Cookie Consent byPrivacyPolicies.comOrtho-Paro - Eugenol
1 p3qrc4 - Eugenol
Bjc.

04/03/2010 à 14h36



12 ans. Sexe F.

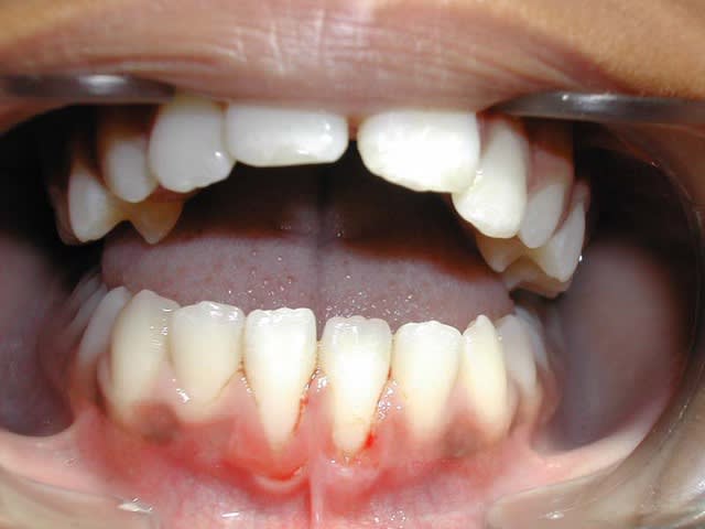
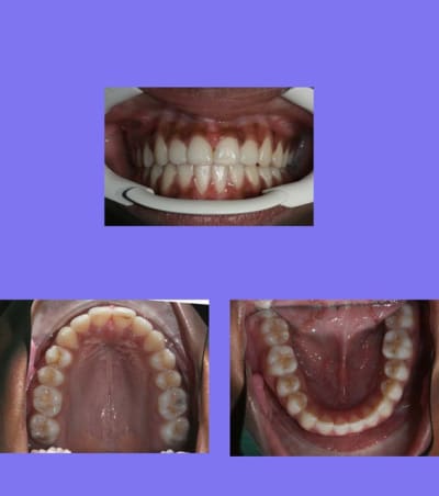
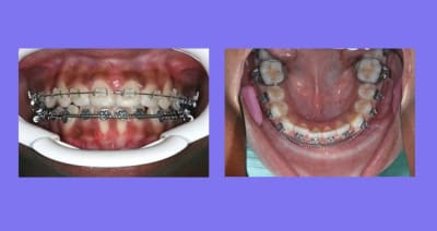
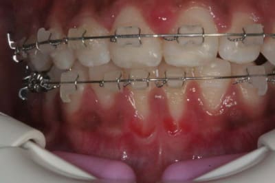
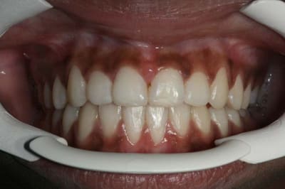
Voici un cas de béance associé à un Pb. paro sur 31/41
Est-ce qu’un traitement ODF. ne vas pas aggraver cette perte de gencive attaché (et osseuse),
et faut-il faire des extractions pour replacer 31/41 dans le massif osseux et arrêter cette récession ?

@+ Bjc.


1 j4pmjl - Eugenol
11copie smzkhw - Eugenol

Grueavatar nptrc9 - Eugenol
Le Choixpeau magique

04/03/2010 à 14h42

Une greffe avant le traitement ne ferait pas de mal, mais je suppose que le cas est déjà terminé ?


1 p3qrc4 - Eugenol
Bjc.

04/03/2010 à 14h58

j'ai hésité à l'époque, et je me suis demandé si en recentrant 31/41 dans le massif osseux par reformage des arcades je n'améliorerait les conditions d'une greffe

@+ Bjc.


1 p3qrc4 - Eugenol
Bjc.

