Cookie Consent byPrivacyPolicies.comMateriau pour Soulevé de sinus - Eugenol

Materiau pour Soulevé de sinus

Blason dql7mj - Eugenol
growler

03/06/2010 à 15h58

référence fraise boule diamantée que j'utilise:

marque edenta SG801.018 F55067


Img 0812 mvp6i0 - Eugenol
jeamba

03/06/2010 à 16h01

Growler c'est une fraise CA ou Pièce à main?


Blason dql7mj - Eugenol
growler

03/06/2010 à 16h03

CA FG mais il y a certainement l'équivalent en PM


Img 0812 mvp6i0 - Eugenol
jeamba

03/06/2010 à 19h14

Merci.


sinclair

09/03/2011 à 18h32

sinclair écrivait:
------------------
> bonsoir
> je voulais partager avec vous ce cas de soulevé sinusien par voie latérale avec
> implantation immédiate qui est possible malgré la faible quantité osseuse
> résiduelle comme on peut s'en rendre compte sur la 3D grâce aux caractéristiques
> de l'implant.
> on peut noter sur la dernière pano qui est réalisée à 2 mois post op la
> densification du matériau qui peut s'expliquer de différentes manières:
> - la petite fenêtre réalisée (technique DASK)
> - le matériau OSTEON qui est un biphasé dont chaque particule d'HA est enrobée
> de béta TCP ce qui rend son intégration plus rapide

> suite du cas
>
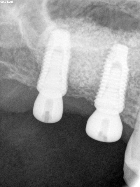
> la patiente revient enfin pour vous montrer la suite
> voici la radio de controle ( rétro) des piliers de cicat

R1 ufqlni - Eugenol

Blason dql7mj - Eugenol
growler

09/03/2011 à 18h56

c'est beau!
tu attends toujours une dizaine de mois avec l'ostéon?


sinclair

09/03/2011 à 22h34

Growler
Normalement j'attends 9 mois quand comme dans ce cas je fais sinus et implant mais pour ce cas la patiente était un peu raide au niveau finance c'est pourquoi elle a attendu un peu plus quasi 1 an