Cookie Consent byPrivacyPolicies.comVotre diagnotic ? - Eugenol

Votre diagnotic ?

Dent clr a8dwyo - Eugenol
Lounille

07/01/2010 à 19h32

C'est encore moi...
Comme aujourd'hui le cabinet est pas mal vide, j'ai pleiiiin de temps pour vous embêter :)

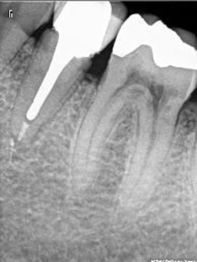
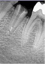
Patient de 35 ans, a fait la CCM sur 35 il y a Deux mois.

Arrive car douleur insupportable à la mastication.
A peine j'appuie légèrement, il saute au plafond.

Je dépose la couronne et le (volumineux !!) inlay core.

Toujours douleur à la pression quand j'appuie sur la racine.

Je ne vois que deux explications :

- Desmodontite par trauma occlusal (mais pas de poche !) ou surocclusion quelquonque (mais l'occlusion semble bien apres controle avec papier d'occlusion)

- Félure ou fracture ( vous voyez qqchose de suspect à la radio ?) mais la encore pas de poche...j'ai essayé la trasillumination je n'ai rien vu mais en meme temps vu l'effet de coin provoqué par l'inlay core présent.c'est possible quand meme..

J'ai déposé la coiffe, et laisser la racine bouchée au cavit pour voir si ca le soulage (jai donné advil)...
Je le revois tout a lheure...

Si il a encore la meme douleur vive sans aucune amélioration je pense extraire...

Qu'en pensez vous ?

PS : c'est juste pour ma culture puisque ca sera trop tard quand vous me repondrez :)

Merci bcp !!!
--
Lounille

35 lstapf - Eugenol

Dent clr a8dwyo - Eugenol
Lounille

07/01/2010 à 19h35

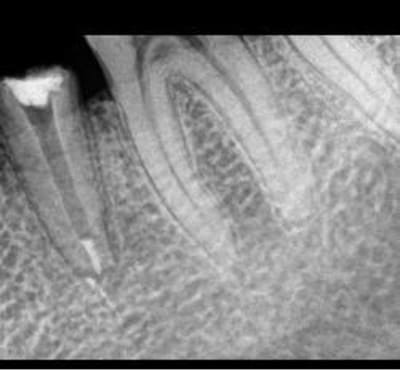
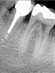
Une autre radio, après dépose...

A l'apex vous ne voyez pas comme l'apex avec fracture horizontal ? en meme temps je l'ai trop regardé cette radio, elle m'aveugle !

--
Lounille

35bis fhe3wx - Eugenol

S2y2o1v7q53ws4r5wy6ou8czrpom - Eugenol
pxav

07/01/2010 à 20h03

sur-occlusion,ayant entrainée un pb apical, douleur disparue dans les trois jours si dépose, j'attendrais pour extraire,

--
xbk


vincent64

07/01/2010 à 20h04

Un petit sondage sous anesthesie aussi, rapport a une felure...attends un peu.


Dent clr a8dwyo - Eugenol
Lounille

07/01/2010 à 20h27

Mon patient vient de partir.

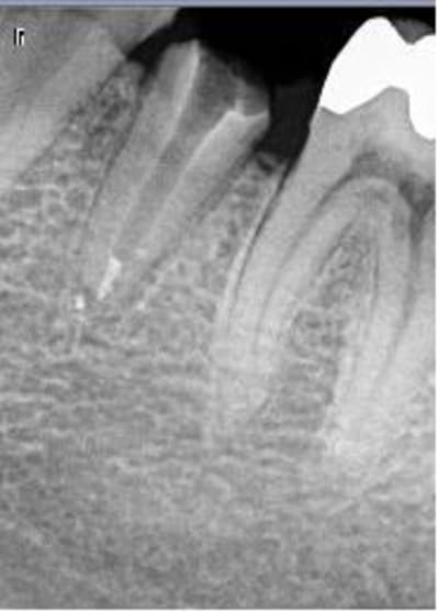
J'ai repris une radio.

Il a eu un peu mal durant la semaine mais moins.

Cependant, quand j'ai appuyé sur la racine, plus de douleurs vives, légère gene decrite par le patient.
Quand j'ai réintroduis l'inlay core, gène, douleur legère mais pas aussi brutale qu'avant.

Donc en faveur d'une desmodontite en passe de guerrir.

Cependant, du sang et meme un liquide purulent remonte du canal.
Quand j'ai passé un instrument, j'ai cherché la gutta pour voir mais je n'ai remonté que des petites boules de sang coagulée, un peu malodorante.
Mais pas de sensibilité du tout quand je passe linstrument (ct une lime 25)

Comme c'était les fetes, je lui avais mis sur l'ordonnance les antibios a prendre qu'en cas de joue gonflée, de gros abcès.
Puis la il m'a dit "javais un aphte alors j'ai pris les antibios comme vous m'aviez dit"...il les a pris que 3 jours en plus.
No comment...J'ai fait une erreur je le reconnais. Ne me lapidez pas...

