Cookie Consent byPrivacyPolicies.comMateriau pour Soulevé de sinus - Eugenol

Materiau pour Soulevé de sinus

sinclair

27/05/2010 à 00h54

growler écrivait:
-----------------
> as-tu déjà utilisé de l'osteon pour de la ROG hors sinus? si oui, combien de
> temps attends-tu pour implanter?

j'utilise ce materiau depuis 1 an pour diverses indications
pour de la ROG hors sinus, étant quelqu'un de prudent, j'attends 6 mois avant d'y retourner


Logo m4n3gc - Eugenol
drmarcus

27/05/2010 à 10h00

charleston écrivait:
--------------------
> petite précision technique : toile de tente OK pour summers avec implant en
> piquet . mais pour un abord latéral , je ne place pas forcément l'implant en
> même temps donc l'os allogène me sert d'espaceur et le PRF protège la membrane
> sinusienne/ c'est tout ce que j'en attends. Par expérience quand je fore 6 mois
> plus tard dedans , çà ressemble vraiment à de l'os spongieux type 2 ou 3 . par
> contre quand j'ai essayé avec du Bio-oss , j'ai eu la sensation de forer dans du
> polystyrène. Donc les études "objectives" payées par des labos pour faire croire
> que c'est de l'os : Pipeau...Le seul intérêt que je vois au bio-oss est
> d'espacer en vestibulaire sur une extraction implantation immédiate afin de
> combler un gros Gap pour obtenir une résorption retardée du matériau et
> conserver ainsi du volume mais en aucun cas pour aller forer dedans par le
> suite. Telle est mon idée après 19 ans d'implantologie.


+ 1
La toile de tente n'est pas possible si il reste juste une corticale. J'utilise également la technique Choukroun, bien que décriée de toute part, ça marche! voir mieux que l'on pourrait le croire. Et puis pourquoi forer dans de l'os que l'on a mis alors je fais à minima et Summers. Je reviens ensuite au principe de la toile de tente si tu veux.
Parfois "trop d'artere" dans la zone d'ouverture, ça me gave de gérer ça, aussi je le fais via pertuis par voie crestale 5 mm et je recommence à la mise en place des implants je regagne 5mm et le tour est joué mais impossible qu'avec du Prf ça fonderait.
Mieux effectivement si je place les implants in temporis alors oui je ne met que du Prf ce qui revient à 10 cc de sang (mais en concentré).
D'accord avec les deux mais juste pour préciser.


Rorschachwhite tx6rqr - Eugenol
Candide Candida

27/05/2010 à 14h17


Pour l'Osteon dans le Sinus lift : quelles références tu as utilisé ?
(Granulometrie, volume)

Quels profils d'implants tu utilises pour la planification, une marque dont les cotes ressembles au Superline ?
Laquelle ?

Quel est ton taux d'échec avec le Superline aujourd'hui ?

Merci :-)

CC.


Logo vuaztn - Eugenol
mac

27/05/2010 à 14h38

Candide Candida écrivait:
-------------------------
>
>

> Quel est ton taux d'échec avec le Superline aujourd'hui ?
>



très bonne question.

et sur combien de temps et combien d 'implants?


3f3boxni50k58rq7e9ce9ddqrxgk - Eugenol
dentiste57

27/05/2010 à 15h51

le sujet tombe à pic!

je viens de faire un sinus lift ce matin;
- 3 à 4 mm de hauteur sous sinusienne
- des cloisons de refend partout
- comblement avec du Vital Os
- un implant Axiom D4 L 10

comme je n'avais pas le temps de faire des photos la dernière fois et que j'en étais frustré, je me suis un peu lâcher aujourd'hui...

Dsc 7175 hk52hw - Eugenol
Dsc 7178 kjvcew - Eugenol
R2 bqopk9 - Eugenol
R4 tnibxe - Eugenol
Dsc 7177 dcxirq - Eugenol

3f3boxni50k58rq7e9ce9ddqrxgk - Eugenol
dentiste57

27/05/2010 à 16h01

les premières photos, c'était ouverture par voie latérale

les suivantes;

- forage et transperçage de la crête sans aller trop loin...
- essayage pilier pour parallélisme
- forage à 3mm
- visualisation de la hauteur sous la membrane de Schneider
- utilisation d'un ostéotome diamètre 3.4 puis 3.8
(sous dimensionnement de diamètre par rapport à l'implant prévu :4mm)

Dsc 7185 mzm6za - Eugenol
Dsc 7191 brjfrl - Eugenol
Dsc 7182 llidmg - Eugenol
Dsc 7187 ozxzlj - Eugenol
Dsc 7193 knhluy - Eugenol
Dsc 7198 jebfig - Eugenol

sinclair

27/05/2010 à 16h01

Candide Candida écrivait:
-------------------------
>
> Pour l'Osteon dans le Sinus lift : quelles références tu as utilisé ?
> (Granulometrie, volume)
>
> Quels profils d'implants tu utilises pour la planification, une marque dont les
> cotes ressembles au Superline ?
> Laquelle ?
>
> Quel est ton taux d'échec avec le Superline aujourd'hui ?
>
> Merci :-)
>
> CC.