04/03/2010 à 15h21

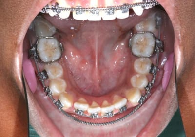
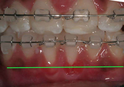
Fermeture de la béance par reformage des arcades tout en surveillant 31/41 que je traite par surfaçages et Kayes tous les mois
je prescris une brosse chirurgicale pour 31/41, la motivation de l’enfant et des parents est excellente

A suivre

21 wqf2ej - Eugenol

1 p3qrc4 - Eugenol
Bjc.

04/03/2010 à 15h26

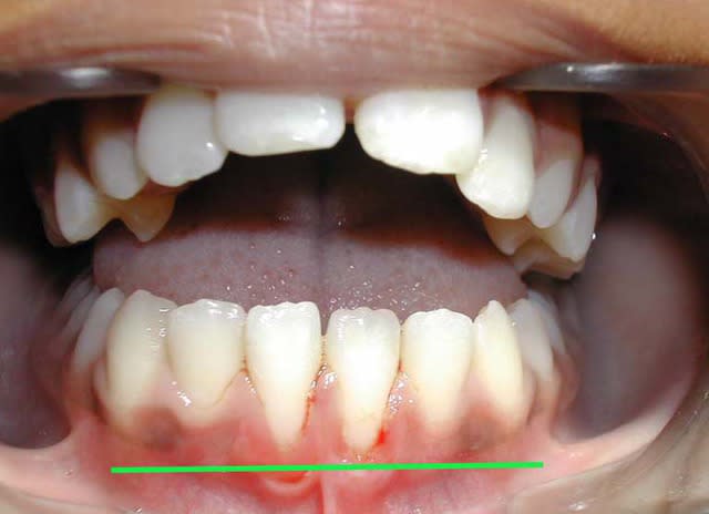
il reste quand m un état imparfait

20 abts9o - Eugenol

1 p3qrc4 - Eugenol
Bjc.

04/03/2010 à 16h36

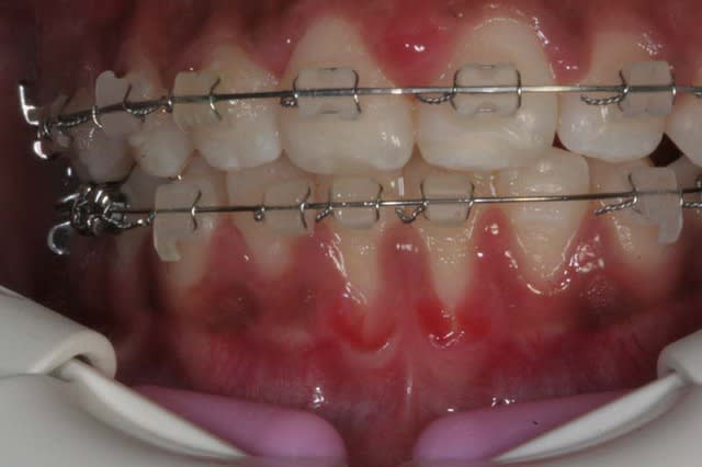
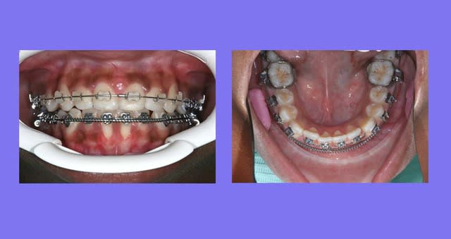
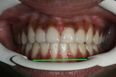
voici l'état de la gencive en fin de TTT. ORTHO

3 kemn9r - Eugenol
31 copie lklevy - Eugenol

1 p3qrc4 - Eugenol
Bjc.

04/03/2010 à 17h04

La question que je me pose est :
dois-je épaissir cette gencive très fine, (donc fragile), en face de 31/41 ?

@+ Bjc.



aldo74

04/03/2010 à 21h56

bonsoir ,s'il fallait greffer tous les jeunes patients qui finissent l'ortho avec une gencive comme ceci c a d: fine mais pas de tension des freins, on n'arrêterait pas.
maintenant,si on veut appliquer le sacro- saint principe de précaution ......tout est permis


Images 1 qtgoxf - Eugenol
ciwil

04/03/2010 à 21h57

beau travail (bk résine ou céramique?)
concernant la recession gingivale, peut-être qu'un trait d'incision horizontal avec fénestration périostée suffirait à stopper le processus ?


