impression qu'elles sont sorties de leurs alvéoles. Qu'est ce que vous me conseillez?
Et dois je faire un certificat initial?

Merci d'avance

Panoramique jm7uls - Eugenol
12 11 mgbszk - Eugenol
21 22 ogxocs - Eugenol
22 x2ekcv - Eugenol
21 bdhqyp - Eugenol
Occlusale goxgzc - Eugenol

Kon nx3ojp - Eugenol
Kon

30/12/2009 à 20h13

je ne pense pas qu'elles soient sorties de leurs alvéoles, mais c'est plutôt le ligament qui est élargi du fait de l'inflammation causée par le traumatisme.


3f3boxni50k58rq7e9ce9ddqrxgk - Eugenol
dentiste57

31/12/2009 à 00h43

tu peux nous donner les dates de ces différents évènements STP.


tiens, j'ai une magnifique suite de trauma dentaire de plus de 3 ans. la dent est restée ankylosée...

Dsc 5411 irwcy2 - Eugenol

Clémence

31/12/2009 à 00h52

La chute a eu lieu le 16/12
L'urgence traitée au service odonto de l'hôpital a été réalisée le lendemain de la chute donc le 17/12
Il est venu au cabinet une semaine plus tard le 23/12


Clémence

05/01/2010 à 20h21

Il n'y a pas bcp de réactions... J'extrais tous et je fais un complet!!!


S8ysxdzhdqgw00w4q6m07a5d47q2 - Eugenol
gai-luron

05/01/2010 à 21h58

ben, faire une contention.
et surveiller.


K15

05/02/2016 à 17h41

Bonjour,

Je rebondis sur le sujet :
-choc sur les incisives supérieures : 11 extrusée legerement, j'ai repositionné manuellement et contention 15jours, les autres incisives subluxées
-un changement de teinte(grise)apparu environ 15 jours apres le traumatisme,
-cette meme incisive répond au test froid, au debut de maniere tres intense (douleur+++), et à 1 mois test au froid toujours positif ms qui a tendance à se normaliser

A part le changement de teinte, je n'ai pas d'autres indices de necrose (clinique ou radio), je pensais attendre l'évolution avec des controles periodiques.

Je voulais vérifier qu'il n'y ait pas d'indication de traitement endodontique pour le moment?Le changement de teinte seul n'est pas une indication suffisante pour le traitement endo?

Merci de vos avis éclairés


6szjws718sv1jksw54v4mpj3a6cu - Eugenol
vulpi

05/02/2016 à 18h14

K15 écrivait:
-------------
> Bonjour,
>
> Je rebondis sur le sujet :

> (clinique ou radio), je pensais attendre l'évolution avec des controles
> periodiques.
>
> Je voulais vérifier qu'il n'y ait pas d'indication de traitement endodontique
> pour le moment?Le changement de teinte seul n'est pas une indication suffisante
> pour le traitement endo?
>
> Merci de vos avis éclairés


Je préfère qu'il y en est au moins deux (des signes).


K15

10/02/2016 à 13h09

ok merci, je suis d'accord