Cookie Consent byPrivacyPolicies.comOrtho-Paro - Eugenol
1 p3qrc4 - Eugenol
Bjc.

09/03/2010 à 19h58

on va essayer de finir ce cas avant d'en commencer un autre

alors, vous greffez ou vous ne greffez pas?

@+ Bjc.


1 p3qrc4 - Eugenol
Bjc.

09/03/2010 à 21h14

je vous met la fin ce soir, j'ai oublié ma clef USB à la maison

@+ Bjc.


1 p3qrc4 - Eugenol
Bjc.

09/03/2010 à 23h41

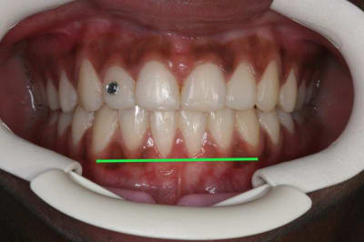
je reprends le dernière photo que j’ai montré qui date d’un an

à cette époque, compte tenu de travail orthodontique sur l’os, j’ai décider de reporter une éventuelle greffe et de faire un contrôle tous les mois

je n’ai pas fait de contention linguale

@ suivre

31 copie ibrrzw - Eugenol

1 p3qrc4 - Eugenol
Bjc.

09/03/2010 à 23h46

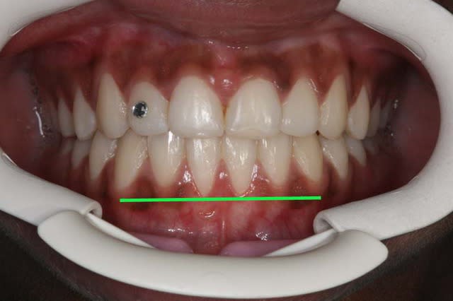
voici la photo, prise il y a 8 jours, des Inc. Inf.

on note un léger gain gengival par attachement rampant
et surtout, une stabilité de l’occlusion malgré l’absence de contention

maintenant, je me repose la question de la greffe


@+ Bjc.



41 copie jymuln - Eugenol

Bul

12/03/2010 à 21h46

pourquoi: pas de contention?


1 p3qrc4 - Eugenol
Bjc.

13/03/2010 à 15h39

salut,

Parce que je suis confronté à une situation parodontale extrêmement fragile, que je risquerai de fragiliser avec une contention collée qui est quand m congestionnante, quoiqu’on en dise
aussi j’ai choisi, comme elle était sous surveillance, de faire confiance à mon reformage d’arcade pour la stabilité de ce cas

l’avenir m’a donné raison

@+ Bjc.


12