Cookie Consent byPrivacyPolicies.comCas d implantologie basale - Eugenol

Cas d implantologie basale

Pépélaratiche

10/02/2010 à 18h07

Bonjour de la part de Pépé,

Pépé va essayer de présenter ici qques cas de basale

Bien sûr vos questions sont les bienvenues et Pépé essayera d y répondre ds tte la mesure du possible...

Cdt

Pépélaratiche


Photo pluton1b h9n4ea - Eugenol
pluton

10/02/2010 à 18h29

avec plaisir...;-))


Pépélaratiche

10/02/2010 à 19h13

Ca vous intéresse la gestion d un échec de greffe maxillaire avec os iliaque autogène ???

La personne refuse d y retourner et n aime pas son amovible
Et pourtant on peu lui sauver la mise en une seule séance de chir si on veut...

Pépé


Images 5  n6rze9 - Eugenol
zebob

10/02/2010 à 20h05

perso ce que j'adore au fil de tes postes pépé, c'est ton côté imbuvable et suffisant. et le provincial que je suis est pourtant certainement plus heureux que toi. bonne continuation...


S2y2o1v7q53ws4r5wy6ou8czrpom - Eugenol
pxav

10/02/2010 à 20h28

Pépélaratiche écrivait:
-----------------------
> Ca vous intéresse la gestion d un échec de greffe maxillaire avec os iliaque
> autogène ???
>
> La personne refuse d y retourner et n aime pas son amovible
> Et pourtant on peu lui sauver la mise en une seule séance de chir si on veut...
>
> Pépé


--
xbk

je dois etre capable de répondre:

Osiliaka1 s23qsb - Eugenol
Osiliaka2 fzxowi - Eugenol
Osiliaka3 zpcero - Eugenol
Osiliaka4 hgutr5 - Eugenol
Osiliaka5 bqqzle - Eugenol

S2y2o1v7q53ws4r5wy6ou8czrpom - Eugenol
pxav

10/02/2010 à 20h33

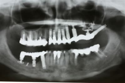
1 Radiographie panoramique avant implantation.
Les deux implants du haut ont été perdus.

2La greffe autologue prélevée à la hanche à totalement fondu.
Il ne reste que la vis d'ostéosynthèse qui avait servi à fixer le greffon.

3 Radiographie Panoramique de la correction

4 Utilisation d'un implant à plaque.
La vis d'ostéosyntèse impossible à dévisser a dû être coupée.

5 Un bridge transitoire a été mis en place deux jours après la pose des implants
et roule mais pour la pérennité du cas une équilibration due l'ensemble de la bouche .....

--
xbk


Pépélaratiche

10/02/2010 à 23h12

Puisque tu es si fort parid... xavier,

file nous la photo du materialise de ce cas que tu as piqué sur le net

Pépé t a indentifié et tu n es pas du tout en France
Ca va surprendre tes petits copains d eugénol

Et peut être ton pote du 57 thomas

Pépétaeu :-)))))))))))))))))


S2y2o1v7q53ws4r5wy6ou8czrpom - Eugenol
pxav

10/02/2010 à 23h33

Pépélaratiche écrivait:
-----------------------
> Puisque tu es si fort parid... xavier,
>
> file nous la photo du materialise de ce cas que tu as piqué sur le net
>
> Pépé t a indentifié et tu n es pas du tout en France
> Ca va surprendre tes petits copains d eugénol
>
> Et peut être ton pote du 57 thomas
>
> Pépétaeu :-)))))))))))))))))

damned, je suis découvert!

c'est ton cas que j'ai montré, pas le mien.
mais tu sais pourquoi, avec une petite centaine d'implants par an, ce qui est correct, avec des patient à 25 implants (14 en haut et 11 en bas dixit pp) ça fait 4-5 cas par an donc, pas trop dur de trouver ceux que tu veux présenter.

reprends un discours simple et promis je ne t'embête plus.

