Cookie Consent byPrivacyPolicies.combistouri circulaire - Eugenol
Logo vuaztn - Eugenol
mac

06/01/2010 à 14h17

je cherche des bistouris circulaires (punch) de plus de 8 mm de diamètre.

quelqu'un a une adresse?

merci


Grueavatar nptrc9 - Eugenol
Le Choixpeau magique

06/01/2010 à 14h37

Il me semble que ça s'appelle un emporte-pièce.

A part ça, je n'ai pas la réponse à ta question (si ce n'est DTC, bien entendu).


Scan10030 ukikhq - Eugenol
vava

06/01/2010 à 15h07

mac écrivait:
-------------
> je cherche des bistros circulaires (punch) de plus de 8 m de diamètre.
>
> quelqu'un a une adresse?
>
> merci
"la tournée antillaise"
ou
http://www.discount-medical.biz/?gclid=CJf8qojpj58CFcts4wodik09KA


P1010130 jpci1f - Eugenol
MarcB6

06/01/2010 à 16h01

mac écrivait:
-------------
> je cherche des bistouris circulaires (punch) de plus de 8 mm de diamètre.
>
> quelqu'un a une adresse?
>
> merci

Je crois bien que c'est le diamètre maximum en BC.
Je n'ai jamais vu de diamètre sup.
Tu n'a plus qu'à dessiner toi même le cercle que tu veux avec une lame 12 et le tour est joué.

Cordialement

--
marcB6


Blason dql7mj - Eugenol
growler

06/01/2010 à 16h18

une lame 12 fixée sur un compas :))


Grueavatar nptrc9 - Eugenol
Le Choixpeau magique

06/01/2010 à 16h32

ou un couteau à pizza...


Logo vuaztn - Eugenol
mac

06/01/2010 à 17h22

merci les gars.


Scan10030 ukikhq - Eugenol
vava

06/01/2010 à 17h27

mac écrivait:
-------------
> merci les gars.

8 mm tu fais quoi exactement?


Blason dql7mj - Eugenol
growler

06/01/2010 à 17h55

une capsule de canette de bière aux bords affûtés


Scan10030 ukikhq - Eugenol
vava

06/01/2010 à 17h57

une ptit bière alors


Blason dql7mj - Eugenol
growler

06/01/2010 à 18h01

:)
plus sérieusement, tu prends une pièce de 1 centime (les bords ne sont par crénelés, tu la stérilises, tu ménage en son centre un petit trou (sans la percer complétement) ce qui te permet de la plaquer avec un instrument fin calé dans ce petit trou et tu tournes autour avec une lame.

je t'en vends une pour la modique somme de 1 € (belle culbute non?)


Scan10030 ukikhq - Eugenol
vava

06/01/2010 à 18h04

1.29€
qui dit mieux

J fais des trou des ptit trou.. - Eugenol

Img 8465 fqhxid - Eugenol
noahaxeltiger-olivier

06/01/2010 à 18h36

Salut mac,

effectivement tu ne trouveras pas ce que tu cherches auprès de fournisseurs de matériel dentaire mais plutôt auprès de fournisseurs de matériel dermatologique.

Tu as sur le lien suivant ce que tu cherches :

http://www.robe-materiel-medical.com/materiel-medical-Punchs+pour+biospie+%E0+usage+unique-PUK2.html

A plus
Olivier


Scan10030 ukikhq - Eugenol
vava

06/01/2010 à 18h59

noahaxeltiger-olivier écrivait:
-------------------------------

> A plus
> Olivier
combien??
3€


P1010130 jpci1f - Eugenol
MarcB6

06/01/2010 à 19h05

C'est bien ce que je pensais même chez les dermato y'a pas plus gros en diamètre que 8 mm

Une petite question Mac, si c'est pas indiscret, c'est pour quel usage ?

cordialement

--
marcB6


Logo vuaztn - Eugenol
mac

06/01/2010 à 21h36

c'est pour fermer une alvéole d'extraction dans le cadre d'une préservation de crête/


