Cookie Consent byPrivacyPolicies.comrésultat imparfait... - Eugenol

résultat imparfait...

Soudeur dentiste uqhaxr - Eugenol
dr-madd

12/01/2010 à 01h11

j'ai demandé à plusieurs confréres
mais je solicite l'avis des eugénoliens...

"Où est charli ?" (la prothése... bien sur)
et qu'est-ce qui vous le fait penser?

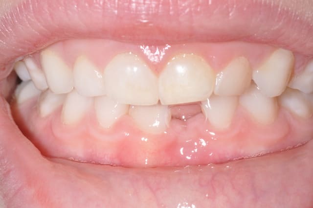
Post op  2  tey4pa - Eugenol

003 penrd2 - Eugenol
Cingulum

12/01/2010 à 08h13

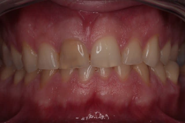
charli est en 11.Limite gingivale moins lumineuse que sur 21 22 12,
Forme triangulaire pour venir chercher les points de contacts.
Lignes de transition pas en rapport avec 22 12 21...
mais bon je qualifierais quand meme le résultat de trés bon.


--
Dr Cingulum
-----Ancien interné----
----Attaché à l'apex----
www.clinic-all.fr formation par passion


S2y2o1v7q53ws4r5wy6ou8czrpom - Eugenol
pxav

12/01/2010 à 09h00

il me semble que charli

est venu avec sa famille 13 à 23
xbk


ad-hugo

12/01/2010 à 10h45

la 11 à cause de la gencive et puis je vois mal le protho faire une tache de mineralisation imparfaite comme on voit sur la 21


Photo pluton1b h9n4ea - Eugenol
pluton

12/01/2010 à 10h47

Cingulum écrivait:
------------------
> charli est en 11.Limite gingivale moins lumineuse que sur 21 22 12,
> Forme triangulaire pour venir chercher les points de contacts.
> Lignes de transition pas en rapport avec 22 12 21...
> mais bon je qualifierais quand meme le résultat de trés bon.
>

+1


3f3boxni50k58rq7e9ce9ddqrxgk - Eugenol
dentiste57

12/01/2010 à 10h56

putain de piège!

c'est la 48 !


belette

12/01/2010 à 11h19

La face distale de 11 est trop rectiligne, un départ arrondi du collet l'aurait fait paraitre moins triangulaire.

Le problème est la coloration bleutée de la gencive dûe aux racines dévitalisées qui noircissent , mais que faire ??? (seule la 11 semble dévitalisée)

^ ... ^
Ô"""Ô
= o = je dirais la 11 aussi.


003 penrd2 - Eugenol
Cingulum

12/01/2010 à 11h28

ne pas dévitaliser...

--
Dr Cingulum
-----Ancien interné----
----Attaché à l'apex----
www.clinic-all.fr formation par passion


belette

12/01/2010 à 11h33


et garder les dents saines !Mais vous allez tous faire faillite...

^ ... ^
Ô"""Ô
= o = et vive la prévention


Dentissime

12/01/2010 à 11h35

Bonjour, Il me semble que la 21 est charli ,la forme et l'état de surface ne trompe pas,peut être aussi un défaut de teinte, mais ( à voir en réel)salutations


S8ysxdzhdqgw00w4q6m07a5d47q2 - Eugenol
gai-luron

12/01/2010 à 11h47

41
(pour pas dire comme les autres)

mais bon, des résultats imparfaits comme ça, j'en ferais bien tous les jours.


200106 10150128247663588 709988587 6466236 5598391 n d7mksb - Eugenol
hallboy

12/01/2010 à 11h54

12 on nous met trop la 11 sous le nez ;)

et pareil je veux bien foirer mes couronnes de la mm façon ;)


Marque a3 orange fyvhyq - Eugenol
Marc Apap

12/01/2010 à 12h16

Moi aussi, je dis la 11, d'abord parce que la gencive est un peu sombre et ensuite, parce que la forme est moins semblable à sa voisine. Mais comme la couleur est irréprochable, une petite modif de forme pourrait sans doute donner un résultat parfait.