Img 0812 mvp6i0 - Eugenol
jeamba

04/03/2010 à 22h29

Ce qui me comble de plus en plus dans cette rubrique ortho c'est sa richesse et le profit clinique et intellectuel qu'on en tire à travers cette limpidité pédagogique que certains dégagent. Vraiment merci. Je trouve pas les mots je suis comblé.


1 p3qrc4 - Eugenol
Bjc.

05/03/2010 à 11h51

aldo74 """bonsoir ,s'il fallait greffer tous les jeunes patients qui finissent l'ortho avec une gencive comme ceci c a d: fine mais pas de tension des freins, on n'arrêterait pas."""
Le Pb. est de stabiliser ce gain de gencive par attachement rampant, si on pense que le résultat sera éphémère

ciwil """beau travail (bk résine ou céramique?)"""
Bk. céramique modifié, je te déconseille les Bk. résine

jeamba """Je trouve pas les mots je suis comblé."""
;-)))

@+ Bjc.


Image odged8 - Eugenol
ploc

05/03/2010 à 16h58

mouais...
mais si tu avais enlevé les 4 PM tu aurais eu plus de place pr reculer tout ça et régler tes pbs de gencive


aïiiiiiiiiiiie frappez pas c'était une blague!


1 p3qrc4 - Eugenol
Bjc.

06/03/2010 à 17h36

il m'a été reproché de ne pas montrer le cas en entier et de ne pas expliquer comment j’avais traité

Voici le cas depuis le début, traité avec mes Bk. modifiés qui permettent de travailler en passif en début de traitement, en inter-actif au milieu de traitement, avec ou sans les ressorts de Root, et parfois en friction forte en fin de traitement pour les finitions

C’est un cas ancien ou je ne faisais pas assez de photos et ou j’essayais différentes marques de Bk.
soyez indulgent
;-)))

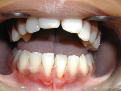
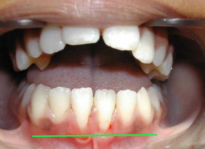
Reprise du cas au départ

@ suivre Bjc.


1 ompsze - Eugenol
2 vna5cq - Eugenol

Images 1 qtgoxf - Eugenol
ciwil

06/03/2010 à 18h52

peux-tu décomposer les étapes du reformage d'arcade de ce cas steplé.


1 p3qrc4 - Eugenol
Bjc.

06/03/2010 à 19h32

1°) Q.H. Sup pendant 6 mois, désolé, pas de photos

2°) Appareillage MB. Sup et 2 mois après Inf., avec mes Bk. modifiés en position Damon

On peut observer un décalage des points inter-incisifs et des rotations des Inc. Inf.
Voir Photo

@ suivre Bjc.


4 vrokeb - Eugenol

1 p3qrc4 - Eugenol
Bjc.

06/03/2010 à 19h50

Suite

Le reformage d’arcade est en cours

La béance commence à se réduire, car la langue se repositionne et l’interposition linguale Ant. diminue, ce qui laisse les forces biologiques de l’orbiculaire agir

@ suivre Bjc.


6 lhxzd4 - Eugenol

1 p3qrc4 - Eugenol
Bjc.

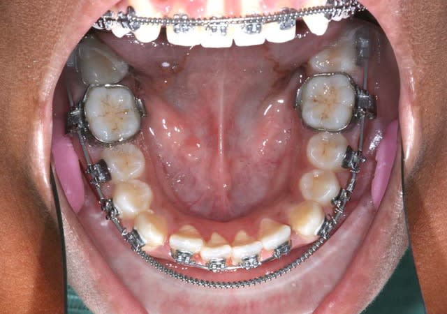
06/03/2010 à 20h38

Sur la photo précedente, on est en 16*x16* à mémoire de forme et en friction Damon

j’ai Tjs. un Pb. de rotation sur les Inc. Inf.

