Cookie Consent byPrivacyPolicies.comMateriau pour Soulevé de sinus - Eugenol

Materiau pour Soulevé de sinus

fifi32

22/01/2010 à 22h27

Bonsoir à tous,

Voilà j'aurai aimé savoir quel type de matériau vous utilisé pour un soulevé de sinus.
Un patient que j'ai envoyé chez le confrère avec qui je bosse en implanto ( lui pose les implants et moi je construit dessus) et revenu en me soumettant un dilemme : il s'agit de remplacer la 16 mais pour placer l'implant il faut d'abord une greffe osseuse (enfin un soulevé de sinus plutôt). Mon confrère lui a parlé d'un matériau (dont il ne se souvenait plus du nom et n'avait pas ramené la doc.) : il s'agit d'os prélevé sur des hanches de donneurs vivants.
Or mon patient est pas très chaud (voir même très froid) sur ce matériau car il a peur du risque infectieux ou d'un quelconque risque quant à avoir un élément de ce genre, mais aussi du fait de se trimbaler avec un morceau de quelqu'un d'autre !

Connaissez vous ce matériau et existe t-il d'autres types de matériau ?
Merci à tous.


Scan10030 ukikhq - Eugenol
vava

22/01/2010 à 22h50

rassure ton patient pas de problème dit lui que le donneur et toujours vivant et porte aussi une prothèse mais de hanche


fifi32

22/01/2010 à 22h53

Ben ça je lui ai déjà dit ! Mais ça lui plait pas !


Scan10030 ukikhq - Eugenol
vava

22/01/2010 à 23h06

c'est surement le matériaux le plus contrôlé


Gps moto wouomg - Eugenol
charleston

22/01/2010 à 23h06

C'est pourtant, à mon avis le meilleur matériau aujourd'hui. je ré-interviens à 6 mois avec une vraie sensation de forer dans de l'os et les ancrages sont super bons. Je n'utilise plus que çà depuis 5 ans avec le protocole Simonpieri Choukroun : PRF sur la membrane sinusienne puis comblement avec Os allogène ( qui est mort bien entendu )Os que j'imbibe de métronidazole et du sérum issu du PRF. puis fermeture de la fenêtre latérale avec les membranes PRF et basta. Temporisation 6 mois. Idem pour technique de Summers.


S2y2o1v7q53ws4r5wy6ou8czrpom - Eugenol
pxav

23/01/2010 à 10h57

charleston écrivait:
--------------------
> C'est pourtant, à mon avis le meilleur matériau aujourd'hui. je ré-interviens à
> 6 mois avec une vraie sensation de forer dans de l'os et les ancrages sont super
> bons. Je n'utilise plus que çà depuis 5 ans avec le protocole Simonpieri
> Choukroun : PRF sur la membrane sinusienne puis comblement avec Os allogène (
> qui est mort bien entendu )Os que j'imbibe de métronidazole et du sérum issu du
> PRF. puis fermeture de la fenêtre latérale avec les membranes PRF et basta.
> Temporisation 6 mois. Idem pour technique de Summers.

ce sont des techniques qui sont bonnes, mais si je peux me permettre vous vous compliquez la vie, car sans utiliser d'os de banque, les résultats sont aussi bons, et je suis persuadés que l'avenir sera dans ce sens.
prélèvements de crête iliaques ou autres j'ai stoppé depuis 96 et je ne crois pas avoir eu depuis une seule déconvenue sur un comblement de sinus que se soit en biomat ou même avec rien (toile de tente).
n'ayez pas peur de changer vos techniques, la nature sait travailler, nous ne sommes que de perpétuels apprentis

--
xbk


trimarc

23/01/2010 à 23h14

pxav écrivait:
--------------
> en biomat ou même avec rien (toile de tente).
> n'ayez pas peur de changer vos techniques, la nature sait travailler, nous ne
> sommes que de perpétuels apprentis
>
> --
> xbk
>


+1
le sang est le meilleur des biomats (et le moins cher)


Img 8465 fqhxid - Eugenol
noahaxeltiger-olivier

24/01/2010 à 00h23

trimarc écrivait:
-----------------
> le sang est le meilleur des biomats (et le moins cher)