Wolford hm5yx3 - Eugenol
Doc lyonnaise

12/01/2010 à 12h18

la 21, rien que pour pas faire comme Marc Apap :-)))


Prod 1280 mscsgu - Eugenol
JohnJohn

12/01/2010 à 12h53

Euh 21, un bombé un peu trop marquée...
J'aime tes imperfections.


Image odged8 - Eugenol
ploc

12/01/2010 à 13h25

11...ou 21:)

la forme:21 est rectangulaire,11 triangulaire
la luminosité qui manque en distal de 11 et son angle trop plat qui donne un aspect d'ombre gingivale

et surtout les lignes de transition qui donne un aspect horizontal à 11 alors que 21 est ds le sens vertical
mais je suis sûre que le patient est ravi, à raison,ce qui est le principal
ns on chipote comme demandé

NB/non je n suis pas normande,prudente ds mes paris seulement,avec une preference qd mme:)


Soudeur dentiste uqhaxr - Eugenol
dr-madd

12/01/2010 à 15h59

Merci à tous pour toutes ces observations et critiques je m'en rappelerais pour les prochains cas du genre.

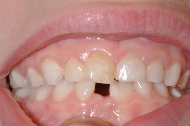
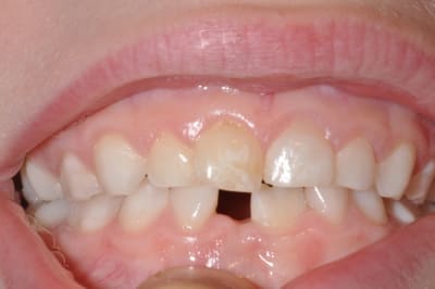
Alors pour décrire un peu plus en detail ce cas clinique,
patient de 30 ans plutot exigeant est venu me consulté il y a 10 mois pour sa "11" depulpée depuis qq années suite à un trauma. il y eu atteinte carieuses secondaire(disto palatine)

Au départ j'étais pas trop chaud pour la couronne vue la difficuté du cas :contexte occlusal, teinte, exigeances du patient (refaire une incisive centrale isolée ça constitue toujour un enorme défi esthétique, surtout quand c'est le premier cas du genre).

alors j'ai en première intention proposé un éclaircissement interne qu'il a refuser face au risque de résorption. j'ai tenter un eclaircissement externe par goutiére juste sur la 11 aprés avoir repris le trt endo et éliminer la dentine fortement colorée: ça a marché quelques temps mais ça a vite récidivé.

alors je me suis lancé...(croisant les doigt et serrant les fesse)
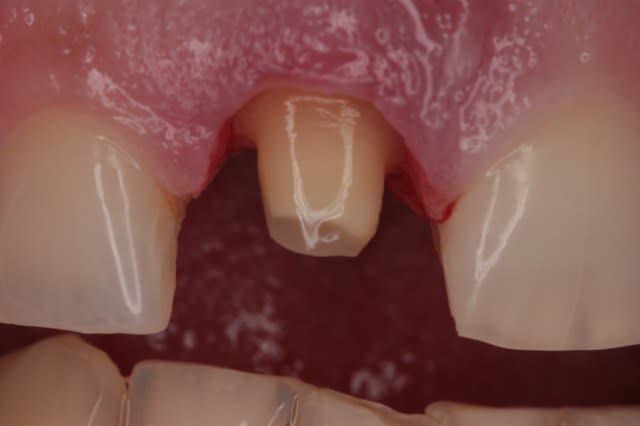
-pré-taille
-réalisation du moignon (tenon fibre de verre et composite)
-taille j'ai du franchement enfouire la limite pour avoir une hauteur suffisante
-empreinte à 15 jours
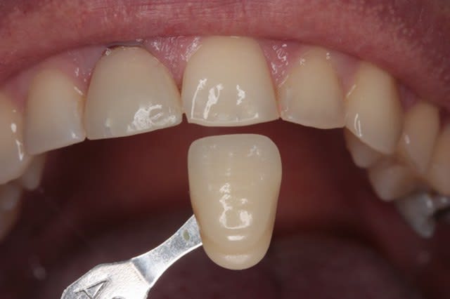
-et deux scéances d'essayages et retouches surtout pour la forme la teinte était bonne d'emblée.