--
xbk


Pépélaratiche

10/02/2010 à 23h50

Xav

c est pas pcq je te montre un cas à 25 implants qu ils le sont tous

Ceci est plus démonstratif pcq plus le cas est grand et plus les secteurs abordés peuvent être variés

Si tu veux absolument des plus petits cas c est qd tu veux

Et puis cache toi mieux qu en utlisant les 3 1ères letres de ton prénom et la 1ère de ton nom car tu es connu

Pépé


Casque beotien a3jo39 - Eugenol
beotien

10/02/2010 à 23h54

pepe
xavier est un des seuls
a mettre son site ici
s'il y en a un qui ne ce cache pas c'est lui


Images 1 qtgoxf - Eugenol
ciwil

10/02/2010 à 23h58

Pépélaratiche écrivait:
-----------------------

> Et puis cache toi mieux qu en utlisant les 3 1ères letres de ton prénom et la
> 1ère de ton nom car tu es connu
>
> Pépé

Euh Pépé j'crois que tu t'es endormi dès le début du feuilleton, t'as même pas vu le générique:
http://www.eugenol.com/sujets/386708-ok-j-suis-pas-geek-mais-quand-meme
(pas la peine de régler ton sonotone, ya pas de son)


S2y2o1v7q53ws4r5wy6ou8czrpom - Eugenol
pxav

11/02/2010 à 00h05

Pépélaratiche écrivait:
-----------------------
> Xav
>
> c est pas pcq je te montre un cas à 25 implants qu ils le sont tous
>
> Ceci est plus démonstratif pcq plus le cas est grand et plus les secteurs
> abordés peuvent être variés
>
> Si tu veux absolument des plus petits cas c est qd tu veux
>
> Et puis cache toi mieux qu en utlisant les 3 1ères letres de ton prénom et la
> 1ère de ton nom car tu es connu
>
> Pépé
>

mon pauvre ami
le jour ou je me cacherais je serais sous terre.
en langage aéronautique Pxav se lit papa, xray, alpha, victor...
photo du deuxième avion que j'ai dessiné et construit..
pour le prénom c'est xavier
--
xbk

Fil39511 kep2e2 - Eugenol

S2y2o1v7q53ws4r5wy6ou8czrpom - Eugenol
pxav

11/02/2010 à 00h19

pour le nom c'est :
(Falcof8lbx mon premier reconstruit, et modifié)
--
xbk

Fil84 asb4et - Eugenol

S2y2o1v7q53ws4r5wy6ou8czrpom - Eugenol
pxav

11/02/2010 à 00h20

pour la caracteristique (ok jmelapete)

--
xbk

Fil72 ljtmeq - Eugenol

Photo pluton1b h9n4ea - Eugenol
pluton

11/02/2010 à 00h26

chacun sa passion xavier...moi, c'est plutôt çà...

Fs 70 1  pggzvt - Eugenol

S2y2o1v7q53ws4r5wy6ou8czrpom - Eugenol
pxav

11/02/2010 à 00h28

pluton écrivait:
----------------
> chacun sa passion xavier...moi, c'est plutôt çà...

tu as raison,pluton qui va piano va sano...

--
xbk


Photo pluton1b h9n4ea - Eugenol
pluton

11/02/2010 à 00h32

c'est pas un piano...ignare...;-))
c'est un orgue (électronique...)...et aux commandes...je suis le chef de tout l'orchestre...à moi tout seul!!!


3f3boxni50k58rq7e9ce9ddqrxgk - Eugenol
dentiste57

11/02/2010 à 00h40

Charly Oleg ??!!!!

Charly oleg vgtrsg - Eugenol

Photo pluton1b h9n4ea - Eugenol
pluton

11/02/2010 à 00h54

un très bon musicien...;-))
mais c'était plutôt un pianiste...sûr avec un bon clavier, il faisait des super trucs...mais c'est pas comparable au type d'orgue dont je joue...où non seulement tu utilises mains droite et gauche...mais aussi pied gauche pour faire les basses, pied droit pour l'expression (contrôle des volumes et batterie) et même genou droit pour le contrôle de la tenue des notes...
çà demande pas seulement de la dextérité...