Absolument d'accord. Sur le sujet sinus lift, voir les travaux très intéressants de Andreas Thor.
A+
Olivier


S2y2o1v7q53ws4r5wy6ou8czrpom - Eugenol
pxav

24/01/2010 à 11h23

noahaxeltiger-olivier écrivait:
-------------------------------
> trimarc écrivait:
> -----------------
> > le sang est le meilleur des biomats (et le moins cher)
>
>
> Absolument d'accord. Sur le sujet sinus lift, voir les travaux très intéressants
> de Andreas Thor.
> A+
> Olivier

ouf, Olivier est de notre avis donc la théorie va devenir crédible...
merci Olivier.

Autre sujet que je te confirmerais (ainsi que pour ceramik, growly et D57) par MP, pour ce que nous avions en vue en 2010, le projet prends fortement l'eau, le budget a fondu pendant les fêtes et j'ai bien peur d'être obligé d'annuler.. soit j'ai les coudées franches, soit je ne fais rien.
peut être 2011...

--
xbk


3f3boxni50k58rq7e9ce9ddqrxgk - Eugenol
dentiste57

24/01/2010 à 12h10

pxav écrivait:
--------------

> Autre sujet que je te confirmerais (ainsi que pour ceramik, growly et D57) par
> MP, pour ce que nous avions en vue en 2010, le projet prends fortement l'eau, le
> budget a fondu pendant les fêtes et j'ai bien peur d'être obligé d'annuler..

le cactus y serait il pour quelque chose ?...


S2y2o1v7q53ws4r5wy6ou8czrpom - Eugenol
pxav

24/01/2010 à 16h45

dentiste57 écrivait:
--------------------

> le cactus y serait il pour quelque chose ?...

bingo?
--
xbk


Humator t9r5wy - Eugenol
humator

24/01/2010 à 18h10

désolé de m'introduire dans votre histoire de cactus, mais puisqu'on est dans les biomat, 2 questions:
1 que pensez vous des membranes "low cost" sur touslesbiomateriaux.com, et des autres produits du site?
2 ou puis-je trouver du surgicel?

merci!
--
N.Hum


Humator t9r5wy - Eugenol
humator

27/01/2010 à 10h46

bon, j'ai trouvé mon surgicel.

pour la question 1, pas d'avis?

--
N.Hum


2013 03 05 16.04 - Eugenol
styves

27/01/2010 à 18h16

elles ne sont pas tellement low cost


Avatar ow44t3 - Eugenol
Chicot

27/01/2010 à 22h28

pxav écrivait:
--------------
> charleston écrivait:
> --------------------
> > C'est pourtant, à mon avis le meilleur matériau aujourd'hui. je ré-interviens
> à
> > 6 mois avec une vraie sensation de forer dans de l'os et les ancrages sont
> super
> > bons. Je n'utilise plus que çà depuis 5 ans avec le protocole Simonpieri
> > Choukroun : PRF sur la membrane sinusienne puis comblement avec Os allogène (
> > qui est mort bien entendu )Os que j'imbibe de métronidazole et du sérum issu
> du
> > PRF. puis fermeture de la fenêtre latérale avec les membranes PRF et basta.
> > Temporisation 6 mois. Idem pour technique de Summers.
>
> ce sont des techniques qui sont bonnes, mais si je peux me permettre vous vous
> compliquez la vie, car sans utiliser d'os de banque, les résultats sont aussi
> bons, et je suis persuadés que l'avenir sera dans ce sens.
> prélèvements de crête iliaques ou autres j'ai stoppé depuis 96 et je ne crois
> pas avoir eu depuis une seule déconvenue sur un comblement de sinus que se soit
> en biomat ou même avec rien (toile de tente).
> n'ayez pas peur de changer vos techniques, la nature sait travailler, nous ne
> sommes que de perpétuels apprentis
>
> --
> xbk
>

+1 des études montre un taux de succès légèrement inférieur en sinus lift avec de l'os allo ou auto VS Bio-Oss car l'os se résorbe trop vite.