aussi j’ai changé les Bk . céramique Inf. pour des Bk. titane, qui ont meilleure glisse, j’ai mis un ressort de Root (D gainer chez Damon), et Bk. 35/34/33/43/44/45 en position inter-active (Roncone pour éviter la rotation distale de 33/43 qui se produirait avec un système passif Damon)

+ un Arc 20*x20* à mémoire de forme pour redresser les axes canins

+ un segmenté 32/42 avec un arc 16*x16* et les Bk. en position inter-active (Roncone) pour déroter les Inc. Inf.

@ suivre Bjc.


8 gajlmt - Eugenol

1 p3qrc4 - Eugenol
Bjc.

06/03/2010 à 22h18

Fermeture de la béance par reformage d’arcades, mais il reste un décalage des points inter-incisifs

un diastème s’est formé entre 32/33, qui va me permettre de finir de redresser 41 et de faire glisser les incisives sur la gauche pour une concordance des points inter-incisif

@ suivre Bjc.


10 lbv3bc - Eugenol

1 p3qrc4 - Eugenol
Bjc.

06/03/2010 à 22h34

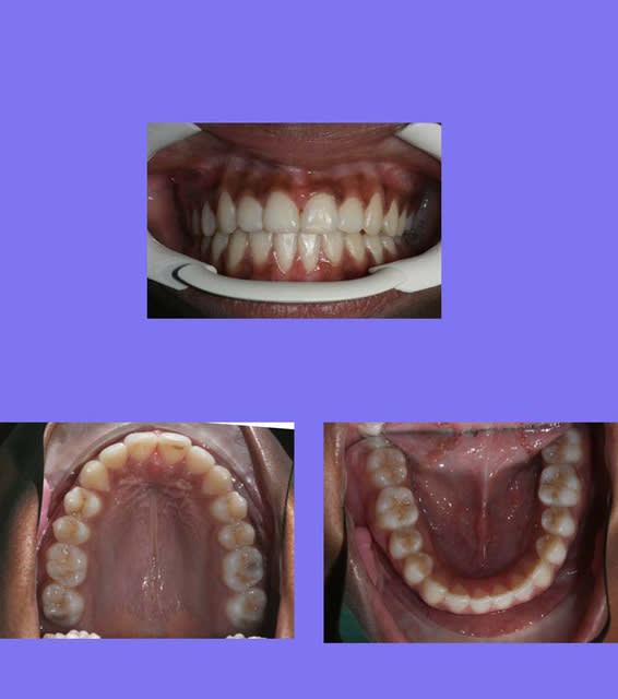
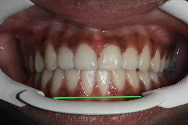
voici le cas terminé

@+ Bjc.

12 ujnup1 - Eugenol

Bul

07/03/2010 à 11h19

"La béance commence à se réduire, car la langue se repositionne et l’interposition linguale Ant. diminue,"

bjc, qu'est ce qui te permet de dire ça?


1 p3qrc4 - Eugenol
Bjc.

07/03/2010 à 15h59

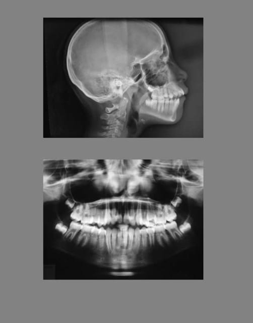
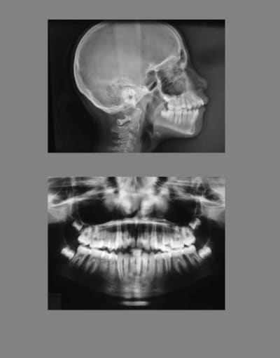
voici la Télé-Rx . de départ et la Télé-Rx. de fin de traitement

@+ Bjc.