Alors voila comme j'étais pas plus avancé vraiment, j'ai décidé de le revoir la semaine prochaine en lui donnant ADVIL 400 en systématique pendant 3 jours, puis qu'en cas de douleurs...

HELP ?

Thank's:)




--
Lounille

Sans titre k4gyr6 - Eugenol

Canin

07/01/2010 à 21h01

je sais pas si c'est toi qui a fait la couronne mais dans tous les cas je ne dépose par une ccm vieille de 2 mois en première intention surtout si c'est pas moi qui l'ai faite

cette couronne est totalement inadaptée au niveau cervicale d'après ta radio

il peut avoir un simple syndrome du septum

--
Canin


Dent clr a8dwyo - Eugenol
Lounille

07/01/2010 à 21h17

Ce n'est pas moi qui l ai faite. Je lui dit le mieux est de retourner voir le dentiste qui vous la faite, il ma répondu qu'il ne voulait plus le voir car il la mal traité...

En premiere intention tu aurais fait quoi ? La meuler pour mettre en sous occlusion aurait délabrée
la CCM alors que la elle est intacte parce que devinez quoi ... Elle est venu en un coup d arrache couronne :)

mais ça m'intéresse...qu'aurais tu fais ?
--
Lounille


Canin

07/01/2010 à 21h30

disons que je dis ça pour t'éviter des problèmes,

je pense qu'il faut toujours faire le moins quand il s'agit des merdes des autres.

le risque c'est que par la suite on dise que c'est toi qui a causé le dommage.

bref, j'aurais simplement prescrit des médoc et retour à l'envoyeur,

si ça se trouve le patient est un emmerdeur qui s'est fait jeté de chez l'ancien dentiste et il préfère dire qu'il ne veut pas y retourner.

je pense que t'as du bol d'avoir pu descellé sans fracturer la racine étant donné la taille du tenon


--
Canin


Avatar 46 aoi1yc - Eugenol
HononLulu

07/01/2010 à 21h56

D'un autre coté, vu la taille du pivot, c'est un miracle s'il n'y a pas fracture.


Tozzi

07/01/2010 à 21h59

Moi ce que çà m'évoque c'est une possible perforation de la racine par le tenon dans le sens vestibulo-lingual. Vu la longueur du tenon c'est possible. Le tenon a-t-il un axe bizarre ? Un saignement dans le canal c'est pas bon signe.


Dent clr a8dwyo - Eugenol
Lounille

07/01/2010 à 22h13

Oui des que j ai vu...et senti.. Le canal... Je me suis dit que forcément ya une communication avec lexterieur .


--
Lounille


Tozzi

07/01/2010 à 22h18

Si le sondage est normal, la palpation de la table osseuse du côté où la racine est fenestrée devrait être sensible.
La douleur lors de l'insertion du tenon est caractéristique d'une telle lésion.


Dent clr a8dwyo - Eugenol
Lounille

07/01/2010 à 22h30

Palpation vestibulaire et linguale asymptomatique

--
Lounille


Grueavatar nptrc9 - Eugenol
Le Choixpeau magique

07/01/2010 à 22h34

HononLulu écrivait:
-------------------
> D'un autre coté, vu la taille du pivot, c'est un miracle s'il n'y a pas
> fracture.

+1

Et utiliser un arrache couronne ne semble pas la meilleure idée, dans aucun cas.


Dent clr a8dwyo - Eugenol
Lounille

07/01/2010 à 22h38


Ho ça je sais je vous promet ! J'aurais rêver dune pince de Pean ... Mais la ou je travaille c'est pas encore moi qui décide ...
--
Lounille


S2y2o1v7q53ws4r5wy6ou8czrpom - Eugenol
pxav

07/01/2010 à 22h40

Canin écrivait:
---------------

> si ça se trouve le patient est un emmerdeur qui s'est fait jeté de chez l'ancien
> dentiste et il préfère dire qu'il ne veut pas y retourner.
>
> je pense que t'as du bol d'avoir pu descellé sans fracturer la racine étant
> donné la taille du tenon
>
>
> --
> Canin
+1
il faut être gonflé pour déposer un pivot pareil!
mise en sous occ, medoc et ensuite résection si besoin.
du sang dans le canal c'est pas bon.

--
xbk


Dent clr a8dwyo - Eugenol
Lounille

07/01/2010 à 22h47

Mais cest pas comme si je m'étais acharnée...le couronne bougeait je lai enlevé le pivot bougeait je lai enlevé...
Ce n'était même pas vraiment une décision..ça s imposait un peu a moi...
Résection, c'est a dire ?