pour le sinus lift, une fois la membrane élevée à la hauteur que je me suis fixé (mon objectif est de mettre des implants de 10 mm) je dépose au contact de la membrane le contenu d'une seringue d'OSTEON lifting 0,25 cc
ses particules sont très fine cela me permet de protéger la membrane
puis dans ce cas 1cc d'osteon en pot de 1cc de granulomérie 0,5-1
comme tu pourra le constater on met peu d'os c'est sans doute lié à la présence des implants (qui ont un certain volume), au choix de la longueur.

en ce qui concerne la planification j'ai une 3D kodak je me sert des cotes de l'implant Alphatech qui bien que n'ayant pas la même forme, a les mêmes dimensions.

mon taux d'echec
j'utilise ce système depuis septembre 2008 soit 21 mois et j'ai moins de 2% d'échec le plus souvent lié à une trop grande confiance en moi...


3f3boxni50k58rq7e9ce9ddqrxgk - Eugenol
dentiste57

27/05/2010 à 16h10

- mise en place de l'implant
- séchage discret de la surface osseuse
- injection du Vital Os en palatin et partout autour de l'implant
- hé hé hé ... pas de membrane de recouvrement, le matériaux se suffit à lui même. d'où une petite économie substantielle pour ceux qui ont l'habitude de mettre systématiquement une membrane après un Caldwell-Luc.
- sutures...

Dsc 7179 chpefv - Eugenol
Dsc 7201 fxn8p4 - Eugenol
Dsc 7202 tcm0ri - Eugenol
Dsc 7211 gfek5s - Eugenol
Dsc 7212 bldmn9 - Eugenol
R6 lhheli - Eugenol
Dsc 7181 wp9sdp - Eugenol

Blason dql7mj - Eugenol
growler

27/05/2010 à 17h06

intervention et photos de grande qualité :)


alhoun

27/05/2010 à 17h08

peux-tu nous montrer des radio à J et à J+ 6 mois, avec le vitalos?


alhoun

27/05/2010 à 17h09

growler écrivait:
-----------------
> intervention et photos de grande qualité :)

on peut même pas lui balancer une vacherie!


Logo vuaztn - Eugenol
mac

27/05/2010 à 18h08

dentiste57 écrivait:
--------------------
> - mise en place de l'implant
> - séchage discret de la surface osseuse
>

séchage discret de de l'os : tu peux développer?


Photo pluton1b h9n4ea - Eugenol
pluton

27/05/2010 à 18h31

faut pas trop de sang lors de l'injection du vitalos...par contre après prise, plus de problème...
çà paraît contre nature...mais c'est comme çà que sa marche...


Logo vuaztn - Eugenol
mac

27/05/2010 à 18h42

pluton écrivait:
----------------
> faut pas trop de sang lors de l'injection du vitalos...par contre après prise,
> plus de problème...
> çà paraît contre nature...mais c'est comme çà que sa marche...


peux tu m'expliquer le mécanisme....


Fouilla h6plsy - Eugenol
fouilla

27/05/2010 à 18h55

merci thomas de poster ce cas élégant
pourquoi le choix de l'axiom ?

aurais tu fait le même choix sur un sinus SA4 (il te reste combien de crête sur ce cas 4-5mm non) encore diminué en hauteur ?






--
.


Photo pluton1b h9n4ea - Eugenol
pluton

27/05/2010 à 18h57

mac écrivait:
-------------

>
> peux tu m'expliquer le mécanisme....

c'est le protocole donné pour l'utilisation du produit

si tu veux en savoir plus tu regardes là:
http://www.vitalos.com/index.php?lang=fr

si t'as des questions, demandes a l'inventeur...il te répondra et te renseignera certainement mieux que moi


Logo vuaztn - Eugenol
mac

27/05/2010 à 19h27

ok j'appelle l'inventeur...

c'est sûr qu'il doit connaitre mieux que toi....


Grueavatar nptrc9 - Eugenol
Le Choixpeau magique

27/05/2010 à 19h47

Lu sur le site:
"Est-ce que PD VitalOs Cement colle à tous les types d’os ?

PD VitalOs Cement ne colle pas à l’os comme une colle le ferait. Le ciment s’ancre à la surface de l’os en durcissant dans la porosité et les anfractuosités de l’os. C’est pour cela que la surface d’ancrage devrait être poreuse et aussi sèche que possible. Cela signifie que le ciment s’accroche à l’os spongieux mais ne tient pas sur les surfaces corticales. Si une partie de la surface d’ancrage est corticale, la couche corticale doit être éliminée pour accéder à la porosité et augmenter la surface de contact entre l’os et le ciment qui fournira les cellules ostéogéniques nécessaires à la néo-formation osseuse."


Logo vuaztn - Eugenol
mac

27/05/2010 à 20h17

charleston écrivait:
--------------------
Donc les études "objectives" payées par des labos pour faire croire
> que c'est de l'os : Pipeau...



c'est du second degré?