T l  radio 1 et 2  jjd83f - Eugenol
T l  radio 1 et 2 agrandissement bfj76c - Eugenol

Img 0812 mvp6i0 - Eugenol
jeamba

07/03/2010 à 16h37

Bjc. écrivait:
--------------
> Sur la photo précedente, on est en 16*x16* à mémoire de forme et en friction
> Damon
>
> j’ai Tjs. un Pb. de rotation sur les Inc. Inf.
>
> aussi j’ai changé les Bk . céramique Inf. pour des Bk. titane, qui ont meilleure
> glisse, j’ai mis un ressort de Root (D gainer chez Damon), et Bk.
> 35/34/33/43/44/45 en position inter-active (Roncone pour éviter la rotation
> distale de 33/43 qui se produirait avec un système passif Damon)
>
> + un Arc 20*x20* à mémoire de forme pour redresser les axes canins
>
> + un segmenté 32/42 avec un arc 16*x16* et les Bk. en position inter-active
> (Roncone) pour déroter les Inc. Inf.
>
> @ suivre Bjc.

Trés bien Bernard Ma question est la suivante. Tu dis avoir changé tes Bk céramiques en Bk titane pour pouvoir les utiliser en friction faible( D gainer de Damon) sauf au niveau canin et prémolaires tu utilises des Bk interactives (système Rancon)Ensuite tu dis, je te cite " un segmenté 32/42 avec un arc 16*x16* et les Bk. en position inter-active Roncone) pour déroter les Inc. Inf." Que veux-tu dire "mécaniquement parlant" par là puisque tu parlais d'avoir placé tes Bk incisifs en friction faible (Damon)afin de profiter du manque de friction afin de niveller tes incisifs As-tu changé de Bk au niveau incisif? Explique-moi
Merci


1 p3qrc4 - Eugenol
Bjc.

07/03/2010 à 22h55

Il faut mettre à part mes essais de Bk. modifiés (c’était l’époque ou j’ai essayé de Nb. Bk.), et les principes bio-mécaniques. J’ai constaté que les Bk. titane modifiés ont une meilleure glisse que les Bk. céramique modifiés, s’ils avaient eu la m glisse, je les aurais gardé

les Bk. titane modifiés sont ceux qui marchent le mieux, mais pour des raisons esthétiques, je suis obligé (surtout sur adulte) d’utiliser des Bk. céramique

actuellement, ceux que j’utilise au Max. Sup. sont les Clearity modifiés qui ont une gorge en métal

je répète : les Bk. que je modifie avant de les coller peuvent s’utiliser soit en passif (Damon) soit en inter-actif (Roncone, Voudouris) soit en friction forte (pour les ancrages ou les torques) comme dans les anciennes techniques, selon la taille de la ligature et la manière dont on ligature

@ suivre Bjc.



Img 0812 mvp6i0 - Eugenol
jeamba

08/03/2010 à 13h44

Donc si je comprends bien ce sont les mêmes Bk modifiés que tu utilises en friction faible ou en friction ou en interactif et alors les effets escomptés sont obtenus différemment en foction de la ligature faite ? Si non comment tu passes avec le même Bk d'une fonction(friction, interactif ou faible friction) à une autre ?
Merci.


1 p3qrc4 - Eugenol
Bjc.

08/03/2010 à 23h53

Il faut mettre à part mes essais de Bk. modifiés (c’était l’époque ou j’ai essayé de Nb. Bk.), et les principes bio-mécaniques. J’ai constaté que les Bk. titane modifiés ont une meilleure glisse que les Bk. céramique modifiés, s’ils avaient eu la m glisse, je les aurais gardé

les Bk. titane modifiés sont ceux qui marchent le mieux, mais pour des raisons esthétiques, je suis obligé (surtout sur adulte) d’utiliser des Bk. céramique

actuellement, ceux que j’utilise au Max. Sup. sont les Clearity modifiés qui ont une gorge en métal

je répète : les Bk. que je modifie avant de les coller peuvent s’utiliser soit en passif (Damon) soit en inter-actif (Roncone, Voudouris) soit en friction forte (pour les ancrages ou les torques) comme dans les anciennes techniques, selon la ligature et la manière dont on ligature


@+ Bjc.


12