--
Lounille


marcus

08/01/2010 à 00h13

+1 avec tout le monde !

desceller un pivot pareil ! et à coté de çà radiologiquement parlant y avait pas forcement obligation d'intervenir.
Quant au "patient emmerdeur" elle est jeune , elle en verra d'autres , et elle apprendra à leur tenir tête car quand même, en dernier recours c'est elle qui a : "le savoir"


P1000258 rvu6v4 - Eugenol
magellan

08/01/2010 à 00h53

il faut extraire !


S2y2o1v7q53ws4r5wy6ou8czrpom - Eugenol
pxav

08/01/2010 à 09h16

Lounille écrivait:
------------------
> Mais cest pas comme si je m'étais acharnée...le couronne bougeait je lai enlevé
> le pivot bougeait je lai enlevé...
> Ce n'était même pas vraiment une décision..ça s imposait un peu a moi...
> Résection, c'est a dire ?
>
> --
> Lounille

tu nous aurais dis ça des le début!
sans doute problème dans la racine, avec infiltration (par le bas) donc descellement, donc c'est mort, donc extract, sauf si tu sais gérer une résection apicale,(au dessus de l'éventuelle fracture) obturation etc..
--
xbk


jeanphy

08/01/2010 à 09h27

re +1 pour tous
Si c'est parti tout seul, c'est fellé/fracturé quelquepart.
Souvent impossible à voir avec RX.
Prévoir extraction, mais attendre avant pour laisser les esprits se stabiliser si patient 'suspicieux'.


Dent clr a8dwyo - Eugenol
Lounille

08/01/2010 à 09h28

Ça pourrait peut être intéressant daller faire un lambeau d'exploration non ?
Je bosse un peu a l'hôpital dans le service du Pr qui fait les chirurgies endos..je peux eventuellement prendre une consultation non?
Car le patient ma dit ne pas avoir les moyens pour limplanto et pr les CCM en cas de bridge il me dit avoir une bonne mutuelle mais la c'est un crime vu les dents adjacentes !
Et pour le fait qu'il n'est aucune sensibilité quand je met la lime dans le canal ? Ce n'est pas contradictoire avec une eventuelle fracture ?
--
Lounille


19066 1223810679128 1344811835 30546764 2261510 n medium ozxaxj - Eugenol
vitalic

08/01/2010 à 15h15

Lounille écrivait:
------------------
> Ça pourrait peut être intéressant daller faire un lambeau d'exploration non ?

pour explorer quoi ?
une lésion osseuse apicale ?
Tu risques de ne rien voir de plus sous ton lambeau. En tout cas pas la fracture probable de la racine.

Mais si tu fais un lambeau, profites-en pour extraire la dent :))


Dent clr a8dwyo - Eugenol
Lounille

08/01/2010 à 15h42

Bon, je vais voir pour prendre eventuellement consultation a l'hopital..et en attendant je le laissee sans dent ? Et puis si jamais la Prof décide qu'il est bon de faire la chirurgie, il faudra un délai d'au moins 2 mois pour avoir un rdv...Sans etre sur du résultat et ce qu'on va trouve la dessous...
Je parlais de lambeau d'exploration pour voir s'il s'agit bien d'une fracture ou félure mais on ne le verra pas c'est ca ? Moui c'est sur que selon l'endroit de la fracture on verra pas et la felure...n'en parlons pas...

Je me sens pas plus avancée :(

Enfin je dis pas ça pour vous hein, merci bcp de votre aide :)

--
Lounille


Img 3657 cwjvqm - Eugenol
alapex

08/01/2010 à 16h22

Lounille écrivait:
------------------
> Bon, je vais voir pour prendre eventuellement consultation a l'hopital..et en
> attendant je le laissee sans dent ? Et puis si jamais la Prof décide qu'il est
> bon de faire la chirurgie, il faudra un délai d'au moins 2 mois pour avoir un
> rdv...Sans etre sur du résultat et ce qu'on va trouve la dessous...
> Je parlais de lambeau d'exploration pour voir s'il s'agit bien d'une fracture ou
> félure mais on ne le verra pas c'est ca ? Moui c'est sur que selon l'endroit de
> la fracture on verra pas et la felure...n'en parlons pas...
>
> Je me sens pas plus avancée :(
>
> Enfin je dis pas ça pour vous hein, merci bcp de votre aide :)
>
> --
> Lounille
-----------------

Tu le laisses sans la prothèse ?????

T'as vraiment envie de lui exploser cette dent , ou bien ?
Déjà que personnellement desceller avec un pivot pareil , de conception allemande à n'en point douter , au secours , je te félicite , mais le remettre pour retaper dessus une 2 ème séance...brrrr .
Dans des cas pareils , avant de sortir l'arrache couronne X23 de chez Schtunkt Gross Berta Industrickt , faut bien expliquer les risques ...

Bon courage .


12