Modérateur

11/02/2010 à 00h55

............


Photo pluton1b h9n4ea - Eugenol
pluton

11/02/2010 à 01h01

désolé modo...mais faut bien meubler...;-)
on les attend ses cas de basale pour ouvrir le débat...


S2y2o1v7q53ws4r5wy6ou8czrpom - Eugenol
pxav

11/02/2010 à 08h30

pluton écrivait:
----------------
> c'est pas un piano...ignare...;-))
> c'est un orgue (électronique...)...et aux commandes...je suis le chef de tout
> l'orchestre...à moi tout seul!!!

il serait temps que tu me comprennes Pluton, j'ai pas complètement idiot (j'ai le même jouet que toi à la maison pour mes filles) mais une phrase du style "qui va orgue électronique, va sano" je trouvais que ça ne le faisait pas...
allez va lontano, et vive la mine...
comprenne qui pourra (toi oui)
--
xbk


Photo pluton1b h9n4ea - Eugenol
pluton

11/02/2010 à 09h50

pxav écrivait:
--------------
> pluton écrivait:
> ----------------
> > c'est pas un piano...ignare...;-))


> il serait temps que tu me comprennes Pluton, j'ai pas complètement idiot (j'ai
> le même jouet que toi à la maison pour mes filles) mais une phrase du style "qui
> va orgue électronique, va sano" je trouvais que ça ne le faisait pas...
> allez va lontano, et vive la mine...
> comprenne qui pourra (toi oui)
> --
> xbk
>

susceptible le pxav ce matin...regarde le ;-)) qui suit dans ma phrase...je ne te prenais pas pour un débile...c'était du second degré...et confondre la photo d'un piano et d'un orgue...faudrait vraiment rien y connaître...

t'as un FS70 chez toi....si oui...c'est un collector...rarissime en plus...le dernier 3 claviers Yamaha...gardes le précieusement...moi j'en ai 2...un en état...et l'autre en pièces...(les cartes électroniques sont introuvables et irréparables...celui qui est en pièce l'est juste parce qu'une carte a grillée...:-((...)


Pépélaratiche

11/02/2010 à 18h58

pluton écrivait:
----------------
> désolé modo...mais faut bien meubler...;-)
> on les attend ses cas de basale pour ouvrir le débat...


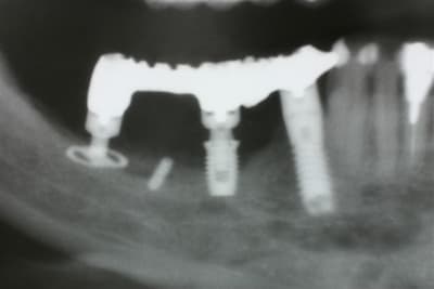
Voici le modèle stéréolithographique et la apno post op

Pépé

Img 3181 phatbp - Eugenol
Img 3185 ji08l2 - Eugenol
Img 3223 bmxfno - Eugenol
Img 3485 mo8nj9 - Eugenol
Img 2319 bybw4e - Eugenol
Img 2320 f6seph - Eugenol
Img 2321 twikgi - Eugenol
Img 2322 aiuk1r - Eugenol
Img 2323 rgv2z9 - Eugenol
Img 2324 lkmcih - Eugenol
Img 3156 m9ctgq - Eugenol
Img 3157 nxpalt - Eugenol
Img 3158 sm1be5 - Eugenol
Img 3224 znnpfv - Eugenol
Img 3226 tpbkwr - Eugenol
Img 3486 mu0uyu - Eugenol

alhoun

11/02/2010 à 19h35

mon dieu quelle horreur!