Photo pluton1b h9n4ea - Eugenol
pluton

27/05/2010 à 21h07

mac écrivait:
-------------
> ok j'appelle l'inventeur...
>
> c'est sûr qu'il doit connaitre mieux que toi....

j'ai juste testé 3/4 fois...pas follement convaincu par ce matériau que j'ai découvert chez pxav...voilà pourquoi j'ai voulu tester...
les résultats sont mitigés
je retourne donc à mon biooss et mes membranes même si c'est plus cher et plus pénible à manipuler...les résultats sont bien plus prévisibles...mais c'est vrai que le concept est séduisant


3f3boxni50k58rq7e9ce9ddqrxgk - Eugenol
dentiste57

27/05/2010 à 21h09

mac écrivait:
-------------
> dentiste57 écrivait:
> --------------------
> > - mise en place de l'implant
> > - séchage discret de la surface osseuse
> >
>
> séchage discret de de l'os : tu peux développer?

idéalement avec une compresse que l'on four dans le sinus (pas dans la dinde hein!), mais ici, mes compresses étaient en fait des gazes donc avec des fils dont je craignais qu'ils ne se prennent dans l'os.
j'ai surtout aspiré avec les embouts d'aspi microtip de roeko. c'est super précis.


S2y2o1v7q53ws4r5wy6ou8czrpom - Eugenol
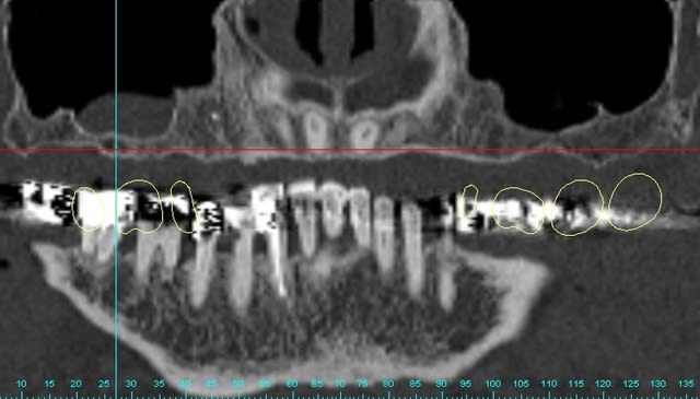
pxav

27/05/2010 à 21h28

alhoun écrivait:
----------------
> peux-tu nous montrer des radio à J et à J+ 6 mois, avec le vitalos?

pour votre plaisir mon ami 8 mois d'écarts
fenêtre fermée par du vitalos pas de membrane technique "grosse ouverture"

--
xbk

Gar cross section1 tgeo1t - Eugenol
Gar cross section2 aw0gxu - Eugenol
Garaxial1 az74ic - Eugenol
Gart axial2 veeu9c - Eugenol
Gart panoramic1 ssmlda - Eugenol
Gart panoramic2 isuhmz - Eugenol
100 5820 cjhkpn - Eugenol
100 5933 zykp1c - Eugenol

Logo vuaztn - Eugenol
mac

27/05/2010 à 21h42

ce qui ne me plait pas dans ton cas pxav c'est que tu n'as pas décollé la paroi médiale du sinus, tu fais une grosse fenêtre du coup tu te prives d'un apport vasculaire non négligeable.


S2y2o1v7q53ws4r5wy6ou8czrpom - Eugenol
pxav

27/05/2010 à 22h37

mac écrivait:
-------------
> ce qui ne me plait pas dans ton cas pxav c'est que tu n'as pas décollé la paroi médiale du sinus, tu fais une grosse fenêtre du coup tu te prives d'un apport vasculaire non négligeable.

la demande était radio à J et J+6 mois, pas "présentez un cas de comblement de sinus parfait".
Perso je trouve le résultat "correct" imagine si en plus j'avais fais un CS nickel...
pxav n'est pas Olivier, désolé, mais la prochaine fois je ferais attention à.
Ps si tu as des publications sur l'intérêt du décollement de la paroi médiale, je suis preneur.

j'ai une préférence pour le mode "ogival" plutôt que "mis à plat", pour des raisons mécaniques, (il me semble que le résultat est meilleur) mais j'ai peut etre tord.
Par contre, l'ouverture réduite ne me gêne pas au contraire, mais dans ce cas là le choix était large.
--
xbk


Logo vuaztn - Eugenol
mac

27/05/2010 à 23h02

désolé pour la critique.

non je n'ai pas d'étude sur le décollement de la paroi médiale par contre il existe un article ( que je vais retrouver ) qui montre que le flux sanguin provenant de la membrane est très faible, sachant qu'au niveau de la paroi crestale tu as l'implant, la paroi latérale tu en as plus, si tu décolles pas au niveau de la paroi médiale tu vas avoir une vascularisation de ta greffe beaucoup plus lente surtout dans un cas comme celui à 100% biomat.