et meme si je considére le résultat imparfait je suis plutot satisfait et le patient aussi (ouf..)
ce qui a péché je pense c'est qu'il existait un leger diastéme entre 11 et 21 que le patient ne désirais pas reproduire ce qui donne cette forme conique j'aurais peut etre dù aménagé la face mésiale de 21 avec un compo... ainsi que l'etat de surface

pour ce qui est de matériau c'est un ceram préssée teinte A2 et un gris opalescent au niveau du bord libre
et rendons à cesar ce qui lui appartient un trés beau travail de mon artisan prothésiste Mr Leung.







Pr paration anht4q - Eugenol
Pr paration  2  rrawxy - Eugenol
Pr paration  3  rl638m - Eugenol
Pre op skpc88 - Eugenol
Post op j 0 iqf6tl - Eugenol
P teinte ugowf9 - Eugenol

Marque a3 orange fyvhyq - Eugenol
Marc Apap

12/01/2010 à 16h09

C'est bien, mais franchement, j'aimerais savoir qui a estimé, du patient ou de toi que le blanchiment interne présentait un risque de résorption. C'est archi faux si on utilise une technique sans eau oxygénée.J'ai en revanche eu un cas de blanchiment qui s'est terminé en couronne parce que la dent, trop délabrée au niveau du puits d'insertion du perborate, s'est fracturée au collet. Le plus difficile à gérer, c'est l'éclaircissement du bord libre, là où l'on peut difficilement mettre du produit d'éclaircissement.


Soudeur dentiste uqhaxr - Eugenol
dr-madd

12/01/2010 à 23h06

Marc Apap écrivait:
-------------------
> j'aimerais savoir qui a estimé, du patient ou de
> toi que le blanchiment interne présentait un risque de résorption.

j'ai proposé plusieurs fois au patient cette premiére solution mais je ne pouvais pas lui cacher les risques meme marginaux de résorption.
il a choisi .


Marque a3 orange fyvhyq - Eugenol
Marc Apap

12/01/2010 à 23h40

Risques marginaux ??? Tu as vu ça où ? Il n'y a de risques que si l'obturation canalaire est imparfaite et qu'on utilise un produit à base de peroxyde d'hydrogène. Avec du perborate de sodium et de l'eau, les risques sont nuls.


marcus

12/01/2010 à 23h52

Marc Apap écrivait:
-------------------
> Risques marginaux ??? Tu as vu ça où ? Il n'y a de risques que si l'obturation
> canalaire est imparfaite et qu'on utilise un produit à base de peroxyde
> d'hydrogène. Avec du perborate de sodium et de l'eau, les risques sont nuls.

Avec quoi tu fais l'étanchéité de l'obturation provisoire le temps du blanchiment STP Merci?


Blason dql7mj - Eugenol
growler

04/02/2010 à 18h35

à propos de résultat imparfait, mon proto a décidé d'innover: la surface de contact concave , nouveau concept sorti de son imagination.

bref, on a eu une petite discussion au téléphone.

New h8yles - Eugenol

003 penrd2 - Eugenol
Cingulum

04/02/2010 à 18h40


on dirait un truc pour jouer aux osselets?
--
Dr Cingulum
-----Ancien interné----
----Attaché à l'apex----
www.clinic-all.fr formation par passion


Casque beotien a3jo39 - Eugenol
beotien

04/03/2010 à 23h42


qui trouve le premier l'explication?

Photo 001 wp0mef - Eugenol
Photo 002 nb9fgy - Eugenol

zuka

05/03/2010 à 00h13

entre les deux photos, la 31 a fait son éruption et la 81 est partie au cimetière des dents. De même que 51 et 61 remplacer par 11 et 21..


12