Tous les forums
mon 1° cas complexe et ce que j’ai appris sur ce cas :
09/03/2010 à 00h22
tu veux voir ce cas typiquement caucasien
en plus elle est rousse, ce qui ne gâte rien
;-)))
@+ selon ta réponse ...
09/03/2010 à 12h51
ce cas n’a pas l’air d’intéresser notre ami Phil
complexe, il est vrai, peut être trop
je vais en chercher un plus simple
Tjs. caucasien, je ne pense pas que ca fasse de différence
mais puisque c’est ce qu’il préfère !!!
@+ Bjc.
09/03/2010 à 13h31
Bjc. écrivait:
--------------
> tu veux voir ce cas typiquement caucasien
>
> en plus elle est rousse, ce qui ne gâte rien
> ;-)))
Pourquoi pas ?
Mais il y a des caucasiens à visage fins, d'autres à visage plus rond et l'expansion que tu pratiques sans discernement peut ne pas convenir aux premiers.
Mais va quand même pour ce cas !
Aurais-tu alors l'amabilité de nous montrer également des vues latérales de l'occlusion, bien orientées, pour qu'on puisse vraiment voir la réalité des engrênements ?
Pourrais aussi nous les montrer une fois le traitement terminé et quelques années après la fin du traitement.
Merci.
Phil.
09/03/2010 à 14h02
C'est pas un cas ou il faut réaliser des extractions mon grand, montre nous autre chose...
09/03/2010 à 14h42
Montre nous un cas ou tu as fait des extractions, je devrai bien trouver un cas approchant traité sans extractions
@+ Bjc.
P.S.: je te fais confiance pour en trouver bien limite ;-)))
09/03/2010 à 15h49
Dans le cas de ta rousse qui a perdu prématurément sa 36, il est intéressant de voir l'occlusion finale que tu obtiens entre 37 et 25.
Tu nous montres, bjc ?
Phil.
09/03/2010 à 17h00
Ca m'interesse aussi Phil. Pour une fois qu'on peut voir un cas d'extraction vieillir.
09/03/2010 à 17h48
Bjc. écrivait:
--------------
> et toi, tu nous présente le cas de ta fille ?
Si tu t'imagines qu'à son âge elle vit encore avec ses parents..
Phil.
09/03/2010 à 18h23
Avec tout le respect que je dois a sa fille, je m'en tape de son cas avec extraction;)
Tu peux cracher les tofs de la rousse STP avant que je ne sois trop vieux pour que qui que ce soit en XX m'interesse encore???
10/03/2010 à 01h49
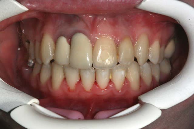
pour les impatients, voici la photo du cas, fin de TTT., prise il y a 1 an
@+ Bjc.
10/03/2010 à 11h24
Bjc. écrivait:
--------------
> pour les impatients, voici la photo du cas, fin de TTT., prise il y a 1 an
>
> @+ Bjc.
>
Les milieux sont décalés, la 13 et la 24 apparaîssent trop vestibulées... je doute fort que l'occlusion soit bien équilibrée.
C'est vraiment ta fin de traitement ?
Phil.
10/03/2010 à 11h39
"""Les milieux sont décalés,"""
Evidemment que les milieux sont décalé (eh patate !)
comme il est prévu de refaire les centrales, je ne vais pas tenir compte d’une dent prothétique plus étroite que la dent naturelle proximale, sinon ce seront les nouvelles dents, toutes neuves qui seront décalées par rapport au bas
ça commence bien ;-)))
@ suivre
10/03/2010 à 11h42
C'est vrai que j'aimerai e nvoir un peu plus sur l'occlusion.
Pour ce qui est des milieux ou de la vestibulisation des C, c'st a mettre en balance avec 4 extractions...
10/03/2010 à 12h02
je vais répondre aux observations de notre ami Phil
la 1°) :
"""Mais il y a des caucasiens à visage fins, d'autres à visage plus rond et l'expansion que tu pratiques sans discernement peut ne pas convenir aux premiers."""
Voici (avec l’autorisation de la patiente) les photos de visage en début de traitement
Le visage est plutôt fin, les yeux fatigués, les sillons naso-geniens marqués
Le profil est plat, peu sculpté
(elle est jolie quand m !!!)
@+ Bjc.
10/03/2010 à 12h24
Son coiffeur ne serait pas un peu dépressif ?
ou il prend de la drogue ptêt ?
eh oh! ça va, si on peut pas déconner dans cette rubrique où les égos s'entrechoquent, on va finir par se dégoûter de l'ortho!
10/03/2010 à 12h27
Bjc. écrivait:
--------------
> """Les milieux sont décalés,"""
>
> Evidemment que les milieux sont décalé (eh patate !)
>
> comme il est prévu de refaire les centrales, je ne vais pas tenir compte..
Effectivement, tu t'es condamné toi-même à refaire aussi la 21 pour changer sa dimension... bof !
Phil.