A 5 ans, il y a moins d'os autour des implants, aspect RX de tente qui s'affaisse autour des implants.

PRF : aucune étude ne montre un succès à long terme supérieur. Le gain de cica est visible à 15 j mais il n'y a plus de différence significative ensuite.


--
;O)


Humator t9r5wy - Eugenol
humator

28/01/2010 à 06h53

styves écrivait:
----------------
> elles ne sont pas tellement low cost

ah bon? tu trouve des membranes à moins de 25 euro, toi?
--
N.Hum


Gps moto wouomg - Eugenol
charleston

31/01/2010 à 23h06

petite précision technique : toile de tente OK pour summers avec implant en piquet . mais pour un abord latéral , je ne place pas forcément l'implant en même temps donc l'os allogène me sert d'espaceur et le PRF protège la membrane sinusienne/ c'est tout ce que j'en attends. Par expérience quand je fore 6 mois plus tard dedans , çà ressemble vraiment à de l'os spongieux type 2 ou 3 . par contre quand j'ai essayé avec du Bio-oss , j'ai eu la sensation de forer dans du polystyrène. Donc les études "objectives" payées par des labos pour faire croire que c'est de l'os : Pipeau...Le seul intérêt que je vois au bio-oss est d'espacer en vestibulaire sur une extraction implantation immédiate afin de combler un gros Gap pour obtenir une résorption retardée du matériau et conserver ainsi du volume mais en aucun cas pour aller forer dedans par le suite. Telle est mon idée après 19 ans d'implantologie.


sinclair

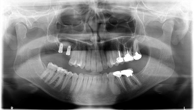
26/05/2010 à 22h31

bonsoir
je voulais partager avec vous ce cas de soulevé sinusien par voie latérale avec implantation immédiate qui est possible malgré la faible quantité osseuse résiduelle comme on peut s'en rendre compte sur la 3D grâce aux caractéristiques de l'implant.
on peut noter sur la dernière pano qui est réalisée à 2 mois post op la densification du matériau qui peut s'expliquer de différentes manières:
- la petite fenêtre réalisée (technique DASK)
- le matériau OSTEON qui est un biphasé dont chaque particule d'HA est enrobée de béta TCP ce qui rend son intégration plus rapide


suite du cas

la patiente revient enfin pour vous montrer la suite
voici la radio de controle ( rétro) des piliers de cicat

3d pr  op kspfbf - Eugenol
P1 v7qr6f - Eugenol
P2 pe26xd - Eugenol

Rorschachwhite tx6rqr - Eugenol
Candide Candida

26/05/2010 à 22h34

Trés joli.

Tu utilises le système Dentium en implant aussi ?

CC.


Blason dql7mj - Eugenol
growler

26/05/2010 à 22h55

ah oui, super job! Ca ressemble effectivement au Dentium

d'ailleurs le Dask c'est un instrument Dentium aussi.

Tu fais une ouverture latérale de quel diamètre avec cet instrument?


Logo vuaztn - Eugenol
mac

26/05/2010 à 22h57

très propre.

tu as des photos de la chir?


sinclair

26/05/2010 à 23h59

Candide Candida écrivait:
-------------------------
> Trés joli.
>
> Tu utilises le système Dentium en implant aussi ?
>
> CC.

merci.

ce sont effectivement des implants DENTIUM Superline


sinclair

27/05/2010 à 00h05

growler écrivait:
-----------------
> ah oui, super job! Ca ressemble effectivement au Dentium
>
> d'ailleurs le Dask c'est un instrument Dentium aussi.
>
> Tu fais une ouverture latérale de quel diamètre avec cet instrument?

l'ouverture latérale est réalisée avec un instrument hémisphérique de 8mm de diamètre donc l'ouverture latérale sera au plus de 8mm de diamètre


sinclair

27/05/2010 à 00h08

mac écrivait:
-------------
> très propre.
>
> tu as des photos de la chir?

désolé mac
je n'ai pas de photos


Blason dql7mj - Eugenol
growler

27/05/2010 à 00h22

as-tu déjà utilisé de l'osteon pour de la ROG hors sinus? si oui, combien de temps attends-tu pour implanter?


12...