S2y2o1v7q53ws4r5wy6ou8czrpom - Eugenol
pxav

07/01/2010 à 09h08

mac écrivait:
-------------
> c'est pour fermer une alvéole d'extraction dans le cadre d'une préservation de
> crête/

rien de médical mais c'est en métal, donc stérilisable et tu doit pouvoir trouver plus gros dans le même style (je crois que j'ai du 20 mm):
http://cgi.ebay.fr/COFFRET-DE-9-EMPORTE-PIECES-ACIER-BRUNI-2.5-%E0-10-mm_W0QQitemZ370306683349QQcmdZViewItemQQimsxZ20091216?IMSfp=TL091216209001r25320
--
xbk


Blason dql7mj - Eugenol
growler

07/01/2010 à 09h32

pxav:

"rien de médical mais c'est en métal, donc stérilisable et tu doit pouvoir trouver ......"




tu as ce kit aussi (attention grande maîtrise du geste exigée :))

http://www.conrad.fr/wcsstore/ConradImages/PRODUITS/1132709_p_g.jpg


P1010130 jpci1f - Eugenol
MarcB6

07/01/2010 à 10h45

mac écrivait:
-------------
> c'est pour fermer une alvéole d'extraction dans le cadre d'une préservation de
> crête/

Salut mac, dans ce cas du 8 mm devrait être suffisant non ?

Pas mal l'idée de Growler,

--
marcB6


Logo vuaztn - Eugenol
mac

07/01/2010 à 13h57

MarcB6 écrivait:
----------------
> mac écrivait:
> -------------
> > c'est pour fermer une alvéole d'extraction dans le cadre d'une préservation de
> > crête/
>
> Salut mac, dans ce cas du 8 mm devrait être suffisant non ?


pour une molaire c'est juste.


Casque beotien a3jo39 - Eugenol
beotien

07/01/2010 à 14h11

bons implants 2010 mac

çà fait pas un gros prélèvement pour fermer un site d'ex°?
tu as surement une raison particuliere , ou tu as envie de systématiser le geste?


Logo vuaztn - Eugenol
mac

07/01/2010 à 15h21

beotien écrivait:
-----------------
> bons implants 2010 mac
>
> çà fait pas un gros prélèvement pour fermer un site d'ex°?
> tu as surement une raison particuliere , ou tu as envie de systématiser le
> geste?


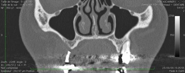
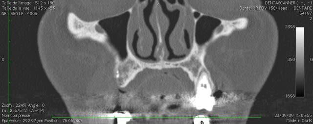
oui ça fait un gros prélèvement, c'est pour un cas particulier ou je dois virer 24, 25 et 26 avec de grosses lésions apicales et latérales, ou je voudrais conserver le maximum de volume osseux pour pouvoir implanter dans de bonnes conditions.

ci joint la pano et les coupes scan.

Dentaire - Eugenol
Dentaire2 - Eugenol
3 - Eugenol
Sans titre n55yez - Eugenol

Grueavatar nptrc9 - Eugenol
Le Choixpeau magique

07/01/2010 à 15h36

Et pourquoi pas un simple greffon rectangulaire à partir du palais ? Pourquoi faut-il obligatoirement que ce soit rond ?

Si il n'y a pas d'emporte-pièce de grand diamètre, c'est probablement que ça devient scabreux de prélever de grandes tailles sur un site pas forcément plat, et que l'avantage par rapport à une incision manuelle devient ténu.


Casque beotien a3jo39 - Eugenol
beotien

07/01/2010 à 15h53

effectivement!
tu peux peut être implanter 24 et 25 en meme temps qu'ex° pour diminuer la resorption
pour 26 tout dépend de l'ex°


Logo vuaztn - Eugenol
mac

07/01/2010 à 16h55

Le Choixpeau magique écrivait:
------------------------------
> Et pourquoi pas un simple greffon rectangulaire à partir du palais ?

parce que c'est plus compliqué.

Pourquoi
> faut-il obligatoirement que ce soit rond ?

c'est pas obligatoire.